Skip to main content

Glandular Odontogenic Cysts (GOCs) Lack MAML2 Rearrangements: A Finding to Discredit the Putative Nature of GOC as a Precursor to Central Mucoepidermoid Carcinoma

Abstract

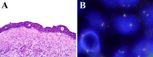
Glandular odontogenic cyst (GOC) is a cyst of the gnathic bones that is characterized by squamous and glandular differentiation. The histopathologic features of GOC overlap considerably with central mucoepidermoid carcinoma (MEC), suggesting that GOC could be a precursor lesion to, or even a low-grade form of, central MEC. Differentiating the two lesions may be difficult or impossible on a limited biopsy. MAML2 rearrangements have been recently found to be specific for MEC, even those arising in the jaws. An analysis of MAML2 in GOCs could help clarify its relationship with central MEC. Tissue blocks from 21 GOCs and 5 central MECs were retrieved from the surgical pathology archives of The Johns Hopkins Hospital. Each MEC exhibited solid areas and clear-cut stromal invasion. In addition, 4 of the MECs demonstrated cystic areas that were histologically similar to GOC. Break-apart fluorescence in situ hybridization for MAML2 was performed. For the MECs, analysis was performed on both the solid components and the cystic areas that resembled GOC. MAML2 rearrangements were identified in all 5 of the MECs, but in none of the 21 GOCs (100 vs. 0 %; p < 0.0001, Fisher’s Exact). In the MECs, the rearrangement was present in both the solid and GOC-like cystic areas. While central MECs consistently harbor the MAML2 rearrangement, even in low-grade cystic areas that resemble a pre-existing GOC, true GOCs do not. Accordingly, GOC does not appear to represent an early or low-grade form of central MEC, but rather an unrelated lesion. The high sensitivity and specificity of MAML2 rearrangement for MECs points to its utility as a diagnostic adjunct in separating mucinous cystic lesions of the gnathic bones.

This is a preview of subscription content, access via your institution.

Fig. 1
Fig. 2

References

  1. Ellis G, Auclair PL. Central (primary intraosseous) mucoepidermoid carcinoma. AFIP atlas of tumor pathology: tumors of the salivary glands. Silver Spring, MD: ARP Press; 2008. p. 193–6.

    Google Scholar 

  2. Waldron CA, Koh ML. Central mucoepidermoid carcinoma of the jaws: report of four cases with analysis of the literature and discussion of the relationship to mucoepidermoid, sialodontogenic, and glandular odontogenic cysts. J Oral Maxillofac Surg. 1990;48:871–7.

    CAS  PubMed  Article  Google Scholar 

  3. Browand BC, Waldron CA. Central mucoepidermoid tumors of the jaws. Report of nine cases and review of the literature. Oral Surg Oral Med Oral Pathol. 1975;40:631–43.

    CAS  PubMed  Article  Google Scholar 

  4. Brookstone MS, Huvos AG. Central salivary gland tumors of the maxilla and mandible: a clinicopathologic study of 11 cases with an analysis of the literature. J Oral Maxillofac Surg. 1992;50:229–36.

    CAS  PubMed  Article  Google Scholar 

  5. Martinez-Madrigal F, Pineda-Daboin K, Casiraghi O, Luna MA. Salivary gland tumors of the mandible. Ann Diagn Pathol. 2000;4:347–53.

    CAS  PubMed  Article  Google Scholar 

  6. Sadeghi EM, Weldon LL, Kwon PH, Sampson E. Mucoepidermoid odontogenic cyst. Int J Oral Maxillofac Surg. 1991;20:142–3.

    CAS  PubMed  Google Scholar 

  7. Kaplan I, Anavi Y, Hirshberg A. Glandular odontogenic cyst: a challenge in diagnosis and treatment. Oral Dis. 2008;14:575–81.

    CAS  PubMed  Article  Google Scholar 

  8. Araujo de Morais HH, Jose de Holanda Vasconcellos R, de Santana Santos T, Guedes Queiroz LM, Dantas da Silveira EJ. Glandular odontogenic cyst: case report and review of diagnostic criteria. J Craniomaxillofac Surg. 2012;40:e46–50.

    PubMed  Article  Google Scholar 

  9. Robinson RA, Vincent SD. Glandular odontogenic cyst. AFIP atlas of tumor pathology: tumors and cysts of the jaws. Silver Spring, MD: ARP Press; 2012. p. 26–30.

