Skip to main content

Computer-aided detection of bone metastasis in bone scintigraphy images using parallelepiped classification method

Abstract

Objective

Accurate diagnosis of metastatic tissue on bone scintigraphy images is of paramount importance in making treatment decisions. Although several automated systems have developed, more and better interpretation methods are still being sought. In the present study, a new modality for bone metastasis detection from bone scintigraphy images using parallelepiped classification (PC) as method for mapping the radionuclide distribution is presented.

Methods

Bone scintigraphy images from 12 patients with bone metastases were analyzed using the parallelepiped classifier that generated color maps of scintigraphic images. Seven classes of radionuclide accumulation have been identified and fed into machine learning software. The accuracy of the proposed method was evaluated by statistical measurements in a confusion matrix. Overall accuracy, producer’s and user’s accuracies and κ coefficient were computed from each confusion matrix associated with the individual case.

Results

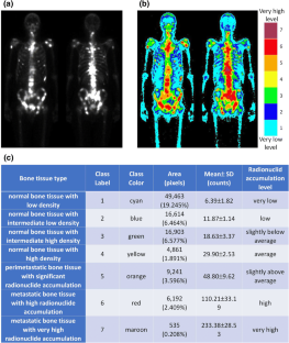
The results revealed that the method is sufficiently precise to differentiate the metastatic bone from normal tissue (overall classification accuracy = 87.58 ± 2.25% and κ coefficient = 0.8367 ± 0.0252). The maps are easier to read (due to better contrast) and can detect even slightest differences in accumulation levels among pixels.

Conclusions

In conclusion, these preliminary data suggest that bone scintigraphy combined with PC method could play an important role in the detection of bone metastasis, allowing for an easier but correct interpretation of the images, with effects on the diagnosis accuracy and decision making on the treatment to be applied.

This is a preview of subscription content, access via your institution.

Fig. 1
Fig. 2
Fig. 3
Fig. 4

References

  1. Coleman RE. (2001) Metastatic bone disease: clinical features, pathophysiology and treatment strategies. Cancer Treat Rev. 2001;27:165–76.

    CAS  Article  Google Scholar 

  2. Lukaszewski B, Nazar J, Goch M, Lukaszewska M, Stepinski A, Jurczyk MU. Diagnostic methods for detection of bone metastases. Contemp Oncol (Pozn). 2017;21:98–103. https://doi.org/10.5114/wo.2017.68617.

    CAS  Article  Google Scholar 

  3. Woolf DK, Padhani AR, Makris A. Assessing response to treatment of bone metastases from breast cancer: what should be the standard of care? Ann Oncol. 2015;26:1048–57. https://doi.org/10.1093/annonc/mdu558.

    CAS  Article  PubMed  Google Scholar 

  4. Del Vescovo R, Frauenfelder G, Francesco Giurazza F, et al. Role of whole-body diffusion-weighted MRI in detecting bone metastasis. Radiol Med (Torino). 2014;119:758–66. https://doi.org/10.1007/s11547-014-0395-y.

    Article  Google Scholar 

  5. Nakajima K, Nakajima Y, Horikoshi H, et al. Enhanced diagnostic accuracy for quantitative bone scan using an artificial neural network system: a Japanese multi-center database project. EJNMMI Res. 2013;3:83. https://doi.org/10.1186/2191-219X-3-83.

    Article  PubMed  PubMed Central  Google Scholar 

  6. Doi K. Computer-aided diagnosis in medical imaging: historical review, current status and future potential. Comput Med Imaging Graph. 2007;31:198–21111.

    Article  Google Scholar 

  7. Taylor P, Potts HW. Computer aids and human second reading as interventions in screening mammography: two systematic reviews to compare effects on cancer detection and recall rate. Eur J Cancer. 2008;44:798–807.

    Article  Google Scholar 

  8. Suzuki K. A supervised 'lesion-enhancement' filter by use of a massive-training artificial neural network (MTANN) in computer-aided diagnosis (CAD). Phys Med Biol. 2009;54:31–45.

    Article  Google Scholar 

  9. Petrick N, Haider M, Summers RM, Yeshwant SC, Brown L, Iuliano EM, Louie A, Choi JR, Pickhardt PJ. CT colonography with computer-aided detection as a second reader: observer performance study. Radiology. 2008;246:148–56.

    Article  Google Scholar 

  10. Mazzetti S, Giannini V, Russo F, Regge D. Computer-aided diagnosis of prostate cancer using multi-parametric MRI: comparison between PUN and Tofts models. Phys Med Biol. 2018;63:095004. https://doi.org/10.1088/1361-6560/aab956.

    CAS  Article  PubMed  Google Scholar 

  11. Kang KW, Chang HJ, Shim H, Kim YJ, Choi BW, Yang WI, Shim JY, Ha J, Chung N. Feasibility of an automatic computer-assisted algorithm for the detection of significant coronary artery disease in patients presenting with acute chest pain. Eur J Radiol. 2012;81:e640–e646646. https://doi.org/10.1016/j.ejrad.2012.01.017.

