Skip to main content

Monolobar Hepatobiliary Fibropolycystic Disease

Abstract

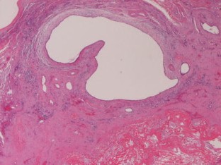
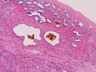
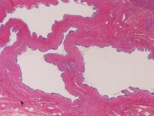
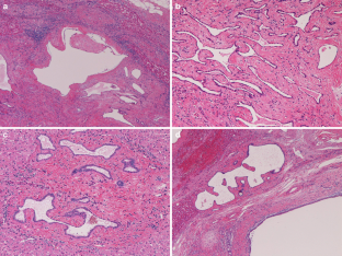
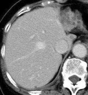
We herein report a case of monolobar hepatobiliary fibropolycystic disease. A 75-year-old woman presented with heartburn. Imaging modalities including US, CT, and MRI revealed marked atrophy and multiple biliary cysts of the hepatic left lobe. The hepatic right lobe was normal. ERCP and bile duct endoscopy revealed anomalous pancreaticobiliary union, choledochal dilation, dilation of left intrahepatic bile ducts, and small choledochal non-invasive adenocarcinoma. Polycystic kidney diseases were absent. The patient underwent pancreatico-duodenectomy and extended hepatic left lobectomy. Grossly, the hepatic left lobe was markedly atrophic, and studded with numerous biliary cysts. The left intrahepatic bile ducts were dilated (Caroli’s disease) and the common bile duct showed type I choledochal dilation. The right hepatic lobe was normal. Histologically, the hepatic left lobe was replaced by fibroelastosis. The intrahepatic bile ducts showed ductal plate malformation such as irregular contours, invaginations, and protrusions. The numerous biliary cysts also showed ductal plate malformation. There were numerous persistent ductal plates and microhamartomas. Many hyalinized destructive biliary cysts and ductal plates were recognized. The liver parenchyma was scant and free of hepatocellular malformations. The portal veins showed old obliterative portal thrombosis. The right hepatic lobe was normal. Immunohistochemically, the biliary cells were positive for cytokeratin 7, 8, 18 and 19, and MUC6 and CD10, but negative for MUC2 and MUC5AC. The biliary cysts, persistent ductal plate, and microhamartomas were positive for fetal apomucin antigen MUC1.

This is a preview of subscription content, access via your institution.

Fig. 1
Fig. 2
Fig. 3
Fig. 4
Fig. 5
Fig. 6
Fig. 7
Fig. 8
Fig. 9
Fig. 10
Fig. 11
Fig. 12

References

  1. Jorgensen MJ (1977) The ductal plate malformation. Acta Pathol Microbiol Scand Supple 257:1–87

    Google Scholar 

  2. Desmet VJ (1992) Congenital disease of intrahepatic bile ducts: variations on the theme “ductal plate malformation”. Hepatology 16:1069–1083

    PubMed  Article  CAS  Google Scholar 

  3. Terada T, Nakanuma Y, Ohta G (1987) Glandular elements around the intrahepatic bile ducts in man: their morphology and distribution in normal livers. Liver 7:1–8

    PubMed  CAS  Google Scholar 

  4. Terada T, Nakanuma Y (1995) Detection of apoptosis and expression of apoptosis-related proteins during human intrahepatic bile duct development. Am J Pathol 146:67–74

    PubMed  CAS  Google Scholar 

  5. Terada T, Nakanuma Y (1993) Development of human intrahepatic peribiliary glands: histological, keratin immunohistochemical and mucus histochemical analyses. Lab Invest 68:261–269

    PubMed  CAS  Google Scholar 

  6. Terada T, Okada Y, Nakanuma Y (1995) Expression of matrix proteinases during human intrahepatic bile duct development: a possible role in biliary cell migration. Am J Pathol 147:1207–1213

    PubMed  CAS  Google Scholar 

  7. Terada T, Nakanuma Y (1995) Expression of pancreatic enzymes (α-amylase, trypsinogen and lipase) during human liver development and maturation. Gastroenterology 108:1236–1245

