Skip to main content

Glandular Odontogenic Cyst: Analysis of 46 Cases with Special Emphasis on Microscopic Criteria for Diagnosis

Abstract

The glandular odontogenic cyst (GOC) is now a relatively well-known entity with recent reviews indicating over 100 cases reported in the English literature. The GOC’s importance relates to the fact that it exhibits a propensity for recurrence similar to the odontogenic keratocyst, and that it may be confused microscopically with central mucoepidermoid carcinoma (CMEC). Numerous histopathologic features for the GOC have been described, but the exact microscopic criteria necessary for diagnosis have not been universally accepted. Furthermore, some of the microscopic features of GOC may also be found in dentigerous, botryoid, radicular, and surgical ciliated cysts. The purpose of this multicenter retrospective study is to further define the clinical, radiographic, and microscopic features of GOC, to determine which microscopic features may be helpful for diagnosis in problematic cases, to determine the most appropriate treatment, and to determine if GOC and CMEC share a histopathologic spectrum. In our series of 46 cases, the mean age at diagnosis was 51 years with 71% of cases in the 5th–7th decades. No gender predilection was noted. 80% of cases occurred in the mandible, and 60% of the lesions involved the anterior regions of the jaws. Swelling/expansion was the most common presenting complaint, although some cases were asymptomatic. Radiographically, most cases presented as a well-defined unilocular or multilocular radiolucency involving the periapical area of multiple teeth. Some lesions displayed a scalloped border. Cases also presented in dentigerous, lateral periodontal, and “globulomaxillary” relationships. The canine area was a common location for maxillary cases. All cases were treated conservatively (enucleation, curettage, cystectomy, excision). Follow-up on 18 cases revealed a recurrence rate of 50% (9/18), with 6 cases recurring more than once (range of follow-up: 2 months to 20 years; average length of follow-up: 8.75 years). The mean interval from initial treatment to first recurrence was 8 years, and from first recurrence to second recurrence was 5.8 years. Two cases recurred three times and the interval from second to third recurrence was 7 years (exact interval only documented in one case). All cases exhibited eosinophilic cuboidal (hobnail) cells, a feature not specific for GOC, but necessary for diagnosis, in our opinion. Univariate analysis indicated several features that are most helpful in distinguishing GOC from GOC mimickers in problematic cases, including: (1) the presence of microcysts (P < 0.0001); (2) epithelial spheres (P < 0.0001); (3) clear cells (P = 0.0002); (4) variable thickness of the epithelial cyst lining (P = 0.0002); and (5) multiple compartments (P = 0.006). Stratified analysis indicated that when microcysts are present, epithelial spheres and multiple compartments are still significant, and clear cells are marginally significant in distinguishing GOCs from GOC mimickers. The presence of microcysts (P = 0.001), clear cells (P = 0.032), and epithelial spheres (P = 0.042) appeared to be most helpful in distinguishing GOC associated with an unerupted tooth from dentigerous cyst with metaplastic changes. There were no statistically significant differences microscopically between GOCs that recurred and those that did not. The presence of 7 or more microscopic parameters was highly predictive of a diagnosis of GOC in our series (P < 0.0001), while the presence of 5 or less microscopic parameters was highly predictive of a non-GOC diagnosis (P < 0.0001). Islands resembling mucoepidermoid carcinoma (MEC-like islands) were identified in the cyst wall of three cases, only one of which had follow-up (no evidence of disease at 74 mo.); therefore, at this time insufficient information is available to determine whether GOC and CMEC share a histopathologic spectrum or whether MEC-like islands in GOCs are associated with more aggressive or malignant behavior.

This is a preview of subscription content, access via your institution.

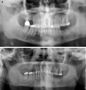
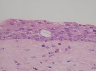
Fig. 1
Fig. 2
Fig. 3
Fig. 4
Fig. 5
Fig. 6
Fig. 7
Fig. 8
Fig. 9

References

  1. Padayachee A, Van Wyk CW. Two cystic lesions with features of both the botryoid odontogenic cyst and the central mucoepidermoid tumour: sialo-odontogenic cyst? J Oral Pathol. 1987;16:499–504.