    Google Scholar 

  10. Fowler CB, Brannon RB, Kessler HP, Castle JT, Kahn MA. Glandular odontogenic cyst: analysis of 46 cases with special emphasis on microscopic criteria for diagnosis. Head Neck Pathol. 2011;5:364–75.

    PubMed Central  PubMed  Article  Google Scholar 

  11. Shen J, Fan M, Chen X, Wang S, Wang L, Li Y. Glandular odontogenic cyst in China: report of 12 cases and immunohistochemical study. J Oral Pathol Med. 2006;35:175–82.

    PubMed  Article  Google Scholar 

  12. Noffke C, Raubenheimer EJ. The glandular odontogenic cyst: clinical and radiological features; review of the literature and report of nine cases. Dentomaxillofac Radiol. 2002;31:333–8.

    CAS  PubMed  Article  Google Scholar 

  13. Gardner DG, Kessler HP, Morency R, Schaffner DL. The glandular odontogenic cyst: an apparent entity. J Oral Pathol. 1988;17:359–66.

    CAS  PubMed  Article  Google Scholar 

  14. Patron M, Colmenero C, Larrauri J. Glandular odontogenic cyst: clinicopathologic analysis of three cases. Oral Surg Oral Med Oral Pathol. 1991;72:71–4.

    CAS  PubMed  Article  Google Scholar 

  15. Semba I, Kitano M, Mimura T, Sonoda S, Miyawaki A. Glandular odontogenic cyst: analysis of cytokeratin expression and clinicopathological features. J Oral Pathol Med. 1994;23:377–82.

    CAS  PubMed  Article  Google Scholar 

  16. Padayachee A, Van Wyk CW. Two cystic lesions with features of both the botryoid odontogenic cyst and the central mucoepidermoid tumour: sialo-odontogenic cyst? J Oral Pathol. 1987;16:499–504.

    CAS  PubMed  Article  Google Scholar 

  17. Prabhu S, Rekha K, Kumar G. Glandular odontogenic cyst mimicking central mucoepidermoid carcinoma. J Oral Maxillofac Pathol. 2010;14:12–5.

    PubMed Central  PubMed  Article  Google Scholar 

  18. Manojlovic S, Grgurevic J, Knezevic G, Kruslin B. Glandular odontogenic cyst: a case report and clinicopathologic analysis of the relationship to central mucoepidermoid carcinoma. Head Neck. 1997;19:227–31.

    CAS  PubMed  Article  Google Scholar 

  19. Pires FR, Chen SY, da Cruz Perez DE, de Almeida OP, Kowalski LP. Cytokeratin expression in central mucoepidermoid carcinoma and glandular odontogenic cyst. Oral Oncol. 2004;40:545–51.

    CAS  PubMed  Article  Google Scholar 

  20. Vered M, Allon I, Buchner A, Dayan D. Is maspin immunolocalization a tool to differentiate central low-grade mucoepidermoid carcinoma from glandular odontogenic cyst? Acta Histochem. 2010;112:161–8.

    CAS  PubMed  Article  Google Scholar 

  21. Eversole LR, Sabes WR, Rovin S. Aggressive growth and neoplastic potential of odontogenic cysts: with special reference to central epidermoid and mucoepidermoid carcinomas. Cancer. 1975;35:270–82.

    CAS  PubMed  Article  Google Scholar 

  22. Bruner JM, Batsakis JG. Salivary neoplasms of the jaw bones with particular reference to central mucoepidermoid carcinomas. Ann Otol Rhinol Laryngol. 1991;100:954–5.

    CAS  PubMed  Google Scholar 

  23. Behboudi A, Enlund F, Winnes M, Andren Y, Nordkvist A, Leivo I, et al. Molecular classification of mucoepidermoid carcinomas-prognostic significance of the MECT1-MAML2 fusion oncogene. Genes Chromosomes Cancer. 2006;45:470–81.

    CAS  PubMed  Article  Google Scholar 

  24. Chiosea SI, Dacic S, Nikiforova MN, Seethala RR. Prospective testing of mucoepidermoid carcinoma for the MAML2 translocation: clinical implications. Laryngoscope. 2012;122:1690–4.

