Abstract
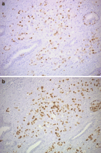
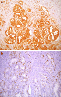
Prostate cancer (PCa) is a potentially curable disease when diagnosed in early stages and subsequently treated with radical prostatectomy (RP). However, a significant proportion of patients tend to relapse early, with the emergence of biochemical failure (BF) as an established precursor of progression to metastatic disease. Several candidate molecular markers have been studied in an effort to enhance the accuracy of existing predictive tools regarding the risk of BF after RP. We studied the immunohistochemical expression of p53, cyclooxygenase-2 (COX-2) and cyclin D1 in a cohort of 70 patients that underwent RP for early stage, hormone naïve PCa, with the aim of prospectively identifying any possible interrelations as well as correlations with known prognostic parameters such as Gleason score, pathological stage and time to prostate-specific antigen (PSA) relapse. We observed a significant (p = 0.003) prognostic role of p53, with high protein expression correlating with shorter time to BF (TTBF) in univariate analysis. Both p53 and COX-2 expression were directly associated with cyclin D1 expression (p = 0.055 and p = 0.050 respectively). High p53 expression was also found to be an independent prognostic factor (p = 0.023). Based on previous data and results provided by this study, p53 expression exerts an independent negative prognostic role in localized prostate cancer and could therefore be evaluated as a useful new molecular marker to be added in the set of known prognostic indicators of the disease. With respect to COX-2 and cyclin D1, further studies are required to elucidate their role in early prediction of PCa relapse after RP.
This is a preview of subscription content, access via your institution.



References
Bostwick DG, Grignon DJ, Hammond ME et al (1999) Prognostic factors in prostate cancer. College of American pathologists consensus statement 1999. Arch Pathol Lab Med 124:995–1000
Brooks JD, Bova GS, Ewing CM et al (1996) An uncertain role for p53 gene alterations in human prostate cancers. Cancer Res 56:3814–3822
Taylor D, Koch WM, Zahurak M et al (1999) Immunohistochemical detection of p53 protein accumulation in head and neck cancer: correlation with p53 gene alterations. Hum Pathol 30:1221–1225
Zha S, Yegnasubramanian V, Nelson WG et al (2004) Cyclooxygenases in cancer: progress and perspective. Cancer Lett 215:1–20
Pruthi RS, Derksen E, Gaston K (2003) Cyclooxygenase-2 as a potential target in the prevention and treatment of genitourinary tumors: a review. J Urol 169:2352–2359
Gupta S, Srivastava M, Ahmad N et al (2000) Over-expression of cyclooxygenase-2 in human prostate adenocarcinoma. Prostate 42:73–78
Yoshimura R, Sano H, Masuda C et al (2000) Expression of cyclooxygenase-2 in prostate carcinoma. Cancer 89:589–596
Lee LM, Pan CC, Cheng CJ et al (2001) Expression of cyclooxygenase-2 in prostate adenocarcinoma and benign prostatic hyperplasia. Anticancer Res 21:1291–1294
Uotila P, Valve E, Martikainen P et al (2001) Increased expression of cyclooxygenase-2 and nitric oxide synthase-2 in human prostate cancer. Urol Res 29:23–28
Zang T, Sun F, Li Y (2001) Expression of COX-2 in prostatic cancer and benign prostatic hyperplasia. Zhonghua Wai Ke Za Zhi 39:702–703
Edwards J, Mukherjee R, Munro AF et al (2004) HER2 and COX2 expression in human prostate cancer. Eur J Cancer 40:50–55
