Skip to main content

Video-Assisted Thoracoscopic Surgery of Mediastinal Cysts: Report of 13 Cases

Abstract

Mediastinal cysts are rare anomalies. The purposes of this study were to present our experience with mediastinal cysts, which were thoracoscopically treated in our clinic, and to discuss our findings along with those from the literature. We retrospectively investigated 13 patients who were diagnosed and thoracoscopically treated for mediastinal cysts in our clinic between January 2008 and December 2011. Seven patients were female and six were male. The average age of the patients was 41.3 ± 20.3 (7–82 years old). The mediastinal cysts comprised five pericardial cysts: four bronchogenic cysts, one hydatid cyst, one benign cystic teratoma, one thymic cyst, and one neurenteric cyst. In the case of a ruptured hydatid cyst, we passed it to thoracotomy intra-operatively due to the presence of advanced adhesion related to inflammation. Postoperative complications and mortality did not occur in any case. The average postoperative hospitalisation period was 3.8 days (2–7 days). Video-assisted thoracoscopic surgery in mediastinal cysts is a reliable and effective approach with low morbidity and a shorter hospital stay.

This is a preview of subscription content, access via your institution.

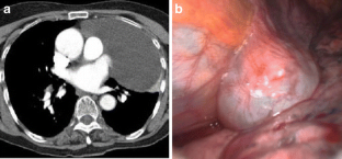
Fig. 1
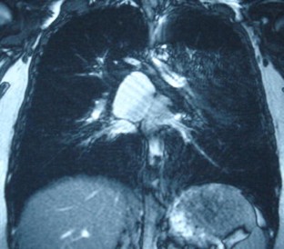
Fig. 2
Fig. 3
Fig. 4
Fig. 5

References

  1. Takeda S, Miyoshi S, Minami M, Ohta M, Masaoka A, Matsuda H (2003) Clinical spectrum of mediastinal cysts. Chest 124:125–132

    PubMed  Article  Google Scholar 

  2. Cohen AJ, Thompson L, Edwards FH et al (1991) Primary cysts and tumors of the mediastinum. Ann Thorac Surg 51:78–86

    Google Scholar 

  3. Güler M, Toker ME, Eren E, Özdemir A, Yakut C (2006) Atypically located pericardial cyst causing pulmonary hypertension. Toraks Dergisi 7:209–211

    Google Scholar 

  4. Weber T, Roth TC, Beshay M, Herrmann P, Stein R, Schmid RA (2004) Video-assisted thoracoscopic surgery of mediastinal bronchogenic cysts in adults: a single-center experience. Ann Thorac Surg 78:987–991

    PubMed  Article  Google Scholar 

  5. Turkyilmaz A, Aydin Y, Erdem AF, Eroglu A, Karaoglanoglu N (2009) Congenital cystic pulmonary malformations in children: our experience with 19 patients. EAJM 41:15–21

    PubMed  PubMed Central  Google Scholar 

  6. Turkyilmaz A, Aydin Y, Ogul H, Eroglu A (2009) Total occlusion of the superior vena cava due to bronchogenic cyst. Acta Chir Belg 109:635–638

    PubMed  CAS  Google Scholar 

  7. Mouroux J, Bourgeon A, Benchimol D et al (1991) Bronchogenic cysts of the esophagus. Classical surgery or video-surgery [in French]? Chirurgie 117:564–568

    PubMed  CAS  Google Scholar 

  8. Eroglu A, Kurkcuoglu C, Karaoglanoglu N, Tekinbas C, Kaynar H, Onbas O (2002) Primary hydatid cysts of the mediastinum. Eur J Cardio Thorac Surg 22:599–601

    Article  Google Scholar 

  9. Jain P, Sanghvi B, Shah H, Parelkar SV, Borwankar SS (2007) Thoracoscopic excision of mediastinal cysts in children. J Minim Access Surg 3:123–126

    PubMed  PubMed Central  Article  Google Scholar 

  10. Pikin O, Kolbanov K, Kazakevich V, Korolev A (2010) Mediastinal mature cystic teratoma perforating into the lung. Interact Cardiovasc Thorac Surg 11:827–829

    PubMed  Article  Google Scholar 

  11. Furukawa K, Takahata S, Ichimiya H, Tanaka M, Sata M (1994) Video-assisted thoracoscopic resection of a mediastinal cyst: report of a case. Surg Today 24:923–925

    PubMed  CAS  Article  Google Scholar 

  12. Kuzucu A, Liman ŞT, Taştepe Aİ, Levendoğlu İ, Çetin G (2000) Thymıc cysts: a revıew of 5 cases. TGKDCD 8:530–532

    Google Scholar 

  13. Zambudio AR, Lanzas JT, Calvo MJ, Fernandez PJ, Paricio PP (2002) Non-neoplastic mediastinal cysts. Eur J Cardiothorac Surg 22:712–716

    PubMed  Article  Google Scholar 

  14. Martinod E, Pons F, Azorin J et al (2000) Thoracoscopic excision of mediastinal bronchogenic cysts: results in 20 cases. Ann Thorac Surg 69:1525–1528

    PubMed  CAS  Article  Google Scholar 

Download references

Author information

Affiliations

Authors

Corresponding author

Correspondence to Yener Aydin.

Rights and permissions

Reprints and Permissions

About this article

Cite this article

Aydin, Y., Araz, O., Ozgokce, M. et al. Video-Assisted Thoracoscopic Surgery of Mediastinal Cysts: Report of 13 Cases. Indian J Surg 77, 236–239 (2015). https://doi.org/10.1007/s12262-012-0782-3

Download citation

  • Received:

  • Accepted:

  • Published:

  • Issue Date:

  • DOI: https://doi.org/10.1007/s12262-012-0782-3

Keywords

  • Mediastinal cyst
  • VATS