Skip to main content

Spatial-temporal modulation of CCN proteins during wound healing in human skin in vivo

Abstract

CCN proteins are important modulators of development and function of adult organs. In this study, we examined the localization and expression of the six CCN family members in normal adult human skin and during wound healing in vivo. Transcript and protein expression were studied by laser-capture microdissection-coupled real-time PCR and immunohistochemistry, respectively. Our results demonstrate that CCN1, CCN4, and CCN6 are expressed at relatively low levels in normal human skin. CCN2, CCN3, and CCN5 are the most highly expressed transcripts in the epidermis. CCN3 and CCN5 proteins are prominent in epidermal keratinocytes, whereas CCN2 is primarily expressed in melanocytes. Differential expression within epidermal layers suggests that CCN3 and CCN5 are linked with keratinocyte differentiation. CCN2, CCN3 and CCN5, are the three most highly expressed transcripts in the dermis. Their respective proteins are produced to various extents by dermal fibroblasts, blood vessels, eccrine sweat glands and hair follicles. We find that most CCN family members are temporally and specifically regulated during different phases (inflammation, proliferation, and remodeling) of partial thickness wound repair. By highlighting spatial-temporal regulations of CCN family member expression in relation to cell proliferation and differentiation, our results suggest a diverse range of functions for CCN proteins in both epidermal and dermal cells, and provides a solid reference for interpretation of future studies aimed at understanding the role of CCN proteins in human skin physiology and diseases.

This is a preview of subscription content, access via your institution.

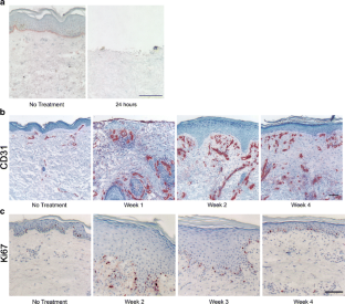
Fig. 1
Fig. 2
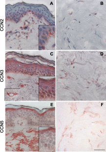
Fig. 3
Fig. 4
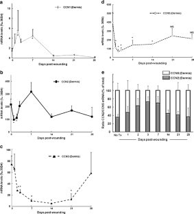
Fig. 5
Fig. 6
Fig. 7

Abbreviations

ECM:

Extracellular matrix

qPCR:

Quantitative real-time RT-PCR

References

  • Bork P (1993) The modular architecture of a new family of growth regulators related to connective tissue growth factor. FEBS Lett 327:125–130

    Article  CAS  PubMed  Google Scholar 

  • Brigstock DR (2003) The CCN family: a new stimulus package. J Endocrinol 178:169–175

    Article  CAS  PubMed  Google Scholar 

  • Chevalier G, Yeger H, Martinerie C, Laurent M, Alami J, Schofield PN, Perbal B (1998) novH: differential expression in developing kidney and Wilm’s tumors. Am J Pathol 152:1563–1575

    CAS  PubMed  Google Scholar 

  • Delmolino LM, Stearns NA, Castellot JJ Jr (2001) COP-1, a member of the CCN family, is a heparin-induced growth arrest specific gene in vascular smooth muscle cells. J Cell Physiol 188:45–55

    Article  CAS  PubMed  Google Scholar 

  • Falanga V (ed) (2001) Cutaneous wound healing. Martin Dunitz Ltd, London

    Google Scholar 

  • Frazier K, Williams S, Kothapalli D, Klapper H, Grotendorst GR (1996) Stimulation of fibroblast cell growth, matrix production, and granulation tissue formation by connective tissue growth factor. J Invest Dermatol 107:404–411

    Article  CAS  PubMed  Google Scholar 

  • Fu CT, Bechberger JF, Ozog MA, Perbal B, Naus CC (2004) CCN3 (NOV) interacts with connexin43 in C6 glioma cells: possible mechanism of connexin-mediated growth suppression. J Biol Chem 279:36943–36950

    Article  CAS  PubMed  Google Scholar 

  • Fukunaga-Kalabis M, Martinez G, Liu ZJ, Kalabis J, Mrass P, Weninger W, Firth SM, Planque N, Perbal B, Herlyn M (2006) CCN3 controls 3D spatial localization of melanocytes in the human skin through DDR1. J Cell Biol 175:563–569 (see supp figures)

    Article  CAS  PubMed  Google Scholar 

  • Fukunaga-Kalabis M, Santiago-Walker A, Herlyn M (2008) Matricellular proteins produced by melanocytes and melanomas: in search for functions. Cancer Microenviron 1:93–102

