Skip to main content

Aicardi-Goutières Syndrome

This is a preview of subscription content, access via your institution.

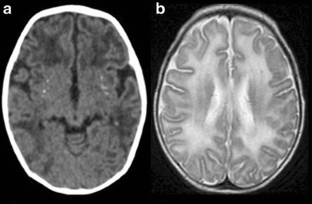
Fig. 1

References

  1. Aicardi J, Goutieres F. A progressive familial encephalopathy in infancy with calcifications of the basal ganglia and chronic cerebrospinal fluid lymphocytosis. Ann Neurol. 1984;15:49–54.

    CAS  Article  PubMed  Google Scholar 

  2. Uggetti C, La Piana R, Orcesi S, Egitto MG, Crow YJ, Fazzi E. Aicardi-Goutieres syndrome: neuroradiologic findings and follow-up. Am J Neuroradiol. 2009;30:1971–6.

    CAS  Article  PubMed  Google Scholar 

  3. Blau N, Bonafé L, Krägeloh-Mann I, et al. Cerebrospinal fluid pterins and folates in Aicardi-Goutieres syndrome: a new phenotype. Neurology. 2003;61:642–7.

    CAS  Article  PubMed  Google Scholar 

  4. Lebon P, Meritet JF, Kirvine A, Rosenberg F. Interferon and Aicardi Goutieres syndrome. Eur J Paediatr Neurol. 2002;6:47–86.

    Article  Google Scholar 

  5. Rice G, Patrick T, Parmar R, et al. Clinical and molecular phenotype of Aicardi-Goutieres syndrome. Am J Hum Genet. 2007;81:713–25.

    CAS  Article  PubMed  PubMed Central  Google Scholar 

Download references

Acknowledgments

The authors thank Prof. Arndt Rolfs, MD (Chief Medical Director) Lia Abbasi Moheb, PhD (Clinical Scientist) Centogene AG, Schillingallee 68, 18057 Rostock/Germany for providing genetic analysis.

Author information

Affiliations

Authors

Corresponding author

Correspondence to Rashid Merchant.

Ethics declarations

Conflict of Interest

None.

Source of Funding

None.

Rights and permissions

Reprints and Permissions

About this article

Verify currency and authenticity via CrossMark

Cite this article

Merchant, R., Verma, M., Shah, A. et al. Aicardi-Goutières Syndrome. Indian J Pediatr 83, 882–883 (2016). https://doi.org/10.1007/s12098-016-2104-4

Download citation

  • Received:

  • Accepted:

  • Published:

  • Issue Date:

  • DOI: https://doi.org/10.1007/s12098-016-2104-4

Keywords

  • Interferon
  • Neopterin
  • Microcephaly
  • Pterin
  • Cystic Degeneration