Skip to main content

Chédiak-Higashi Syndrome: A Case Report

Abstract

Chédiak-Higashi syndrome (CHS) is an extremely rare autosomal recessive immunodeficiency disorder. Approximately 200 cases have been reported worldwide. To the best of our knowledge, not more than 10 cases have been reported from India. Herein we are reporting a case of CHS in one-and-half-year-old boy who presented to us in the accelerated phase of disease. Other syndromes presenting with similar clinical features have also been discussed.

This is a preview of subscription content, access via your institution.

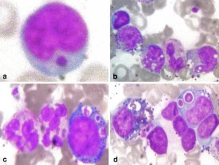
Fig. 1
Fig. 2

References

  1. Ahluwalia J, Pattari S, Trehan A, Marwaha RK, Garewal G (2003) Accelerated phase at initial presentation: an uncommon occurrence in Chédiak-Higashi syndrome. Pediatr Hematol Oncol 20:563–567

    PubMed  Article  CAS  Google Scholar 

  2. Al-Sheyyab M, Daoud AS, El-Shanti H (2000) Chediak-Higashi syndrome: a report of eight cases from three families. Indian Pediatr 37:69–75

    PubMed  CAS  Google Scholar 

  3. Kumar P, Rao KS, Shashikala P, Chandrashekar HR, Banapurmath CR (2000) Chediak-Higashi syndrome. Indian J Pediatr 67:595–597

    PubMed  Article  CAS  Google Scholar 

  4. Malhotra AK, Bhaskar G, Nanda M, Kabra M, Singh MK, Ramam M (2006) Griscelli syndrome. J Am Acad Dermatol 55:337–340

    PubMed  Article  Google Scholar 

  5. Nowicki JR, Szarmach H. Chediak-Higashi syndrome. http://emedicine.medscape.com/article/1114607-print. Accessed 15 Oct 2009

  6. Rao S, Kar R, Saxena R (2009) Pseudo Chediak-Higashi anomaly in acute myeolmonocytic leukemia. Indian J Pathol Microbiol 52:255–256

    PubMed  Article  Google Scholar 

  7. Rath S, Jain V, Marwaha RK, Trehan A, Rajesh LS, Kumar V (2004) Griscelli syndrome. Indian J Pediatr 71:173–175

    PubMed  Article  Google Scholar 

  8. Scheinfeld NS, Johnson AM. Elejalde syndrome. http://emedicine.medscape.com/article/1069594-print. Accessed 11 Jan 2010

  9. Sheela SR, Latha M, Injody SJ (2004) Griscelli syndrome: Rab 27a mutation. Indian Pediatr 41:944–947

    PubMed  CAS  Google Scholar 

  10. Usha HN, Prabhu PD, Sridevi M, Baindur K, Balakrishnan CM (1994) Indian Pediatr 31:1115–1119

    PubMed  CAS  Google Scholar 

Download references

Author information

Affiliations

Authors

Corresponding author

Correspondence to Jyoti Shukla.

Rights and permissions

Reprints and Permissions

About this article

Cite this article

Patne, S.C.U., Kumar, S., Bagri, N.K. et al. Chédiak-Higashi Syndrome: A Case Report. Indian J Hematol Blood Transfus 29, 80–83 (2013). https://doi.org/10.1007/s12288-011-0130-y

Download citation

  • Received:

  • Accepted:

  • Published:

  • Issue Date:

  • DOI: https://doi.org/10.1007/s12288-011-0130-y

Keywords

  • Silvery hair syndrome
  • Chédiak-Higashi syndrome
  • Granular abnormality
  • Immunodeficiency disorder