Abstract
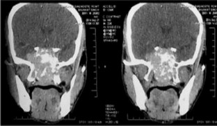
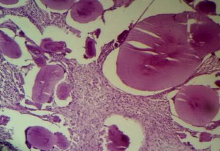
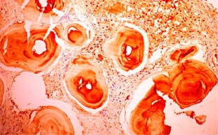
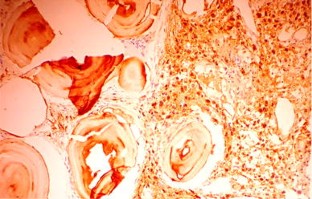
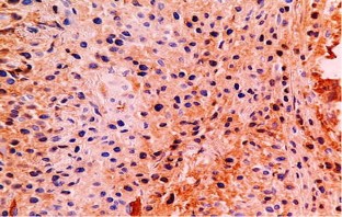
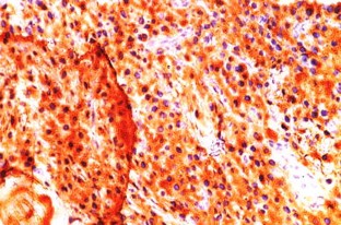
Primary localized amyloidosis in the head and neck region is a rare entity. The most commonly involved organ is larynx. Primary amyloidosis localized to the sinonasal tract is extremely rare. We report one such case along with a brief review of the associated literature. The aim of reporting this case is to emphasize the fact that sometimes nasal amyloidosis can also present with signs and symptoms of nasal and nasopharyngeal malignancy. The definitive diagnosis in such cases depends upon histopathology and further confirmed by immunohistochemistry. A 55-year old male presented with recurrent episodes of nasal bleed, bilateral nasal obstruction, and bilateral hearing loss from last 7 years. On clinical examination a mass was found in the nasal cavity on both sides reaching up to the nasopharynx. Contrast enhanced CT scan revealed that the mass was extending up to the skull base and destroying bony landmarks of the nasal cavity and paranasal sinuses. Mass was proved to be amyloidosis after histopathological examination. It showed multiple blotches of globular submucosal deposit of amyloid, on staining with Congo red. Immunohistochemistry confirmed AL amyloidosis with expression of mixed kappa and lambda light chain immunoglobulin (κ > λ). No evidence of systemic amyloidosis was found after proper work up. It was managed by conservative surgery.








References
Durbec M, Ambrun A, Barnoud R, Poupart M, Pignat JC, Merrot O. Localized nasopharyngeal amyloidosis. Eur Ann Otorhinolaryngol Head Neck Dis. 2012;129:160–2.
Pang KP, et al. Amyloidoma of the nose in a pediatric patient: a case report. Am J Otolaryngol. 2001;22:138–41.
Barnes L. Miscellaneous disorders of the head and neck. In: Barnes L, editor. Surgical pathology of the head and neck, vol. 3. 2nd ed. New York: Marcel Dekker; 2001. p. 2191–3.
Glenner GG. A myloid deposits and amyloidosis: the β-fibrillosis (second of two parts). N Engl J Med. 1980;302(24):1333–43.
Scott PP, Scott WW Jr, Siegelman SS. Amyloidosis: an overview. Semin Roentgenol. 1986;21(2):103–12.
Naidoo YS, Gupta R, Sacks R. A retrospective case review of isolated sinonasal amyloidosis. J Laryngol Otol. 2012;126:633–7.
Gean-Marton AD, et al. Focal amyloidosis of the head and neck: evaluation with CT and MR imaging. Radiology. 1991;181:521–5.
Panda NK, Saravanan K, Purushotaman GP, et al. Localised amyloidosis masquerading as nasopharyngeal tumor: a review. Am J Otolaryngol Head Neck Med Surg. 2007;28:208–11.
Tsikoudas A, Martin-Hirsch DP, Woodhead CJ. Primary sinonasal amyloidosis. J Laryngol Otol. 2001;115:55–6.
