Skip to main content

Sinonasal Tract Solitary Fibrous Tumor: A Clinicopathologic Study of Six Cases with a Comprehensive Review of the Literature

Abstract

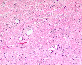
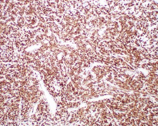
Solitary fibrous tumors (SFTs) are well recognized in the head and neck region, but rarely arise in the sinonasal tract (SNT). Six primary SNT SFTs were identified in the files of Southern California Permanente Medical Group between 2006 and 2017. The patients included five males and one female ranging in age from 33 to 72 years (mean 52 years), most of whom presented clinically with nasal obstruction. Three tumors involved the nasal cavity alone, one involved the paranasal sinuses, and two involved both the nasal cavity and paranasal sinuses. Histologically, the tumors were characterized by a variably cellular proliferation of cytologically bland spindle cells within a collagenous stroma with prominent interspersed branching vessels. Mitotic activity was low (range 0–2 per 10 high power fields) and there was no evidence of pleomorphism or tumor necrosis. Surface ulceration was noted. By immunohistochemistry, the lesional cells were positive for CD34, STAT6 and bcl-2. Clinical follow up information was available for all patients (range 32–102 months; mean 72 months). There were no recurrences or metastases and all were alive with no evidence of disease at last follow-up. SFTs rarely affect the SNT, but should be considered in the differential diagnosis of SNT mesenchymal lesions. Immunohistochemical expression of STAT6 can aid in diagnosis and separation of SFT from other spindle cell lesions occurring at this anatomic site. In combination with cases reported in the literature, primary SNT SFT behave in an indolent manner with conservative treatment.

This is a preview of subscription content, access via your institution.

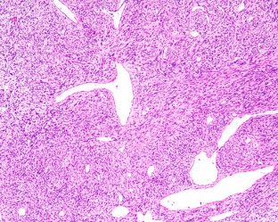
Fig. 1
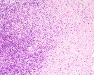
Fig. 2
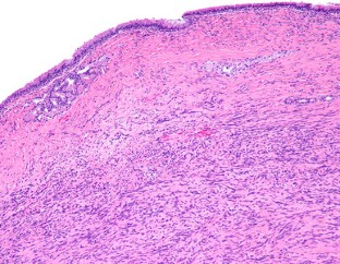
Fig. 3
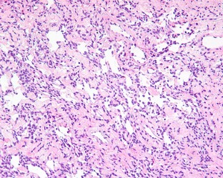
Fig. 4
Fig. 5
Fig. 6
Fig. 7
Fig. 8
Fig. 9

References

  1. Han Y, Zhang Q, Yu X, Han X, Wang H, Xu Y, et al. Immunohistochemical detection of STAT6, CD34, CD99 and BCL-2 for diagnosing solitary fibrous tumors/hemangiopericytomas. Int J Clin Exp Pathol. 2015;8(10):13166–75.

    CAS  Google Scholar 

  2. Kao YC, Lin PC, Yen SL, Huang SC, Tsai JW, Li CF, et al. Clinicopathological and genetic heterogeneity of the head and neck solitary fibrous tumours: a comparative histological, immunohistochemical and molecular study of 36 cases. Histopathology. 2016;68(4):492–501.

    Article  Google Scholar 

  3. Pasquali S, Gronchi A, Strauss D, Bonvalot S, Jeys L, Stacchiotti S, et al. Resectable extra-pleural and extra-meningeal solitary fibrous tumours: a multi-centre prognostic study. Eur J Surg Oncol. 2016;42(7):1064–70.

    CAS  Article  Google Scholar 

  4. Wushou A, Jiang YZ, Liu YR, Shao ZM. The demographic features, clinicopathologic characteristics, treatment outcome and disease-specific prognostic factors of solitary fibrous tumor: a population-based analysis. Oncotarget. 2015;6(39):41875–83.

    Article  Google Scholar 

  5. DeVito N, Henderson E, Han G, Reed D, Bui MM, Lavey R, et al. Clinical characteristics and outcomes for solitary fibrous tumor (SFT): a single center experience. PLoS ONE. 2015;10(10):e0140362.

    Article  CAS  Google Scholar 

  6. Gold JS, Antonescu CR, Hajdu C, Ferrone CR, Hussain M, Lewis JJ, et al. Clinicopathologic correlates of solitary fibrous tumors. Cancer. 2002;94(4):1057–68.