    PubMed  Article  CAS  Google Scholar 

  8. Terada T, Nakanuma Y (1994) Profiles of expression of carbohydrate chain structures during human intrahepatic bile duct development and maturation: a lectin-histochemical and immunohistochemical study. Hepatology 20:388–397

    PubMed  Article  CAS  Google Scholar 

  9. Terada T, Nakanuma Y (1994) Expression of tenascin, type IV collagen and laminin during human intrahepatic bile duct development and in intrahepatic cholangiocarcinoma. Histopathology 25:143–150

    PubMed  Article  CAS  Google Scholar 

  10. Terada T, Ohta T, Nakanuma Y (1994) Expression of transforming growth factor-α and its receptor during human liver development and maturation. Virchows Archiv 424:669–675

    PubMed  Article  CAS  Google Scholar 

  11. Terada T, Nakanuma Y, Sirica AE (1998) Immunohistochemical demonstration of MET overexpression in human intrahepatic cholangiocarcinoma and in hepatolithiasis. Hum Pathol 29:175–180

    PubMed  Article  CAS  Google Scholar 

  12. Terada T, Ashida K, Kitamura Y, Matsunaga Y, Takashima K, Kato M, Ohta T (1998) Expression of E-cadherin, alpha-catenin and beta-catenin during human intrahepatic bile duct development. J Hepatol 28:263–269

    PubMed  Article  CAS  Google Scholar 

  13. Terada T, Kato M, Horie S, Endo K, Kitamura Y (1998) Expression of pancreatic alpha-amylase protein and messenger RNA on hilar primitive bile ducts and hepatocytes during human fetal liver organogenesis: an immunohistochemical and in situ hybridization study. Liver 18:313–319

    PubMed  CAS  Google Scholar 

  14. Terada T, Ukita Y, Ueyama J, Ohta T (2000) Protein expression of double-stranded RNA-activated protein kinase (PKR) in intrahepatic bile ducts in normal adult livers, fetal livers, primary biliary cirrhosis, hepatolithiasis and intrahepatic cholangiocarcinoma. Liver 20:450–457

    PubMed  Article  CAS  Google Scholar 

  15. Kato M, Shinozawa T, Kato S, Terada T (2000) Divergent expression of midkine in the human fetal liver and kidney: an immunohistochemical analysis of developmental changes in hilar primitive bile ducts and hepatocytes. Liver 20:475–481

    PubMed  Article  CAS  Google Scholar 

  16. Kato M, Shinozawa T, Kato S, Terada T (2004) Immunohistochemical localization of truncated midkine in developing human bile ducts. Histol Histopathol 18:129–134

    Google Scholar 

  17. Sasaki M, Nakanuma Y, Terada T, Kim YS (1995) Biliary epithelial expression of MUC1, MUC2, MUC3 and MUC5/6 apomucins during intrahepatic bile duct development and maturation. Am J Pathol 147:574–579

    PubMed  CAS  Google Scholar 

  18. Terada T, Nakanuma Y (1993) Development of human peribiliary capillary plexus: a lectin-histochemical and immunohistochemical study. Hepatology 18:529–536

    PubMed  Article  CAS  Google Scholar 

  19. Terada T, Kitamura Y, Nakanuma Y (1997) Normal and abnormal development of the intrahepatic biliary system: a review Tohoku. J Exp Med 181:19–32

    CAS  Google Scholar 

  20. Summerfield JA, Nagafuchi Y, Sherlock S, Cadafalch J, Scheuer PJ (1986) Hepatobiliary fibropolycystic disease: a clinical and histological review of 51 patients. J Hepatol 2:141–156

    PubMed  Article  CAS  Google Scholar 

  21. Terada T, Kawaguchi M, Furukawa K, Sekido Y, Osamura Y (2002) Minute mixed ductal-endocrine carcinoma of the pancreas with predominant intraductal growth. Pathol Int 52:740–746