    PubMed  Article  CAS  Google Scholar 

  2. Gardner DG, Kessler HP, Morency R, et al. The glandular odontogenic cyst: an apparent entity. J Oral Pathol. 1988;17:359–66.

    PubMed  Article  CAS  Google Scholar 

  3. Kramer IRH, Pindborg JJ, Shear M. Histopathological typing of odontogenic tumors. In: WHO international histological classification of tumors, 2nd ed. 1992, Springer: Berlin, p. 25–6.

  4. Semba I, Kitano M, Mimura T, et al. Glandular odontogenic cyst: analysis of cytokeratin expression and clinicopathological features. J Oral Pathol Med. 1994;23:377–82.

    PubMed  Article  CAS  Google Scholar 

  5. Pires FR, Chen S-Y, da Cruz Perez DE, et al. Cytokeratin expression in central mucoepidermoid carcinoma and glandular odontogenic cyst. Oral Oncol. 2004;40:545–51.

    PubMed  Article  CAS  Google Scholar 

  6. Shen J, Fan M, Chen X, et al. Glandular odontogenic cyst in China: report of 12 cases and immunohistochemical study. J Oral Pathol Med. 2006;35:175–82.

    PubMed  Article  Google Scholar 

  7. Koppang HS, Johannessen S, Haugen LK, et al. Glandular odontogenic cyst (sialo-odontogenic cyst): report of two cases and literature review of 45 previously reported cases. J Oral Pathol Med. 1998;27:455–62.

    PubMed  Article  CAS  Google Scholar 

  8. de Sousa SOM, Cabezas NT, de Oliveira PT, et al. Glandular odontogenic cyst: report of a case with cytokeratin expression. Oral Surg Oral Med Oral Pathol Radiol Endod. 1997;83:478–83.

    Article  Google Scholar 

  9. Jones AV, Craig GT, Franklin CD. Range and demographics of odontogenic cysts diagnosed in a UK population over a 30-year period. J Oral Pathol Med. 2006;35:500–7.

    PubMed  Article  CAS  Google Scholar 

  10. Meningaud J-P, Oprean N, Pitak-Arnnop P, et al. Odontogenic cysts: a clinical study of 695 cases. J Oral Sci. 2006;48:59–62.

    PubMed  Article  Google Scholar 

  11. Kaplan I, Anavi Y, Hirshberg A. Glandular odontogenic cyst: a challenge in diagnosis and treatment. Oral Dis. 2008;14:575–81.

    PubMed  Article  CAS  Google Scholar 

  12. Kaplan I, Anavi Y, Manor R, et al. The use of molecular markers as an aid in the diagnosis of glandular odontogenic cyst. Oral Oncol. 2005;41:895–902.

    PubMed  Article  CAS  Google Scholar 

  13. Patron M, Colmenero C, Larrauri J. Glandular odontogenic cyst: clinicopathologic analysis of three cases. Oral Surg Oral Med Oral Pathol. 1991;72:71–4.

    PubMed  Article  CAS  Google Scholar 

  14. van Heerden WFP, Raubenheimer EJ, Turner ML. Glandular odontogenic cyst. Head Neck. 1992;14:316–20.

    PubMed  Article  Google Scholar 

  15. Hussain K, Edmondson HD, Browne RM. Glandular odontogenic cysts. Diagnosis and treatment. Oral Surg Oral Med Oral Pathol Oral Radiol Endod. 1995;79:593–602.

    PubMed  Article  CAS  Google Scholar 

  16. High AS, Main DMG, Khoo SP, et al. The polymorphous odontogenic cyst. J Oral Pathol Med. 1996;25:25–31.

    PubMed  Article  CAS  Google Scholar 

  17. Magnusson B, Goransson L, Odesjo B, et al. Glandular odontogenic cyst. Report of seven cases. Dentomaxillofac Radiol. 1997;26:26–31.

