Skip to main content

Neutropenic enterocolitis in patients with FLT3 mutated acute myeloid leukemia undergoing induction chemotherapy with midostaurin

Abstract

Neutropenic enterocolitis mostly affects patients with acute myeloid leukemia (AML) who get treated with intensive chemotherapy which is associated with prolonged neutropenia; its pathogenesis is not well understood and the main factors in this life-threatening condition appear to be neutropenia, mucosal injury and a weakened immune system as a consequence of intensive chemotherapeutic agents. Midostaurin in combination with chemotherapy became the standard of care for FLT3 mutant AML since its approval by the United States Food and Drug Administration (FDA) in April 2017. Anecdotally in our institution, we noticed the common occurrence of neutropenic colitis in three out of three patients who were treated with midostaurin as part of induction chemotherapy for AML.

This is a preview of subscription content, access via your institution.

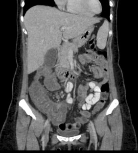
Fig. 1
Fig. 2
Fig. 3

References

  1. Gorschlüter M, Glasmacher A, Hahn C, Leutner C, Marklein G, Remig J, et al. Severe abdominal infections in neutropenic patients. Cancer Invest. 2001;19:669–77.

    Article  PubMed  Google Scholar 

  2. Frick MP, Maile CW, Crass JR, Goldberg ME, Delaney JP. Computer tomography of neutropenic colitis. Am J Roentgenol. 1984;143:763–5.

    Article  CAS  Google Scholar 

  3. Stone RM, Mandrekar SJ, Sanford BL, Laumann K, Geyer S, Bloomfield CD, et al. Midostaurin plus chemotherapy for acute myeloid leukemia with a FLT3 mutation. N Engl J Med. 2017;377:454–64.

    Article  PubMed  PubMed Central  CAS  Google Scholar 

  4. Gorschluter M, Mey U, Strehl J, Ziske C, Schepke M, Schmidt-Wolf IGH, et al. Neutropenic enterocolitis in adults: systematic analysis of evidence quality. Eur J Haematol. 2005;73:1–13.

    Article  Google Scholar 

  5. Thiede C, Steudel C, Mohr B, Schaich M, Schäkel U, Platzbecker U, et al. Analysis of FLT3-activating mutations in 979 patients with acute myelogenous leukemia: association with FAB subtypes and identification of subgroups with poor prognosis. Blood. 2002;99:4326–35.

    Article  PubMed  CAS  Google Scholar 

  6. Katz J. Typhlitis: an 18-year experience and postmortem review. Cancer. 1990;65:1041–7.

    Article  PubMed  CAS  Google Scholar 

  7. Urbach DR, Rotstein OD. Typhlitis. Can J Surg. 1999;42(6):415.

    PubMed  PubMed Central  CAS  Google Scholar 

Download references

Author information

Affiliations

Authors

Corresponding author

Correspondence to Jennifer Dotson.

Ethics declarations

Conflict of interest

The authors declare that they have no conflicts of interest.

About this article

Verify currency and authenticity via CrossMark

Cite this article

Dotson, J., Elhamdani, A., Petryna, E. et al. Neutropenic enterocolitis in patients with FLT3 mutated acute myeloid leukemia undergoing induction chemotherapy with midostaurin. Int J Hematol 109, 351–355 (2019). https://doi.org/10.1007/s12185-018-2558-4

Download citation

  • Received:

  • Revised:

  • Accepted:

  • Published:

  • Issue Date:

  • DOI: https://doi.org/10.1007/s12185-018-2558-4

Keywords

  • Neutropenic enterocolitis
  • AML
  • Midostaurin