Abstract
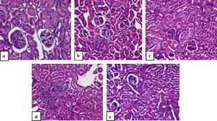
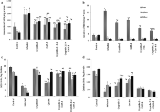
Resurgence of sensitivity of the antibiotics, to which the pathogen had developed resistance in the past, requires special attention for strengthening the reservoir of antimicrobial compounds. Reports in the recent past have suggested that co-trimoxazole (COT) has regained its activity against methicillin resistant Staphylococcus aureus (MRSA). The present study exploited the use of COT in the presence of an antimicrobial peptide (AMP), cryptdin-2 (a murine Paneth cell alpha defensin), in order to reduce the selective pressure of the antibiotic on the pathogen. In vitro antibacterial activity and in vivo efficacy of the combination was ascertained against MRSA induced systemic infection using a murine model. Observations of the present study might help in restoring the regained activity of conventional antibiotics, such as COT, when used in combination with novel antimicrobial molecules like AMPs. This might prove as a viable strategy to eliminate the chances of re-occurrence of resistance due to their multi-prong targeting and synergistically combating infections caused by these resistant pathogens.






Similar content being viewed by others
References
Appelbaum PC (2006) The emergence of vancomycin-intermediate and vancomycin-resistant Staphylococcus aureus. Clin Microbiol Infect 12:16–23. doi:10.1111/j.1469-0691.2006.01344.x
Zadrazilova I, Pospisilova S, Masarikova M, Imramovsky A, Ferriz JM, Vinsova J, Cizek A, Jampilek J (2015) Salicylanilide carbamates: promising antibacterial agents with high in vitro activity against methicillin-resistant Staphylococcus aureus (MRSA). Eur J Pharm Sci 77:197–207. doi:10.1016/j.ejps.2015.06.009
Holmes AH, Moore LSP, Sundsfjord A, Steinbakk M, Regmi S, Karkey A, Guerin PJ, Piddock LJV (2016) Understanding the mechanisms and drivers of antimicrobial resistance. Lancet 387:176–187. doi:10.1016/S0140-6736(15)00473-0
Frei CR, Miller ML, Lewis JS, Lawson KA, Hunter JM, Oramasionwu CU, Talbert RL (2010) Trimethoprim-sulphamethoxazole or clindamycin for community-associated MRSA (CA-MRSA) skin infections. J Am Board Fam Med 23:714–719. doi:10.3122/jabfm.2010.06.090270
Kaka AS, Rueda AM, Shelburne SA, Hulten K, Hamill RJ, Musher DM (2006) Bactericidal activity of orally available agents against methicillin-resistant Staphylococcus aureus. J Antimicrob Chemother 58:680–683. doi:10.1093/jac/dkl283
Elwell LP, Wilson HR, Knick VB, Keith BR (1986) In vitro and in vivo efficacy of the combination trimethoprim-sulphamethoxazole against clinical isolates of methicillin resistant Staphylococcus aureus. Antimicrob Agent Chemother 29:1092–1094. doi:10.1128/AAC.29.6.1092
Bishara J, Pitlik S, Samra Z, Levy I, Paul M, Leibovici L (2003) Co-trimoxazole sensitive, methicillin-resistant Staphylococcus aureus, Israel. Emerg Infect Dis 9:1988–1997. doi:10.3201/eid0909.020666
Styers D, Sheehan DJ, Hogan P, Sahm DF (2006) Laboratory-based surveillance of current antimicrobial resistance patterns and trends among Staphylococcus aureus: 2005 status in the United States. Ann Clin Microbiol Antimicrob 5:2. doi:10.1186/1476-0711-5-2
Tsuji BT, Rybak MJ, Cheung CM, Amjad M, Kaatz GW (2007) Community and health care associated methicillin-resistant Staphylococcus aureus: a comparison of molecular epidemiology and antimicrobial activities of various agents. Diagn Microbiol Infect Dis 58:41–47. doi:10.1016/j.diagmicrobio.2006.10.021
Frame PT, Mclaurin RL (1984) Treatment of CSF shunt infections with intrashunt plus oral antibiotic therapy. J Neurosurg 60:354–360. doi:10.3171/jns.1984.60.2.0354
Goldberg E, Paul M, Talker O, Samra Z, Raskin M, Hazzan R, Leibovici L, Bishara J (2010) Co-trimoxazole versus vancomycin for the treatment of methicillin-resistant Staphylococcus aureus bacteraemia: a retrospective cohort study. J Antimicrob Chemother 65:1779–1783. doi:10.1093/jac/dkq179
