Abstract
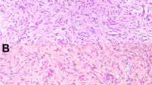
Cranial fasciitis (CF) is an uncommon benign myofibroblastic proliferation involving the soft and hard tissues of the cranium. It typically occurs in the pediatric population with a male predilection (male-to-female ratio 1.5:1). The clinical presentation is usually a rapidly expanding, painless nodule. Bone erosion may be appreciated radiographically. Histopathologic sections of CF show plump, fibroblast-like cells with pale, oval shaped nuclei and prominent nucleoli in a fibrous or myxoid background. Growth is self-limited and surgical excision is considered curative. Due to these features, CF is thought to be a variant of nodular fasciitis (NF). As with NF, CF may mimic a sarcomatous process and pose a diagnostic challenge to clinicians and pathologists alike. Erickson-Johnson et al. identified rearrangements of the ubiquitin-specific protease 6 (USP6) gene in 44 of 48 cases of NF. MYH9 was the fusion partner in 12 of these cases. To date, the molecular profile of CF has not been studied. Here we present the molecular findings in three cases of CF identified at our institution. Each case was subjected to fluorescence in-situ hybridization with appropriate negative controls. Two of three cases were positive for the USP6 gene rearrangement. The third case failed to hybridize, likely related to nucleic acid damage secondary to decalcification. Negative controls did not demonstrate the genetic rearrangement. These findings warrant further investigation of the USP6 gene rearrangement in CF, as it may prove helpful as a diagnostic adjunct in challenging cases.



Similar content being viewed by others
References
Erickson-Johnson MR, Chou MM, Evers BR, Roth CW, Seys AR, Jin L, Ye Y, Lau AW, Wang X, Oliveira AM. Nodular fasciitis: a novel model of transient neoplasia induced by MYH9-USP6 genefusion. Lab Invest. 2011;91(10):1427–33.
Lauer DH, Enzinger FM. CraniaI fasciitis of childhood. Cancer. 1980;45:401–6.
Lecavalier M, Ogilvie LN, Magee F, et al. Cranial fasciitis: a rare pediatric nonneoplastic lesion with 14-year follow-up. Am J Otolaryngol. 2014;35:647–50.
Huter EN, Lee CC, Sherry RM, Udey MC. Spontaneous regression and recurrence in a case of nodular fasciitis. Acta Derm Venereol. 2009;89:438–9.
Shimizu S, Hashimoto H, Enjoji M. Nodular fasciitis: an analysis of 250 patients. Pathology. 1984;16:161–6.
Keyserling HF, Castillo M, Smith JK. Cranial fasciitis of childhood. Am J Neuroradiol. 2003;24:1465–7.
Hussein MR. Cranial fasciitis of childhood: a case report and review of literature. J Cutan Pathol. 2008;35:212–4.
Yebenes M, Gilaberte M, Romanı J, et al. Cranial fasciitis in an 8-yearold boy: clinical and histopathologic features. Pediatr Dermatol. 2007;24:26–31.
Johnson KK, Dannenbaum MJ, Bhattacharjee MB, et al. Diagnosing cranial fasciitis based on distinguishing radiological features. J Neurosurg Pediatr. 2008;2:370–4.
Summers LE, Florez L, Berberian ZJM, et al. Postoperative cranial fasciitis. Report of 2 cases and review of the literature. J Neurosurg. 2007;106:1080–5.
Wagner RD, et al. Cranial fasciitis: a systematic review and diagnostic approach to a pediatric scalp mass. J Craniofac Surg. 2016;27(1):e65–71.
Larralde M, Boggio P, Schroh R, et al. Cranial fasciitis of childhood. Int J Dermatol. 2003;42:137–8.
Weiss SW, Goldblum JR. Enzinger and Weiss’s soft tissue tumors. China: Mosby Elsevier; 2008.
Price EB Jr, Silliphant WM, Shuman R. Nodular fasciitis: a clinicopathologic analysis of 65 cases. Am J Clin Pathol. 1961;35:122–36.
Thompson LDR, Fanburg-Smith JC, Wenig BM. Nodular fasciitis (NF) of the external ear region: a clinicopathologic study of 50 cases. Ann Diagn Pathol. 2001;5(4):191–8.
Rakheja D, Cunningham JC, Mitui M, et al. A subset of cranial fasciitis is associated with dysregulation of the Wnt/beta-catenin pathway. Mod Pathol. 2008;21:1330–6.
Lee JY, Kim YC, Shin JH. Cranial fasciitis treated with intralesional corticosteroids. Int J Dermatol. 2004;43:453–5.
Oliveira AM, Margaret M, Chou. USP6-induced neoplasms: the biologic spectrum of aneurysmal bone cyst and nodular fasciitis. Human Pathol. 2014;45(1):1–11.
Fletcher CDM, Unni KK, Mertens F. World Health Organization classification of tumours. Pathology and genetics of tumours of soft tissue and bone. Lyon: France; 2005.
Althaus K, Najm J, Greinacher A. MYH9 related platelet disorders-often unknown and misdiagnosed. Klin Padiatr. 2011;223:120–5.
Amary MF, Ye H, Berisha F, Tirabosco R, Presneau N, Flanagan AM. Detection of USP6 gene rearrangement in nodular fasciitis: an important diagnostic tool. Virchows Arch. 2013;463:97–8.
Patel NR, et al. USP6 activation in nodular fasciitis by promoter-swapping gene fusions. Mod Pathol. 2017;30(11):1577.
Acknowledgements
We would like to thank Mayo Cytogenetics Core Director, Patricia T. Greipp, D.O., as well as Darlene Knutson and Sara Kloft-Nelson, the technologists who performed the FISH analysis, for the help on this project.
Author information
Authors and Affiliations
Corresponding author
Rights and permissions
About this article
Cite this article
Salib, C., Edelman, M., Lilly, J. et al. USP6 Gene Rearrangement by FISH Analysis in Cranial Fasciitis: A Report of Three Cases. Head and Neck Pathol 14, 257–261 (2020). https://doi.org/10.1007/s12105-019-01018-0
Received:
Accepted:
Published:
Issue Date:
DOI: https://doi.org/10.1007/s12105-019-01018-0


