Skip to main content

18F-FDG PET/CT in inflammatory pseudotumor of the colon causing intussusception

Abstract

Inflammatory pseudotumor is a rare benign lesion mimicking malignancy both clinically and radiologically. An accurate diagnosis is still difficult and is based on the histological examination. Since inflammatory pseudotumor is exceptionally rare in the colon, this unexpected lesion can be mistaken for malignancy. We report the first case of inflammatory pseudotumor in the colon that showed 18F-fluorodeoxyglucose (FDG) uptake and acted as the lead point causing colocolic intussusception.

This is a preview of subscription content, access via your institution.

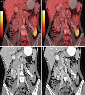
Fig. 1
Fig. 2
Fig. 3
Fig. 4

References

  1. Ueda J, Yoshida H, Taniai N, Onda M, Hayashi H, Tajiri T. Inflammatory pseudotumor in the liver associated with intrahepatic bile duct stones mimicking malignancy. J Nippon Med Sch. 2009;76:154–9.

    PubMed  Article  Google Scholar 

  2. Narla LD, Newman B, Spottswood SS, Narla S, Kolli R. Inflammatory pseudotumor. Radiographics. 2003;23:719–29.

    PubMed  Article  Google Scholar 

  3. Coffin CM, Watterson J, Priest JR, Dehner LP. Extrapulmonary inflammatory myofibroblastic tumor (inflammatory pseudotumor). A clinicopathologic and immunohistochemical study of 84 cases. Am J Surg Pathol. 1995;19:859–72.

    PubMed  Article  CAS  Google Scholar 

  4. Dehner LP. The enigmatic inflammatory pseudotumours: the current state of our understanding, or misunderstanding. J Pathol. 2000;192:277–9.

    PubMed  Article  CAS  Google Scholar 

  5. Aalbers AG, De Wilt JH, Zondervan PE, Ijzermans JN. A colon-derived inflammatory pseudotumor. Dig Dis Sci. 1999;44:578–81.

    PubMed  Article  CAS  Google Scholar 

  6. Velitchkov N, Losanoff J, Kjossev K, Michaylova V. Inflammatory pseudotumor of the colon. Dig Dis Sci. 2000;45:515–6.

    PubMed  Article  CAS  Google Scholar 

  7. Martin-Lorenzo JG, Torralba-Martinez A, Liron-Ruiz R, Flores-Pastor B, Miguel-Perello J, Aguilar-Jimenez J, et al. Intestinal invagination in adults: preoperative diagnosis and management. Int J Colorectal Dis. 2004;19:68–72.

    PubMed  Article  CAS  Google Scholar 

  8. Azar T, Berger DL. Adult intussusception. Ann Surg. 1997;226:134–8.

    PubMed  Article  CAS  Google Scholar 

Download references

Author information

Affiliations

Authors

Corresponding author

Correspondence to Ihn-Ho Cho.

Rights and permissions

Reprints and Permissions

About this article

Cite this article

Jeong, JH., Cho, IH., Kong, EJ. et al. 18F-FDG PET/CT in inflammatory pseudotumor of the colon causing intussusception. Ann Nucl Med 25, 447–450 (2011). https://doi.org/10.1007/s12149-011-0481-3

Download citation

  • Received:

  • Accepted:

  • Published:

  • Issue Date:

  • DOI: https://doi.org/10.1007/s12149-011-0481-3

Keywords

  • Plasma cell granuloma
  • Colon
  • Intussusception
  • Positron-emission tomography