Abstract
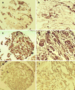
Ryanodine receptors (RyRs) have been previously implicated in the proliferation of human T-lymphocytes and melanocytes as well as in the motility of astrocytes. We have examined RyR expression in 57 ductal, human breast cancer specimens, by immunohistochemistry. Moderate to high RyR immunostaining was found in 47 (82%) of the specimens. There was a direct correlation between RyR levels and tumor grade (r = 0.48, p = 0.0002). We have also examined the effect of the RyR agonist 4-chloro-m-cresol on the in-vitro growth of two human breast cancer cell lines, MCF-7 and MDA-MB-231. Treatment with 4-chloro-m-cresol inhibited the growth of both breast cancer cell lines, in a dose-dependent manner, with half-maximal inhibition observed at 30 to 50 μg/mL (210–351 μM). Our data suggest that RyR could serve as prognostic indicator and/or as a target for breast cancer treatment.



Similar content being viewed by others
Abbreviations
- Ca2+:
-
calcium ion
- RyR:
-
ryanodine receptor
- Bca:
-
breast cancer
- PBS:
-
phosphate buffered saline
- RT:
-
room temperature
- HRP:
-
horseradish peroxidase
- DAB:
-
3,3′-diaminobenzidine
- L:
-
Leibovitz’s
- ER+ve:
-
estrogen receptor alpha positive
- ER−ve:
-
estrogen receptor alpha negative
References
Bootman MD, Lipp P, Berridge MJ (2001) The organization and functions of local Ca(2+) signals. J Cell Sci 114:2213–2222
Mackrill JJ (1999) Protein–protein interactions in intracellular Ca2+-release channel function. Biochem J 337:345–361
Fill M, Copello JA (2002) Ryanodine receptor calcium release channels. Physiol Rev 82:893–922
Hakamata Y, Nishimura S, Nakai J et al (1994) Involvement of the brain type of ryanodine receptor in T-cell proliferation. FEBS Lett 352:206–210
Kang HY, Kim NS, Lee CO et al (2000) Expression and function of ryanodine receptors in human melanocytes. J Cell Physiol 185:200–206
Matyash M, Matyash V, Nolte C et al (2002) Requirement of functional ryanodine receptor type 3 for astrocyte migration. FASEB J 16:84–86
Mariot P, Prevarskaya N, Roudbaraki M et al (2000) Evidence of functional ryanodine receptor involved in apoptosis of prostate cancer (LNCaP) cells. Prostate 43:205–214
Timar J, Kasler M, Katai J et al (2006) Developments in cancer management by innovative genomics: 2006 report of the National Cancer Consortium. Hungarian Oncology 50:349–359
Acknowledgements
This work was supported, in part, by South Carolina (SC) INBRE (IDeA Network of Biomedical Research Excellence) Grant Number RR16461 and the SC LIFE Undergraduate Research Program.
Author information
Authors and Affiliations
Corresponding author
Rights and permissions
About this article
Cite this article
Abdul, M., Ramlal, S. & Hoosein, N. Ryanodine Receptor Expression Correlates with Tumor Grade in Breast Cancer. Pathol. Oncol. Res. 14, 157–160 (2008). https://doi.org/10.1007/s12253-008-9045-9
Received:
Accepted:
Published:
Issue Date:
DOI: https://doi.org/10.1007/s12253-008-9045-9
