Skip to main content

The Susceptibility of Primary Dermis Fibroblasts from the Chinese Tree Shrew to Human Cytomegalovirus Infection

Abstract

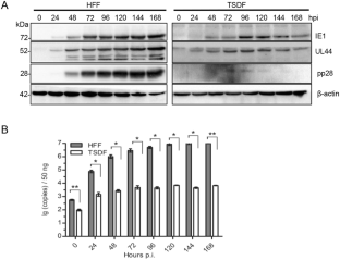
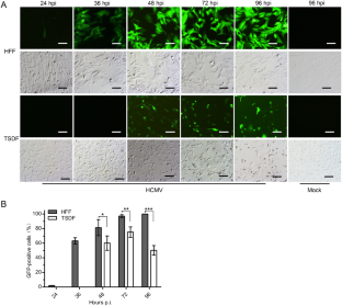
As a universal pathogen leading to neonatal defects and transplant failure, human cytomegalovirus (HCMV) has strict species specificity and this has prevented the development of a suitable animal model for the pathogenesis study. The mechanism of cross-species barrier remains elusive and there are so far no non-human cell culture models that support HCMV replication. The Chinese tree shrew (Tupaia belangeri chinensis) is a small laboratory animal and evolutionary closely related with primates. We investigated the susceptibility of primary tree shrew dermis fibroblasts (TSDF) to HCMV infection. Infection with a GFP-expressing HCMV virus resulted in green fluorescence in infected cells with the expression of IE1, UL44 and pp28. The titers of cell-free viruses reached 103 PFU/mL at 96 hpi, compared to titers of 104 PFU/mL observed in primary human foreskin fibroblasts. Our results suggested that TSDF was semi-permissive for HCMV infection. The TSDF model could be further used to investigate key factors influencing cross-species multiplication of HCMV.

This is a preview of subscription content, access via your institution.

Fig. 1
Fig. 2
Fig. 3
Fig. 4

References

  • Bennett AJ, Panicker S (2016) Broader impacts: international implications and integrative ethical consideration of policy decisions about US chimpanzee research. Am J Primatol 78:1282–1303

    Article  Google Scholar 

  • Burwitz BJ, Malouli D, Bimber BN, Reed JS, Ventura AB, Hancock MH, Uebelhoer LS, Bhusari A, Hammond KB, Espinosa Trethewy RG, Klug A, Legasse AW, Axthelm MK, Nelson JA, Park BS, Streblow DN, Hansen SG, Picker LJ, Fruh K, Sacha JB (2016) Cross-species rhesus cytomegalovirus infection of cynomolgus macaques. PLoS Pathog 12:e1006014

    Article  Google Scholar 

  • Cheng S, Jiang X, Yang B, Wen L, Zhao F, Zeng WB, Liu XJ, Dong X, Sun JY, Ming YZ, Zhu H, Rayner S, Tang Q, Fortunato E, Luo MH (2017) Infected T98G glioblastoma cells support human cytomegalovirus reactivation from latency. Virology 510:205–215

    CAS  Article  Google Scholar 

  • Crawford LB, Streblow DN, Hakki M, Nelson JA, Caposio P (2015) Humanized mouse models of human cytomegalovirus infection. Curr Opin Virol 13:86–92

    CAS  Article  Google Scholar 

  • DeMarchi JM (1983) Nature of the block in the expression of some early virus genes in cells abortively infected with human cytomegalovirus. Virology 129:287–297

    CAS  Article  Google Scholar 

  • Fan Y, Huang ZY, Cao CC, Chen CS, Chen YX, Fan DD, He J, Hou HL, Hu L, Hu XT, Jiang XT, Lai R, Lang YS, Liang B, Liao SG, Mu D, Ma YY, Niu YY, Sun XQ, Xia JQ, Xiao J, Xiong ZQ, Xu L, Yang L, Zhang Y, Zhao W, Zhao XD, Zheng YT, Zhou JM, Zhu YB, Zhang GJ, Wang J, Yao YG (2013) Genome of the Chinese tree shrew. Nat Commun 4:1426

