Skip to main content

High tibial osteotomy

Abstract

High tibial osteotomy (HTO) is a widely accepted and performed procedure to treat medial knee arthrosis. The aim of this review is to evaluate the different surgical options in medial knee arthrosis, focusing on indications, patient’s selection, long-term follow-up and survival analysis of HTO. Comparison and pooling of results are challenging because of different evaluation systems, small cohort number, and different surgical techniques. No differences have been described between opening and closing wedged HTO in terms of outcomes. Excellent early survivorship and good clinical outcomes were reported also with concomitant procedures. Correct indications, preoperative workup/planning, and technique selection are essential in achieving good results. The choice between opening and closing wedge osteotomy, graft selection in opening wedge HTO, comparison between HTO and unicompartmental knee arthroplasty, and the results of revised HTO to total knee replacement are currently under debate and will be discussed in the present review.

This is a preview of subscription content, access via your institution.

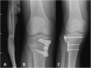
Fig. 1

References

Papers of particular interest, published recently, have been highlighted as: • Of importance

  1. Rossi R, Bonasia DE, Amendola A. The role of high tibial osteotomy in the varus knee. J Am Acad Orthop Surg. 2011;19:590–9. Note the preoperative planning calculations.

    PubMed  Google Scholar 

  2. Harris JD, McNeilan R, Siston RA, Flanigan DC. Survival and clinical outcome of isolated high tibial osteotomy and combined biological knee reconstruction. Knee. 2013;20:154–61. doi:10.1016/j.knee.2012.12.012 [Epub Mar 9, 2013].

    PubMed  Article  Google Scholar 

  3. Ferruzzi A, Buda R, Cavallo M, Timoncini A, Natali S, Giannini S. Cartilage repair procedures associated with high tibial osteotomy in varus knees: clinical results at 11 years' follow-up. Knee. 2014;21:445–50. [Epub Nov 27, 2013]. doi:10.1016/j.knee.2013.11.013. Combination of HTO and cartilage resurfacing is described.

  4. Aglietti P, Rinonapoli E, Stringa G, Taviani A. Tibial osteotomy for the varus osteoarthritic knee. Clin Orthop Relat Res. 1983;176:239–51.

    PubMed  Google Scholar 

  5. Naudie D, Bourne RB, Rorabeck CH, Bourne TJ. The Install Award. Survivorship of the high tibial valgus osteotomy. A 10 to 22-year follow-up study. Clin Orthop Relat Res. 1999;367:18–27.

    PubMed  Article  Google Scholar 

  6. Rudan JF, Simurda MA. High tibial osteotomy. A prospective clinical and roentgenographic review. Clin Orthop Relat Res. 1990;255:251–6.

    PubMed  Google Scholar 

  7. Amendola A, Bonasia DE. Results of high tibial osteotomy: review of the literature. Int Orthop. 2010;34:155–60.

    PubMed  Article  PubMed Central  Google Scholar 

  8. Schallberger A, Jacobi M, Wahl P, Maestretti G, Jakob RP. High tibial valgus osteotomy in unicompartmental medial osteoarthritis of the knee: a retrospective follow-up study over 13-21 years. Knee Surg Sports Traumatol Arthrosc. 2011;19:122–7. doi:10.1007/s00167-010-1256-4 [Epub Sep 7, 2010].

    PubMed  Article  Google Scholar 

  9. Niemeyer P, Schmal H, Hauschild O, von Heyden J, Südkamp NP, Köstler W. Open-wedge osteotomy using an internal plate fixator in patients with medial-compartment gonarthritis and varus malalignment: 3-year results with regard to preoperative arthroscopic and radiographic findings. Arthroscopy. 2010;26:1607–16. doi:10.1016/j.arthro.2010.05.006. This paper helps understanding arthroscopic prognostic factors before HTO.

    PubMed  Article  Google Scholar 

  10. Bode G, von Heyden J, Pestka J, Schmal H, Salzmann G, Südkamp N, et al. Prospective 5-year survival rate data following open-wedge valgus high tibial osteotomy. Knee Surg Sports Traumatol Arthrosc. 2013. [Epub ahead of print].

  11. Schröter S, Gonser CE, Konstantinidis L, Helwig P, Albrecht D. High complication rate after biplanar open wedge high tibial osteotomy stabilized with a new spacer plate (Position HTO plate) without bone substitute. Arthroscopy. 2011;27:644–52. doi:10.1016/j.arthro.2011.01.008.