    PubMed  Article  CAS  Google Scholar 

  18. Tosios KI, Kakarantza-Angelopoulou E, Kapranos N. Immunohistochemical study of bcl-2 protein, Ki-67 antigen and p53 protein in epithelium of glandular odontogenic cysts and dentigerous cysts. J Oral Pathol Med. 2000;29:139–44.

    PubMed  Article  CAS  Google Scholar 

  19. Noffke C, Raubenheimer EJ. The glandular odontogenic cyst: clinical and radiological features: review of the literature and report of nine cases. Dentomaxillofac Radiol. 2002;31:332–8.

    Article  Google Scholar 

  20. Manor R, Anavi Y, Kaplan I, et al. Radiological features of glandular odontogenic cyst. Dentomaxillofac Radiol. 2003;32:73–9.

    PubMed  Article  CAS  Google Scholar 

  21. Qin X-N, Li J-R, Chen X-M, et al. The glandular odontogenic cyst: clinicopathologic features and treatment of 14 cases. J Oral Maxillofac Surg. 2005;63:694–9.

    PubMed  Article  Google Scholar 

  22. Kaplan I, Gal G, Anavi Y, et al. Glandular odontogenic cyst: treatment and recurrence. J Oral Maxillofac Surg. 2005;63:435–41.

    PubMed  Article  Google Scholar 

  23. Velez I. Glandular odontogenic cyst. Report of two cases and review of the literature. N Y State Dent J. 2006;72:44–5.

    PubMed  Google Scholar 

  24. Shear M, Speight P. Glandular odontogenic cyst (sialo-odontogenic cyst). In: Cysts of the oral and maxillofacial regions, 4th ed. Blackwell: Oxford, 2007; p. 94–9.

  25. Krishnamurthy A, Sherlin HJ, Ramalingam K, et al. Glandular odontogenic cyst: report of two cases and review of literature. Head Neck Pathol. 2009;3:153–8.

    PubMed  Article  Google Scholar 

  26. MacDonald-Jankowski DS. Glandular odontogenic cyst: systematic review. Dentomaxillofac Radiol. 2010;39:127–39.

    PubMed  Article  CAS  Google Scholar 

  27. Browne RM. Metaplasia in odontogenic cysts. J Dent Res (Suppl). 1971;50:1177.

    Google Scholar 

  28. Gorlin RJ. Potentialities of oral epithelium manifest by mandibular dentigerous cysts. Oral Surg Oral Med Oral Pathol. 1957;10:271–84.

    PubMed  Article  CAS  Google Scholar 

  29. Ide F, Shimoyama T, Horie N. Glandular odontogenic cyst with hyaline bodies: an unusual dentigerous presentation. J Oral Pathol Med. 1996;25:401–4.

    PubMed  Article  CAS  Google Scholar 

  30. Geist J, Gordon S, Wesley R. Oral pathology quiz: an unusual pericoronal cyst. J Michigan Dent Assoc. 2003;85(40):42–3.

    Google Scholar 

  31. Ficarra G, Chou L, Panzoni E. Glandular odontogenic cyst (sialo-odontogenic cyst). A case report. Int J OralMaxillofac Surg. 1990;19:331–3.

    Article  CAS  Google Scholar 

  32. Chavez JA, Richter KJ. Glandular odontogenic cyst of the mandible. J Oral Maxillofac Surg. 1999;57:461–4.

    PubMed  Article  CAS  Google Scholar 

  33. Thor A, Warfvinge G, Fernandes R. The course of a long-standing glandular odontogenic cyst: marginal resection and reconstruction with particulated bone graft, platelet-rich plasma, and additional vertical alveolar distraction. J Oral Maxillofac Surg. 2006;64:1121–8.

    PubMed  Article  Google Scholar 

  34. Foss RD, Fielding CG. Glandular odontogenic cyst. Head Neck Pathol. 2007;1:102–3.

    PubMed  Article  Google Scholar 

  35. Wharton L, Saini T, Ogunleye A, et al. Glandular odontogenic cyst of the mandible: from incidental radiographic discovery to prosthetic reconstruction. Gen Dent. 2008;56:554–8.