    Article  Google Scholar 

  7. Demicco EG, Park MS, Araujo DM, Fox PS, Bassett RL, Pollock RE, et al. Solitary fibrous tumor: a clinicopathological study of 110 cases and proposed risk assessment model. Mod Pathol. 2012;25(9):1298–306.

    Article  Google Scholar 

  8. Wilky BA, Montgomery EA, Guzzetta AA, Ahuja N, Meyer CF. Extrathoracic location and “borderline” histology are associated with recurrence of solitary fibrous tumors after surgical resection. Ann Surg Oncol. 2013;20(13):4080–9.

    Article  Google Scholar 

  9. van Houdt WJ, Westerveld CM, Vrijenhoek JE, van Gorp J, van Coevorden F, Verhoef C, et al. Prognosis of solitary fibrous tumors: a multicenter study. Ann Surg Oncol. 2013;20(13):4090–5.

    Article  Google Scholar 

  10. Cox DP, Daniels T, Jordan RC. Solitary fibrous tumor of the head and neck. Oral Surg Oral Med Oral Pathol Oral Radiol Endod. 2010;110(1):79–84.

    Article  Google Scholar 

  11. Ganly I, Patel SG, Stambuk HE, Coleman M, Ghossein R, Carlson D, et al. Solitary fibrous tumors of the head and neck: a clinicopathologic and radiologic review. Arch Otolaryngol Head Neck Surg. 2006;132(5):517–25.

    Article  Google Scholar 

  12. Gengler C, Guillou L. Solitary fibrous tumour and haemangiopericytoma: evolution of a concept. Histopathology. 2006;48(1):63–74.

    CAS  Article  Google Scholar 

  13. Thway K, Ng W, Noujaim J, Jones RL, Fisher C. The current status of solitary fibrous tumor: diagnostic features, variants, and genetics. Int J Surg Pathol. 2016;24(4):281–92.

    CAS  Article  Google Scholar 

  14. Chan JK. Solitary fibrous tumour—everywhere, and a diagnosis in vogue. Histopathology. 1997;31(6):568–76.

    CAS  Article  Google Scholar 

  15. Varghese L, Mehan R, Lukka V, Mukhopadhyay S. Solitary fibrous tumor: an unusual nasal cavity tumor. J Clin Case Rep. 2016;6(6):824.

    Article  Google Scholar 

  16. Agale SV, Arole VC, Jadhav DB, Juvekar JV. Solitary fibrous tumor of nasal cavity: a rare case report with review of literature. Int J Res Med Sci. 2015;3(10):2877–9.

    Article  Google Scholar 

  17. Namon A. Solitary fibrous tumor of the sinonasal tract: case report and review of the literature. Am J Rhinol. 1992;6(4):135–7.

    Article  Google Scholar 

  18. Dnyaneshwar A, Smita N, Jagade M, Agarwal S, Joshi S, Kashide R, et al. Solitary fibrous tumor in the maxillary sinus treated by caldwell luc surgery. Open Access Sci Rep. 2013;2(2):631.

    Google Scholar 

  19. Janjua A, Sklar M, Macmillan C, Vescan A, Witterick IJ. Endoscopic resection of solitary fibrous tumors of the nose and paranasal sinuses. Skull Base. 2011;21(2):129–34.

    Article  Google Scholar 

  20. Turkoglu E, Dolgun H, Kazanci B, Yilmaz ER, Kahveci R, Sekerci Z. Solitary fibrous tumour of the ethmoid sinuses and anterior fossa. BMJ Case Rep. 2009.

  21. Takasaki K, Watanabe T, Hayashi T, Kinoshita N, Kumagami H, Takahashi H. Solitary fibrous tumor arising from the sphenoid sinus. Case Rep Med. 2009;2009:316042.

    Article  Google Scholar 

  22. Stringfellow HF, Khan IA, Sissons MC. Solitary fibrous tumour arising in the nasal cavity: report of a case. J Laryngol Otol. 1996;110(5):468–70.

    CAS  Article  Google Scholar 

  23. Konstantinidis I, Triaridis S, Triaridis A, Pantzaki A. A rare case of solitary fibrous tumor of the nasal cavity. Auris Nasus Larynx. 2003;30(3):303–5.

    Article  Google Scholar 

  24. Rajan KV, Santhi T. A case of solitary fibrous tumour of the nose and paranasal sinuses. Indian J Otolaryngol Head Neck Surg. 2006;58(3):316–8.

