Skip to main content

Expression levels of ASNS in mesenchymal stromal cells in childhood acute lymphoblastic leukemia

Abstract

Increased levels of asparagine synthetase (ASNS), an enzyme producing intracellular asparagine, have been implicated in the development of asparaginase resistance. The aim of this study was to assess ASNS mRNA and protein expression in bone marrow cell populations of children with acute lymphoblastic leukemia (ALL). Bone marrow mononuclear cells at diagnosis, day 33 of treatment, and after completion of chemotherapy were isolated and studied. ASNS mRNA expression was assessed by real-time PCR, and protein levels by Western blot. Our results indicate that MSC ASNS mRNA expression is upregulated in ALL samples compared to controls. ASNS expression of mesenchymal stromal cells (MSC) was found to be 2.3 times higher than that of blasts at diagnosis of ALL. We also observed that the values of the ASNS mRNA of MSC seem to reach a peak at diagnosis, and tend to decline with treatment. No correlation was found between the ASNS mRNA and protein levels. Chemotherapy does not exert any effect on the protein expression. Variability of asparaginase-induced effect may be attributable to factors involved in the interaction of hematopoietic cells with their microenvironment.

This is a preview of subscription content, access via your institution.

Fig. 1
Fig. 2
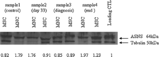
Fig. 3

References

  1. Capizzi RL, Bertino JR, Skeel RT. l-asparaginase: clinical, biochemical, pharmacological and immunological status. Ann Int Med. 1971;74:893–901.

    CAS  PubMed  Article  Google Scholar 

  2. Pieters R, Appel I, Kuehnel H-J, Tetzlaff-Fohr I, Pichlmeier U, van der Vaart I, et al. Pharmacokinetics, pharmacodynamics, efficacy, and safety of a new trial untreated acute lymphoblastic leukemia: a randomized phase 2 clinical trial. Blood. 2008;112:4832–8.

    CAS  PubMed  Article  Google Scholar 

  3. Cooney DA, Capizzi RL, Handshumacher RE. Evaluation of l-asparagine metabolism in animals and man. Cancer Res. 1970;30:929–35.

    CAS  PubMed  Google Scholar 

  4. Chen H, Pan YX, Dudenhausen EE, Kilberg MS. Amino acid deprivation induces the transcription rate of the human asparagine synthetase gene through a timed program of expression and promoter binding of nutrient-responsive bZIP transcription factors as well as localized histone acetylation. J Biol Chem. 2004;279:50829–39.

    CAS  PubMed  Article  Google Scholar 

  5. Iwamoto S, Mihara K, Downing JR, Pui C-H, Campana D. Mesenchymal cells regulate the response of acute lymphoblastic leukemia cells to asparaginase. J Clin Invest. 2007;117:1049–57.

    CAS  PubMed Central  PubMed  Article  Google Scholar 

  6. Hao L, Sun H, Wang J, Wang T, Wang M, Zou Z. Mesenchymal Stromal cell therapy: besides supporting hematopoiesis. Int J Hematol. 2012;95:34–46.

    PubMed  Article  Google Scholar 

  7. Dimitriou H, Perdikogianni Ch, Martimianaki G, Choumerianou D, Pelagiadis J, Kalmanti M. Are mesenchymal stromal cells from children resistant to apoptosis? Cell Prolif. 2009;42:276–83.

    CAS  PubMed  Article  Google Scholar 

  8. Appel IM, den Boer ML, Meijerink JPP, Veerman AJP, Reniers NCM, Pieters R. Up-regulation of asparagine synthetase expression is not linked to the leukemia clinical response l-asparaginase in pediatric acute lymphoblastic. Blood. 2006;107:4244–9.

    CAS  PubMed  Article  Google Scholar 

  9. Meijerink J, Mandigers C, van de Locht L, Tonissen E, Goodsaid F, Raemakers A. A novel method to compensate for different amplification efficiencies between patient DNA samples in quantitative real-time PCR. J Mol Diagn. 2001;3:55–61.

    CAS  PubMed Central  PubMed  Article  Google Scholar 

  10. Fine BM, Kaspers GJ, Ho M, Loonen AH, Boxer LM. A genome-wide view of the in vitro response to l-asparaginase in acute lymphoblastic leukemia. Cancer Res. 2005;65:291–9.

    CAS  PubMed  Google Scholar 

  11. Su N, Pan Y-X, Zhou M, Harvey RC, Hunger SP, Kilberg MS. Correlation between asparaginase sensitivity and asparagine synthetase protein content, but not mRNA, in acute lymphoblastic leukemia cell lines. Pediatr Blood Cancer. 2008;50:274–9.

    PubMed  Article  Google Scholar 

  12. Dubbers A, Wurthwein G, Muller HJ, Schulze-Westhoff P, Winkelhorst M, Kurzknabe E, et al. Asparagine synthetase activity in paediatric acute leukaemias: AML-M5 subtype shows lowest activity. Br J Haematol. 2000;109:427–9.

    CAS  PubMed  Article  Google Scholar 

Download references

Acknowledgments

This work was partially supported by a grant from the University of Crete, Special Account for Research (KA 3094).

Conflicts of interest

The authors declare no conflicts of interest.

Author information

Affiliations

Authors

Corresponding author

Correspondence to Helen Dimitriou.

About this article

Cite this article

Dimitriou, H., Choulaki, C., Perdikogianni, C. et al. Expression levels of ASNS in mesenchymal stromal cells in childhood acute lymphoblastic leukemia. Int J Hematol 99, 305–310 (2014). https://doi.org/10.1007/s12185-014-1509-y

Download citation

  • Received:

  • Revised:

  • Accepted:

  • Published:

  • Issue Date:

  • DOI: https://doi.org/10.1007/s12185-014-1509-y

Keywords

  • Mesenchymal stromal cells
  • Asparagine synthetase
  • Acute lymphoblastic leukemia
  • Children
  • Bone marrow microenvironment