    CAS  PubMed  Article  Google Scholar 

  25. Seethala RR, Dacic S, Cieply K, Kelly LM, Nikiforova MN. A reappraisal of the MECT1/MAML2 translocation in salivary mucoepidermoid carcinomas. Am J Surg Pathol. 2010;34:1106–21.

    PubMed  Article  Google Scholar 

  26. Garcia JJ, Hunt JL, Weinreb I, McHugh JB, Barnes EL, Cieply K, et al. Fluorescence in situ hybridization for detection of MAML2 rearrangements in oncocytic mucoepidermoid carcinomas: utility as a diagnostic test. Hum Pathol. 2011;42:2001–9.

    CAS  PubMed  Article  Google Scholar 

  27. Okabe M, Miyabe S, Nagatsuka H, Terada A, Hanai N, Yokoi M, et al. MECT1-MAML2 fusion transcript defines a favorable subset of mucoepidermoid carcinoma. Clin Cancer Res. 2006;12:3902–7.

    CAS  PubMed  Article  Google Scholar 

  28. El-Naggar AK, Lovell M, Killary AM, Clayman GL, Batsakis JG. A mucoepidermoid carcinoma of minor salivary gland with t(11;19)(q21;p13.1) as the only karyotypic abnormality. Cancer Genet Cytogenet. 1996;87:29–33.

    CAS  PubMed  Article  Google Scholar 

  29. Bell D, Holsinger CF, El-Naggar AK. CRTC1/MAML2 fusion transcript in central mucoepidermoid carcinoma of mandible—diagnostic and histogenetic implications. Ann Diagn Pathol. 2010;14:396–401.

    PubMed  Article  Google Scholar 

  30. Khan HA, Loya A, Azhar R, Din NU, Bell D. Central mucoepidermoid carcinoma, a case report with molecular analysis of the TORC1/MAML2 gene fusion. Head Neck Pathol. 2010;4:261–4.

    PubMed Central  PubMed  Article  Google Scholar 

  31. Seethala RR, Dacic S, Cieply K, Kelly LM, Nikiforova MN. A reappraisal of the MECT1/MAML2 translocation in salivary mucoepidermoid carcinomas. Am J Surg Pathol. 2010;34:1106–21.

    PubMed  Article  Google Scholar 

  32. Achcar Rde O, Nikiforova MN, Dacic S, Nicholson AG, Yousem SA. Mammalian mastermind like 2 11q21 gene rearrangement in bronchopulmonary mucoepidermoid carcinoma. Hum Pathol. 2009;40:854–60.

    PubMed  Article  Google Scholar 

  33. Lennerz JK, Perry A, Mills JC, Huettner PC, Pfeifer JD. Mucoepidermoid carcinoma of the cervix: another tumor with the t(11;19)-associated CRTC1-MAML2 gene fusion. Am J Surg Pathol. 2009;33(6):835–43.

    PubMed  Article  Google Scholar 

  34. Roden AC, Erickson-Johnson MR, Yi ES, Garcia JJ. Analysis of MAML2 rearrangement in mucoepidermoid carcinoma of the thymus. Hum Pathol. 2013;44:2799–805.

    CAS  PubMed  Article  Google Scholar 

  35. Bell D, El-Naggar AK. Molecular heterogeneity in mucoepidermoid carcinoma: conceptual and practical implications. Head Neck Pathol. 2013;7:23–7.

    PubMed Central  PubMed  Article  Google Scholar 

Download references

Acknowledgments

This study was funded in part by the National Institutes of Health/National Institute of Dental and Craniofacial Research (NIH/NIDCR) Head and Neck SPORE Grant P50 DE019032.

Author information

Affiliations

Authors

Corresponding author

Correspondence to Justin A. Bishop.

Rights and permissions

Reprints and Permissions

About this article

Cite this article

Bishop, J.A., Yonescu, R., Batista, D. et al. Glandular Odontogenic Cysts (GOCs) Lack MAML2 Rearrangements: A Finding to Discredit the Putative Nature of GOC as a Precursor to Central Mucoepidermoid Carcinoma. Head and Neck Pathol 8, 287–290 (2014). https://doi.org/10.1007/s12105-014-0534-8

Download citation

  • Received:

  • Accepted:

  • Published:

  • Issue Date:

  • DOI: https://doi.org/10.1007/s12105-014-0534-8

Keywords

  • Glandular odontogenic cyst
  • Central mucoepidermoid carcinoma
  • MAML2