Harder J, Glaser R, Schroder JM (2007) Human antimicrobial proteins-effector of innate immunity. J Endotoxin Res 13:317–338. doi:10.1177/0968051907088275
Bahrndoff S, Gill C, Lowenberger C, Skovgård H, Hald B (2014) The effects of temperature and innate immunity on transmission of Campylobacter jejuni (Campylobacterales: Campylobacteraceae) between life stages of Musca domestica (Diptherai: Muscidae). J Med Entomol 51:670–677. doi:10.1603/ME13220
Midorikawa K, Ouhara K, Komatsuzawa H, Kawai T, Yamada S, Fujiwara T, Yamazaki K, Sayama K, Taubman MA, Kurihara H, Hashimoto K, Sugai M (2003) Staphylococcus aureus susceptibility to innate antimicrobial peptides, β-defensins and CAP18, expressed by human keratinocytes. Infect Immun 71:3730–3739. doi:10.1128/IAI.71.7.3730-3739.2003
Abraham P, George S, Kumar KS (2014) Novel antibacterial peptides from the skin secretion of the Indian bicoloured frog Clinotarsus curtipes. Biochimie 97:144–151. doi:10.1016/j.biochi.2013.10.005
Preet S, Verma I, Rishi P (2010) Cryptdin-2: a novel therapeutic agent for experimental Salmonella Typhimurium infection. J Antimicrob Chemother 65:991–994. doi:10.1093/jac/dkq066
Gupta R, Srivastava S (2014) Antifungal effect of antimicrobial peptides (AMPs LR14) derived from Lactobacillus plantarum strain LR/14 and their applications in prevention of grain spoilage. Food Microbiol 42:1–7. doi:10.1016/j.fm.2014.02.005
Sharma D, Mandal SM, Manhas RK (2014) Purification and characterization of a novel lipopeptide from Streptomyces amritsarensis sp. nov. active against methicillin-resistant Staphylococcus aureus. AMB Express 4:50. doi:10.1186/s13568-014-0050-y
Shireen T, Singh M, Das T, Mukhopadhyay K (2013) Differential adaptive responses of Staphylococcus aureus to in vitro selection with different antimicrobial peptides. Antimicrob Agents Chemother 57:5134–5137. doi:10.1128/AAC.00780-13
Gautam N, Sharma N, Ahlawat OP (2014) Purification and characterization of bacteriocin produced by Lactobacillus brevis UN isolated from Dhulliachar: a traditional food product of north east India. Indian J Microbiol 54:185–189. doi:10.1007/s12088-013-0427-7
Hernández-Saldaña OF, Valencia-Posadas M, Norma M, Bideshi DK, Barboza-Corona JE (2016) Bacteriocinogenic bacteria isolated from raw goat milk and goat cheese produced in the center of Mexico. Indian J Microbiol 56:301–308. doi:10.1007/s12088-016-0587-3
Rishi P, Preet S, Bharran S, Verma I (2011) In vitro and in vivo synergistic effects of cryptdin-2 and ampicillin against Salmonella. Antimicrob Agents Chemother 55:4176–4182. doi:10.1128/AAC.00273-11
Singh AP, Prabha V, Rishi P (2014) Efficacy of cryptdin-2 as an adjunct to antibiotics from various generations against Salmonella. Indian J Microbiol 54:323–328. doi:10.1007/s12088-014-0463-y
Giacometti A, Cirioni O, Kamysz W, D’Amato G, Silvestri C, Del Prete MS, Lukasiak J, Scalise G (2004) In vitro activity and killing effect of the synthetic hybrid cecropin A-melittin peptide CA(1-7)M(2-9)NH(2) on methicillin-resistant nosocomial isolates of Staphylococcus aureus and interactions with clinically used antibiotics. Diagn Microbiol Infect Dis 49:197–200. doi:10.1016/j.diagmicrobio.2004.02.008
Singh AP, Prabha V, Rishi P (2013) Value addition in the efficacy of conventional antibiotics by nisin against Salmonella. PLoS ONE 8:e76844. doi:10.1371/journal.pone.0076844
Randhawa HK, Gautam A, Sharma M, Bhatia R, Varshney GC, Raghava GPS, Nandanwar H (2016) Cell-penetrating peptide and antibiotic combination therapy: a potential alternative to combat drug resistance in methicillin-resistant Staphylococcus aureus. Appl Microbiol Biotechnol 100:4073–4083. doi:10.1007/s00253-016-7329-7
Takeuchi O, Hoshino K, Akira S (2000) Cutting edge: TLR2-deficient and MyD88-deficient mice are highly susceptible to Staphylococcus aureus infection. J Immunol 165:5392–5396. doi:10.4049/jimmunol.165.10.5392
