Skip to main content

The Neuroprotective Effect of Erythropoietin on Rotenone-Induced Neurotoxicity in SH-SY5Y Cells Through the Induction of Autophagy

Abstract

Currently, the autophagy pathway is thought to be important for the pathogenesis of Parkinson’s disease (PD), and the modulation of autophagy may be a novel strategy for the treatment of this disease. Erythropoietin (EPO) has been reported to have neuroprotective effects through anti-oxidative, anti-apoptotic, and anti-inflammatory mechanisms, and it has also been shown to modulate autophagy signaling in an oxygen toxicity model. Therefore, we investigated the effects of EPO on autophagy markers and evaluated its neuroprotective effect on rotenone-induced neurotoxicity. We adapted the rotenone-induced neurotoxicity model to SH-SY5Y cells as an in vitro model of PD. We measured cell viability using MTT and annexin V/propidium iodide assays and measured intracellular levels of reactive oxygen species. Immunofluorescence analysis was performed to measure the expression of LC3 and α-synuclein. Intracellular signaling proteins associated with autophagy were examined by immunoblot analysis. EPO mono-treatment increased the levels of mammalian target of rapamycin (mTOR)-independent/upstream autophagy markers, including Beclin-1, AMPK, and ULK-1. Rotenone treatment of SH-SY5Y cells reduced their viability, increased reactive oxygen species levels, and induced apoptosis and α-synuclein expression, and simultaneous exposure to EPO significantly reduced these effects. Rotenone enhanced mTOR expression and suppressed Beclin-1 expression, indicating suppression of the autophagy system. However, combined treatment with EPO restored Beclin-1 expression and decreased mTOR expression. EPO protects against rotenone-induced neurotoxicity in SH-SY5Y cells by enhancing autophagy-related signaling pathways. The experimental evidence for the EPO-induced neuroprotection against rotenone-induced dopaminergic neurotoxicity may significantly impact the development of future PD treatment strategies.

This is a preview of subscription content, access via your institution.

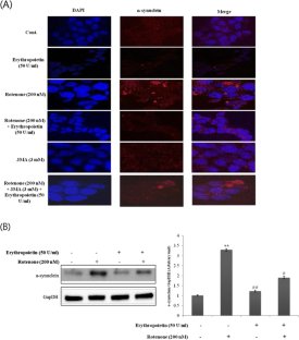
Fig. 1
Fig. 2
Fig. 3
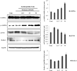
Fig. 4
Fig. 5
Fig. 6
Fig. 7
Fig. 8

References

  1. Dexter DT, Jenner P (2013) Parkinson disease: from pathology to molecular disease mechanisms. Free Radic Biol Med 62:132–144

    CAS  Article  PubMed  Google Scholar 

  2. Nutt JG, Wooten GF (2005) Diagnosis and initial management of Parkinson’s disease. N Engl Med 353:1021–1027

    CAS  Article  Google Scholar 

  3. Lipski J, Nistico R, Berretta N, Guatteo E, Bernardi G, Mercuri NB (2011) l-DOPA: a scapegoat for accelerated neurodegeneration in Parkinson’s disease? Prog Neurobiol 94:389–407

    CAS  Article  PubMed  Google Scholar 

  4. Schapira AV, Olanow C (2004) Neuroprotection in Parkinson disease: mysteries, myths, and misconceptions. JAMA 291:358–364

    CAS  Article  PubMed  Google Scholar 

  5. Banerjee R, Starkov AA, Beal MF, Thomas B (2009) Mitochondrial dysfunction in the limelight of Parkinson’s disease pathogenesis. Biochim Biophys Acta Mol Basis Dis 1792:651–663

    CAS  Article  Google Scholar 

  6. Eriksen JL, Wszolek Z, Petrucelli L (2005) Molecular pathogenesis of Parkinson disease. Arch Neurol 62:353–357

    Article  PubMed  Google Scholar 

  7. Jellinger KA (2012) Neuropathology of sporadic Parkinson’ disease: evaluation and changes of concepts. Mov Disord 27:8–30

    CAS  Article  PubMed  Google Scholar 

  8. Xilouri M, Brekk O, Stefanis L (2013) Alpha-synuclein and protein degradation systems: a reciprocal relationship. Mol Neurobiol 47:537–551