    PubMed  Article  Google Scholar 

  22. Terada T, Kawaguchi M (2005) Primary clear cell adenocarcinoma of the peritoneum. Tohoku J Exp Med 271:271–275

    Article  Google Scholar 

  23. Terada T, Tanigichi M (2004) Intraductal oncocytic papillary neoplasm of the liver. Pathol Int 54:116–123

    PubMed  Article  Google Scholar 

  24. Terada T (2009) Gastrointestinal stromal tumor of the uterus: a case report with genetic analyses of c-kit and PDGFRA genes. Int J Gynecol Oncol 28:29–34

    Google Scholar 

  25. Terada T (2008) Primary multiple extragastrointestinal stromal tumors of the omentum with different mutations of c-kit gene. World J Gastroenterol 14:7256–7259

    PubMed  Article  CAS  Google Scholar 

  26. Nakanuma Y, Kurumaya H, Ohta G (1984) Multiple cysts in the hepatic hilum and their pathogenesis: a suggestion of periductal gland origin. Virchows Arch [A] 404:341–350

    Article  CAS  Google Scholar 

  27. Wanless IR, Zahradnik J, Heathcote EJ (1987) Hepatic cysts of periductal gland origin presenting as obstructive jaundice. Gastroenterology 93:89

    Google Scholar 

  28. Terada T, Nakanuma Y (1990) Pathological observations of intrahepatic peribiliary glands in 1000 consecutive autopsy livers: III. Survey of necroinflammation and cystic dilatation Hepatology 12:1229–1233

    CAS  Google Scholar 

  29. Kida T, Nakanuma Y, Terada T (1992) Cystic dilatation of peribiliary glands in livers with adult polycystic disease and livers with solitary non-parasitic cysts: an autopsy study. Hepatology 16:334–340

    PubMed  Article  CAS  Google Scholar 

  30. Terada T, Minato H, Nakanuma Y, Shinozaki K, Kobayashi S, Matsui O (1992) Ultrasound visualization of hepatic peribiliary cysts: a comparison with morphology. Am J Gastroenterol 87:1499–1502

    PubMed  CAS  Google Scholar 

  31. Itai Y, Ebihara R, Tohno E, Tsunoda HS, Kurosaki Y, Saida Y, Doy M (1994) Hepatic peribiliary cysts: multiple tiny cysts within the larger portal tract, hepatic hilum, or both. Radiology 191:107–110

    PubMed  CAS  Google Scholar 

  32. Terada T, Nakanuma Y (1988) Congenital biliary dilatation in autosomal dominant adult polycystic disease of the liver and kidneys. Arch Pathol Lab Med 112:1113–1116

    PubMed  CAS  Google Scholar 

  33. Terada T, Matsushita H, Tashiro J, Sairenji T, Erigichi M, Osada I (2003) Cholesterol hepatolithiasis with peribiliary cysts. Pathol Int 53:716–720

    PubMed  Article  Google Scholar 

  34. Roda E, Sama C, Festi D, Aldini R, Mazzella G, Roda A, Barbara L (1979) Caroli’s disease: description of a rare clinical case with monolobar localization. Am J Gastroenterol 71:621–626

    PubMed  CAS  Google Scholar 

  35. Boyle MJ, Doyle GD, McNulty JG (1989) Monolobar Caroli’s disease. Am J Gastroenterol 84:1437–1444

    PubMed  CAS  Google Scholar 

  36. Giovanardi RO (2003) Monolobar Caroli's disease in an adult: case report. Hepatogastroenterology 50:2185–2187

    Google Scholar 

  37. Mohan LN, Thomas PG, Kilpadi AB, D’cunha S (1991) Liver atrophy associated with monolobar Caroli’s disease. HPB Surg 4:203–206

    PubMed  Article  CAS  Google Scholar 

  38. Popovsky MA, Costa JC, Doppman JL (1979) Meyenburg complexes of the liver and bile cysts as a consequence of hepatic ischemia. Hum Pathol 10:425–432

    PubMed  Article  CAS  Google Scholar 

  39. Terada T, Takegoshi T, Doishita K, Nakanuma Y (1988) Histological study of intrahepatic cavernous transformation in a patient with primary myelofibrosis and portal venous thrombosis. Virchows Arch [A] 412:339–345