    PubMed  Google Scholar 

  36. Boffano P, Cassarino E, Zavattero E, et al. Surgical treatment of glandular odontogenic cysts. J Craniofac Surg. 2010;21:776–80.

    PubMed  Article  Google Scholar 

  37. Waldron CA, Koh ML. Central mucoepidermoid carcinoma of the jaws: report of four cases with anaysis of the literature and discussion of the relationship to mucoepidermoid, sialodontogenic, and glandular odontogenic cysts. J Oral Maxillofac Surg. 1990;48:871–7.

    PubMed  Article  CAS  Google Scholar 

  38. Toida M, Nakashima E, Okumura Y, et al. Glandular odontogenic cyst: a case report and literature review. J Oral Maxillofac Surg. 1994;52:1312–6.

    PubMed  Article  CAS  Google Scholar 

  39. Manojlovic S, Grgurevic J, Knezevic G, et al. Glandular odontogenic cyst: a case report and clinicopathologic analysis of the relationship to central mucoepidermoid carcinoma. Head Neck. 1997;19:227–31.

    PubMed  Article  CAS  Google Scholar 

  40. Prabhu S, Kumar RK. Glandular odontogenic cyst mimicking central mucoepidermoid carcinoma. J Oral Maxillofac Pathol. 2010;14:12–5.

    PubMed  Article  Google Scholar 

  41. Cheuk W, Chan JKC. Advances in salivary gland pathology. Histopathol. 2007;51:1–20.

    Article  CAS  Google Scholar 

  42. Nakayama T, Miyabe S, Okabe M, et al. Clinicopathological significance of the CRTC3-MAML2 fusion transcript in mucoepidermoid carcinoma. Mod Pathol. 2009;22:1575–81.

    PubMed  Article  CAS  Google Scholar 

  43. Seethala RR, Dacic S, Cieply K, et al. A reappraisal of the MECT1/MAML2 translocation in salivary mucoepidermoid carcinomas. Am J Surg Pathol. 2011;34:1106–21.

    Article  Google Scholar 

  44. Seethala RR. Histologic grading and prognostic biomarkers in salivary gland carcinomas. Adv Anat Pathol. 2011;18:29–45.

    PubMed  Article  Google Scholar 

  45. Bell D, Holsinger CF, El-Naggar AK. CRTC1/MAML2 fusion transcript in central mucoepidermoid carcinoma of mandible—diagnostic and histogenetic implications (Abstr). Mod Pathol. 2011;24(Suppl 1):274A.

    Google Scholar 

  46. Garcia JJ, Barnes EL, Cieply K, et al. Utility of MAML2 rearrangement detection using fluorescent in situ hybridization to distinguish glandular odontogenic cyst from central mucoepidermoid carcinoma (Abstr). Mod Pathol 2011;24(Suppl 1):277–8A.

    Google Scholar 

Download references

Acknowledgments

We wish to acknowledge Dr. Anneke Bush, Sc.D. for her assistance in preparation and interpretation of the statistical comparisons.

Conflict of interest

The authors deny any financial or other conflict of interest related to this study.

Author information

Affiliations

Authors

Corresponding author

Correspondence to Craig B. Fowler.

Additional information

Disclaimer: The opinions or assertions expressed herein are those of the authors and do not reflect the views of the Department of the Air Force, the Navy Department, or the Department of Defense.

Rights and permissions

Reprints and Permissions

About this article

Cite this article

Fowler, C.B., Brannon, R.B., Kessler, H.P. et al. Glandular Odontogenic Cyst: Analysis of 46 Cases with Special Emphasis on Microscopic Criteria for Diagnosis. Head and Neck Pathol 5, 364–375 (2011). https://doi.org/10.1007/s12105-011-0298-3

Download citation

  • Received:

  • Accepted:

  • Published:

  • Issue Date:

  • DOI: https://doi.org/10.1007/s12105-011-0298-3

Keywords

  • Glandular odontogenic cyst
  • Sialo-odontogenic cyst
  • Central mucoepidermoid carcinoma
  • Odontogenic cysts