    CAS  Article  PubMed  Google Scholar 

  9. Xiong N, Xiong J, Jia M, Liu L, Zhang X, Chen Z, Huang J, Zhang Z et al (2013) The role of autophagy in Parkinson’s disease: rotenone-based modeling. Behav Brain Funct 9:1–12

    Article  Google Scholar 

  10. Glick D, Barth S, Macleod KF (2010) Autophagy: cellular and molecular mechanisms. J Pathol 221:3–12

    CAS  Article  PubMed  PubMed Central  Google Scholar 

  11. Lynch-Day MA, Mao K, Wang K, Zhao M, Klionsky DJ (2012) The role of autophagy in Parkinson’s disease. Cold Spring Harbor Perspect Med 2:a009357

    Article  Google Scholar 

  12. Tan C-C, Yu J-T, Tan M-S, Jiang T, Zhu X-C, Tan L (2014) Autophagy in aging and neurodegenerative diseases: implications for pathogenesis and therapy. Neurobiol Aging 35:941–957

    Article  PubMed  Google Scholar 

  13. Pan T, Kondo S, Le W, Jankovic J (2008) The role of autophagy-lysosome pathway in neurodegeneration associated with Parkinson’s disease. Brain 131:1969–1978

    Article  PubMed  Google Scholar 

  14. Pan T, Rawal P, Wu Y, Xie W, Jankovic J, Le W (2009) Rapamycin protects against rotenone-induced apoptosis through autophagy induction. Neuroscience 164:541–551

    CAS  Article  PubMed  Google Scholar 

  15. Winslow AR, Rubinsztein DC (2011) The Parkinson disease protein alpha-synuclein inhibits autophagy. Autophagy 7:429–431

    Article  PubMed  PubMed Central  Google Scholar 

  16. Jang W, Kim HJ, Li H, Jo KD, Lee MK, Song SH, Yang HO (2014) 1,25-Dyhydroxyvitamin D3 attenuates rotenone-induced neurotoxicity in SH-SY5Y cells through induction of autophagy. Biochem Biophys Res Commun 451:142–147

    CAS  Article  PubMed  Google Scholar 

  17. Jelkmann W (1992) Erythropoietin: structure, control of production, and function. Physiol Rev 72:449–489

    CAS  PubMed  Google Scholar 

  18. Brines M, Cerami A (2005) Emerging biological roles for erythropoietin in the nervous system. Nat Rev Neurosci 6:484–494

    CAS  Article  PubMed  Google Scholar 

  19. Adamcio B, Sargin D, Stradomska A, Medrihan L, Gertler C, Theis F, Zhang M, Muller M et al (2008) Erythropoietin enhances hippocampal long-term potentiation and memory. BMC Biol 6:37

    Article  PubMed  PubMed Central  Google Scholar 

  20. Signore AP, Weng Z, Hastings T, Van Laar AD, Liang Q, Lee YJ, Chen J (2006) Erythropoietin protects against 6-hydroxydopamine-induced dopaminergic cell death. J Neurochem 96:428–443

    CAS  Article  PubMed  Google Scholar 

  21. Kawakami M, Sekiguchi M, Sato K, Kozaki S, Takahashi M (2001) Erythropoietin receptor-mediated inhibition of exocytotic glutamate release confers neuroprotection during chemical ischemia. J Biol Chem 276:39469–39475

    CAS  Article  PubMed  Google Scholar 

  22. Digicaylioglu M, Lipton S (2001) Erythropoietin-mediated neuroprotection involves cross-talk between Jak2 and NF-kappaB signalling cascades. Nature 412:641–647

    CAS  Article  PubMed  Google Scholar 

  23. Kanaan NM, Collier TJ, Marchionini DM, McGuire SO, Fleming MF, Sortwell CE (2006) Exogenous erythropoietin provides neuroprotection of grafted dopamine neurons in a rodent model of Parkinson’s disease. Brain Res 1068:221–229

    CAS  Article  PubMed  Google Scholar 

  24. Xue YQ, Zhao LR, Guo WP, Duan WM (2007) Intrastriatal administration of erythropoietin protects dopaminergic neurons and improves neurobehavioral outcome in a rat model of Parkinson’s disease. Neuroscience 146:1245–1258