Denkert C, Thoma A, Niesporek S et al (2007) Overexpression of cyclooxygenase-2 in human prostate carcinoma and prostatic intraepithelial neoplasia-association with increased expression of Polo-like kinase-1. Prostate 67:361–369
Shappell SB, Manning S, Boeglin WE et al (2001) Alterations in lipoxygenase and cyclooxygenase-2 catalytic activity and mRNA expression in prostate carcinoma. Neoplasia 3:287–303
Bartkova J, Lukas J, Strauss M et al (1995) Cyclin D1 oncoprotein aberrantly accumulates in malignancies of diverse histogenesis. Oncogene 10:775–778
Chen Y, Martinez LA, LaCava M et al (1998) Increased cell growth and tumorigenicity in human prostate LNCaP cells by overexpression to cyclin D1. Oncogene 16:1913–1920
Gumbiner LM, Gumerlock PH, Mack PC et al (1999) Overexpression of cyclin D1 is rare in human prostate carcinoma. Prostate 38:40–45
Shiraishi T, Watanabe M, Muneyuki T et al (1998) A clinicopathological study of p53, p21 (WAF1/CIP1) and cyclin D1 expression in human prostate cancers. Urol Int 61:90–94
Osman I, Yee H, Taneja SS et al (2004) Neutral endopeptidase protein expression and prognosis in localized prostate cancer. Clin Cancer Res 10:4096–4100
Brehm A, Miska EA, McCance DJ et al (1998) Retinoblastoma protein recruits histone deacetylase to repress transcription. Nature 391:597–601
Guardavaccaro D, Corrente G, Covone F et al (2000) Arrest of G(1)-S progression by the p53-inducible gene PC3 is Rb dependent and relies on the inhibition of cyclin D1 transcription. Mol Cell Biol 20:1797–1815
Rocha S, Martin AM, Meek DW et al (2003) p53 represses cyclin D1 transcription through down regulation of Bcl-3 and inducing increased association of the p52 NF-kappaB subunit with histone deacetylase 1. Mol Cell Biol 23:4713–4727
Agus DB, Cordon-Cardo C, Fox W et al (1999) Prostate cancer cell cycle regulators: response to androgen withdrawal and development of androgen independence. J Natl Cancer Inst 91:1869–1876
Narayanan BA, Narayanan NK, Davis L et al (2006) RNA interference-mediated cyclooxygenase-2 inhibition prevents prostate cancer cell growth and induces differentiation: modulation of neuronal protein synaptophysin, cyclin D1, and androgen receptor. Mol Cancer Ther 5:1117–1125
Subbaramaiah K, Altorki N, Chung WJ et al (1999) Inhibition of cyclooxygenase-2 gene expression by p53. J Biol Chem 274:10911–10915
Han JA, Kim JI, Ongusaha PP et al (2002) P53-mediated induction of Cox-2 counteracts p53- or genotoxic stress-induced apoptosis. EMBO J 21:5635–5644
Choi EM, Heo JI, Oh JY et al (2005) COX-2 regulates p53 activity and inhibits DNA damage-induced apoptosis. Biochem Biophys Res Commun 328:1107–1112
Bauer JJ, Sesterhenn IA, Mostofi KF et al (1995) p53 nuclear protein expression is an independent prognostic marker in clinically localized prostate cancer patients undergoing radical prostatectomy. Clin Cancer Res 1:1295–1300
Shurbaji MS, Kalbfleisch JH, Thurmond TS (1995) Immunohistochemical detection of p53 protein as a prognostic indicator in prostate cancer. Hum Pathol 26:106–109
Bauer JJ, Sesterhenn IA, Mostofi FK et al (1996) Elevated levels of apoptosis regulator proteins p53 and bcl-2 are independent prognostic biomarkers in surgically treated clinically localized prostate cancer. J Urol 156:1511–1516
Moul JW, Bettencourt MC, Sesterhenn IA et al (1996) Protein expression of p53, bcl-2, and KI-67 (MIB-1) as prognostic biomarkers in patients with surgically treated, clinically localized prostate cancer. Surgery 120:159–166
