Skip to main content

CD20-positive primary gastric T-cell lymphoma poorly responding to initial treatment with rituximab plus CHOP, and a literature review

Abstract

There have been rare reported cases of peripheral T-cell lymphoma, not otherwise specified (PTCL-NOS) that co-expressed CD20. A 44-year-old Japanese male was initially misdiagnosed as CD20-positive diffuse large B-cell lymphoma with a background of reactive CD3-positive T-cells in the stomach. After four cycles of R-CHOP [rituximab plus cyclophosphamide (CY), doxorubicin, vincristine, and prednisolone (PSL)], total gastrectomy with regional lymph node dissection was performed due to the poor response to R-CHOP. A final diagnosis of CD20-positive primary gastric PTCL-NOS was made based on the immunohistochemical, flow cytometric, and molecular genetic findings. In the present case, CD20 immunostaining for T-cell lymphoma cells in tumor tissue varied; in a large part, these were strong to weak-positive, and in some parts, absent. We additionally reviewed the literature focusing on CD20-positive PTCL-NOS treated with rituximab. The administration of rituximab has been performed as an initial treatment in 11 cases, including the case reported here. The response was good in cases with high expression of CD20, while it was poor in cases with variable intensity in CD20 staining, which is consistent with our experience in the present case. The efficacy of rituximab may be associated with intensity of CD20 expression in T cells and its homogeneity in the tumor tissue.

This is a preview of subscription content, access via your institution.

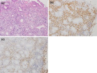
Fig. 1
Fig. 2
Fig. 3

References

  1. Swerdlow SH, Campo E, Harris NL, Jaffe ES, Pileri SA, Stein H, editors. WHO classification of tumours of haematopoietic and lymphoid tissues. Lyon: IARC Press; 2008.

    Google Scholar 

  2. Yao X, Teruya-Feldstein J, Raffeld M, Sorbara L, Jaffe ES. Peripheral T-cell lymphoma with aberrant expression of CD79a and CD20: a diagnostic pitfall. Mod Pathol. 2001;14:105–10.

    Article  CAS  PubMed  Google Scholar 

  3. Mohrmann RL, Arber DA. CD20-positive peripheral T-cell lymphoma: report of a case after nodular sclerosis Hodgkin’s disease and review of the literature. Mod Pathol. 2000;13:1244–52.

    Article  CAS  PubMed  Google Scholar 

  4. Rahemtullah A, Longtine JA, Harris NL, Dorn M, Zembowicz A, Quintanilla-Fend L, et al. CD20+ T-cell lymphoma: clinicopathologic analysis of 9 cases and a review of the literature. Am J Surg Pathol. 2008;32:1593–607.

    Article  PubMed  Google Scholar 

  5. Went P, Agostinelli C, Gallamini A, Piccaluqa PP, Ascani S, Sabattini E, et al. Marker expression in peripheral T-cell lymphoma: a proposed clinical-pathologic prognostic score. J Clin Oncol. 2006;24:2472–9.

    Article  CAS  PubMed  Google Scholar 

  6. Arai H, Maki K, Tadokoro J, Handa T, Nakamura Y, Tsurumi S, et al. CD20-positive peripheral T-cell lymphoma, not otherwise specified. Rinsho Ketsueki. 2012;53:705–9.

    PubMed  Google Scholar 

  7. Park YH, Kim WS, Bang SM, Lee SI, Kang HJ, Na II, et al. Primary gastric lymphoma of T-cell origin: clinicopathologic features and treatment outcome. Leuk Res. 2006;30:1253–8.

    Article  CAS  PubMed  Google Scholar 

  8. Kitamura A, Yamashita Y, Mori N. CD20-positive cytotoxic T cell lymphoma: report of two cases and review of the literature. J Clin Exp Hematopathol. 2005;45:45–50.

    Article  Google Scholar 

  9. Coiffier B, Haioun C, Ketterer N, Enqert A, Tilly H, Ma D, et al. Rituximab (anti-CD20 monoclonal antibody) for the treatment of patients with relapsing or refractory aggressive lymphoma: a multicenter phase II study. Blood. 1998;92:1927–32.