    Article  PubMed  Google Scholar 

  • Gillman T (1965) Dermal-epidermal interplay in healing cutaneous wounds. In: Valette G (ed) La Cicatrisation. Centre National de la Recherche Scientifique, Paris, pp 117–129

    Google Scholar 

  • Goliger JA, Paul DL (1995) Wounding alters epidermal connexin expression and gap junction-mediated intercellular communication. Mol Biol Cell 6:1491–1501

    CAS  PubMed  Google Scholar 

  • Gray MR, Castellot JJ Jr (2005) Function and regulation of CCN5. In: Perbal B, Takigawa M (eds) CCN proteins: a new family of cell growth and differentiation regulators. Imperial College Press, London, pp 207–238

    Chapter  Google Scholar 

  • Grotendorst GR, Duncan MR (2005) Individual domains of connective tissue growth factor regulate fibroblast proliferation and myofibroblast differentiation. FASEB J 19:729–738

    Article  CAS  PubMed  Google Scholar 

  • Gurtner GC, Werner S, Barrandon Y, Longaker MT (2008) Wound repair and regeneration. Nature 453:314–321

    Article  CAS  PubMed  Google Scholar 

  • Hall RR, Hill DW, Beach AD (1971) A carbon dioxide surgical laser. Ann R Coll Surg Engl 48:181–188

    CAS  PubMed  Google Scholar 

  • Holbourn KP, Acharya KR, Perbal B (2008) The CCN family of proteins: structure-function relationships. Trends Biochem Sci 33:461–473

    Article  CAS  PubMed  Google Scholar 

  • Kapoor M, Liu S, Huh K, Parapuram S, Kennedy L, Leask A (2008) Connective tissue growth factor promoter activity in normal and wounded skin. Fibrogenesis Tissue Repair 1:3

    Article  PubMed  Google Scholar 

  • Kawaki H, Kubota S, Suzuki A, Lazar N, Yamada T, Matsumura T, Ohgawara T, Maeda T, Perbal B, Lyons KM, Takigawa M (2008) Cooperative regulation of chondrocyte differentiation by CCN2 and CCN3 shown by a comprehensive analysis of the CCN family proteins in cartilage. J Bone Miner Res 23:1751–1764

    Article  CAS  PubMed  Google Scholar 

  • Kireeva ML, Latinkic BV, Kolesnikova TV, Chen CC, Yang GP, Abler AS, Lau LF (1997) Cyr61 and Fisp12 are both ECM-associated signaling molecules: activities, metabolism, and localization during development. Exp Cell Res 233:63–77

    Article  CAS  PubMed  Google Scholar 

  • Koster MI (2009) Making an epidermis. Ann NY Acad Sci 1170:7–10

    Article  PubMed  Google Scholar 

  • Lake AC, Bialik A, Walsh K, Castellot JJ Jr (2003) CCN5 is a growth arrest-specific gene that regulates smooth muscle cell proliferation and motility. Am J Pathol 162:219–231

    Article  CAS  PubMed  Google Scholar 

  • Langlois S, Cowan KN, Shao Q, Cowan BJ, Laird DW (2008) Caveolin-1 and -2 interact with connexin43 and regulate gap junctional intercellular communication in keratinocytes. Mol Biol Cell 19:912–928

    Article  CAS  PubMed  Google Scholar 

  • Leask A (2010) Yin and Yang Part Deux: CCN5 inhibits the pro-fibrotic effects of CCN2. J Cell Commun Signal 4:155–156

    Article  PubMed  Google Scholar 

  • Leask A, Abraham DJ (2006) All in the CCN family: essential matricellular signaling modulators emerge from the bunker. J Cell Sci 119:4803–4810

    Article  CAS  PubMed  Google Scholar 

  • Lemaire R, Farina G, Bayle J, Dimarzio M, Pendergrass SA, Milano A, Perbal B, Whitfield ML, Lafyatis R (2010) Antagonistic effect of the matricellular signaling protein CCN3 on TGF-beta- and Wnt-mediated fibrillinogenesis in systemic sclerosis and Marfan syndrome. J Invest Dermatol 130:1514–1523

    Article  CAS  PubMed  Google Scholar 

  • Leu SJ, Liu Y, Chen N, Chen CC, Lam SC, Lau LF (2003) Identification of a novel integrin alpha 6 beta 1 binding site in the angiogenic inducer CCN1 (CYR61). J Biol Chem 278:33801–33808