Theodorescu D, Broder SR, Boyd JC et al (1997) P53, bcl-2 and retinoblastoma proteins as long-term prognostic markers in localized carcinoma of the prostate. J Urol 158:131–137
Brewster SF, Oxley JD, Trivella M et al (1999) Preoperative p53, bcl-2, CD44 and E-cadherin immunohistochemistry as predictors of biochemical relapse after radical prostatectomy. J Urol 161:1238–1243
Osman I, Drobnjak M, Fazzari M et al (1999) Inactivation of the p53 pathway in prostate cancer: impact on tumor progression. Clin Cancer Res 5:2082–2088
Leibovich BC, Cheng L, Weaver AL et al (2000) Outcome prediction with p53 immunostaining after radical prostatectomy in patients with locally advanced prostate cancer. J Urol 163:1756–1760
Deliveliotis C, Skolarikos A, Karayannis A et al (2003) The prognostic value of p53 and DNA ploidy following radical prostatectomy. World J Urol 21:171–176
Schlomm T, Iwers L, Kirstein P et al (2008) Clinical significance of p53 alterations in surgically treated prostate cancers. Mod Pathol 21:1371–1378
Oxley JD, Winkler MH, Parry K et al (2002) P53 and bcl-2 immunohistochemistry in preoperative biopsies as predictors of biochemical recurrence after radical prostatectomy. BJU Int 89:27–32
Revelos K, Petraki C, Gregorakis A et al (2005) Immunohistochemical expression of Bcl2 is an independent predictor of time-to-biochemical failure in patients with clinically localized prostate cancer following radical prostatectomy. Anticancer Res 25:3123–3133
Yang G, Stapleton AM, Wheeler TM et al (1996) Clustered p53 immunostaining: a novel pattern associated with prostate cancer progression. Clin Cancer Res 2:399–401
Stapleton AM, Zbell P, Kattan MW et al (1998) Assessment of the biologic markers p53, Ki-67, and apoptotic index as predictive indicators of prostate carcinoma recurrence after surgery. Cancer 82:168–175
Quinn DI, Henshall SM, Head DR et al (2000) Prognostic significance of p53 nuclear accumulation in localized prostate cancer treated with radical prostatectomy. Cancer Res 60:1585–1594
Inoue T, Segawa T, Shiraishi T et al (2005) Androgen receptor, Ki67, and p53 expression in radical prostatectomy specimens predict treatment failure in Japanese population. Urology 66:332–337
Wu TT, Hsu YS, Wang JS et al (2003) The role of p53, bcl-2 and E-cadherin expression in predicting biochemical relapse for organ confined prostate cancer in Taiwan. J Urol 170:78–81
Goto T, Nguyen BP, Nakano M et al (2008) Utility of Bcl-2, P53, Ki-67, and caveolin-1 immunostaining in the prediction of biochemical failure after radical prostatectomy in a Japanese population. Urology 72:167–171
Nariculam J, Freeman A, Bott S et al (2009) Utility of tissue microarrays for profiling prognostic biomarkers in clinically localized prostate cancer: the expression of BCL-2, E-cadherin, Ki-67 and p53 as predictors of biochemical failure after radical prostatectomy with nested control for clinical and pathological risk factors. Asian J Androl 11:109–118
Krupski T, Petroni GR, Frierson HF Jr et al (2000) Microvessel density, p53, retinoblastoma, and chromogranin A immunohistochemistry as predictors of disease-specific survival following radical prostatectomy for carcinoma of the prostate. Urology 55:743–749
Leibovich BC, Cheng L, Weaver AL et al (2000) Outcome prediction with p53 immunostaining after radical prostatectomy in patients with locally advanced prostate cancer. J Urol 163:1756–1760
Visakorpi T, Kallioniemi OP, Heikkinen A et al (1992) Small subgroup of aggressive, highly proliferative prostatic carcinomas defined by p53 accumulation. J Natl Cancer Inst 84:883–887