    Article  Google Scholar 

  • Fioretti A, Furukawa T, Santoli D, Plotkin SA (1973) Nonproductive infection of guinea pig cells with human cytomegalovirus. J Virol 11:998–1003

    CAS  PubMed  PubMed Central  Google Scholar 

  • Fortunato EA (2014) Use of diploid human fibroblasts as a model system to culture, grow, and study human cytomegalovirus infection. Methods Mol Biol 1119:47–57

    CAS  Article  Google Scholar 

  • Franke WW, Schmid E, Osborn M, Weber K (1978) Different intermediate-sized filaments distinguished by immunofluorescence microscopy. Proc Natl Acad Sci U S A 75:5034–5038

    CAS  Article  Google Scholar 

  • Frascaroli G, Sinzger C (2014) Distinct properties of human cytomegalovirus strains and the appropriate choice of strains for particular studies. Methods Mol Biol 1119:29–46

    CAS  Article  Google Scholar 

  • Garcia-Ramirez JJ, Ruchti F, Huang H, Simmen K, Angulo A, Ghazal P (2001) Dominance of virus over host factors in cross-species activation of human cytomegalovirus early gene expression. J Virol 75:26–35

    CAS  Article  Google Scholar 

  • Jurak I, Brune W (2006) Induction of apoptosis limits cytomegalovirus cross-species infection. EMBO J 25:2634–2642

    CAS  Article  Google Scholar 

  • Kim KS, Carp RI (1972) Abortive infection of human diploid cells by murine cytomegalovirus. Infect Immun 6:793–797

    CAS  PubMed  PubMed Central  Google Scholar 

  • Lafemina RL, Hayward GS (1988) Differences in cell-type-specific blocks to immediate early gene expression and DNA replication of human, simian and murine cytomegalovirus. J Gen Virol 69(Pt 2):355–374

    CAS  Article  Google Scholar 

  • Landolfo S, Gariglio M, Gribaudo G, Lembo D (2003) The human cytomegalovirus. Pharmacol Ther 98:269–297

    CAS  Article  Google Scholar 

  • Li L, Li Z, Wang E, Yang R, Xiao Y, Han H, Lang F, Li X, Xia Y, Gao F, Li Q, Fraser NW, Zhou J (2015) Herpes simplex virus 1 infection of tree shrews differs from that of mice in the severity of acute infection and viral transcription in the peripheral nervous system. J Virol 90:790–804

    Article  Google Scholar 

  • Li L, Li Z, Wang E, Yang R, Xiao Y, Han H, Lang F, Li X, Xia Y, Gao F, Li Q, Fraser NW, Zhou J (2016) Herpes simplex virus 1 infection of tree shrews differs from that of mice in the severity of acute infection and viral transcription in the peripheral nervous system. J Virol 90:790–804

    CAS  Article  Google Scholar 

  • Luo MH, Fortunato EA (2007) Long-term infection and shedding of human cytomegalovirus in T98G glioblastoma cells. J Virol 81:10424–10436

    CAS  Article  Google Scholar 

  • Luo MH, Rosenke K, Czornak K, Fortunato EA (2007) Human cytomegalovirus disrupts both ataxia telangiectasia mutated protein (ATM)- and ATM-Rad3-related kinase-mediated DNA damage responses during lytic infection. J Virol 81:1934–1950

    CAS  Article  Google Scholar 

  • Marchini A, Liu H, Zhu H (2001) Human cytomegalovirus with IE-2 (UL122) deleted fails to express early lytic genes. J Virol 75:1870–1878

    CAS  Article  Google Scholar 

  • Marsh AK, Ambagala AP, Perciani CT, Russell JN, Chan JK, Janes M, Antony JM, Pilon R, Sandstrom P, Willer DO, MacDonald KS (2015) Examining the species-specificity of rhesus macaque cytomegalovirus (RhCMV) in cynomolgus macaques. PLoS ONE 10:e0121339

