Skip to main content

Child with Isolated Motor Delay: Look at the Neuroimage

This is a preview of subscription content, access via your institution.

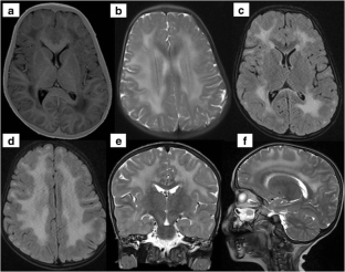
Fig. 1

References

  1. Muntoni F, Voit T. The congenital muscular dystrophies in 2004: a century of exciting progress. Neuromuscul Disord. 2004;14:635–49.

    Article  PubMed  Google Scholar 

  2. Philpot J, Cowan F, Pennock J, et al. Merosin-deficient congenital muscular dystrophy: the spectrum of brain involvement on magnetic resonance imaging. Neuromuscul Disord. 1999;9:81–5.

    CAS  Article  PubMed  Google Scholar 

  3. Allamand V, Guicheney P. Merosin-deficient congenital muscular dystrophy, autosomal recessive (MDC1A, MIM# 156225, LAMA2 gene coding for α2 chain of laminin). Eur J Hum Genet. 2002;10:91–4.

    CAS  Article  PubMed  Google Scholar 

  4. Alkan A, Sigirci A, Kutlu R, Aslan M, Doganay S, Yakinci C. Merosin-negative congenital muscular dystrophy: diffusion-weighted imaging findings of brain. J Child Neurol. 2007;22:655–9.

    Article  PubMed  Google Scholar 

  5. Schiffmann R, Van der Knaap MS. Invited article: an MRI-based approach to the diagnosis of white matter disorders. Neurology. 2009;72:750–9.

    Article  PubMed  PubMed Central  Google Scholar 

Download references

Author information

Affiliations

Authors

Corresponding author

Correspondence to Naveen Sankhyan.

Ethics declarations

Conflict of Interest

None.

Rights and permissions

Reprints and Permissions

About this article

Verify currency and authenticity via CrossMark

Cite this article

Sharawat, I.K., Kasinathan, A. & Sankhyan, N. Child with Isolated Motor Delay: Look at the Neuroimage. Indian J Pediatr 85, 914–915 (2018). https://doi.org/10.1007/s12098-018-2706-0

Download citation

  • Received:

  • Accepted:

  • Published:

  • Issue Date:

  • DOI: https://doi.org/10.1007/s12098-018-2706-0