Skip to main content

Immunohistochemical Study of Glypican-3 and HepPar-1 in Differentiating Hepatocellular Carcinoma from Metastatic Carcinomas in FNA of the Liver

Abstract

Hepatocellular carcinoma (HCC) remains a common malignant cancer worldwide, it is considered the fifth most common malignant cancer. On the other hand, metastatic tumors are widespread in the liver , with metastatic adenocarcinoma (MA) constituting the greatest part, therefore differentiation of HCC from MA is a frequent problem facing the pathologist especially in liver fine-needle aspiration biopsies. Evaluating the diagnostic value of glypican-3 (GPC-3) and HepPar-1 immunostaining in differentiating hepatocellular carcinoma from metastatic tumors in liver cell block material. Fourty eight cell blocks prepared from FNA from the liver ( 30 cases HCC, 18 cases metastatic carcinoma in liver ) stained by Glypican -3 and HepPar-1 immunohistochemical markers. Glypican-3 was immunoexpressed in 97 % of cases of HCC while all cases of metastatic carcinoma were negative . HepPar-1 was expressed in 93 % of cases of HCC and 11 % of metastatic carcinoma of the liver . In this study the sensitivity of GPC3 in the diagnosis of HCC in cytological material was 96.7% and the specificity was 100% while the sensitivity and specificity of HepPar-1 was 93.3 % and 88.9 % respectively. Immunohistochemical staining for GPC-3 in cell block material of the liver is highly sensitive and specific and it is a valuable tool capable of differentiating HCC from most of metastatic tumors of the liver.

This is a preview of subscription content, access via your institution.

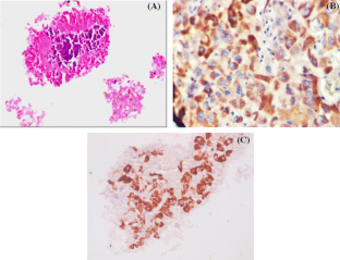
Fig. 1
Fig. 2
Fig. 3
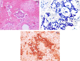
Fig. 4
Fig. 5

References

  1. El Serag HB (2002) Hepatocellullar carcinoma:an epidemiologic view. J Clin Gastroenterol 35(5 suppl 2):S72–S78

    Article  PubMed  Google Scholar 

  2. Waly Raphael S, Yangde Z and Yuxiang C (2012)Hepatocellular carcinom :focus on different aspects of management.ISRN Oncol;2012: 421673

  3. National Cancer Instiute Cairo (2010) Cancer registry 2002-2007. Website: www.Nci.edu.eg.data

  4. Anwar AA, Khaled HM, Amra H et al (2008) Changing pattern of hepatocellullar carcinoma (HCC) and its risk factors in Egypt: possibilities for prevention. Mutat Res 659:176–184

    Article  CAS  PubMed  Google Scholar 

  5. Aleem E, Elshayeb A, Elhabschi N, Mansour AR, Gowily A, Hela A (2012) Serum IGFBP-1 is a more effective predictor than IGF-1 and IGF-2 for the development of hepatocellular carcinoma in patients with chronic HCV infection. Oncol Lett 3(3):704–712

    PubMed Central  CAS  PubMed  Google Scholar 

  6. Choi BI (2004) The current status of imaging diagnosis of hepatocellullar carcinoma. Liver Transpl 10(2 suppl 1):S20–S25

    Article  PubMed  Google Scholar 

  7. Ligato S, Mandich D, Richard W (2008) Utility of glypican-3 in differentiating hepatocellular carcinoma from other primary and metastatic lesions in FNA of the liver: an immunocytochemical study. Mod Pathol 21:626–631

    Article  CAS  PubMed  Google Scholar 

  8. Kakar S, Gown AM, Goodman ZD, Ferrell LD (2007) Best practices in diagnostic immunohistochemistry: hepatocellular carcinoma versus metastatic neoplasms. Archit Pathol Lab 131:1648–1654

    Google Scholar 

  9. Kandil D, Cooper K (2009) Glypican-3 a novel diagnostic marker for hepatocellular carcinoma and more. Adv Anat Pathol 16:125–129

    Article  CAS  PubMed  Google Scholar 

  10. Yamauchi N, Watanabe A, Hishinuma M et al (2005) The glypican 3 oncofetal protein is a promising diagnostic marker for hepatocellular carcinoma. Mod Pathol 18:1591–1598

    CAS  PubMed  Google Scholar 

  11. Suriawinata A, Thung SN (2010) Molecular signature of early hepatocellular carcinoma. Oncol 78:36–39

    Article  CAS  Google Scholar 

  12. Anatelli F, Chuang S, Yang X, Wang H (2008) Value of glypican 3 immunostaining in the diagnosis of hepatocellullar carcinoma on needle biopsy. Am J Clin Pathol 130:219–223

    Article  PubMed  Google Scholar 

  13. Di Tommaso L, Franchi G, Park YN et al (2007) Diagnostic value of HSP70, glypican 3 and glutamine synthetase in hepatocellullar nodules in cirrhosis. Hepatology 45:725–734

    Article  PubMed  Google Scholar 

  14. Shafizadeh N, Ferrell LD, Kakar S (2008) Utility and limitations of glypican-3 expression for the diagnosis of hepatocellular carcinoma at both ends of the differentiation spectrum. Mod Pathol 21:1011–1018

    Article  CAS  PubMed  Google Scholar 

  15. Yan BC, Gong C, Song J et al (2010) Arginase-1: a new immunohistochemical marker of hepatocytes and hepatocellular neoplasms. Am J Surg Pathol 34:1147–1154