Cunningham A, Kalwani S, Alsanjari N, Fayad G. Rare subtype of localised nasal amyloidosis. Otorhinolaryngol. 2013;6(1):60–3.
Pearlman AN, Jeffe JS, Zynger DL, Yeldandi AV, Conley DB. Localized amyloidosis of the nasal and paranasal mucosa: a rare pathology. Am J Otolaryngol Head Neck Med surg. 2010;31:130–1.
Kramer R, Som ML. Local tumour like deposits of amyloid in the larynx: report of a case and review of literature. Arch Otolaryngol. 1935;21:324–34.
Mufarrij AA, Busaba NY, Zaytoun GM, et al. Primary localized amyloidosis of the nose and paranasal sinuses. A case report with immunohistochemical observations and a review of the literature. Am J Surg Pathol. 1990;14:379–83.
Birchall D, Fields JM, Poon CL. Case report: focal amyloidosis of the maxillary antrum: plain film, CT and MR appearances. Clin Radiol. 1997;52:392–4.
Lim JS, Lebowitz RA, Jacobs JB. Primary amyloidosis presenting as a nasopharyngeal mass. Am J Rhinol. 1999;13:209–12.
Kobayashi T, Taguchi O, Ysui H, et al. A case of amyloidosis of the tracheobronchial tree and inferior nasal concha. Jap J Thorac Dis. 1971;35:1378–82.
Dominguez S, Wienberg P, Claros P, et al. Primary localized nasopharyngeal amyloidosis. A case report. Int J Pediatr Otorhinolaryngol. 1996;36:61–7.
Clevens RA, Wiatrac BJ, Myers MW. Multifocal amyloidosis of the pediatric airway. Arch Otolaryngol Head Neck Surg. 1995;121:229–32.
Kenny PP, Chee Lincoln WJ, Busmanis Inny. Amyloidoma of the nose in a pediatric patient: a case report. Am J Otolaryngol. 2001;22(2):138–41.
Teo DT, David PL, Sethi DS. Recurrent localized sinonasal amyloidosis: a case report. Otolaryngol Head Neck Surg. 2003;129:270.
Chin SC, Girish F, Kao CH, et al. Amyloidosis concurrently involving the sinonasal cavities and larynx. Am J Neuroradiol. 2004;25:636–8.
Penner CR, Muller S. Head and neck amyloidosis: a clinicopathological study of 15 cases. J Oral Oncol. 2006;42(4):421–9.
Westermark GT, Johnson KH, Westermark P. Staining methods for identification of amyloid in tissue. Methods Enzymol. 1999;309:3–25.
Kebbel A, Röcken C. Immunohistochemical classification of amyloid in surgical pathology revisited. Am J Surg Pathol. 2006;30(6):673–83.
Hemmer PR, Topazian MD, Gertz MA, Abraham SC. Globular amyloid deposits isolated to the small bowel: a rare association with AL amyloidosis. Am J Surg Pathol. 2007;31(1):141–5.
Grogg KL, Aubry MC, Vrana JA, Theis JD, Dogan A. Nodular pulmonary amyloidosis is characterized by localized immunoglobulin deposition and is frequently associated with an indolent B-cell lymphoproliferative disorder. Am J Surg Pathol. 2013;37:406–12.
Seldin DC, Berk JL. Amyloidosis, chap. 112. In: Kasper D, Fauci A, Hauser S, Longo D, Jameson JL, Loscalzo J, editors. Harrison’s principles of internal medicine, vol. 1, 19th ed. McGraw-Hill; 2015. p. 722–723.
Author information
Authors and Affiliations
Corresponding author
Rights and permissions
About this article
Cite this article
Kumar, B., Pant, B., Kumar, V. et al. Sinonasal Globular Amyloidosis Simulating Malignancy: A Rare Presentation. Head and Neck Pathol 10, 379–383 (2016). https://doi.org/10.1007/s12105-016-0681-1
Received:
Accepted:
Published:
Issue Date:
DOI: https://doi.org/10.1007/s12105-016-0681-1