Wills ED (1996) Mechanisms of lipid peroxide formation in animal tissues. Biochem J 99:667–676
Green LC, Wagner DA, Glogowski J, Skipper PL, Wishnok JS, Tannenbaum SR (1982) Analysis of nitrate, nitrite and 15N nitrate in biochemical fluids. Anal Biochem 126:131–138. doi:10.1016/0003-2697(82)90118-X
Luck H (1971) Catalase. In: Bergmeyer H (ed) Methods of enzymatic analysis. Academic press, New York, pp 885–894
Kono Y (1978) Generation of superoxide radical during auto-oxidation of hydroxylamine and an assay for superoxide dismutase. Arch Biochem Biophys 186:189–195. doi:10.1016/0003-9861(78)90479-4
Blaskovich MA, Butler MS, Cooper MA (2017) Polishing the tarnished silver bullet: the quest for new antibiotics. Essays Biochem 61:103–114. doi:10.1042/EBC20160077
Kalia VC (2014) Microbes, antimicrobials and resistance: the battle goes on. Indian J Microbiol 54:1–2. doi:10.1007/s12088-013-0443-7
Maheshwari R (2007) Combating antibiotic resistance in bacteria. Indian J Microbiol 47:181–183. doi:10.1007/s12088-007-0036-4
Cassone M, Otvos L Jr (2010) Synergy among antibacterial peptides and between peptides and small-molecule antibiotics. Expert Rev Anti Infect Ther 8:703–716. doi:10.1586/eri.10.38
Yenuga S, Narmadha G (2010) The human male reproductive tract antimicrobial peptides of the HE2 family exhibit potent synergy with standard antibiotics. J Pept Sci 16:337–341. doi:10.1002/psc.1246
Wormser GP, Keusch GT, Heel RC (1982) Co-trimoxazole (trimethoprim-sulfamethoxazole): an updated review of its antibacterial activity and clinical efficacy. Drugs 24:459–518. doi:10.2165/00003495-198224060-00002
Lowy FD (2003) Antimicrobial resistance: the example of Staphylococcus aureus. J Clin Invest 111:1265–1273. doi:10.1172/JCI200318535
Rishi P, Singh AP, Arora S, Garg N, Kaur IP (2013) Revisiting eukaryotic anti-infective biotherapeutics. Crit Rev Microbiol 40:281–292. doi:10.3109/1040841X.2012.749210
Yeaman MR, Kupferwasser D, Yount NY, Waring AJ, Ruchala P (2009) Efficacy of intravenous platelet kinocidin congener RP-1 in a murine model of Staphylococcus aureus (SA) biofilm infection. In: Presented at 49th interscience conference on antimicrobial agents and chemotherapy (ICAAC), San Francisco
Cirioni O, Silvestri C, Ghiselli R, Giacometti A, Orlando F, Mocchegiani F, Chiodi L, Della Vittoria A, Saba V, Scalise G (2006) Experimental study on the efficacy of combination of α-helical antimicrobial peptides and vancomycin against Staphylococcus aureus with intermediate resistance to glycopeptides. Peptides 27:2600–2606. doi:10.1016/j.peptides.2006.05.004
Huang Y, Huang J, Chen Y (2010) Alpha-helical cationic antimicrobial peptides: relationships of structure and function. Protein Cell 1:143–152. doi:10.1007/s13238-010-0004-3
Bowdish DM, Davidson DJ, Lau YE, Lee K, Scott MG, Hancock RE (2005) Impact of LL-37 on anti-infective immunity. J Leukoc Biol 77:451–459. doi:10.1189/jlb.0704380
Hancock REW, Sahl HG (2006) Antimicrobial and host-defense peptides as new anti-infective therapeutic strategies. Nat Biotechnol 24:1551–1557. doi:10.1038/nbt1267
Labro MT (2000) Interference of antibacterial agents with phagocyte functions: immunomodulation or immune-fairy tales. Clin Microbiol Rev 13:615–650. doi:10.1128/CMR.13.4.615-650.2000
Acknowledgements
Financial support from the Department of Microbiology, Panjab University, Chandigarh and Department of Science and Technology (DST-PURSE) is gratefully acknowledged.
Author information
Authors and Affiliations
Corresponding author
Rights and permissions
About this article
Cite this article
Kaur, A., Chabba, S.K., Kaur, U.J. et al. Management of Staphylococcus Mediated Systemic Infection by Enhancing the Resurging Activity of Co-trimoxazole in Presence of Cryptdin-2. Indian J Microbiol 57, 438–447 (2017). https://doi.org/10.1007/s12088-017-0672-2
Received:
Accepted:
Published:
Issue Date:
DOI: https://doi.org/10.1007/s12088-017-0672-2


