Abstract
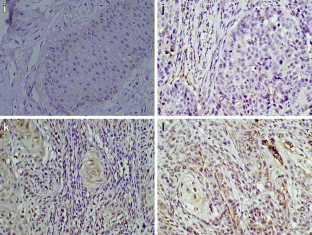
The objectives of this study are to investigate the expressions of matrix metalloproteinase inducing factor (CD147), matrix metalloproteinase-2 (MMP-2), matrix metalloproteinase-9 (MMP-9) in laryngeal tumor tissues and its significant correlation with tumor infiltration, metastasis and prognosis. Laryngeal tumor tissue from 48 laryngeal cancer patients with complete clinical information was collected. The laryngitis tissue from 15 patients were collected as control group. Immunohistochemical analysis for CD147, MMP-2 and MMP-9 was performed for all the tissue. The results showed the expression rates of CD147, MMP-2 and MMP-9 in laryngeal carcinoma were 87.5 %, 75.0 % and 79.2 % respectively, significantly higher than those (26.7 %, 6.7 %, and 33.3 % respectively) in the control group are (P < 0.01). High expression of CD147, MMP-2 and MMP-9 related to the clinical stages and lymphatic metastasis of laryngeal carcinoma. Univariate survival analysis showed that the 5-year survival of laryngeal carcinoma patients with low expression of CD147, MMP-2 and MMP-9was 83.3 %, 83.3 % and 90 % respectively, while the patients with high expression had 5-year survival at 25 %, 7.7 % and 18.2 % respectively (P < 0.05). Multiple regression analysis showed that high expression of MMP-9 was independently associated with poor prognosis (P < 0.05). High expression of CD147, MMP-2 and MMP-9 were related with laryngeal carcinoma invasion and metastasis. High expressions of CD147, MMP-2 and MMP-9 were all predictive factors of poor prognosis of laryngeal carcinoma.





References
Nabeshima K, Iwasaki H, Koga K, Hojo H, Suzumiya J, Kikuchi M (2006) Emmprin (basigin/CD147):matrix metalloproteinase modulator and multifunctional cell recognition molecule that plays a critical role in cancer progression. Pathol Int 56:359–367
Tang Y, Kesavan P, Nakada MT, Yan L (2004) Tumor-stroma interaction: positive feedback regulation of extracellular matrix metalloproteinase inducer (EMMPRIN) expression and matrix metalloproteinase-dependent generation of soluble EMMPRIN. Mol Cancer Res 2:73–80
Kato Y, Yamashita T, Ishikawa M (2002) Relationship between expression of matrix metalloproteinase-2 and matrix metalloproteinase-9 and invasion ability of cervical cancer cells. Oncol Rep 9:565–569
Egeblad M, Werb Z (2002) New functions for the matrix metalloproteinases in cancer progression. Nat Rev Cancer 2:161–174
Jodele S, Blavier L, Yoon JM, DeClerk YA (2006) Modifying the soil to affect the seed: Role of stromal-derived matrix metalloproteinases in cancer progression. Cancer Metastasis Rev 25:35–43
Li Y, Xu J, Chen L, Zhong WD, Zhang Z, Mi L, Zhang Y, Liao CG, Bian HJ, Jiang JL, Yang XM, Li XY, Fan CM, Zhu P, Fu L, Chen ZN (2009) HAb18G (CD147), a cancer-associated biomarker and its role in cancer detection. Histopathology 54:677–687
Guo H, Li R, Zucker S, Toole BP (2000) EMMPRIN (CD147), an inducer of matrix metalloproteinase synthesis, also binds interstitial collagenase to the tumor cell surface. Cancer Res 60:888–891
Riethdorf S, Reimers N, Assmann V, Kornfeld JW, Terracciano L, Sauter G, Pantel K (2006) High incidence of EMMPRIN expression in human tumors. Int J Cancer 119:1800–1810
Noguchi Y, Sato T, Hirata M, Hara T, Ohama K, Ito A (2003) Identification and characterization of extracellular matrix metalloproteinase inducer in humane ndometrium during the menstrual cycle in vivo and in vitro. J Clin Endocrinol Metab 88:6063–6072
Kanekura T, Chen X, Kanzaki T (2002) Basigin (CD147)is expressed on melanoma cells and induces tumor cell invasion by stimulating production of matrix metalloproteinases by fibroblasts. Int J Cancer 99:520–528
Xu J, Shen ZY, Chen XG, Zhang Q, Bian HJ, Zhu P, Xu HY, Song F, Yang XM, Mi L, Zhao QC, Tian R, Feng Q, Zhang SH, Li Y, Jiang JL, Li L, Yu XL, Zhang Z, Chen ZN (2007) A randomized controlled trial of Licartin for preventing hepatoma recurrence after liver transplantation. Hepatology 45:269–276
Su J, Chen X, Kanekura T (2009) A CD147-targeting siRNA inhibits the proliferation, invasiveness, and VEGF production of human malignant melanoma cells by down regulating glycolysis. Cancer Lett 273:140–147
Kuang YH, Chen X, Su J, Wu LS, Li J, Chang J, Qiu Y, Chen ZS, Kanekura T (2008) Proteome analysis of multidrug resistance of human oral squamous carcinoma cells using CD147 silencing. J Proteome Res 7:4784–4791
Jia L, Wei W, Cao J, Xu H, Miao J, Zhang J (2009) Silencing CD147 inhibits tumor progression and increases chemosensitivity inmurine lymphoid neoplasm P388D1 cells. Ann Hematol 88(8):753–760
Acknowledgment
The study is supported by Health Commission Funding for Science and Technology Talent.
Conflict of interest
There is no conflict of interests between the authors.
Author information
Authors and Affiliations
Corresponding author
Additional information
Xiaoxia Gou and Haixia Chen contributed equally to this work.
Rights and permissions
About this article
Cite this article
Gou, X., Chen, H., Jin, F. et al. Expressions of CD147, MMP-2 and MMP-9 in Laryngeal Carcinoma and its Correlation with Poor Prognosis. Pathol. Oncol. Res. 20, 475–481 (2014). https://doi.org/10.1007/s12253-013-9720-3
Received:
Accepted:
Published:
Issue Date:
DOI: https://doi.org/10.1007/s12253-013-9720-3