Skip to main content

A Rare Case of Basal Cell Adenocarcinoma of Parotid Gland with Intracranial Extension

Abstract

Basal cell adenocarcinoma (BCAC) is a rare tumour entity. Despite its tendency to be infiltrative and destructive tumour with propensity to recur, it rarely metastasizes and long-term outcome following surgery is favourable. This paper presents a 42-year-old male with residual BCAC of parotid gland that had extended into infratemporal fossa and intracranial. The important aspect of this case is the rarity occurrence of BCAC of parotid with intracranial extension and its surgical approaches to achieve tumour clearance.

This is a preview of subscription content, access via your institution.

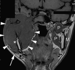
Fig. 1
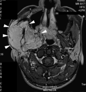
Fig. 2
Fig. 3

References

  1. Sharma R, Saxena S, Bansal R (2007) Basal cell adenocarcinoma: report of a case affecting the submandibular gland. J Oral Maxillofac Pathol 11:56–59

    Article  Google Scholar 

  2. Barnes L, Eveson JW, Reichart P, Sidransky D (2005) Pathology and genetics of tumours of the head and neck, vol 9., World Health Organization Classification of TumoursIARC Press, Lyon, pp 229–230

    Google Scholar 

  3. Farrell T, Chang YL (2007) Basal cell adenocarcinoma of minor salivary glands. Arch Pathol Lab Med 131:1602–1604

    PubMed  Google Scholar 

  4. Ward BK, Seethala RR, Barnes EL, Lai SY (2009) Basal cell adenocarcinoma of a hard palate minor salivary gland: case report and review of the literature. Head Neck Oncol 1:41

    Article  Google Scholar 

  5. Ellis GI, Wischvitch JG (1990) Basal cell adenocarcinomas of the major salivary gland. Oral Surg Oral Med Oral Pathol 69:461–469

    CAS  Article  Google Scholar 

  6. Parashar P, Baron E, Papadimitriou J, Ord R, Nikitakis N (2007) Basal cell adenocarcinoma of the oral minor salivary glands: review of the literature and presentation of two cases. Oral Surg Oral Med Oral Pathol Oral Radiol Endodontol 103:77–84

    Article  Google Scholar 

  7. Kudo S, Sawai T, Ikeda K, Watanabe M, Oshima T, Nakabayashi T, Takasaka T (1998) A case of basal cell adenocarcinoma of the parotid gland. Tohoku J Exp Med 186:51–59

    Article  Google Scholar 

  8. Elvey MH, Aghasi M, Wasrbrout Z, Avisar E (2011) Metastasis of parotid basal cell adenocarcinoma to the hand—a case report. Hand 6:321–323

    Article  Google Scholar 

  9. Faquin WC, Powers C (2008) Salivary gland. Cytopathology 268:164–176

    Google Scholar 

  10. Franzen A, Koegel K, Knieriem HJ, Pfaltz M (1998) Basal cell adenocarcinoma of the parotid gland: a rare tumor entity: case report and review of the literature. HNO 46:821–825

    CAS  Article  Google Scholar 

  11. Wilson JR, Kumar R, van Hille PT (2012) Cerebellopontine angle metastasis of a parotid mucoepidermoid carcinoma arising from perineural invasion along the facial nerve. Br J Neurosurg 26(3):417–419

    Article  Google Scholar 

  12. Hirsch DL, Miles C, Dierks E (2007) Basal cell adenocarcinoma of the parotid gland: report of a case and review of the literature. J Oral Maxillofac Surg 65:2385–2388

    Article  Google Scholar 

Download references

Author information

Affiliations

Authors

Corresponding author

Correspondence to Marina Mat Baki.

Ethics declarations

Conflict of interest

Mohamad Norkahfi Razali declares that he has no conflict of interest. Marina Mat Baki declares that she has no conflict of interest. Kew Thean Yean declares that he has no conflict of interest. Mohd Razif Mohamad Yunus declares that he has no conflict of interest.

Ethical Approval

All procedures performed in studies involving human participants were in accordance with the ethical standards of the institutional and/or national research committee and with the 1964 Helsinki declaration and its later amendments or comparable ethical standards.

Informed Consent

Informed consent was obtained from all individual participants included in the study.

Rights and permissions

Reprints and Permissions

About this article

Verify currency and authenticity via CrossMark

Cite this article

Razali, M.N., Mat Baki, M., Kew, T.Y. et al. A Rare Case of Basal Cell Adenocarcinoma of Parotid Gland with Intracranial Extension. Indian J Otolaryngol Head Neck Surg 71, 93–95 (2019). https://doi.org/10.1007/s12070-017-1116-3

Download citation

  • Received:

  • Accepted:

  • Published:

  • Issue Date:

  • DOI: https://doi.org/10.1007/s12070-017-1116-3

Keywords

  • Basal cell adenocarcinoma
  • Parotid tumour
  • Intracranial extension
  • Tumour resection