    Article  CAS  Google Scholar 

  40. Terada T, Ishida F, Nakanuma Y (1989) Vascular plexus around intrahepatic bile ducts in normal livers and portal hypertension. J Hepatol 8:139–149

    PubMed  Article  CAS  Google Scholar 

  41. Terada T, Hoso M, Nakanuma Y (1989) Microvasculature in the small portal tracts in idiopathic portal hypertension: a morphological comparison with other hepatic diseases. Virchows Arch [A] 415:61–68

    Article  CAS  Google Scholar 

  42. Terada T, Nakanuma Y, Hoso M, Obata H (1991) Expression of HLA-DR antigen on hepatic vascular endothelial cells in idiopathic portal hypertension. Clin Exp Immunol 84:303–307

    PubMed  CAS  Google Scholar 

  43. Terada T, Nakanuma Y, Obata H (1991) HLA-DR expression on the microvasculature in portal tracts in idiopathic portal hypertension: immunohistochemical characteristics and relation to portal phlebosclerosis. Arch Pathol Lab Med 115:993–997

    PubMed  CAS  Google Scholar 

  44. Van Eyken P, Sciot R, Callea F, Van der Steen K, Moerman P, Desmet VJ (1988) The development of the intrahepatic bile ducts in man: a keratin immunohistochemical study. Hepatology 8:1589–1595

    Google Scholar 

  45. Awasthi A, Das A, Srinivasan R, Joshi K (2004) Morphological and immunohistochemical analysis of ductal plate malformation: correlation with fetal liver. Histopathology 45:260–267

    PubMed  Article  CAS  Google Scholar 

  46. Furukawa T, Kloppel G, Volkan Adsay N et al (2005) Classification of types of intraductal papillary-mucinous neoplasm of the pancreas: a consensus study. Virchows Arch 447:794–799

    PubMed  Article  Google Scholar 

  47. Shibahara H, Tamada S, Higashi M, Goto M, Batra SK, Hollingsworth MA, Imai K, Yonezawa S (2004) MUC4 is a novel prognostic factor of intrahepatic cholangiocarcinoma-mass forming type. Hepatology 39:220–229

    PubMed  Article  CAS  Google Scholar 

  48. Torres VE, Harris PC, Pirson Y (2007) Autosomal dominant polycystic kidney disease. Lancet 14:1287–1301

    Article  Google Scholar 

  49. Gabow PA (1993) Autosomal dominant polycystic kidney disease. N Eng J Med 332–342

  50. Grantham JJ (2008) Clinical practice: autosomal dominant polycystic kidney disease. N Eng J Med 359:1477–1485

    Article  CAS  Google Scholar 

  51. Young WT, Thomas GV, Blethyn AJ, Lawrie BW (1992) Choledochal cysts and congenital anomalies of the pancreatico-biliary junction: the clinical findings, radiology and outcome in nine cases. Br J Radiol 65:33–38

    PubMed  Article  CAS  Google Scholar 

  52. Misra SP, Dwivedi M (1990) Pancreaticobiliary ductal union. Gut 1144–1149

  53. Noun R, Sayegh R, Tohme-Noun C, Honein K, Smayra T, Aoun N (2006) Extracystic biliary carcinoma associated with anomalous psancreaticobiliary junction and cysts. J Hepatobiliary Pancreat Surg 13:557–559

    Article  Google Scholar 

Download references

Conflict of interest

None

Author information

Affiliations

Authors

Corresponding author

Correspondence to Tadashi Terada.

Rights and permissions

Reprints and Permissions

About this article

Cite this article

Terada, T., Moriki, T. Monolobar Hepatobiliary Fibropolycystic Disease. Pathol. Oncol. Res. 17, 159–165 (2011). https://doi.org/10.1007/s12253-010-9285-3

Download citation

  • Received:

  • Accepted:

  • Published:

  • Issue Date:

  • DOI: https://doi.org/10.1007/s12253-010-9285-3

Keywords

  • Caroli’s disease
  • Polycystic liver
  • Monolobar disease
  • Persistent ductal plate
  • Portal thrombi
  • Intrahepatic bile duct development