Skip to main content

Skeletal Muscle Metastases from Pancreatic Carcinoma–A Case Report and Review of Literature

Abstract

With an overall mortality approaching nearly 100 %, pancreatic cancer is still a challenging disease. A major proportion of pancreatic cancers are still diagnosed at the locally advanced or metastatic stage. Tumors originating from tail region present very late due to the absence of specific symptoms and signs. The usual sites of metastases are the liver, peritoneum and lungs, with occasional reports of metastases in other sites. There are very few documented cases of gastrointestinal cancers manifesting as metastases to muscle. This is a report on a case of pancreatic cancer presenting as metastases to skeletal muscle and multiple other viscera and review of literature for pancreatic cancer metastases.

This is a preview of subscription content, access via your institution.

Fig. 1
Fig. 2
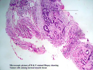
Fig. 3

References

  1. Lowenfels AB, Maisonneuve P (2008) Epidemiology of pancreatic cancer. In: Hans G Beger, Seiki Matsuno, John L Cameron, editors. Diseases of the pancreas current surgical therapy. Springer, p 489

  2. Abdel Hafez HZ (2007) Cutaneous pancreatic metastasis: A case report and review of literature. Indian J Cancer 44:111–114

    Article  Google Scholar 

  3. Gouma DJ, Vervenne WL, Bush ORC (2007) Pancreatic cancer and ampullary cancer. In: Poston GJ, Beauchamp DR, Ruers TJM, (eds). Textbook of surgical oncology. Informa, p 189

  4. Ahlgren JD (1996) Epidemiology and risk factors in pancreatic cancer. Semin Oncol 23:241–250

    CAS  PubMed  Google Scholar 

  5. Hanahan D, Weinberg RA (2000) The hallmarks of cancer. Cell 100:57–70

    CAS  PubMed  Article  Google Scholar 

  6. Muller A, Homey B, Soto H, Ge N, Catron D, Buchanan ME et al (2001) Involvement of chemokine receptors in breast cancer metastasis. Nature 410:50–56

    CAS  PubMed  Article  Google Scholar 

  7. Tawil NJ, Gowri V, Djoneidi M, Nip J, Carbonetto S, Brodt P (1996) Integrin alpha3beta1 can promote adhesion and spreading of metastatic breast carcinoma cells on the lymph node stroma. Int J Cancer 66:703–710

    CAS  PubMed  Article  Google Scholar 

  8. Keleg S, Büchler P, Ludwig R, Büchler MV, Friess H (2002) Invasion and metastasis in pancreatic cancer. Mol Cancer 2:14

    Article  Google Scholar 

  9. McGee SR (2001) Palpation and percussion of the abdomen. Evidence-based physical diagnosis. Philadelphia: Saunders, p 601–604

  10. Miyahara M, Hamanaka Y, Kawabata A et al (1996) Cutaneous metastasis from pancreatic cancer. Int J Pancreatol 20:127–130

    CAS  PubMed  Google Scholar 

  11. Yendluri V, Centeno B, Springett GM (2007) Pancreatic cancer presenting as a Sister Mary Joseph's nodule: case report and update of the literature. Pancreas 34(1):161–164

    PubMed  Article  Google Scholar 

  12. Herring CL Jr, Harrelson JM, Scully SP (1998) Metastatic carcinoma to skeletal muscle: a report of 15 patients. Clin Orthop Relat Res 355:272–281

    PubMed  Article  Google Scholar 

  13. Tuoheti Y, Okada K, Osanai T, Nishida J, Ehara S, Hashimoto M, Itoi E (2004) Skeletal muscle metastases of carcinoma: a clinicopathological study of 12 cases. Jpn J Clin Oncol 34(4):210–214

    PubMed  Article  Google Scholar 

  14. Larson DA, Bottles K, Federle M, Fippin L, Luce J (1988) Skeletal muscle metastases from pancreatic cancer. Onkologie 11:282–285

    CAS  PubMed  Article  Google Scholar 

  15. Malesci A, Montorsi M, Mariani A, Santambrogio R, Bonato C, Bissi O et al (1992) Clinical utility of the serum CA 19–9 test for diagnosing pancreatic carcinoma in symptomatic patients: a prospective study. Pancreas 7:497–502

    CAS  PubMed  Article  Google Scholar 

  16. Tummala P, Junaidi O, Agarwal B (2011) Imaging of pancreatic cancer: an overview. J Gastrointest Oncol 2(3):168–174

    PubMed Central  PubMed  Google Scholar 

  17. Wiersema MJ (2001) Accuracy of endoscopic ultrasound in diagnosing and staging pancreatic carcinoma. Pancreatology 1:625–635

    CAS  PubMed  Article  Google Scholar 

  18. Chang KJ, Nguyen P, Erickson RA, Durbin TE, Katz KD (1997) The clinical utility of endoscopic ultrasoundguided fine-needle aspiration in the diagnosis and staging of pancreatic carcinoma. Gastrointest Endosc 45:387–393

    CAS  PubMed  Article  Google Scholar 

  19. Sewnath ME, Karsten TM, Prins MH, Rauws EJ, Obertop H, Gouma DJ (2002) A meta-analysis on the efficacy of pre-operative biliary drainage for tumors causing obstructive jaundice. Ann Surg 236:17–27

    PubMed Central  PubMed  Article  Google Scholar 

  20. Barreiro CJ, Lillemoe KD, Koniaris LG et al (2002) Diagnostic laparoscopy for periampullary and pancreatic cancer: what is the true benefit? J Gastrointest Surg 6:75–81

    PubMed  Article  Google Scholar 

  21. Brennan MF, Moccia RD, Klimstra D (1996) Management of adenocarcinoma of the body and tail of the pancreas. Ann Surg 223:506–511

    CAS  PubMed Central  PubMed  Article  Google Scholar 

  22. Yeo CJ, Cameron JL, Sohn TA, Lillemoe KD, Pitt HA, Talamini MA et al (1997) Six hundred fifty consecutive pancreaticoduodenectomies in the 1990s: pathology, complications, and outcomes. Ann Surg 226:248–257

    CAS  PubMed Central  PubMed  Article  Google Scholar 

  23. Yamada H, Hirano S, Tanaka E, Shichinohe T, Kondo S (2006) Surgical treatment of liver metastases from pancreatic cancer. HPB (Oxford) 8(2):85–88

    Article  Google Scholar 

  24. Neoptolemos JP, Stocken DD, Friess H, Bassi C, Dunn JA et al (2004) A randomized trial of chemoradiotherapy and chemotherapy after resection of pancreatic cancer. N Engl J Med 350:1200–1210

    CAS  PubMed  Article  Google Scholar 

Download references

Author information

Affiliations

Authors

Corresponding author

Correspondence to M. Meer Chisthi.

Rights and permissions

Reprints and Permissions

About this article

Cite this article

Chisthi, M.M., Manju, P.A. Skeletal Muscle Metastases from Pancreatic Carcinoma–A Case Report and Review of Literature. Indian J Surg 75, 181–184 (2013). https://doi.org/10.1007/s12262-012-0650-1

Download citation

  • Received:

  • Accepted:

  • Published:

  • Issue Date:

  • DOI: https://doi.org/10.1007/s12262-012-0650-1

Keywords

  • Pancreatic carcinoma
  • Skeletal muscles
  • Metastases
  • Tail of pancreas
  • Pelvic deposit