    PubMed  Article  Google Scholar 

  12. Hernigou P, Roussignol X, Flouzat-Lachaniette CH, Filippini P, Guissou I, Poignard A. Opening wedge tibial osteotomy for large varus deformity with Ceraver resorbable beta tricalcium phosphate wedges. Int Orthop. 2010;34:191–9. doi:10.1007/s00264-009-0875-1 [Epub Oct 1, 2009].

    PubMed  Article  PubMed Central  Google Scholar 

  13. DeMeo PJ, Johnson EM, Chiang PP, Flamm AM, Miller MC. Midterm follow-up of opening-wedge high tibial osteotomy. Am J Sports Med. 2010;38:2077–84. doi:10.1177/0363546510371371 [Epub Jul 1, 2010].

    PubMed  Article  Google Scholar 

  14. Laprade RF, Spiridonov SI, Nystrom LM, Jansson KS. Prospective outcomes of young and middle-aged adults with medial compartment osteoarthritis treated with a proximal tibial opening wedge osteotomy. Arthroscopy. 2012;28:354–64. doi:10.1016/j.arthro.2011.08.310 [Epub Dec 14, 2011].

    PubMed  Article  Google Scholar 

  15. Bonasia DE, Dettoni F, Sito G, Blonna D, Marmotti A, Bruzzone M, et al. Medial opening wedge high tibial osteotomy for medial compartment overload/arthritis in the varus knee: prognostic factors. Am J Sports Med. 2014;42:690–8. [Epub Jan 21, 2014]. doi:10.1177/0363546513516577. This paper describes pre- and postoperative prognostic factors of opening wedge HTO.

  16. Niinimäki TT, Eskelinen A, Mann BS, Junnila M, Ohtonen P, Leppilahti J. Survivorship of high tibial osteotomy in the treatment of osteoarthritis of the knee: finnish registry-based study of 3195 knees. J Bone Joint Surg (Br). 2012;94:1517–21. doi:10.1302/0301-620X.94B11.29601. This paper describes the results of HTO from a national registry.

    Article  Google Scholar 

  17. Flecher X, Parratte S, Aubaniac JM, Argenson JN. A 12–28-year follow-up study of closing wedge high tibial osteotomy. Clin Orthop Relat Res. 2006;452:91–6.

    PubMed  Article  Google Scholar 

  18. Akizuki S, Shibakawa A, Takizawa T, Yamazaki I, Horiuchi H. The long-term outcome of high tibial osteotomy: a ten- to 20-year follow-up. J Bone Joint Surg (Br). 2008;90:592–6. doi:10.1302/0301-620X.90B5.20386.

    Article  CAS  Google Scholar 

  19. Gstöttner M, Pedross F, Liebensteiner M, Bach C. Long-term outcome after high tibial osteotomy. Arch Orthop Trauma Surg. 2008;128:111–5.

    PubMed  Article  Google Scholar 

  20. Hui C, Salmon LJ, Kok A, Williams HA, Hockers N, van der Tempel WM, et al. Long-term survival of high tibial osteotomy for medial compartment osteoarthritis of the knee. Am J Sports Med. 2011;39:64–70. Epub Sep 10, 2010]. doi:10.1177/0363546510377445.

  21. Efe T, Ahmed G, Heyse TJ, Boudriot U, Timmesfeld N, Fuchs-Winkelmann S, et al. Closing-wedge high tibial osteotomy: survival and risk factor analysis at long-term follow-up. BMC Musculoskelet Disord. 2011;12:46. doi:10.1186/1471-2474-12-46.

    PubMed  Article  PubMed Central  Google Scholar 

  22. Jackson JP, Waugh W. Tibial osteotomy for osteoarthritis of the knee. J Bone Joint Surg (Br). 1961;43-B:746–51.

    CAS  Google Scholar 

  23. Coventry MB. Osteotomy of the upper portion of the tibia for degenerative arthritis of the knee: a preliminary report. J Bone Joint Surg Am. 1965;47-A:984–90.

    Google Scholar 

  24. Atrey A, Morison Z, Tosounidis T, Tunggal J, Waddell JP. Complications of closing wedge high tibial osteotomies for unicompartmental osteoarthritis of the knee. Bone Joint Res. 2011;1:205–9.

    Article  Google Scholar 

  25. Huang Y, Gu J, Zhou Y, Li Y. Osteotomy at the distal third of tibial tuberosity with LCP L-buttress plate for correction of tibia vara. J Orthopaed Surg Res. 2014;9:9.

    Article  Google Scholar 

  26. Spahn G. Complications in high tibial (medial opening wedge) osteotomy. Arch Orthop Trauma Surg. 2004;124:649–53.

    PubMed  Article  Google Scholar 

  27. Smith TO, Sexton D, Mitchell P, Hing CB. Opening- or closing-wedged high tibial osteotomy: a meta-analysis of clinical and radiological outcomes. Knee. 2011;18:361–8. doi:10.1016/j.knee.2010.10.001 [Epub Oct 29, 2010].