    CAS  Google Scholar 

  25. Jurado-Ramos A, Ropero Romero F, Cantillo Banos E, Salas Molina J. Minimally invasive endoscopic techniques for treating large, benign processes of the nose, paranasal sinus, and pterygomaxillary and infratemporal fossae: solitary fibrous tumour. J Laryngol Otol. 2009;123(4):457–61.

    CAS  Article  Google Scholar 

  26. Rizzo S, Giunta AA, Pennacchi A. Sinonasal and rhinopharyngeal solitary fibrous tumour: a case report and review of the literature. Acta Otorhinolaryngol Ital. 2015;35(6):455–8.

    CAS  Google Scholar 

  27. Smith LM, Osborne RF. Solitary fibrous tumor of the maxillary sinus. Ear Nose Throat J. 2007;86(7):382–3.

    Article  Google Scholar 

  28. Kessler A, Lapinsky J, Berenholz L, Sarfaty S, Segal S. Solitary fibrous tumor of the nasal cavity. Otolaryngol Head Neck Surg. 1999;121(6):826–8.

    CAS  Article  Google Scholar 

  29. Kodama S, Fujita K, Suzuki M. Solitary fibrous tumor in the maxillary sinus treated by endoscopic medial maxillectomy. Auris Nasus Larynx. 2009;36(1):100–3.

    Article  Google Scholar 

  30. Mathew GA, Ashish G, Tyagi AK, Chandrashekharan R, Paul RR. Solitary fibrous tumor of nasal cavity: a case report. Iran J Otorhinolaryngol. 2015;27(81):307–12.

    Google Scholar 

  31. Pasquini E, Cantaroni C, Salfi N, Tamburini G, Marchi C, Sciarretta V. Endoscopic treatment of an ethmoidal solitary fibrous tumour. J Laryngol Otol. 2003;117(11):889–91.

    Article  Google Scholar 

  32. Chauhan SS, Krishnan J, Heffner DK. Solitary fibrous tumor of nasal cavity in patient with long-standing history of cocaine inhalation. Arch Pathol Lab Med. 2004;128(1):e1–e4.

    Google Scholar 

  33. Corina L, Volante M, Carconi M, Contucci AM. An unusual solitary fibrous tumor after sphenoethmoidectomy. Otolaryngol Head Neck Surg. 2006;134(6):1063–5.

    Article  Google Scholar 

  34. Vermeulen S, Ketels P, Salgado R, Creytens D, Vanderveken OM, Claes J. Solitary fibrous tumour of the nasal cavity: a case report and literature review. B-ENT. 2012;8(3):219–23.

    CAS  Google Scholar 

  35. Alobid I, Alos L, Blanch JL, Benitez P, Bernal-Sprekelsen M, Mullol J. Solitary fibrous tumour of the nasal cavity and paranasal sinuses. Acta Otolaryngol. 2003;123(1):71–4.

    Article  Google Scholar 

  36. Nai GA, Ramalho Neto GC. Solitary fibrous tumor of the nasal cavity. Braz J Otorhinolaryngol. 2009;75(5):769.

    Google Scholar 

  37. Kohmura T, Nakashima T, Hasegawa Y, Matsuura H. Solitary fibrous tumor of the paranasal sinuses. Eur Arch Otorhinolaryngol. 1999;256(5):233–6.

    CAS  Article  Google Scholar 

  38. Zielinska-Kazmierska B, Grodecka J, Szyszkowski A. Solitary fibrous tumor of the nasal cavity and paranasal sinuses: a case report. J Oral Biol Craniofac Res. 2015;5(2):112–6.

    Article  Google Scholar 

  39. Eloy PH, Nollevaux MC, Watelet JB, Van Damme JP, Collet ST, Bertrand B. Endonasal endoscopic resection of an ethmoidal solitary fibrous tumor. Eur Arch Otorhinolaryngol. 2006;263(9):833–7.

    CAS  Article  Google Scholar 

  40. Fujikura T, Ishida M, Sekine K, Aoki H, Okubo K. Solitary fibrous tumor arising from the superior nasal turbinate: a case report. J Nippon Med Sch. 2012;79(5):373–6.

    Article  Google Scholar 

  41. Abe T, Murakami A, Inoue T, Ohde S, Yamaguchi T, Watanabe K. Solitary fibrous tumor arising in the sphenoethmoidal recess: a case report and review of the literature. Auris Nasus Larynx. 2005;32(3):285–9.