    Article  PubMed Central  PubMed  Google Scholar 

  16. Hajosi-Kalcakosz S, Dezso K, Buggik E et al (2012) Enhancer of zeste homologue 2(EZH2) is a reliable immunohistochemical marker to differentiate malignant and bengin hepatic tumors. Diagn Pathol 7:86

    Article  PubMed Central  PubMed  Google Scholar 

  17. Thiese ND,Curado MP and Franceschi S (2010) Hepatocellullar carcinoma .In WHO classification of tumors of the digestive system .4th edition .Edited by Bosman FT, Carneiro F,Hruban RH, Thiese ND. Lyon, France IARC Press:205-216

  18. Ishak KG,Goodman ZD and Stocker JT (2001) Tumor of liver and intrahepatic bile ducts: in :Atlas of tumor pathology, 3rd series,Fascicle 31. Washington, DC: Armed Forces Institute of Pathology; 9-48

  19. Sternberg SS, Mills SE, Carter D (2010) Sternberg s diagnostic surgical pathology, 5th edn. Wolter Kluwer Lippincott Williams& Wilkins, Philadelphia

    Google Scholar 

  20. Wee A (2011) Fine needle aspiration biopsy of hepatocellullar carcinoma and hepatocellular nodular lesions: role, controversies and approach to diagnosis. Cytopathology 22:287–305

    Article  CAS  PubMed  Google Scholar 

  21. Ceyhan K, Kupana SA, Bektas M et al (2007) The diagnostic value of on-site cytopathological evaluation and cell block preparation in fine needle aspiration cytology of liver masses. Cytopathology 17:267–274

    Article  Google Scholar 

  22. Shiran MS, Isa MR, Sherina MS, Rampal L, Hairuszah I, Sabariah AR (2006) The utility of hepatocyte paraffin-1 antibody in the immunohistochemical distinction of hepatocellular carcinoma from cholangiocarcinoma and metastatic carcinoma. Malays J Pathol 28(2):87–92

    CAS  PubMed  Google Scholar 

  23. Shirakawa H, Kuronuma T, Nishimura Y (2009) Glypican-3 as a useful diagnostic marker for a component of hepatocellullar carcinoma in human liver cancer. Int J Oncol 34:649–656

    CAS  PubMed  Google Scholar 

  24. Abdelgawad IA, Mossallam GI, Radwan NH, Elzawahry HM, Elhifnawy NM (2013) Can glypican-3 be diagnostic for early hepatocellular carcinoma among Egyptian patients. Asian Pac J Cancer Prev 14:7345–7349

    Article  PubMed  Google Scholar 

  25. Zaakook M, Ayoub M, Sinna EA, El-Sheik S (2013) Role of glypican-3 immunocytochemistry in differentiatating hepatocellullar carcinoma from metastatic carcinima of the liver utilizing fine needle aspiration cytology. J Egypt Nati Inst Dec 25(4):173–80

    Article  Google Scholar 

  26. Nasser A, Cohen C, Siddiqui MT (2009) Utility of glypican-3 and survivin in differentiating hepatocellular carcinoma from benign and preneoplastic hepatic lesions and metastatic carcinomas in liver fine- needle aspiration biopsies. Diagn Cytopathol 37(9):629–35

    Article  Google Scholar 

  27. McKnight R, Nassar A, Cohen C, Siddiqui MT (2012) Arginase-1: a novel immunohistochemical marker of hepatocellullar differentiation in fine needle aspiration cytology. Cancer Cytopathol 120:223–229

    Article  CAS  PubMed  Google Scholar 

  28. Fujiwara M, Kwok S, Yano H, Pai RK (2012) Arginase-1 is a more sensitivemarker of hepatic differentiation than HepPar-1 and Glypican-3 in fine needle aspiration biopsies. Cancer Cytopathol 120:230–237

    Article  CAS  PubMed  Google Scholar 

  29. Timek DT, Shi J, Liu H, Lin F (2012) Arginase-1, HepPar-1 and Glypican-3 are the most effective panel of markers in differentiating hepatocellular carcinoma from metastatic tumor on fine needle aspiration specimens. Am J Clin Pathol 138:203–210

    Article  PubMed  Google Scholar 

  30. Radwan NA, Ahmed NS (2012) The diagnostic value of arginase-1 immunostaining in differentiating hepatocellular carcinoma from metastatic carcinoma and cholangiocarcinoma as compared to HepPar-1. Diagn Pathol 7:149

    Article  PubMed Central  PubMed  Google Scholar 

Download references

Author information

Affiliations

Authors

Corresponding author

Correspondence to Samar M. Abdel-Raouf.

Rights and permissions

Reprints and Permissions

About this article

Verify currency and authenticity via CrossMark

Cite this article

Ibrahim, T.R., Abdel-Raouf, S.M. Immunohistochemical Study of Glypican-3 and HepPar-1 in Differentiating Hepatocellular Carcinoma from Metastatic Carcinomas in FNA of the Liver. Pathol. Oncol. Res. 21, 379–387 (2015). https://doi.org/10.1007/s12253-014-9830-6

Download citation

  • Received:

  • Accepted:

  • Published:

  • Issue Date:

  • DOI: https://doi.org/10.1007/s12253-014-9830-6

Keywords

  • HCC
  • MA
  • Fine needle aspiration
  • Glypican-3
  • GPC-3
  • HepPar-1
  • Immunohistochemistry