Skip to main content

Intracellular rod-like crystals in chronic lymphocyte leukemia

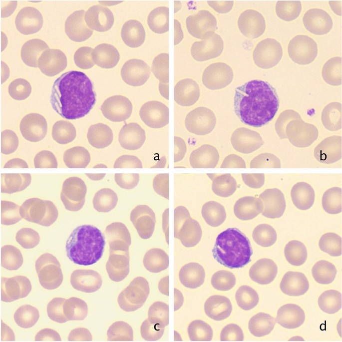
A 78-year-old man was referred to our hospital for acute intestinal obstruction. A CT scan of the abdomen showed multiple lymph nodes in the abdomen and groin. CBC showed: leukocytosis (24.83 × 109/L) with 61.4% lymphocyte, hemoglobin concentration 144 g/L and platelet count 150 × 109/L. The peripheral blood smear showed mature lymphocyte with visible one to five rod-like crystals (Fig. 1a–d). Flow cytometry immunophenotyping confirmed these are monoclonal B-cells (42%), expressed CD45, CD19, CD20, CD22, CD79b, CD5, CD23, CD148 and CD200(hi), partial expressed lambda, and negative for FMC7, CD10, CD11c, CD49d, CD103, CD38, CD25, CD160, IgM, CD81, kappa and Ki67. Chronic lymphocyte leukemia (CLL) is finally diagnosed.

Fig. 1
figure 1

Visible rod-like crystals presented in the mature lymphocytes (×1000, Wright Giemsa). a three rod-like crystals. bd one rod-like crystal

Intracellular rod-like crystal is extremely rarely described in the peripheral blood. Peters et al. [1] reported this anomaly in B cell lymphoproliferative diseases. The inclusions are thought to be abnormal immunoglobulins, it could be hypothesized that lambda light chain possesses such properties, which are precipitated in the cytoplasm.

While rare cases of B cell lymphoproliferative diseases with rod-like crystals inclusions have previously been reported, we believe the phenomenon is not well known, even among experienced hematologists and hematopathologists. Such findings can assist in diagnosis of B cell lymphoproliferative diseases.

Reference

  1. Peters O, Thielemans C, Steenssens L, De Waele M, Hijmans W, Van Camp B. Intracellular inclusion bodies in 14 patients with B cell lymphoproliferative disorders. J Clin Pathol. 1984;37(1):45–50.

    CAS  Article  Google Scholar 

Download references

Author information

Affiliations

Authors

Corresponding author

Correspondence to Lixia Zhang.

Ethics declarations

Conflict of interest

The authors do not have any conflict of interest to disclosure.

Additional information

Publisher's Note

Springer Nature remains neutral with regard to jurisdictional claims in published maps and institutional affiliations.

About this article

Verify currency and authenticity via CrossMark

Cite this article

Huang, Y., Zhang, L. Intracellular rod-like crystals in chronic lymphocyte leukemia. Int J Hematol 112, 267 (2020). https://doi.org/10.1007/s12185-020-02933-7

Download citation

  • Received:

  • Revised:

  • Accepted:

  • Published:

  • Issue Date:

  • DOI: https://doi.org/10.1007/s12185-020-02933-7