    Article  CAS  PubMed  Google Scholar 

  • Lin CG, Leu SJ, Chen N, Tebeau CM, Lin SX, Yeung CY, Lau LF (2003) CCN3 (NOV) is a novel angiogenic regulator of the CCN protein family. J Biol Chem 278:24200–24208

    Article  CAS  PubMed  Google Scholar 

  • Lin CG, Chen CC, Leu SJ, Grzeszkiewicz TM, Lau LF (2005) Integrin-dependent functions of the angiogenic inducer NOV (CCN3): implication in wound healing. J Biol Chem 280:8229–8237

    Article  CAS  PubMed  Google Scholar 

  • Lin Z, Natesan V, Shi H, Hamik A, Kawanami D, Hao C, Mahabaleshwar GH, Wang W, Jin ZG, Atkins GB, Firth SM, Rittié L, Perbal B, Jain MK (2010) A novel role of CCN3 in regulating endothelial inflammation. J Cell Commun Signal 4:141–153

    Article  PubMed  Google Scholar 

  • Mason HR, Lake AC, Wubben JE, Nowak RA, Castellot JJ Jr (2004) The growth arrest-specific gene CCN5 is deficient in human leiomyomas and inhibits the proliferation and motility of cultured human uterine smooth muscle cells. Mol Hum Reprod 10:181–187

    Article  CAS  PubMed  Google Scholar 

  • Minner F, Poumay Y (2009) Candidate housekeeping genes require evaluation before their selection for studies of human epidermal keratinocytes. J Invest Dermatol 129:770–773

    Article  CAS  PubMed  Google Scholar 

  • Mo FE, Muntean AG, Chen CC, Stolz DB, Watkins SC, Lau LF (2002) CYR61 (CCN1) is essential for placental development and vascular integrity. Mol Cell Biol 22:8709–8720

    Article  CAS  PubMed  Google Scholar 

  • Orringer JS, Kang S, Johnson TM, Karimipour DJ, Hamilton T, Hammerberg C, Voorhees JJ, Fisher GJ (2004) Connective tissue remodeling induced by carbon dioxide laser resurfacing of photodamaged human skin. Arch Dermatol 140:1326–1332

    Article  PubMed  Google Scholar 

  • Orringer JS, Rittié L, Hamilton T, Karimipour DJ, Voorhees JJ, Fisher GJ (2011) Intraepidermal Erbium:YAG Laser Resurfacing: Impact on the Dermal Matrix. J Am Acad Dermatol 64:119–128

    Google Scholar 

  • Perbal B (1999) Nuclear localisation of NOVH protein: a potential role for NOV in the regulation of gene expression. Mol Pathol 52:84–91

    Article  CAS  PubMed  Google Scholar 

  • Perbal B (2004) CCN proteins: multifunctional signalling regulators. Lancet 363:62–64

    Article  CAS  PubMed  Google Scholar 

  • Perbal B (2006) New insight into CCN3 interactions—nuclear CCN3: fact or fantasy? J Cell Commun Signal 4:6

    Article  Google Scholar 

  • Perbal B, Takigawa M (eds) (2005) CCN protein: a new family of cell growth and differentiation regulators. Imperial College Press, London

    Google Scholar 

  • Perbal B, Martinerie C, Sainson R, Werner M, He B, Roizman B (1999) The C-terminal domain of the regulatory protein NOVH is sufficient to promote interaction with fibulin 1C: a clue for a role of NOVH in cell-adhesion signaling. Proc Natl Acad Sci USA 96:869–874

    Article  CAS  PubMed  Google Scholar 

  • Planque N, Perbal B (2003) A structural approach to the role of CCN (CYR61/CTGF/NOV) proteins in tumourigenesis. Cancer Cell Int 3:15

    Article  PubMed  Google Scholar 

  • Planque N, Long Li C, Saule S, Bleau AM, Perbal B (2006) Nuclear addressing provides a clue for the transforming activity of amino-truncated CCN3 proteins. J Cell Biochem 99:105–116

    Article  CAS  PubMed  Google Scholar 

  • Quan T, He T, Shao Y, Lin L, Kang S, Voorhees JJ, Fisher GJ (2006) Elevated cysteine-rich 61 mediates aberrant collagen homeostasis in chronologically aged and photoaged human skin. Am J Pathol 169:482–490

