Skip to main content

Expression, Purification and Characterization of the Proline Dehydrogenase Domain of PutA from Pseudomonas putida POS-F84

Abstract

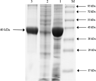
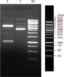
The objective of the present work was to express a truncated form of Pseudomonas putida PutA that shows proline dehydrogenase (ProDH) activity. The putA gene encoding ProDH enzyme was cloned into pET23a vector and expressed in Escherichia coli strain BL-21 (DE3) plysS. The recombinant P. putida enzyme was biochemically characterized and its three dimensional structure was also predicted. ProDH encoding sequence showed an open reading frame of 1,035-bp encoding a 345 amino acid residues polypeptide chain. Purified His-tagged enzyme gave a single band with a molecular mass of 40 kDa on SDS-PAGE. The molecular mass of the isolated enzyme was found to be about 40 kDa by gel filtration. This suggested that the enzyme of interest consists of one subunit. The K m and V max values of recombinant P. putida ProDH were estimated to be 31 mM and 132 μmol/min, respectively. The optimum pH and temperature for the catalytic activity of the enzyme was about pH 8.5 and 30 °C. The modeling analysis of the three dimensional structure elucidated that Ser-165, Lys-195 and Ala-252 were key residues for the ProDH activity. This study provides data on the cloning, sequencing and recombinant expression of PutA ProDH domain from P. putida POS-F84.

This is a preview of subscription content, access via your institution.

Fig. 1
Fig. 2
Fig. 3
Fig. 4

References

  1. Menzel R, Roth J (1981) Purification of the putA gene product. J Biol Chem 256:9755–9761

    PubMed  CAS  Google Scholar 

  2. Cecchini MN, Monteoliva IM, Marı′a EA (2011) Proline dehydrogenase contributes to pathogen defense in Arabidopsis. Am Soc Plant Biol 155:1947–1959

    CAS  Google Scholar 

  3. Shahbaz Mohammadia H, Omidinia E (2012) Proline dehydrogenase from Pseudomonas fluorescence: gene cloning, purification, characterization and homology modeling. Appl Biochem Microbiol 48:167–174

    Article  Google Scholar 

  4. Lee YH, Nadaraia S, Gu D, Becker DF, Tanner JJ (2003) Structure of the proline dehydrogenase domain of the multifunctional PutA flavoprotein. Nat Struct Biol 10:109–114

    PubMed  Article  CAS  Google Scholar 

  5. Baban BA, Vinod MP, Tanner JJ, Becker DF (2004) Probing a hydrogen bond pair and the FAD redox properties in the proline dehydrogenase domain of Escherichia coli PutA. Biochim Biophys Acta 1701:49–59

    PubMed  Article  CAS  Google Scholar 

  6. Meile L, Leisinger T (1982) Purification and properties of the bifunctional proline dehydrogenase/1-pyrroline-5-carboxylate dehydrogenase from Pseudomonas aeruginosa. Eur J Biochem 129:67–75

    PubMed  Article  CAS  Google Scholar 

  7. Menzel R, Roth J (1981) Enzymatic properties of the purified PutA protein from Salmonella typhimurium. J Biol Chem 256:9762–9766

    PubMed  CAS  Google Scholar 

  8. Straub PF, Reynolids PHS, Althomsons S, Mett V, Zhu Y, Shearer G, Kohl DH (1996) Isolation, DNA sequence analysis, and mutagenesis of a proline dehydrogenase gene (putA) from Bradyhizobium japonicum. Appl Environ Microbiol 62:221–229

    PubMed  CAS  Google Scholar 

  9. Shahbaz Mohammadia H, Omidinia E, Sahebghadam Lotfi A, Saghiri R (2007) Preliminary report of NAD+-dependent amino acid dehydrogenases producing bacteria isolated from soil. Iranian Biomed J 11:131–135

    Google Scholar 

  10. Sambrook J, Fritsch EF, Maniatis T (1994) Molecular cloning: a laboratory manual, 2nd edn. Cold Spring Harbor Laboratory press, Cold Spring Harbor, New York

    Google Scholar 

  11. Becker DF, Thomas EA (2001) Redox properties of the PutA protein from Escherichia coli and the influence of the flavin redox state on PutA-DNA interactions. Biochemistry 40:4714–4722

    PubMed  Article  CAS  Google Scholar 

  12. Bradford MM (1976) A rapid and sensitive for the quantitation of microgram quantities of protein utilizing the principle of protein-dye binding. Anal Biochem 72:248–254

    PubMed  Article  CAS  Google Scholar 

  13. Zhu W, Cha D, Cheng G, Peng Q, Shen P (2007) Purification and characterization of a thermotable protease from a newly isolated Geobacillus sp. YMTC 1049. Enzyme Microb Technol 40:1592–1597

    Article  CAS  Google Scholar 

  14. Laskowski R, Macarthur M, Moss D, Thornton J (1993) PROCHECK: a program to check the stereochemical quality of protein structures. G Appl Crys 26:283–291

    Article  CAS  Google Scholar 

  15. Vilchez S, Molina L, Ramos C, Ramos J (2000) Proline metabolism by Pseudomonas putida: cloning, characterization, and expression of the put genes in the presence of root exudates. J Bacteriol 182:91–99

    PubMed  Article  CAS  Google Scholar 

  16. Lee GH, Park NY, Lee MH, Choi SH (2003) Characterization of the Vibrio vlunificus putAP operon, encoding proline dehydrogenase and proline permease and its differential expression response to osmotic stress. J Bacteriol 185:3842–3852

    PubMed  Article  CAS  Google Scholar 

Download references

Acknowledgments

We thank to the Biochemistry Dept., Pasteur Institute of Iran. The authors are grateful to Dr. Esfahani for his helpful discussions during this project.

Author information

Affiliations

Authors

Corresponding author

Correspondence to Rahman Mahdizadehdehosta.

Rights and permissions

Reprints and Permissions

About this article

Cite this article

Omidinia, E., Mahdizadehdehosta, R. & Mohammadi, H.S. Expression, Purification and Characterization of the Proline Dehydrogenase Domain of PutA from Pseudomonas putida POS-F84. Indian J Microbiol 53, 297–302 (2013). https://doi.org/10.1007/s12088-013-0375-2

Download citation

  • Received:

  • Accepted:

  • Published:

  • Issue Date:

  • DOI: https://doi.org/10.1007/s12088-013-0375-2

Keywords

  • Characterization
  • Expression
  • Proline dehydrogenase (ProDH)
  • Pseudomonas putida