    Article  Google Scholar 

  42. Furze AD, Peng Y, Myers LL. Pathology case quiz 2. Solitary fibrous tumor of the nasal cavity and ethmoid sinus with intracranial extension. Arch Otolaryngol Head Neck Surg. 2008;134(3):334, 336–7.

    Article  Google Scholar 

  43. Morales-Cadena M, Zubiaur FM, Alvarez R, Madrigal J, Zarate-Osorno A. Solitary fibrous tumor of the nasal cavity and paranasal sinuses. Otolaryngol Head Neck Surg. 2006;135(6):980–2.

    Article  Google Scholar 

  44. Kim TA, Brunberg JA, Pearson JP, Ross DA. Solitary fibrous tumor of the paranasal sinuses: CT and MR appearance. AJNR Am J Neuroradiol. 1996;17(9):1767–72.

    CAS  Google Scholar 

  45. Kim HJ, Lee HK, Seo JJ, Shin JH, Jeong AK, Lee JH, et al. MR imaging of solitary fibrous tumors in the head and neck. Korean J Radiol. 2005;6(3):136–42.

    Article  Google Scholar 

  46. Morimitsu Y, Nakajima M, Hisaoka M, Hashimoto H. Extrapleural solitary fibrous tumor: clinicopathologic study of 17 cases and molecular analysis of the p53 pathway. Apmis. 2000;108(9):617–25.

    CAS  Article  Google Scholar 

  47. Nielsen GP, Dickersin GR, Provenzal JM, Rosenberg AE. Lipomatous hemangiopericytoma. A histologic, ultrastructural and immunohistochemical study of a unique variant of hemangiopericytoma. Am J Surg Pathol. 1995;19(7):748–56.

    CAS  Article  Google Scholar 

  48. Xue Y, Chai G, Xiao F, Wang N, Mu Y, Wang Y, et al. Post-operative radiotherapy for the treatment of malignant solitary fibrous tumor of the nasal and paranasal area. Jpn J Clin Oncol. 2014;44(10):926–31.

    Article  Google Scholar 

  49. Hicks DL, Moe KS. Nasal solitary fibrous tumor arising from the anterior cranial fossa. Skull Base. 2004;14(4):203–7.

    Article  Google Scholar 

  50. Subramaniam MM, Lim XY, Venkateswaran K, Shuen CS, Soong R, Petersson F. Dedifferentiated solitary fibrous tumour of the nasal cavity: the first case reported with molecular characterization of a TP53 mutation. Histopathology. 2011;59(6):1269–74.

    Article  Google Scholar 

  51. Roy S, Mallick S, Kakkar A, Jana M, Julka PK. Recurrent malignant sino-nasal solitary fibrous tumor: eliminate the enemy at the first instance. J Cancer Res Ther. 2015;11:650.

    Article  Google Scholar 

  52. Insabato L, Siano M, Somma A, Gentile R, Santangelo M, Pettinato G. Extrapleural solitary fibrous tumor: a clinicopathologic study of 19 cases. Int J Surg Pathol. 2009;17(3):250–4.

    CAS  Article  Google Scholar 

  53. Bowe SN, Wakely PE Jr, Ozer E. Head and neck solitary fibrous tumors: diagnostic and therapeutic challenges. Laryngoscope. 2012;122(8):1748–55.

    Article  Google Scholar 

  54. Kunzel J, Hainz M, Ziebart T, Pitz S, Ihler F, Strieth S, et al. Head and neck solitary fibrous tumors: a rare and challenging entity. Eur Arch Otorhinolaryngol. 2016;273(6):1589–98.

    Article  Google Scholar 

  55. Witkin GB, Rosai J. Solitary fibrous tumor of the upper respiratory tract. A report of six cases. Am J Surg Pathol. 1991;15(9):842–8.

    CAS  Article  Google Scholar 

  56. Cassarino DS, Auerbach A, Rushing EJ. Widely invasive solitary fibrous tumor of the sphenoid sinus, cavernous sinus, and pituitary fossa. Ann Diagn Pathol. 2003;7(3):169–73.

    Article  Google Scholar 

  57. Zukerberg LR, Rosenberg AE, Randolph G, Pilch BZ, Goodman ML. Solitary fibrous tumor of the nasal cavity and paranasal sinuses. Am J Surg Pathol. 1991;15(2):126–30.