    Article  CAS  PubMed  Google Scholar 

  • Quan T, Shin S, Qin Z, Fisher GJ (2009) Expression of CCN family of genes in human skin in vivo and alterations by solar-simulated ultraviolet irradiation. J Cell Commun Signal 3:19–23

    Article  PubMed  Google Scholar 

  • Quan T, Shao Y, He T, Voorhees JJ, Fisher GJ (2010) Reduced expression of connective tissue growth factor (CTGF/CCN2) mediates collagen loss in chronologically aged human skin. J Invest Dermatol 130:415–424

    Article  CAS  PubMed  Google Scholar 

  • Riser BL, Denichilo M, Cortes P, Baker C, Grondin JM, Yee J, Narins RG (2000) Regulation of connective tissue growth factor activity in cultured rat mesangial cells and its expression in experimental diabetic glomerulosclerosis. J Am Soc Nephrol 11:25–38

    CAS  PubMed  Google Scholar 

  • Riser BL, Najmabadi F, Perbal B, Peterson DR, Rambow JA, Riser ML, Sukowski E, Yeger H, Riser SC (2009) CCN3 (NOV) is a negative regulator of CCN2 (CTGF) and a novel endogenous inhibitor of the fibrotic pathway in an in vitro model of renal disease. Am J Pathol 174:1725–1734

    Article  CAS  PubMed  Google Scholar 

  • Rittié L, Kansra S, Stoll SW, Li Y, Gudjonsson JE, Shao Y, Michael LE, Fisher GJ, Johnson TM, Elder JT (2007) Differential ErbB1 signaling in squamous cell versus basal cell carcinoma of the skin. Am J Pathol 170:2089–2099

    Article  PubMed  Google Scholar 

  • Rittié L, Stoll SW, Kang S, Voorhees JJ, Fisher GJ (2009) Hedgehog signaling maintains hair follicle stem cell phenotype in young and aged human skin. Aging Cell 8:738–751

    Article  PubMed  Google Scholar 

  • Sarin KY, Artandi SE (2007) Aging, graying and loss of melanocyte stem cells. Stem Cell Review 3:212–217

    Article  CAS  Google Scholar 

  • Scholzen T, Gerdes J (2000) The Ki-67 protein: from the known and the unknown. J Cell Physiol 182:311–322

    Article  CAS  PubMed  Google Scholar 

  • Vallacchi V, Daniotti M, Ratti F, Di Stasi D, Deho P, De Filippo A, Tragni G, Balsari A, Carbone A, Rivoltini L, Parmiani G, Lazar N, Perbal B, Rodolfo M (2008) CCN3/nephroblastoma overexpressed matricellular protein regulates integrin expression, adhesion, and dissemination in melanoma. Cancer Res 68:715–723

    Article  CAS  PubMed  Google Scholar 

  • Yaar M, Eller MS, Gilchrest BA (2002) Fifty years of skin aging. J Invest Dermatol Symp Proc 7:51–58

    Article  Google Scholar 

  • Yoon PO, Lee MA, Cha H, Jeong MH, Kim J, Jang SP, Choi BY, Jeong D, Yang DK, Hajjar RJ, Park WJ (2010) The opposing effects of CCN2 and CCN5 on the development of cardiac hypertrophy and fibrosis. J Mol Cell Cardiol 49:294–303

    Article  CAS  PubMed  Google Scholar 

Download references

Acknowledgements

We would like to thank Suzan Rehbine, LPN, for her help with volunteer recruitment and procurement of biopsies. We would also like to thank Trupta Purohit for helpful discussions, and Monica Michelotti for technical help with antibody titrations. BP wishes to thank GJ Fisher for hosting while on leave from Université Paris 7.

Author information

Affiliations

Authors

Corresponding author

Correspondence to Laure Rittié.

Rights and permissions

Reprints and Permissions

About this article

Cite this article

Rittié, L., Perbal, B., Castellot, J.J. et al. Spatial-temporal modulation of CCN proteins during wound healing in human skin in vivo. J. Cell Commun. Signal. 5, 69–80 (2011). https://doi.org/10.1007/s12079-010-0114-y

Download citation

  • Received:

  • Accepted:

  • Published:

  • Issue Date:

  • DOI: https://doi.org/10.1007/s12079-010-0114-y

Keywords

  • CCN
  • Inflammation
  • Remodeling
  • Skin
  • Wound
  • Extracellular matrix