Skip to main content

MRI findings of inflammatory breast cancer, locally advanced breast cancer, and acute mastitis: T2-weighted images can increase the specificity of inflammatory breast cancer

Abstract

Inflammatory breast carcinoma (IBC) is rare; however, it is the most aggressive variant of breast cancer with a very poor outcome. Locally advanced breast cancer and acute mastitis have a presentation similar to that of IBC. Therefore, the diagnosis of IBC remains a challenge in breast imaging. MRI can play a crucial role in the differential diagnosis by providing criteria indicative of IBC. Several MRI findings, especially T2-weighted images, are promising for more reliable and accurate interpretation of IBC.

This is a preview of subscription content, access via your institution.

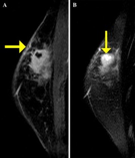
Fig. 1
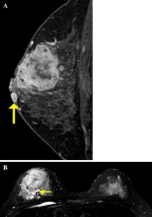
Fig. 2
Fig. 3
Fig. 4

References

  1. Hance KW, Anderson WF, Devesa SS, Young HA, Levine PH. Trends in inflammatory breast carcinoma incidence and survival: the surveillance, epidemiology, and end results program at the National Cancer Institute. J Natl Cancer Inst. 2005;97:966–75.

    Article  PubMed  Google Scholar 

  2. Bonnier P, Charpin C, Lejeune C, Romain S, Tubiana N, Beedassy B, et al. Inflammatory carcinomas of the breast: a clinical, pathological, or a clinical and pathological definition? Int J Cancer. 1995;62:382–5.

    Article  CAS  PubMed  Google Scholar 

  3. Dawood S, Merajver SD, Viens P, Vermeulen PB, Swain SM, Buchholz TA, et al. International expert panel on inflammatory breast cancer: consensus statement for standardized diagnosis and treatment. Ann Oncol. 2011;22:515–23.

    Article  CAS  PubMed  Google Scholar 

  4. Renz DM, Baltzer PA, Böttcher J, Thaher F, Gajda M, Camara O, et al. Inflammatory breast carcinoma in magnetic resonance imaging: a comparison with locally advanced breast cancer. Acad Radiol. 2008;15:209–21.

    Article  PubMed  Google Scholar 

  5. Girardi V, Carbognin G, Camera L, Bonetti F, Manfrin E, Pollini G, et al. Inflammatory breast carcinoma and locally advanced breast carcinoma: characterisation with MR imaging. Radiol Med. 2011;116:71–83.

    Article  CAS  PubMed  Google Scholar 

  6. Renz DM, Baltzer PA, Böttcher J, Thaher F, Gajda M, Camara O, et al. Magnetic resonance imaging of inflammatory breast carcinoma and acute mastitis. A comparative study. Eur Radiol. 2008;18:2370–80.

    Article  PubMed  Google Scholar 

  7. Gong Y. Pathologic aspects of inflammatory breast cancer: part 2. Biologic insights into its aggressive phenotype. Semin Oncol. 2008;35:33–40.

    Article  CAS  PubMed  Google Scholar 

  8. Estourgie SH, Nieweg OE, Olmos RA, Rutgers EJ, Kroon BB. Lymphatic drainage patterns from the breast. Ann Surg. 2004;239:232–7.

    Article  PubMed  Google Scholar 

  9. Cristofanilli M, Valero V, Buzdar AU, Kau SW, Broglio KR, Gonzalez-Angulo AM, et al. Inflammatory breast cancer (IBC) and patterns of recurrence: understanding the biology of a unique disease. Cancer. 2007;110:1436–44.

    Article  PubMed  Google Scholar 

  10. Anderson WF, Chu KC, Chang S. Inflammatory breast carcinoma and noninflammatory locally advanced breast carcinoma: distinct clinicopathologic entities? J Clin Oncol. 2003;21:2254–9.

    Article  PubMed  Google Scholar 

  11. Amparo RS, Angel CD, Ana LH, Antonio LC, Vicente MS, Carlos FM, et al. Inflammatory breast carcinoma: pathological or clinical entity? Breast Cancer Res Treat. 2000;64:269–73.

    Article  CAS  PubMed  Google Scholar 

  12. El Saghir NS, Eniu A, Carlson RW, Aziz Z, Vorobiof D, Breast Health Global Initiative Systemic Therapy Focus Group. Locally advanced breast cancer: treatment guideline implementation with particular attention to low- and middle-income countries. Cancer. 2008;113:2315–24.

    Article  PubMed  Google Scholar 

  13. Buzdar AU, Singletary SE, Booser DJ, Frye DK, Wasaff B, Hortobagyi GN. Combined modality treatment of stage III and inflammatory breast cancer. M.D. Anderson Cancer Center experience. Surg Oncol Clin N Am. 1995;4:715–34.

    CAS  PubMed  Google Scholar 

  14. Dawood S, Ueno NT, Valero V, Woodward WA, Buchholz TA, Hortobagyi GN, et al. Differences in survival among women with stage III inflammatory and noninflammatory locally advanced breast cancer appear early: a large population-based study. Cancer. 2011;117:1819–26.

    Article  PubMed  Google Scholar 

  15. Resetkova E. Pathologic aspects of inflammatory breast carcinoma: part 1. Histomorphology and differential diagnosis. Semin Oncol. 2008;35:25–32.

    Article  PubMed  Google Scholar 

  16. Molckovsky A, Fitzgerald B, Freedman O, Heisey R, Clemons M. Approach to inflammatory breast cancer. Can Fam Physician. 2009;55:25–31.

    PubMed  Google Scholar 

  17. Rosa M. “Inflammatory” changes in breast: how to provide a better care to our patients. Arch Gynecol Obstet. 2010;281:901–5.

    Article  PubMed  Google Scholar 

  18. Kwak JY, Kim EK, Chung SY, You JK, Oh KK, Lee YH, et al. Unilateral breast edema: spectrum of etiologies and imaging appearances. Yonsei Med J. 2005;46:1–7.

    Article  PubMed  Google Scholar 

Download references

Author information

Affiliations

Authors

Corresponding author

Correspondence to Takayoshi Uematsu.

About this article

Cite this article

Uematsu, T. MRI findings of inflammatory breast cancer, locally advanced breast cancer, and acute mastitis: T2-weighted images can increase the specificity of inflammatory breast cancer. Breast Cancer 19, 289–294 (2012). https://doi.org/10.1007/s12282-012-0346-1

Download citation

  • Received:

  • Accepted:

  • Published:

  • Issue Date:

  • DOI: https://doi.org/10.1007/s12282-012-0346-1

Keywords

  • Inflammatory breast carcinoma
  • Locally advanced breast cancer
  • Acute mastitis
  • MRI
  • T2-weighted image