    CAS  Article  Google Scholar 

  58. Ge W, Yu DC, Chen G, Ding YT. Clinical analysis of 47 cases of solitary fibrous tumor. Oncol Lett. 2016;12(4):2475–80.

    CAS  Article  Google Scholar 

  59. Fukunaga M, Ushigome S, Nomura K, Ishikawa E. Solitary fibrous tumor of the nasal cavity and orbit. Pathol Int. 1995;45(12):952–7.

    CAS  Article  Google Scholar 

  60. Mentzel T, Bainbridge TC, Katenkamp D. Solitary fibrous tumour: clinicopathological, immunohistochemical, and ultrastructural analysis of 12 cases arising in soft tissues, nasal cavity and nasopharynx, urinary bladder and prostate. Virchows Arch. 1997;430(6):445–53.

    CAS  Article  Google Scholar 

  61. Brunnemann RB, Ro JY, Ordonez NG, Mooney J, El-Naggar AK, Ayala AG. Extrapleural solitary fibrous tumor: a clinicopathologic study of 24 cases. Mod Pathol. 1999;12(11):1034–42.

    CAS  Google Scholar 

  62. Zeitler DM, Kanowitz SJ, Har-El G. Malignant solitary fibrous tumor of the nasal cavity. Skull Base. 2007;17(4):239–46.

    Article  Google Scholar 

  63. Papadakis I, Koudounarakis E, Haniotis V, Karatzanis A, Velegrakis G. Atypical solitary fibrous tumor of the nose and maxillary sinus. Head Neck. 2013;35(3):E77–9.

    Article  Google Scholar 

  64. Fukunaga M, Naganuma H, Nikaido T, Harada T, Ushigome S. Extrapleural solitary fibrous tumor: a report of seven cases. Mod Pathol. 1997;10(5):443–50.

    CAS  Google Scholar 

  65. Agaimy A, Barthelmess S, Geddert H, Boltze C, Moskalev EA, Koch M, et al. Phenotypical and molecular distinctness of sinonasal haemangiopericytoma compared to solitary fibrous tumour of the sinonasal tract. Histopathology. 2014;65(5):667–73.

    Article  Google Scholar 

  66. Yang BT, Song ZL, Wang YZ, Dong JY, Wang ZC. Solitary fibrous tumor of the sinonasal cavity: CT and MR imaging findings. AJNR Am J Neuroradiol. 2013;34(6):1248–51.

    CAS  Article  Google Scholar 

  67. Chmielecki J, Crago AM, Rosenberg M, O’Connor R, Walker SR, Ambrogio L, et al. Whole-exome sequencing identifies a recurrent NAB2-STAT6 fusion in solitary fibrous tumors. Nat Genet. 2013;45(2):131–2.

    CAS  Article  Google Scholar 

  68. Robinson DR, Wu YM, Kalyana-Sundaram S, Cao X, Lonigro RJ, Sung YS, et al. Identification of recurrent NAB2-STAT6 gene fusions in solitary fibrous tumor by integrative sequencing. Nat Genet. 2013;45(2):180–5.

    CAS  Article  Google Scholar 

  69. Mohajeri A, Tayebwa J, Collin A, Nilsson J, Magnusson L, von Steyern FV, et al. Comprehensive genetic analysis identifies a pathognomonic NAB2/STAT6 fusion gene, nonrandom secondary genomic imbalances, and a characteristic gene expression profile in solitary fibrous tumor. Genes Chromosom Cancer. 2013;52(10):873–86.

    CAS  Article  Google Scholar 

  70. Geramizadeh B, Marzban M, Churg A. Role of immunohistochemistry in the diagnosis of solitary fibrous tumor, a review. Iran J Pathol. 2016;11(3):195–203.

    Google Scholar 

  71. Cheah AL, Billings SD, Goldblum JR, Carver P, Tanas MZ, Rubin BP. STAT6 rabbit monoclonal antibody is a robust diagnostic tool for the distinction of solitary fibrous tumour from its mimics. Pathology. 2014;46(5):389–95.

    CAS  Article  Google Scholar 

  72. Demicco EG, Harms PW, Patel RM, Smith SC, Ingram D, Torres K, et al. Extensive survey of STAT6 expression in a large series of mesenchymal tumors. Am J Clin Pathol. 2015;143(5):672–82.

