Skip to main content

FKBP immunophilins and Alzheimer’s disease: A chaperoned affair

Abstract

The FK506-binding protein (FKBP) family of immunophilins consists of proteins with a variety of protein–protein interaction domains and versatile cellular functions. Analysis of the functions of immunophilins has been the focus of studies in recent years and has led to the identification of various molecular pathways in which FKBPs play an active role. All FKBPs contain a domain with prolyl cis/trans isomerase (PPIase) activity. Binding of the immunosuppressant molecule FK506 to this domain inhibits their PPIase activity while mediating immune suppression through inhibition of calcineurin. The larger members, FKBP51 and FKBP52, interact with Hsp90 and exhibit chaperone activity that is shown to regulate steroid hormone signalling. From these studies it is clear that FKBP proteins are expressed ubiquitously but show relatively high levels of expression in the nervous system. Consistent with this expression, FKBPs have been implicated with both neuroprotection and neurodegeneration. This review will focus on recent studies involving FKBP immunophilins in Alzheimer’s-disease-related pathways.

This is a preview of subscription content, access via your institution.

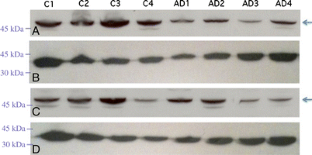
Figure 1
Figure 2
Figure 3

Abbreviations

AD:

Alzheimer’s disease

AICD:

amyloid intracellular domain

APP:

amyloid precursor protein

FKBD:

FK506-binding domain

FKBP:

FK506-binding protein

FTDP:

fronto-temporal dementia and Parkinsonism linked to chromosome 17

mTOR:

mammalian target of rapamycin

TPR:

tetratricopeptide

References

  • Atwood CS, Moir RD, Huang X, Scarpa RC, Bacarra NM, Romano DM, Hartshorn MA, Tanzi RE and Bush AI 1998 Dramatic aggregation of Alzheimer abeta by Cu(II) is induced by conditions representing physiological acidosis. J. Biol. Chem. 273 12817–12826

    PubMed  Article  CAS  Google Scholar 

  • Avramut M and Achim CL 2003 Immunophilins in nervous system degeneration and regeneration. Curr. Topics Med. Chem. 3 1376–1382

    Article  CAS  Google Scholar 

  • Barik S 2006 Immunophilins: for the love of proteins. Cell Mol. Life Sci. 63 2889–2900

    PubMed  Article  CAS  Google Scholar 

  • Barnham KJ and Bush AI 2008 Metals in Alzheimer's and Parkinson's diseases. Curr. Opin. Chem. Biol. 12 222–228

    PubMed  Article  CAS  Google Scholar 

  • Brecht S, Schwarze K, Waetzig V, Christner C, Heiland S, Fischer G, Sartor K and Herdegen T 2003 Changes in peptidyl-prolyl cis/trans isomerase activity and FK506 binding protein expression following neuroprotection by FK506 in the ischemic rat brain. Neuroscience 120 1037–1048

    PubMed  Article  CAS  Google Scholar 

  • Chambraud B, Belabes H, Fontaine-Lenoir V, Fellous A and Baulieu EE 2007 The immunophilin FKBP52 specifically binds to tubulin and prevents microtubule formation. FASEB J. 21 2787–2797

    PubMed  Article  CAS  Google Scholar 

  • Chambraud B, Sardin E, Giustiniani J, Dounane O, Schumacher M, Goedert M and Baulieu EE 2010 A role for FKBP52 in Tau protein function. Proc. Natl. Acad. Sci. USA 107 2658–2663

    PubMed  Article  CAS  Google Scholar 

  • Cheung-Flynn J, Prapapanich V, Cox MB, Riggs DL, Suarez-Quian C and Smith DF 2005 Physiological role for the cochaperone FKBP52 in androgen receptor signaling. Mol. Endocrinol. 19 1654–1666