    CAS  Article  PubMed  Google Scholar 

  25. Jang W, Park J, Shin KJ, Kim J-S, Kim JS, Youn J, Cho JW, Oh E et al (2014) Safety and efficacy of recombinant human erythropoietin treatment of non-motor symptoms in Parkinson’s disease. J Neurol Sci 337:47–54

    CAS  Article  PubMed  Google Scholar 

  26. Pedroso I, Bringas ML, Aguiar A, Morales L, Alvarez M, Valdés PA, Alvarez L (2012) Use of Cuban recombinant human erythropoietin in Parkinson’s disease treatment. MEDICC Rev 14:11–17

    PubMed  Google Scholar 

  27. Bendix I, Schulze C, Haefen C, Gellhaus A, Endesfelder S, Heumann R, Felderhoff-Mueser U, Sifringer M (2012) Erythropoietin modulates autophagy signaling in the developing rat brain in an in vivo model of oxygen-toxicity. Int J Mol Sci 13:12939–12951

    CAS  Article  PubMed  PubMed Central  Google Scholar 

  28. Yu Y et al (2013) Erythropoietin protects epithelial cells from excessive autophagy and apoptosis in experimental neonatal necrotizing enterocolitis. PLoS One 8:e69620

    CAS  Article  PubMed  PubMed Central  Google Scholar 

  29. Xilouri M, Vogiatzi T, Stefanis L (2008) Alpha-synuclein degradation by autophagic pathways: a potential key to Parkinson’s disease pathogenesis. Autophagy 4:917–919

    CAS  Article  PubMed  Google Scholar 

  30. Xilouri M, Brekk OR, Kirik D, Stefanis L (2013) LAMP2A as a therapeutic target in Parkinson disease. Autophagy 9:2166–2168

    CAS  Article  PubMed  Google Scholar 

  31. Xilouri M, Vogiatzi T, Vekrellis K, Park D, Stefanis L (2009) Aberrant alpha-synuclein confers toxicity to neurons in part through inhibition of chaperone-mediated autophagy. PLoS One 4:e5515

    Article  PubMed  PubMed Central  Google Scholar 

  32. Choubey V, Safiulina D, Vaarmann A, Cagalinec M, Wareski P, Kuum M, Zharkovsky A, Kaasik A (2011) Mutant A53T alpha-synuclein induces neuronal death by increasing mitochondrial autophagy. J Biol Chem 286:10814–10824

    CAS  Article  PubMed  PubMed Central  Google Scholar 

  33. Gassmann M, Heinicke K, Soliz J, Ogunshola O, Marti H, Hofer T, Grimm C, Heinicke I et al (2003) Non-erythroid functions of erythropoietin. Adv Exp Med Biol 543:323–330

    CAS  Article  PubMed  Google Scholar 

  34. Juul S (2004) Recombinant erythropoietin as a neuroprotective treatment: in vitro and in vivo models. Clin Perinatol 31:129–142

    CAS  Article  PubMed  Google Scholar 

  35. Ehrenreich H, Bartels C, Sargin D, Stawicki S, Krampe H (2008) Recombinant human erythropoietin in the treatment of human brain disease: focus on cognition. J Ren Nutr 18:146–153

    Article  PubMed  Google Scholar 

  36. Ehrenreich H, Fischer B, Norra C, Schellenberger F, Stender N, Stiefel M, Siren A, Paulus W et al (2007) Exploring recombinant human erythropoietin in chronic progressive multiple sclerosis. Brain 130:2577–2588

    Article  PubMed  Google Scholar 

  37. Kim J, Kundu M, Viollet B, Guan K-L (2011) AMPK and mTOR regulate autophagy through direct phosphorylation of Ulk1. Nat Cell Biol 13:132–141

    CAS  Article  PubMed  PubMed Central  Google Scholar 

  38. Roach PJ (2011) AMPK → ULK1 → Autophagy. Mol Cell Biol 31:3082–3084

    CAS  Article  PubMed  PubMed Central  Google Scholar 

  39. Park KH, Choi NY, Koh SH, Park HH, Kim YS, Kim MJ, Lee SJ, Yu HJ et al (2011) L-DOPA neurotoxicity is prevented by neuroprotective effects of erythropoietin. Neurotoxicology 32:879–887