    CAS  Article  Google Scholar 

  73. Doyle LA, Vivero M, Fletcher CD, Mertens F, Hornick JL. Nuclear expression of STAT6 distinguishes solitary fibrous tumor from histologic mimics. Mod Pathol. 2014;27(3):390–5.

    CAS  Article  Google Scholar 

  74. Yoshida A, Tsuta K, Ohno M, Yoshida M, Narita Y, Kawai A, et al. STAT6 immunohistochemistry is helpful in the diagnosis of solitary fibrous tumors. Am J Surg Pathol. 2014;38(4):552–9.

    Article  Google Scholar 

  75. Koelsche C, Schweizer L, Renner M, Warth A, Jones DT, Sahm F, et al. Nuclear relocation of STAT6 reliably predicts NAB2-STAT6 fusion for the diagnosis of solitary fibrous tumour. Histopathology. 2014;65(5):613–22.

    Article  Google Scholar 

  76. Tai HC, Chuang IC, Chen TC, Li CF, Huang SC, Kao YC, et al. NAB2-STAT6 fusion types account for clinicopathological variations in solitary fibrous tumors. Mod Pathol. 2015;28(10):1324–35.

    CAS  Article  Google Scholar 

  77. Thompson LD, Miettinen M, Wenig BM. Sinonasal-type hemangiopericytoma: a clinicopathologic and immunophenotypic analysis of 104 cases showing perivascular myoid differentiation. Am J Surg Pathol. 2003;27(6):737–49.

    Article  Google Scholar 

  78. Lasota J, Felisiak-Golabek A, Aly FZ, Wang ZF, Thompson LD, Miettinen M. Nuclear expression and gain-of-function β-catenin mutation in glomangiopericytoma (sinonasal-type hemangiopericytoma): insight into pathogenesis and a diagnostic marker. Mod Pathol. 2015;28(5):715–20.

    CAS  Article  Google Scholar 

  79. Jo VY, Fletcher CDM. Nuclear β-catenin expression is frequent in sinonasal hemangiopericytoma and its mimics. Head Neck Pathol. 2017;11(2):119–23.

    Article  Google Scholar 

  80. Sánchez-Romero C, Carlos R, Díaz Molina JP, Thompson LDR, de Almeida OP, Rumayor Piña A. Nasopharyngeal angiofibroma: a clinical, histopathological and immunohistochemical study of 42 cases with emphasis on stromal features. Head Neck Pathol. 2017. https://doi.org/10.1007/s12105-017-0824-z.

    Article  Google Scholar 

  81. Bongiovanni M, Viberti L, Pecchioni C, Papotti M, Thonhofer R, Hans Popper H, Sapino A. Steroid hormone receptor in pleural solitary fibrous tumours and CD34+ progenitor stromal cells. J Pathol. 2002;198(2):252–7.

    CAS  Article  Google Scholar 

  82. Agaimy A, Michal M, Thompson LD. Angioleiomyoma of the sinonasal tract: analysis of 16 cases and review of the literature. Head Neck Pathol. 2015;9(4):463–73.

    Article  Google Scholar 

  83. Huang HY, Antonescu CR. Sinonasal smooth muscle cell tumors: a clinicopathologic and immunohistochemical analysis of 12 cases with emphasis on the low-grade end of the spectrum. Arch Pathol Lab Med. 2003;127(3):297–304.

    Google Scholar 

  84. Azani AB, Bishop JA, Thompson LD. Sinonasal tract neurofibroma: a clinicopathologic series of 12 cases with a review of the literature. Head Neck Pathol. 2015;9(3):323–33.

    Article  Google Scholar 

  85. Buob D, Wacrenier A, Chevalier D, Aubert S, Quinchon JF, Gosselin B, et al. Schwannoma of the sinonasal tract: a clinicopathologic and immunohistochemical study of 5 cases. Arch Pathol Lab Med. 2003;127(9):1196–9.

    Google Scholar 

  86. Subramaniam MM, Shuen CS, Petersson F. Poorly differentiated synovial sarcoma of the sphenoid sinus: report of the first case and review of synovial sarcomas of the sinonasal tract. Histopathology. 2012;61(6):1232–7.

    Article  Google Scholar 

  87. Thway K, Fisher C. Synovial sarcoma: defining features and diagnostic evolution. Ann Diagn Pathol. 2014;18(6):369–80.