    PubMed  Article  CAS  Google Scholar 

  • Chiba T, Yamada M, Sasabe J, Terashita K, Shimoda M, Matsuoka M and Aiso S 2009 Amyloid-β causes memory impairment by disturbing the JAK2/STAT3 axis in hippocampal neuronsSTAT3 in Alzheimer's disease. Mol. Psychiatry 14 206–222

    PubMed  Article  CAS  Google Scholar 

  • Costantini LC, Cole D, Chaturvedi P and Isacson O 2001 Immunophilin ligands can prevent progressive dopaminergic degeneration in animal models of Parkinson's disease. Eur. J. Neurosci. 13 1085–1092

    PubMed  Article  CAS  Google Scholar 

  • Davies TH and Sanchez ER 2005 Fkbp52. Int. J. Biochem. Cell Biol. 37 42–47

    PubMed  Article  CAS  Google Scholar 

  • Dawson TM, Steiner JP, Lyons WE, Fotuhi M, Blue M and Snyder SH 1994 The immunophilins, FK506 binding protein and cyclophilin, are discretely localized in the brain: relationship to calcineurin. Neuroscience 62 569–580

    PubMed  Article  CAS  Google Scholar 

  • Dolan PJ and Johnson GV 2010 The role of tau kinases in Alzheimer's disease. Curr. Opin. Drug Discov. Dev. 13 595–603

    CAS  Google Scholar 

  • Dumont FJ 2000 FK506, an immunosuppressant targeting calcineurin function. Curr. Med. Chem. 7 731–748

    PubMed  CAS  Google Scholar 

  • Finelli A, Kelkar A, Song HJ, Yang H and Konsolaki M 2004 A model for studying Alzheimer's Abeta42-induced toxicity in Drosophila melanogaster. Mol.Cell Neurosci. 26 365–375

    PubMed  Article  CAS  Google Scholar 

  • Fukumoto H, Cheung BS, Hyman BT and Irizarry MC 2002 b-Secretase Protein and Activity Are Increased in the Neocortex in Alzheimer disease. Arch. Neurol. 59 1381–1389

    PubMed  Article  Google Scholar 

  • Goel M, Garcia R, Estacion M and Schilling WP 2001 Regulation of Drosophila TRPL channels by immunophilin FKBP59. J. Biol. Chem. 276 38762–38773

    PubMed  Article  CAS  Google Scholar 

  • Hamilton GS and Steiner JP 1998 Immunophilins: beyond immunosuppression. J. Med. Chem. 41 5119–5143

    PubMed  Article  CAS  Google Scholar 

  • Hirota Y, Acar N, Tranguch S, Burnum KE, Xie H, Kodama A, Osuga Y, Ustunel I, et al. 2010 Uterine FK506-binding protein 52 (FKBP52)-peroxiredoxin-6 (PRDX6) signaling protects pregnancy from overt oxidative stress. Proc. Natl. Acad. Sci. USA 107 15577–15582

    PubMed  Article  CAS  Google Scholar 

  • Hong J, Kim ST, Tranguch S, Smith DF and Dey SK 2007 Deficiency of co-chaperone immunophilin FKBP52 compromises sperm fertilizing capacity. Reproduction 133 395–403

    PubMed  Article  CAS  Google Scholar 

  • Jinwal UK, Koren J III, Borysov SI, Schmid AB, Abisambra JF, Blair LJ, Johnson AG, Jones JR, et al. 2010 The Hsp90 cochaperone, FKBP51, increases Tau stability and polymerizes microtubules. J. Neurosci. 30 591–599

    PubMed  Article  CAS  Google Scholar 

  • Kågedal K, Kim WS, Appelqvist H, Chan S, Cheng S, Agholme L, Barnham K, McCann H, Halliday G and Garner B 2010 Increased expression of the lysosomal cholesterol transporter NPC1 in Alzheimer's disease. Biochim. Biophys. Acta 1801 831–838