    CAS  PubMed  Google Scholar 

  10. Cheson BD, Pfistner B, Juweid ME, Gascoyne RD, Specht L, Horning SJ, et al. Revised response criteria for malignant lymphoma. J Clin Oncol. 2007;25:579–86.

    Article  PubMed  Google Scholar 

  11. Bubien JK, Zhou LJ, Bell PD, Frizzell RA, Tedder TF. Transfection of the CD20 cell surface molecule into ectopic cell types generates a Ca2+ conductance found constitutively in B lymphocytes. J Cell Biol. 1993;121:1121–32.

    Article  CAS  PubMed  Google Scholar 

  12. Hultin LE, Hausner MA, Hultin PM, Giorgi JV. CD20 (pan-B cell)antigen is expressed at a low level on a subpopulation of human T lymphocytes. Cytometry. 1993;14:196–204.

    Article  CAS  PubMed  Google Scholar 

  13. Quinantilla-Martinez L, Preffer F, Rubin D, Ferr JA, Harris NL. CD20+ T-cell lymphoma: neoplastic transformation of a normal T-cell subset. Am J Clin Pathol. 1994;102:483–9.

    Google Scholar 

  14. Algino KM, Thomason RW, King DE, Montiel MM, Craig FE. CD20 (pan-B cell antigen) expression on bone marrow-derived T cells. Am J Clin Pathol. 1996;106:78–81.

    CAS  PubMed  Google Scholar 

  15. Van Dongen JJ, Langerak AW, Bruggemann M, Evans PAS, Hummel M, Lavender FL, et al. Design and standardization of PCR primers and protocols for detection of clonal immunoglobulin and T-cell receptor gene recombinations in suspect lymphoproliferations: report of the BIOMED-2 Concerted Action BMH4-CT98-3936. Leukemia. 2003;17:2257–317.

    Article  PubMed  Google Scholar 

  16. Szczepanski T, Langerak AW, van Dongen JJ, van Krieken JH. Lymphoma with multi-gene rearrangement on the level of immunoglobulin heavy chain, light chain, and T-cell receptor beta chain. Am J Hematol. 1998;59:99–100.

    Article  CAS  PubMed  Google Scholar 

  17. Szczepanski T, Pongers-Willemse MJ, Langerak AW, Harts WA, Wijkhuijs JM, van Wering ER, et al. Ig heavy chain gene rearrangements in T-cell acute lymphoblastic leukemia exhibit predominant DH6-19 and DH7-27 gene usage, can result in complete V-D-J rearrangements, and are rare in T-cell receptor αβ lineage. Blood. 1999;93:4079–85.

    CAS  PubMed  Google Scholar 

  18. Magro CM, Seilstad KH, Porcu P, Morrison CD. Primary CD20+ CD10+ CD8+ T-cell lymphoma of the skin with dual IgH and TCRβ gene rearrangement. Am J Clin Pathol. 2006;126:14–22.

    Article  CAS  PubMed  Google Scholar 

  19. Warzynski JJ, Graham DM, Axtell RA, Zakem MH, Rotman RK. Low level CD20 expression on T cell malignancies. Cytometry. 1994;18:88–92.

    Article  CAS  PubMed  Google Scholar 

  20. Sun T, Akalin A, Rodacker M, Braun T. CD20 positive T cell lymphoma: is it a real entity? J Clin Pathol. 2004;57:442–4.

    PubMed Central  Article  CAS  PubMed  Google Scholar 

  21. Matnani RG, Stewart RL, Pulliam J, Jennings CD, Kesler M. Peripheral T-cell lymphoma with aberrant expression of CD19, CD20, and CD79a: case report and literature review. Case Rep Hematol. 2013;2013:e1–e5.

    Article  Google Scholar 

  22. Jilani I, O’Brien S, Manshuri T, Thomas DA, Thomazy VA, Imam M. Transient down-modulation of CD20 by rituximab in patients with chronic lymphocytic leukemia. Blood. 2003;102:3514–20.