    Article  Google Scholar 

  • Millard AL, Haberli L, Sinzger C, Ghielmetti M, Schneider MK, Bossart W, Seebach JD, Mueller NJ (2010) Efficiency of porcine endothelial cell infection with human cytomegalovirus depends on both virus tropism and endothelial cell vascular origin. Xenotransplantation 17:274–287

    Article  Google Scholar 

  • Ostermann E, Pawletko K, Indenbirken D, Schumacher U, Brune W (2015) Stepwise adaptation of murine cytomegalovirus to cells of a foreign host for identification of host range determinants. Med Microbiol Immunol 204:461–469

    CAS  Article  Google Scholar 

  • Perot K, Walker CM, Spaete RR (1992) Primary chimpanzee skin fibroblast cells are fully permissive for human cytomegalovirus replication. J Gen Virol 73(Pt 12):3281–3284

    Article  Google Scholar 

  • Rittie L, Fisher GJ (2005) Isolation and culture of skin fibroblasts. Methods Mol Med 117:83–98

    CAS  PubMed  Google Scholar 

  • Schumacher U, Handke W, Jurak I, Brune W (2010) Mutations in the M112/M113-coding region facilitate murine cytomegalovirus replication in human cells. J Virol 84:7994–8006

    CAS  Article  Google Scholar 

  • Tang Q, Maul GG (2006) Mouse cytomegalovirus crosses the species barrier with help from a few human cytomegalovirus proteins. J Virol 80:7510–7521

    CAS  Article  Google Scholar 

  • Wathen MW, Stinski MF (1982) Temporal patterns of human cytomegalovirus transcription: mapping the viral RNAs synthesized at immediate early, early, and late times after infection. J Virol 41:462–477

    CAS  PubMed  PubMed Central  Google Scholar 

  • Wathen MW, Thomsen DR, Stinski MF (1981) Temporal regulation of human cytomegalovirus transcription at immediate early and early times after infection. J Virol 38:446–459

    CAS  PubMed  PubMed Central  Google Scholar 

  • Xiao J, Liu R, Chen CS (2017) Tree shrew (Tupaia belangeri) as a novel laboratory disease animal model. Zool Res 38:127–137

    Article  Google Scholar 

  • Yao YG (2017) Creating animal models, why not use the Chinese tree shrew (Tupaia belangeri chinensis)? Zool Res 38:118–126

    Article  Google Scholar 

Download references

Acknowledgements

This work was supported by the National Key Research and Development Project of China (2017YFC1309302), the Applied Basic Research Projects of Yunnan Province (2018FD034), and the Yunnan Provincial Department of Education Science Research Fund Project (1405189906).

Author information

Affiliations

Authors

Contributions

SWD conceived the experiments. SWD and LSJ designed the experimental flow. LSJ, MY, YLD, and YBC performed the experiments. LSJ performed statistical analyses. SWD wrote the manuscript. FZ, AMZ, and LL reviewed the manuscript. MHL and XSX supervised the project. All authors read and approved the final manuscript.

Corresponding authors

Correspondence to Min-Hua Luo or Xue-Shan Xia.

Ethics declarations

Conflict of interest

The authors declare no conflict of interest.

Animal and Human Rights Statement

All experiments and protocols in this study were reviewed and approved by the Institutional Ethical Committee of Kunming University of Science and Technology.

Electronic Supplementary Material

Below is the link to the electronic supplementary material.

Supplementary material 1 (PDF 236 kb)

Rights and permissions

Reprints and Permissions

About this article

Verify currency and authenticity via CrossMark

Cite this article

Dong, SW., Jiao, LS., Yang, M. et al. The Susceptibility of Primary Dermis Fibroblasts from the Chinese Tree Shrew to Human Cytomegalovirus Infection. Virol. Sin. 34, 270–277 (2019). https://doi.org/10.1007/s12250-019-00106-3

Download citation

  • Received:

  • Accepted:

  • Published:

  • Issue Date:

  • DOI: https://doi.org/10.1007/s12250-019-00106-3

Keywords

  • Human cytomegalovirus (HCMV)
  • Primary tree shrew dermis fibroblasts (TSDF)
  • Cross-species infection
  • Semi-permissiveness