Skip to main content

Simultaneous Triple Primary Head and Neck Malignancies: A Rare Case Report

Abstract

The occurrences of multiple primary malignant tumours in the head and neck region are reported as simultaneous, synchronous, or metachronous based on their chronology of presentation. Lymphoid malignancies presenting in association with squamous cell carcinoma in the head and neck region are extremely rare. We report a case of a 71 year old male patient with simultaneous triple primary malignancies of different histologic origin, involving larynx (squamous cell carcinoma), thyroid (papillary thyroid carcinoma) and lymph nodes (non-Hodgkin’s lymphoma).

This is a preview of subscription content, access via your institution.

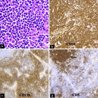
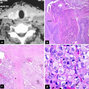
Fig. 1
Fig. 2

References

  1. Sturgis EM, Miller RH. Second primary malignancies in the head and neck cancer patient. Ann Otol Rhinol Laryngol. 1995;104:946–54.

    CAS  Article  PubMed  Google Scholar 

  2. Watanabe N, Inohara H, Yamamoto Y, Moriwaki K, Kubo T. Synchronous squamous cell carcinoma and malignant lymphoma in the head and neck region. Auris Nasus Larynx. 2007;34(2):273–6.

    Article  PubMed  Google Scholar 

  3. Miyahara H, Tsuruta Y, Umatani K. Multiple primary tumors in patients with head and neck cancer. Auris Nasus Larynx. 1985;12(2):30–5.

    Article  Google Scholar 

  4. Koutsopoulos AV, Dambaki KI, Datseris G, Giannikaki E, Froudarakis M, Stathopoulos E. A novel combination of multiple primary carcinomas: urinary bladder transitional cell carcinoma, prostate adenocarcinoma and small cell lung carcinoma- report of a case and review of the literature. World J Surg Oncol. 2005. doi:10.1186/1477-7819-3-51.

    PubMed  PubMed Central  Google Scholar 

  5. Slaughter DP, Southwick HW, Smejkal W. Field cancerization in oral stratified squamous epithelium. Cancer. 1953;6:963–8.

    CAS  Article  PubMed  Google Scholar 

  6. Carey T. Field cancerization: Are multiple primaries monoclonal or polyclonal? Ann Med. 1996;28:183–8.

    CAS  Article  PubMed  Google Scholar 

  7. Kuriakose MA, Loree TR, Rubenfeld A, et al. Simultaneously presenting head and neck and lung cancer: a diagnostic and treatment dilemma. Laryngoscope. 2002;112(1):120–3.

    CAS  Article  PubMed  Google Scholar 

  8. Resta L, Piscitelli D, Fiore M, et al. Incidental metastases of well differentiated thyroid carcinoma in lymph nodes of patients with squamous cell head and neck cancer: eight cases with a review of the literature. Eur Arch Otorhinolaryngol. 2004;261:473–8.

    Article  PubMed  Google Scholar 

  9. Pitman KT, Johnson J, Myers E. Papillary thyroid carcinoma associated with squamous cell carcinoma of the head and neck: significance and treatment. Am J Otolaryngol. 1996;17:190–6.

    CAS  Article  PubMed  Google Scholar 

  10. Tezer MS, Tuncel U, Uzlugedik S, Uzun M, Kulacoglu S, Unal A. Coexistence of laryngeal squamous cell carcinoma and non-hodgkin’s lymphoma with nasopharyngeal involvement. J Laryngol Otol. 2006;120(2):e2.

    Article  PubMed  Google Scholar 

  11. Di Martino E, Sellhaus B, Hausmann R. Survival in second primary malignancies of patients with head and neck cancer. J Laryngol Otol. 2002;116(10):831–8.

    Article  PubMed  Google Scholar 

Download references

Author information

Affiliations

Authors

Corresponding author

Correspondence to Nishikanta Tripathy.

Ethics declarations

Conflict of interest

The authors declare that they have no conflict of interest.

Rights and permissions

Reprints and Permissions

About this article

Verify currency and authenticity via CrossMark

Cite this article

Singh, N.J., Tripathy, N., Roy, P. et al. Simultaneous Triple Primary Head and Neck Malignancies: A Rare Case Report. Head and Neck Pathol 10, 233–236 (2016). https://doi.org/10.1007/s12105-015-0664-7

Download citation

  • Received:

  • Accepted:

  • Published:

  • Issue Date:

  • DOI: https://doi.org/10.1007/s12105-015-0664-7

Keywords

  • Simultaneous
  • Triple primary malignancies
  • Head and neck malignancies