    Article  CAS  PubMed  Google Scholar 

  23. Tomita A, Hiraga J, Kinoshita T, Naoe T. CD20-negative transformation in CD20 positive B-cell lymphomas after treatment with rituximab. Hematol Oncol. 2008;56:466–71.

    CAS  Google Scholar 

  24. Maloney DG, Grillo-Lopez AJ, White CA, Bodkin D, Schilder RJ, Neidhart JA, et al. IDEC-C2B8 (rituximab) anti-CD20 monoclonal antibody therapy in patients with relapsed low-grade non-Hodgkin’s lymphoma. Blood. 1997;90:2188–95.

    CAS  PubMed  Google Scholar 

  25. Buckner CL, Christiansen LR, Bourgeois D, Lazarchick JJ, Lazarchick J. CD20 positive T-cell lymphoma/leukemia: a rare entity with potential diagnostic pitfalls. Ann Clin Lab Sci. 2007;37:263–7.

    PubMed  Google Scholar 

  26. Cumiskey J, Noonan S, Cummins R, Quinn F, Fennelly D, O’Briain DS, et al. T cell lymphoma co-expressing CD20. Diagn Histopathol. 2010;16:111–3.

    Article  Google Scholar 

  27. Makita M, Murakami I, Yoshioka T, Tanaka H, Yamamoto K, Imajo K, et al. Extranodal CD20-positive peripheral T-cell lymphoma presenting with adrenal and testicular masses. Rinsho Ketsueki. 2009;50:413–8.

    PubMed  Google Scholar 

  28. Hirata Y, Yokote T, Kobayashi K, Nakayama S, Miyoshi T, Akioka T, et al. Rituximab for the treatment of CD20-positive peripheral T-cell lymphoma, unspecified. Leuk Res. 2009;33:e13–6.

    Article  CAS  PubMed  Google Scholar 

  29. Kamata M, Sugaya M, Miyagaki T, Sonoda K, Ichimura Y, Mitsui H, et al. A case of CD20-positive peripheral T-cell lymphoma treated with rituximab and multiagent chemotherapy. Int J Dermatol. 2014;53:e24–6.

    Article  PubMed  Google Scholar 

  30. Intlekofer AM, Younes A. From empiric to mechanism-based therapy for peripheral T cell lymphoma. Int J Hematol. 2014;99:249–62.

    Article  CAS  PubMed  Google Scholar 

  31. Yachida S, Sasako M, Tobinai K, Matsuno Y, Shimoda T. Successful treatment of a primary gastric T-cell lymphoma lacking the human T-cell leukemia virus type 1. Hepatogastroenterology. 2010;57:383–7.

    PubMed  Google Scholar 

  32. Li YY, Yang S, Zhang LN, Fan L, Wang L, Zhang R, et al. Analysis of characteristics in 4 patients with primary gastric peripheral T-cell lymphoma-not otherwise specified. Zhongguo Shi Yan Xue Ye Xue Za Zhi. 2012;20:1374–7.

    PubMed  Google Scholar 

Download references

Acknowledgments

We acknowledge Dr. Akio Takada, a pathologist at Asahikawa City Hospital, who contributed to the immunohistochemical study. We also state that this report has original material and there have been no previous reports or publications to disclose. This case was presented in 75th Annual Meeting of Japanese Society of Hematology, Sapporo, Japan, 11–13 October 2013.

Author information

Affiliations

Authors

Corresponding author

Correspondence to Yasutaka Kakinoki.

Ethics declarations

Conflict of interest

The authors declare no conflicts of interest.

About this article

Verify currency and authenticity via CrossMark

Cite this article

Kakinoki, Y., Hashiguchi, J., Ishio, T. et al. CD20-positive primary gastric T-cell lymphoma poorly responding to initial treatment with rituximab plus CHOP, and a literature review. Int J Hematol 102, 702–708 (2015). https://doi.org/10.1007/s12185-015-1841-x

Download citation

  • Received:

  • Revised:

  • Accepted:

  • Published:

  • Issue Date:

  • DOI: https://doi.org/10.1007/s12185-015-1841-x

Keywords

  • Peripheral T-cell lymphoma
  • CD20
  • Primary gastric lymphoma
  • Rituximab