    PubMed  Article  CAS  Google Scholar 

  28. Brouwer RW, Bierma-Zeinstra SMA, Raaij TM, et al. Osteotomy for medial compartment arthritis of the knee using a closing wedge or an opening wedge controlled by a Puddu Plate. J Bone Joint Surg (Br). 2006;88-B:1454–9.

  29. Lobenhoffer P, Agneskirchner JD. Improvements in surgical technique of valgus high tibial osteotomy. Knee Surg Sports Traumatol Arthrosc. 2003;11:132–8.

    PubMed  Google Scholar 

  30. Seagrave RA, Sojka J, Goodyear A, Munns SW. Utilizing reamer irrigator aspirator (RIA) autograft for opening wedge high tibial osteotomy: a new surgical technique and report of three cases. Int J Surg Case Rep. 2014;5:37–42. doi:10.1016/j.ijscr.2013.11.004 [Epub Nov 15, 2013].

    PubMed  Article  PubMed Central  Google Scholar 

  31. Kuremsky MA, Schaller TM, Hall CC, Roehr BA, Masonis JL. Comparison of autograft vs allograft in opening-wedge high tibial osteotomy. J Arthroplasty. 2010;25:951–7. doi:10.1016/j.arth.2009.07.026 [Epub Sep 23, 2009].

    PubMed  Article  Google Scholar 

  32. Aryee S, Imhoff AB, Rose T, Tischer T. Do we need synthetic osteotomy augmentation materials for opening wedge high tibial osteotomy. Biomaterials. 2008;29:3497–502.

    PubMed  Article  CAS  Google Scholar 

  33. Hernigou P, Ma W. Open wedge tibial osteotomy with acrylic bone cement as bone substitute. Knee. 2001;8:103–10.

    PubMed  Article  CAS  Google Scholar 

  34. Dallari D, Savarino L, Stagni C, Cenni E, Cenacchi A, Fornasari PM, et al. Enhanced tibial osteotomy healing with use of bone grafts supplemented with platelet gel or platelet gel and bone marrow stromal cells. J Bone Joint Surg Am. 2007;89:2413–20.

    PubMed  Article  CAS  Google Scholar 

  35. Kawaguchi H, Jingushi S, Izumi T, Fukunaga M, Matsushita T, Nakamura T, et al. Local application of recombinant human fibroblast growth factor-2 on bone repair: a dose-escalation prospective trial on patients with osteotomy. J Orthop Res. 2007;25:480–7.

    PubMed  Article  CAS  Google Scholar 

  36. Peerbooms JC, Colaris JW, Hakkert AA, Van Appeldorn M, Bruijn DJ, Den Oudsten BL, et al. No positive bone healing after using platelet rich plasma in a skeletal defect. An observational prospective cohort study. Int Orthop. 2012;36:2113–9. doi:10.1007/s00264-012-1603-9 [Epub Jun 26, 2012].

    PubMed  Article  PubMed Central  Google Scholar 

  37. Griffin XL, Wallace D, Parsons N, Costa ML. Platelet rich therapies for long bone healing in adult. Cochrane Database System Rev. 2012;7:CD009496.

  38. Pape D, Lorbach O, Schmitz C, Busch LC, Van Giffen N, Seil R, et al. Effect of a biplanar osteotomy on primary stability following high tibial osteotomy: a biomechanical cadaver study. Knee Surg Sports Traumatol Arthrosc. 2010;18:204–11.

    PubMed  Article  Google Scholar 

  39. Agneskirchner JD, Freiling D, Hurschler C, Lobenhoffer P. Primary stability of four different implants for opening wedge high tibial osteotomy. Knee Surg Sports Traumatol Arthrosc. 2006;14:291–300.

    PubMed  Article  CAS  Google Scholar 

  40. Dorsey WO, Miller BS, Tadje JP, Bryant CR. The stability of three commercially available implants used in medial opening wedge high tibial osteotomy. J Knee Surg. 2006;19:95–8.

    PubMed  Google Scholar 

  41. Spahn G, Mückley T, Kahl E, Hofmann GO. Biomechanical investigation of different internal fixations in medial opening wedge high tibial osteotomy. Clin Biomech (Bristol, Avon). 2006;21:272–8.