    Article  PubMed  Google Scholar 

  12. Dong ZC. Detection of subjects and brain regions related to Alzheimer's disease using 3D MRI scans based on eigenbrain and machine learning. Front Comput Neurosci. 2015;66:1–15.

    Google Scholar 

  13. Erdi YE, Humm JL, Imbriaco M, Yeung H, Larson SM. Quantitative bone metastases analysis based on image segmentation. J Nucl Med. 1997;38:1401–6.

    CAS  PubMed  Google Scholar 

  14. Yin TK, Chiu NT. A computer-aided diagnosis for locating abnormalities in bone scintigraphy by a fuzzy system with a three-step minimization approach. IEEE Trans Med Imaging. 2004;23:639–54.

    Article  Google Scholar 

  15. Sajn L, Kukar M, Kononenko I, Milcinski M. Computerized segmentation of whole-body bone scintigrams and its use in automated diagnostics. Comput Methods Progr Biomed. 2005;80:47–55.

    Article  Google Scholar 

  16. Sadik M, Hamadeh I, Nordblom P, Suurkula M, Hoglund P, Ohlsson M, Edenbrandt L. Computer-assisted interpretation of planar whole-body bone scans. J Nucl Med. 2008;49:1958–65.

    Article  Google Scholar 

  17. Kikuchi A, Onoguchi M, Horikoshi H, Sjostrand K, Edenbrandt L. Automated segmentation of the skeleton in whole-body bone scans: influence of difference in atlas. Nucl Med Commun. 2012;3:947–53.

    Article  Google Scholar 

  18. Horikoshi H, Kikuchi A, Onoguchi M, Sjostrand K, Edenbrandt L. Computer-aided diagnosis system for bone scintigrams from Japanese patients: importance of training database. Ann Nucl Med. 2012;3:622–6.

    Article  Google Scholar 

  19. Koizumi M, Miyaji N, Murata T, Motegi K, Miwa K, Koyama M, Terauchi T, Wagatsuma K, Kawakami K, Richter J. Evaluation of a revised version of computer-assisted diagnosis system, BONENAVI version 2.1.7, for bone scintigraphy in cancer patients. Ann Nucl Med. 2015;29:659–65.

    Article  Google Scholar 

  20. Ogawa K, Sakata M, Li Y. Adaptive noise reduction of scintigrams with a wavelet transform. Int J Biomed Imaging. 2012. https://doi.org/10.1155/2012/130482 (ID 130482).

    Article  PubMed  PubMed Central  Google Scholar 

  21. Kuwahara M, Hachimura K, Ehiu S, Kinoshita M. Processing of riangiocardiographic images. Digit Process Biomed Images N Y. 1976;1980:187–203.

    Article  Google Scholar 

  22. Schowengerdt RA. Remote sensing: models and methods for image processing. 3rd ed. San Diego: Academic Press; 1997. p. 411–412.

    Google Scholar 

  23. Cohen J. A coefficient of agreement for nominal scales. Educ Psychol Meas. 1960;20:37–46.

    Article  Google Scholar 

  24. Landis JR, Koch GG. The measurement of observer agreement for categorical data. Biometrics. 1997;33:159–74.

    Article  Google Scholar 

Download references

Funding

This study was funded by the Romanian Ministry of Research and Innovation (Grant number PN 33N/16.03.2018).

Author information

Affiliations

Authors

Contributions

All authors contributed to the study conception and design. Data acquisition was performed by F-GE. The data processing and analysis were performed by F-GE and MAC. Interpretation of the results was carried out by SVP and MAC. All authors contributed to the writing of the manuscript. All authors read and approved the final version of the manuscript.

Corresponding author

Correspondence to Mihaela Antonina Calin.

Ethics declarations

Conflict of interest

The authors declare that they have no conflict of interest.

Ethical approval

All procedures performed in this study involving human participants were in accordance with the ethical standards of the “Saint John” Emergency Clinical Hospital Research Committee and with the 1964 Helsinki declaration and its later amendments or comparable ethical standards.

Informed consent

Informed consent was obtained from all individual participants included in the study.

Additional information

Publisher's Note

Springer Nature remains neutral with regard to jurisdictional claims in published maps and institutional affiliations.

Rights and permissions

Reprints and Permissions

About this article

Verify currency and authenticity via CrossMark

Cite this article

Elfarra, FG., Calin, M.A. & Parasca, S.V. Computer-aided detection of bone metastasis in bone scintigraphy images using parallelepiped classification method. Ann Nucl Med 33, 866–874 (2019). https://doi.org/10.1007/s12149-019-01399-w

Download citation

  • Received:

  • Accepted:

  • Published:

  • Issue Date:

  • DOI: https://doi.org/10.1007/s12149-019-01399-w

Keywords

  • Cancer
  • Bone
  • Nuclear imaging
  • Radionuclide accumulation
  • Parallelepiped classification
  • Machine learning