    PubMed  Google Scholar 

  • Kang CB, Hong Y, Dhe-Paganon S and Yoon HS 2008 FKBP family proteins: immunophilins with versatile biological functions. Neurosignals 16 318–325

    PubMed  Article  CAS  Google Scholar 

  • Kong GK, Adams JJ, Cappai R and Parker MW 2007 Structure of Alzheimer's disease amyloid precursor protein copper-binding domain at atomic resolution. Acta Crystallogr. Sect. F Struct. Biol. Cryst. Commun. 63 819–824

    PubMed  Article  Google Scholar 

  • Li F, Omori N, Hayashi T, Jin G, Sato K, Nagano I, Shoji M and Abe K 2004a Protection against ischemic brain damage in rats by immunophilin ligand GPI-1046. J. Neurosci. Res. 76 383–389

    PubMed  Article  CAS  Google Scholar 

  • Li R, Lindholm K, Yang L-B, Yue X, Citron M, Yan R, Beach T, Sue L, et al. 2004b Amyloid β peptide load is correlated with increased β-secretase activity in sporadic Alzheimer’s disease patients. Proc. Natl. Acad. Sci. USA 101 3632–3637

    PubMed  Article  CAS  Google Scholar 

  • Liu FL, Liu PH, Shao HW and Kung FL 2006 The intracellular domain of amyloid precursor protein interacts with FKBP12. Biochem. Biophys. Res. Commun. 350 472–477

    PubMed  Article  CAS  Google Scholar 

  • Lyons WE, George EB, Dawson TM, Steiner JP and Snyder SH 1994 Immunosuppressant FK506 promotes neurite outgrowth in cultures of PC12 cells and sensory ganglia. Proc. Natl. Acad. Sci. USA 91 3191–3195

    PubMed  Article  CAS  Google Scholar 

  • Lyons WE, Steiner JP, Snyder SH and Dawson TM 1995 Neuronal regeneration enhances the expression of the immunophilin FKBP-12. J. Neurosci. 15 2985–2994

    PubMed  CAS  Google Scholar 

  • Mi W, Jung SS, Yu H, Schmidt SD, Nixon RA, Mathews PM, Tagliavini F and Levy E 2009 Complexes of Amyloid-β and Cystatin C in the Human Central Nervous System. J. Alzheimers Dis. 18 273–280

    PubMed  CAS  Google Scholar 

  • Nahalkova J, Volkmann I, Aoki M, Winblad B, Bogdanovic N, Tjernberg LO and Behbahani H 2010 CD147, a g-secretase associated protein is upregulated in Alzheimer’s disease brain and its cellular trafficking is affected by presenilin-2. Neurochem. Int. 56 67–76

    PubMed  Article  CAS  Google Scholar 

  • Pastorino L, Sun A, Lu PJ, Zhou XZ, Balastik M, Finn G, Wulf G, Lim J, et al. 2006 Theprolyl isomerase Pin1 regulates amyloid precursor protein processing and amyloid-beta production. Nature (London) 440 528–534

    Article  CAS  Google Scholar 

  • Pratt WB 1997 The role of the hsp90-based chaperone system in signal transduction by nuclear receptors and receptors signaling via MAP kinase. Annu. Rev. Pharmacol. Toxicol. 37 297–326

    PubMed  Article  CAS  Google Scholar 

  • Quintá HR, Maschi D, Gomez-Sanchez C, Piwien-Pilipuk G and Galigniana MD 2010 Subcellular rearrangement of hsp90-binding immunophilins accompanies neuronal differentiation and neurite outgrowth. J. Neurochem. 115 716–734

    PubMed  Article  Google Scholar 

  • Rostaing L and Kamar N 2010 mTOR inhibitor/proliferation signal inhibitors: entering or leaving the field? J. Nephrol. 23 133–142

    PubMed  CAS  Google Scholar 

  • Salminen A, Ojala J, Kaarniranta K, Hiltunen M and Soininen H 2010 Hsp90 regulates tau pathology through co-chaperone complexes in Alzheimer's disease. Prog. Neurobiol. 93 99–110