    CAS  Article  PubMed  Google Scholar 

  40. Pattingre S, Tassa A, Qu X, Garuti R, Liang XH, Mizushima N, Packer M, Schneider MD et al (2005) Bcl-2 antiapoptotic proteins inhibit Beclin 1-dependent autophagy. Cell 122:927–939

    CAS  Article  PubMed  Google Scholar 

  41. Zhu Y, Zhao L, Liu L, Gao P, Tian W, Wang X, Jin H, Xu H et al (2010) Beclin 1 cleavage by caspase-3 inactivates autophagy and promotes apoptosis. Protein Cell 1:468–477

    CAS  Article  PubMed  PubMed Central  Google Scholar 

  42. Li N, Ragheb K, Lawler G, Sturgis J, Rajwa B, Melendez JA, Robinson JP (2003) Mitochondrial complex I inhibitor rotenone induces apoptosis through enhancing mitochondrial reactive oxygen species production. J Biol Chem 278:8516–8525

    CAS  Article  PubMed  Google Scholar 

  43. Gibson SB (2013) Investigating the role of reactive oxygen species in regulating autophagy. Methods Enzymol 528:217–235

    CAS  Article  PubMed  Google Scholar 

  44. Lee SJ (2003) Alpha-synuclein aggregation: a link between mitochondrial defects and Parkinson’s disease? Antioxid Redox Signal 5:337–348

    CAS  Article  PubMed  Google Scholar 

  45. Webb JL, Ravikumar B, Atkins J, Skepper JN, Rubinsztein DC (2003) α-Synuclein is degraded by both autophagy and the proteasome. J Biol Chem 278:25009–25013

    CAS  Article  PubMed  Google Scholar 

  46. Sridhar S, Botbol Y, Macian F, Cuervo AM (2012) Autophagy and disease: always two sides to a problem. J Pathol 226:255–273

    Article  PubMed  Google Scholar 

  47. Barmada SJ, Serio A, Arjun A, Bilican B, Daub A, Ando DM, Tsvetkov A, Pleiss M et al (2014) Autophagy induction enhances TDP43 turnover and survival in neuronal ALS models. Nat Chem Biol 10:677–685

    CAS  Article  PubMed  PubMed Central  Google Scholar 

  48. Martin DD, Ladha S, Ehrnhoefer DE, Hayden MR (2015) Autophagy in Huntington disease and huntingtin in autophagy. Trends Neurosci 38:26–35

    CAS  Article  PubMed  Google Scholar 

Download references

Acknowledgments

This research was financially sponsored by Hanmi Pharmaceutical Co, Ltd through Foundation for Industry Cooperation, University of Ulsan (2015-0598). However, the study was investigator initiated, and the sponsor had no involvement in the study design, in the collection, analysis, and interpretation of data, and in the writing the manuscript. Hanmi Pharmaceutical also had no input into the decision to submit this article for publication. The authors had full access to all the data in the study, and the corresponding author had the final responsibility to submit the manuscript for publication.

This work was also funded by Korea Institute of Science and Technology Natural Products Research Center, and the Bio-Synergy Research Project (NRF-2012M3A9C4048793) of the Ministry of Science, ICT, and Future Planning of the government of the Republic of Korea.

Conflict of Interest

Neither any of the authors have anything to disclose regarding this manuscript nor do they have any potential conflicts of interest to report concerning this article.

Author information

Affiliations

Authors

Corresponding authors

Correspondence to Wooyoung Jang or Hyun Ok Yang.

Additional information

Wooyoung Jang and Hee Ju Kim contributed equally to this work.

Rights and permissions

Reprints and Permissions

About this article

Verify currency and authenticity via CrossMark

Cite this article

Jang, W., Kim, H.J., Li, H. et al. The Neuroprotective Effect of Erythropoietin on Rotenone-Induced Neurotoxicity in SH-SY5Y Cells Through the Induction of Autophagy. Mol Neurobiol 53, 3812–3821 (2016). https://doi.org/10.1007/s12035-015-9316-x

Download citation

  • Received:

  • Accepted:

  • Published:

  • Issue Date:

  • DOI: https://doi.org/10.1007/s12035-015-9316-x

Keywords

  • Erythropoietin
  • Parkinson’s disease
  • Autophagy
  • Neuroprotection