Deliveliotis C, Skolarikos A, Karayannis A et al (2003) The prognostic value of p53 and DNA ploidy following radical prostatectomy. World J Urol 21:171–176
Kirschenbaum A, Klausner AP, Lee R et al (2000) Expression of cyclooxygenase-1 and cyclooxygenase-2 in the human prostate. Urology 56:671–676
Zha S, Gage WR, Sauvageot J et al (2001) Cyclooxygenase-2 is up-regulated in proliferative inflammatory atrophy of the prostate, but not in prostate carcinoma. Cancer Res 61:8617–8623
Wang W, Bergh A, Damber JE (2005) Cyclooxygenase-2 expression correlates with local chronic inflammation and tumor neovascularization in human prostate cancer. Clin Cancer Res 11:3250–3256
Dassesse T, de Leval X, de Leval L et al (2006) Activation of the thromboxane A2 pathway in human prostate cancer correlates with tumor Gleason score and pathologic stage. Eur Urol 50:1021–1031
Di Lorenzo G, De Placido S, Autorino R et al (2005) Expression of biomarkers modulating prostate cancer progression: implications in the treatment of the disease. Prostate Cancer Prostatic Dis 8:54–59
Rubio J, Ramos D, López-Guerrero JA et al (2005) Immunohistochemical expression of Ki-67 antigen, cox-2 and Bax/Bcl-2 in prostate cancer; prognostic value in biopsies and radical prostatectomy specimens. Eur Urol 48:745–751
Rao DS, Gui D, Koski ME et al (2006) An inverse relation between COX-2 and E-cadherin expression correlates with aggressive histologic features in prostate cancer. Appl Immunohistochem Mol Morphol 14:375–383
Cohen BL, Gomez P, Omori Y et al (2006) Cyclooxygenase-2 (COX-2) expression is an independent predictor of prostate cancer recurrence. Int J Cancer 119:1082–1087
Bin W, He W, Feng Z, et al (2009) Prognostic relevance of cyclooxygenase-2 (COX-2) expression in Chinese patients with prostate cancer. Acta Histochem (in press). doi:10.1016/j.acthis.2009.09.004
Comstock CE, Revelo MP, Buncher CR et al (2007) Impact of differential cyclin D1 expression and localisation in prostate cancer. Br J Cancer 96:970–979
Kallakury BV, Sheehan CE, Ambros RA et al (1997) The prognostic significance of p34cdc2 and cyclin D1 protein expression in prostate adenocarcinoma. Cancer 80:753–763
Drobnjak M, Osman I, Scher HI et al (2000) Overexpression of cyclin D1 is associated with metastatic prostate cancer to bone. Clin Cancer Res 6:1891–1895
Aaltomaa S, Kärjä V, Lipponen P et al (2006) Expression of Ki-67, cyclin D1 and apoptosis markers correlated with survival in prostate cancer patients treated by radical prostatectomy. Anticancer Res 26:4873–4878
Gannon PO, Koumakpayi IH, Le Page C et al (2008) Ebp1 expression in benign and malignant prostate. Cancer Cell Int 8:18–28
Acknowledgements
The authors declare that there is no conflict of interest related to this article.
Author information
Authors and Affiliations
Corresponding author
Additional information
Panagiotis J. Vlachostergios and Foteini Karasavvidou contributed equally to this work.
Rights and permissions
About this article
Cite this article
Vlachostergios, P.J., Karasavvidou, F., Patrikidou, A. et al. p53 and Cyclooxygenase-2 Expression are Directly Associated with Cyclin D1 Expression in Radical Prostatectomy Specimens of Patients with Hormone-Naïve Prostate Cancer. Pathol. Oncol. Res. 18, 245–252 (2012). https://doi.org/10.1007/s12253-011-9435-2
Received:
Accepted:
Published:
Issue Date:
DOI: https://doi.org/10.1007/s12253-011-9435-2
Keywords
- p53
- Cyclooxygenase-2
- Cyclin D1
- Radical prostatectomy
- Prostate cancer
- Biochemical failure