    Google Scholar 

  • Sanokawa-Akakura, R, Dai H, Akakura S, Weinstein D, Fajardo JE, Lang SE, Wadsworth S, Siekierka J and Birge RB 2004 A novel role for the immunophilin FKBP52 in copper transport. J. Biol. Chem. 279 27845–27848

    PubMed  Article  CAS  Google Scholar 

  • Sanokawa-Akakura R, Cao W, Allan K, Patel K, Ganesh A, Heiman G, Burke R, Kemp FW, et al. 2010 Control of Alzheimer's amyloid beta toxicity by the high molecular weight immunophilin FKBP52 and copper homeostasis in Drosophila. PLoS One 5 e8626

    PubMed  Article  Google Scholar 

  • Steiner JP, Dawson TM, Fotuhi M, Glatt CE, Snowman AM, Cohen N and Snyder SH 1992 High brain densities of the immunophilin FKBP colocalized with calcineurin. Nature (London) 358 584–587

    Article  CAS  Google Scholar 

  • Sugata H, Matsuo K, Nakagawa T, Takahashi M, Mukai H, Ono Y, Maeda K, Akiyama H and Kawamata T 2009 A peptidyl-prolyl isomerase, FKBP12, accumulates in Alzheimer neurofibrillary tangles. Neurosci. Lett. 459 96–99

    PubMed  Article  CAS  Google Scholar 

  • Tranguch S, Cheung-Flynn J, Daikoku T, Prapapanich V, Cox MB, Xie H, Wang H, Das SK, Smith DF and Dey SK 2005 Cochaperone immunophilin FKBP52 is critical to uterine receptivity for embryo implantation. Proc. Natl. Acad. Sci. USA 102 14326–14331

    PubMed  Article  CAS  Google Scholar 

  • Wang HQ, Nakaya Y, Du Z, Yamane T, Shirane M, Kudo T, Takeda M, Takebayashi K, et al. 2005 Interaction of presenilins with FKBP38 promotes apoptosis by reducing mitochondrial Bcl-2. Hum. Mol. Genet. 14 1889–1902

    PubMed  Article  CAS  Google Scholar 

  • Yang L-B, Lindholm K, Yan R, Citron M,Xia W, Yang X-L, Beach T, Sue L, Wong P, Price D, Li R and Shen Y 2003 Elevated β-secretase expression and enzymatic activity detected in sporadic Alzheimer disease. Nature Med. 9 3–4

    PubMed  Article  CAS  Google Scholar 

  • Zhou H, Luo Y and Huang S 2010 Updates of mTOR inhibitors. Anticancer Agents Med. Chem. 10 571–581

    PubMed  CAS  Google Scholar 

Download references

Acknowledgements

We would like to thank Drs R Buono and H Basehore (Golden Brain Bank, Coatsville VA Medical Center) for curating and providing the human brain samples, and our collaborator Dr R Birge for inspiration and exchange of ideas. This work was supported by internal funds from the Genetics Department, Rutgers University.

Author information

Affiliations

Authors

Corresponding author

Correspondence to Mary Konsolaki.

Additional information

[Cao W and Konsolaki M 2011 FKBP immunophilins and Alzheimer’s disease: A chaperoned affair. J. Biosci. 36 493–498] DOI 10.1007/s12038-011-9080-7

Rights and permissions

Reprints and Permissions

About this article

Cite this article

Cao, W., Konsolaki, M. FKBP immunophilins and Alzheimer’s disease: A chaperoned affair. J Biosci 36, 493–498 (2011). https://doi.org/10.1007/s12038-011-9080-7

Download citation

  • Published:

  • Issue Date:

  • DOI: https://doi.org/10.1007/s12038-011-9080-7

Keywords

  • Alzheimer’s disease
  • amyloid precursor protein
  • beta amyloid
  • FKBP
  • FK506
  • immunophilins
  • tau