    Article  Google Scholar 

  42. Pape D, Kohn D, van Giffen N, Hoffmann A, Seil R, Lorbach O. Differences in fixation stability between spacer plate and plate fixator following high tibial osteotomy. Knee Surg Sports Traumatol Arthrosc. 2013;21:82–9. doi:10.1007/s00167-011-1693-8 [Epub Oct 9, 2011].

    PubMed  Article  CAS  Google Scholar 

  43. Scordino LE, DeBerardino TM. Surgical treatment of osteoarthritis in the middle-aged athlete: new horizons in high tibial osteotomies. Sports Med Arthrosc. 2013;21:47–51. doi:10.1097/JSA.0b013e318278f71d.

    PubMed  Article  Google Scholar 

  44. Cotic M, Vogt S, Hinterwimmer S, Feucht MJ, Slotta-Huspenina J, Schuster T, et al. A matched-pair comparison of two different locking plates for valgus-producing medial open-wedge high tibial osteotomy: peek-carbon composite plate vs titanium plate. Knee Surg Sports Traumatol Arthrosc. 2014. [Epub ahead of print].

  45. McNamara I, Birmingham TB, Fowler PJ, Griffin JR. High tibial osteotomy: evolution of research and clinical applications—a Canadian experience. Knee Surg Sports Traumatol Arthrosc. 2013;21:23–31.

    PubMed  Article  CAS  Google Scholar 

  46. Naudie DD, Amendola A, Fowler PJ. Opening wedge high tibial osteotomy for symptomatic hyperextension-varus thrust. Am J Sports Med. 2004;32:60–70.

    PubMed  Article  Google Scholar 

  47. Genin P, Weill G, Julliard R. The tibial slope: proposal for a measurement method [French]. J Radiol. 1993;74:27–33.

    PubMed  CAS  Google Scholar 

  48. Ducat A, Sariali E, Lebel B, Mertl P, Hernigou P, Flecher X, et al. Posterior tibial slope changes after opening- and closing-wedge high tibial osteotomy: a comparative prospective multicenter study. Orthop Traumatol Surg Res. 2012;98:68–74.

    PubMed  Article  CAS  Google Scholar 

  49. Lerat JL, Moyen B, Garin C, Mandrino A, Besse JL, Brunet-Guedj E. Anterior laxity and internal arthritis of the knee. Results of the reconstruction of the anterior cruciate ligament associated with tibial osteotomy. Rev Chir Orthop Reparatrice Appar Mot. 1993;79:365–74.

    PubMed  CAS  Google Scholar 

  50. Hohmann E, Bryant A, Imhoff AB. The effect of closed wedge high tibial osteotomy on tibial slope: a radiographic study. Knee Surg Sports Traumatol Arthrosc. 2006;14:454–9.

    PubMed  Article  Google Scholar 

  51. Dejour H, Neyret P, Boileau P, Donell ST. Anterior cruciate reconstruction combined with valgus tibial osteotomy. Clin Orthop Relat Res. 1994;299:220–8.

    PubMed  Google Scholar 

  52. Williams III RJ, Kelly BT, Wickiewicz TL, Altchek DW, Warren RF. The short-term outcome of surgical treatment for painful varus arthritis in association with chronic ACL deficiency. J Knee Surg. 2003;16:9–16.

    PubMed  Google Scholar 

  53. Bonin N, Ait Si Selmi T, Donell ST, Dejour H, Neyret P. Anterior cruciate reconstruction combined with valgus upper tibial osteotomy: 12 years follow-up. Knee. 2004;11:431–7.

    PubMed  Article  CAS  Google Scholar 

  54. Boss A, Stutz G, Oursin C, Gächter A. Anterior cruciate ligament reconstruction combined with valgus tibial osteotomy (combined procedure). Knee Surg Sports Traumatol Arthrosc. 1995;3:187–91.

    PubMed  Article  CAS  Google Scholar 

  55. Trojani C, Elhor H, Carles M, Boileau P. Anterior cruciate ligament reconstruction combined with valgus high tibial osteotomy allows return to sports. Ortop Traumatol Surg Res. 2014;100:209–12.

    Article  CAS  Google Scholar 

  56. Bonasia DE, Amendola A. Combined medial meniscal transplantation and high tibial osteotomy. Knee Surg Sports Traumatol Arthrosc. 2010;18:870–3.

    PubMed  Article  Google Scholar 

  57. Amendola A. Knee osteotomy and meniscal transplantation: indications, technical considerations, and results. Sports Med Arthrosc. 2007;15:32–8.

    PubMed  Article  Google Scholar 

  58. Wong KL, Lee KB, Tai BC, Law P, Lee EH, Hui JH. Injectable cultured bone marrow-derived mesenchymal stem cells in varus knee with cartilage defects undergoing high tibial osteotomy: a prospective, randomized controlled clinical trial with 2 years' follow-up. Arthroscopy. 2013;29:2020–8.