    Article  Google Scholar 

  88. Foo WC, Cruise MW, Wick MR, Hornick JL. Immunohistochemical staining for TLE1 distinguishes synovial sarcoma from histologic mimics. Am J Clin Pathol. 2011;135(6):839–44.

    Article  Google Scholar 

  89. Knott PD, Gannon FH, Thompson LD. Mesenchymal chondrosarcoma of the sinonasal tract: a clinicopathological study of 13 cases with a review of the literature. Laryngoscope. 2003;113(5):783–90.

    Article  Google Scholar 

  90. Lewis JT, Oliveira AM, Nascimento AG, Schembri-Wismayer D, Moore EA, Olsen KD, et al. Low-grade sinonasal sarcoma with neural and myogenic features: a clinicopathologic analysis of 28 cases. Am J Surg Pathol. 2012;36(4):517–25.

    Article  Google Scholar 

  91. Rooper LM, Huang SC, Antonescu CR, Westra WH, Bishop JA. Biphenotypic sinonasal sarcoma: an expanded immunoprofile including consistent nuclear β-catenin positivity and absence of SOX10 expression. Hum Pathol. 2016;55:44–50.

    Article  Google Scholar 

  92. Fletcher CDM, Bridge JA, Lee J-C. Extrapleural solitary fibrous tumour. In: Fletcher CDM, Bridge JA, Hogendoorn PCW, Mertens F, editors. WHO Classification of tumours of soft tissue and bone. Lyon: IARC; 2013. pp. 80–2.

    Google Scholar 

  93. Mosquera JM, Fletcher CD. Expanding the spectrum of malignant progression in solitary fibrous tumors: a study of 8 cases with a discrete anaplastic component–is this dedifferentiated SFT? Am J Surg Pathol. 2009;33(9):1314–21.

    Article  Google Scholar 

  94. Nielsen GP, O’Connell JX, Dickersin GR, Rosenberg AE. Solitary fibrous tumor of soft tissue: a report of 15 cases, including 5 malignant examples with light microscopic, immunohistochemical, and ultrastructural data. Mod Pathol. 1997;10(10):1028–37.

    CAS  Google Scholar 

  95. Vallat-Decouvelaere AV, Dry SM, Fletcher CD. Atypical and malignant solitary fibrous tumors in extrathoracic locations: evidence of their comparability to intra-thoracic tumors. Am J Surg Pathol. 1998;22(12):1501–11.

    CAS  Article  Google Scholar 

  96. Hasegawa T, Matsuno Y, Shimoda T, Hasegawa F, Sano T, Hirohashi S. Extrathoracic solitary fibrous tumors: their histological variability and potentially aggressive behavior. Hum Pathol. 1999;30(12):1464–73.

    CAS  Article  Google Scholar 

  97. Barthelmeß S, Geddert H, Boltze C, Moskalev EA, Bieg M, Sirbu H, Brors B, Wiemann S, Hartmann A, Agaimy A, Haller F. Solitary fibrous tumors/hemangiopericytomas with different variants of the NAB2-STAT6 gene fusion are characterized by specific histomorphology and distinct clinicopathological features. Am J Pathol. 2014;184(4):1209–18.

    Article  CAS  Google Scholar 

Download references

Acknowledgements

The views expressed are those of the authors solely and do not represent endorsement from Southern California Permanente Medical Group.

Author information

Affiliations

Authors

Corresponding author

Correspondence to Lester D. R. Thompson.

Ethics declarations

Conflict of interest

All authors declare that they have no conflict of interest as it relates to this research project.

Ethical Approval

All procedures performed in this retrospective data analysis involving human participants were in accordance with the ethical standards of the institutional review board (IRB #5968), which did not require informed consent.

Rights and permissions

Reprints and Permissions

About this article

Verify currency and authenticity via CrossMark

Cite this article

Thompson, L.D.R., Lau, S.K. Sinonasal Tract Solitary Fibrous Tumor: A Clinicopathologic Study of Six Cases with a Comprehensive Review of the Literature. Head and Neck Pathol 12, 471–480 (2018). https://doi.org/10.1007/s12105-017-0878-y

Download citation

  • Received:

  • Accepted:

  • Published:

  • Issue Date:

  • DOI: https://doi.org/10.1007/s12105-017-0878-y

Keywords

  • Solitary fibrous tumors
  • Nasal cavity
  • Paranasal sinuses
  • Immunohistochemistry
  • Differential diagnosis
  • STAT6 protein
  • Human