    PubMed  Article  Google Scholar 

  59. Warme BA, Aalderink K, Amendola A. Is there a role for high tibial osteotomies in the athlete? Sports Health. 2011;3:59–69.

    PubMed  Article  PubMed Central  Google Scholar 

  60. Broughton NS, Newman JH, Baily RA. Unicompartmental replacement and high tibial osteotomy for osteoarthritis of the knee. A comparative study after 5–10 years' follow-up. J Bone Joint Surg (Br). 1986;68:447–52.

    CAS  Google Scholar 

  61. Stukenborg-Colsman C, Wirth CJ, Lazovic D, Wefer A. High tibial osteotomy vs unicompartmental joint replacement in unicompartmental knee joint osteoarthritis: 7–10-year follow-up prospective randomised study. Knee. 2001;8:187–94.

    PubMed  Article  CAS  Google Scholar 

  62. Spahn G, Hofmann GO, von Engelhardt LV, Li M, Neubauer H, Klinger HM. The impact of high tibial valgus osteotomy and unicondylar medial arthroplasty on the treatment for knee osteoarthritis: a meta-analysis. Knee Surg Sports Traumatol Arthrosc. 2013;21:96–112.

    PubMed  Article  Google Scholar 

  63. Brouwer RW, Raaij TM, Bierma-Zeinstra SM, Verhagen AP, Jakma TS, Verhaar JA. Osteotomy for treating knee osteoarthritis. Cochrane Database Syst Rev. 2007;18:CD004019.

    Google Scholar 

  64. Dettoni F, Maistrelli GL, Rossi P, Castoldi F, Stojimirovich D, Rossi R. UKA vs HTO: clinical results at short term follow-up. 75th AAOS Annual Meeting. San Francisco, CA; 2008.

  65. Yim JH, Song EK, Seo HY, Kim MS, Seon JK. Comparison of high tibial osteotomy and unicompartmental knee arthroplasty at a minimum follow-up of 3 years. J Arthroplasty. 2013;28:243–7.

    PubMed  Article  Google Scholar 

  66. Fu D, Li G, Chen K, Zhao Y, Hua Y, Cai Z. Comparison of high tibial osteotomy and unicompartmental knee arthroplasty in the treatment of unicompartmental osteoarthritis: a meta-analysis. J Arthroplasty. 2013;28:759–65.

    PubMed  Article  Google Scholar 

  67. Dettoni F, Bonasia DE, Castoldi F, Bruzzone M, Blonna D, Rossi R. High tibial osteotomy vs unicompartmental knee arthroplasty for medial compartment arthrosis of the knee: a review of the literature. Iowa Orthop J. 2010;30:131–40.

    PubMed  PubMed Central  Google Scholar 

  68. Gill T, Schemitsch EH, Brick GW, Thornhill TS. Revision total knee arthroplasty after failed unicompartmental knee arthroplasty or high tibial osteotomy. Clin Orthop Relat Res. 1995;321:10–8.

    PubMed  Google Scholar 

  69. Robertsson O, W-Dahl A. The risk of revision after TKA is affected by previous HTO or UKA. Clin Orthop Relat Res. 2014. [Epub ahead of print] Important paper describing the risks of revision HTO and UKA to TKR.

Download references

Compliance with Ethics Guidelines

Conflict of Interest

Annunziato Amendola has received grants from the National Institutes of Health. Annunziato Amendola has received royalties from Arthrex, Inc and Arthrosurface, Inc. and owns stock in Arthrosurface Inc. and MTP Solutions.

Davide Bonasia, Giorgio Governale, Simone Spolaore, and Roberto Rossi declare that they have no conflict of interest.

Human and Animal Rights and Informed Consent

This article does not contain any studies with human or animal subjects performed by any of the authors.

Author information

Affiliations

Authors

Corresponding author

Correspondence to Davide Edoardo Bonasia.

Rights and permissions

Reprints and Permissions

About this article

Verify currency and authenticity via CrossMark

Cite this article

Bonasia, D.E., Governale, G., Spolaore, S. et al. High tibial osteotomy. Curr Rev Musculoskelet Med 7, 292–301 (2014). https://doi.org/10.1007/s12178-014-9234-y

Download citation

  • Published:

  • Issue Date:

  • DOI: https://doi.org/10.1007/s12178-014-9234-y

Keywords

  • High tibial osteotomy
  • HTO
  • Medial arthritis
  • Knee
  • Opening wedge
  • Closing wedge