Skip to main content

Cloning, Expression, Purification, and Characterization of a Novel Esterase from Lactobacillus plantarum

Abstract

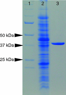
Lactobacillus plantarum is an important lactic acid bacterium, usually found as natural inhabitant of food, such as fermented vegetables and meat products. However, little information about lactic acid bacteria, especially concerning L. plantarum, as a source of useful enzymes has been reported. The aim of this study was to clone, express in Escherichia coli, purify, and characterize an esterase from L. plantarum ATCC 8014. The esterase gene (1014 bp) was amplified and cloned in pET14b expression vector to express a His6-tagged protein in E. coli. Recombinant L. plantarum esterase was purified by Ni-NTA resin, presenting an apparent molecular mass of about 38 kDa. It presented highest activity at pH 6.0 and 40°C. Also, it presented preference for p-nitrophenyl butyrate, but hydrolyzed more efficiently p-nitrophenyl acetate. Besides, this study shows, for the first time, CD data about secondary structure of an esterase from L. plantarum.

This is a preview of subscription content, access via your institution.

Fig. 1
Fig. 2
Fig. 3
Fig. 4
Fig. 5

References

  1. Choi, Y. J., Miguez, C. M., & Lee, B. H. (2004). Characterization and heterologous gene expression of a novel esterase from Lactobacillus casei CL96. Applied and Environmental Microbiology, 70, 3213–3221.

    Article  CAS  Google Scholar 

  2. Hasan, F., Shah, A. A., & Hameed, A. (2006). Industrial applications of microbial lipases. Enzyme and Microbial Technology, 39, 235–251.

    Article  CAS  Google Scholar 

  3. Bornscheuer, U. T. (2002). Microbial carboxyl esterases: Classification, properties and application in biocatalysis. FEMS Microbiology Reviews, 26, 73–81.

    Article  CAS  Google Scholar 

  4. Fenster, K. M., Parkin, K. L., & Steele, J. L. (2000). Characterization of an arylesterase from Lactobacillus helveticus CNRZ32. Journal of Applied Microbiology, 88, 572–583.

    Article  CAS  Google Scholar 

  5. Lopes, M. F. S., Leita, A. L., Regalla, M., Marques, J. J. F., Carrondo, M. J. T., & Crespo, M. T. B. (2002). Characterization of a highly thermostable extracellular lipase from Lactobacillus plantarum. International Journal of Food Microbiology, 76, 107–115.

    Article  CAS  Google Scholar 

  6. Rhee, J. K., Ahn, D. G., Kim, Y. G., & Oh, J. W. (2005). New thermophilic and thermostable esterase with sequence similarity to the hormone-sensitive lipase family, cloned from a metagenomic library. Applied and Environmental Microbiology, 71, 817–825.

    Article  CAS  Google Scholar 

  7. Yao, H., Yu, S., Zhang, L., Zuo, K., Ling, H., Zhang, F., et al. (2008). Isolation of a novel lipase gene from Serratia liquefaciens S33 DB-1, functional expression in Pichia pastoris and its properties. Molecular Biotechnology, 38, 99–107.

    Article  CAS  Google Scholar 

  8. Soliman, N. A., Knoll, M., Abdel-Fattah, Y. R., Schmid, R. D., & Lange, S. (2007). Molecular cloning and characterization of thermostable esterase and lipase from Geobacillus thermoleovorans YN isolated from desert soil in Egypt. Process Biochemistry, 42, 1090–1100.

    Article  CAS  Google Scholar 

  9. Quintana-Castro, R., Díaz, P., Gerardo Valerio-Alfaro, G., Hugo, S., García, H. S., & Rosamaría Oliart-Ros, R. (2009). Gene cloning, expression, and characterization of the Geobacillus thermoleovorans CCR11 thermoalkaliphilic lipase. Molecular Biotechnology, 42, 75–83.

    Article  CAS  Google Scholar 

  10. Brod, F. C. A., Pelisser, M. R., Bertoldo, J. B., Vernal, J., Bloch, C., Jr., Terenzi, H., & Arisi, A. C. M. (2009). Heterologous expression and purification of a heat-tolerant Staphylococcus xylosus lipase. Molecular Biotechnology. doi:10.1007/s12033-009-9218-0.

  11. Lopes, M. F. S., Cunha, A. E., Clemente, J. J., Carrondo, M. J. T., & Crespo, M. T. B. (1999). Influence of environmental factors on lipase production by Lactobacillus plantarum. Applied Microbiology and Biotechnology, 51, 249–254.

    Article  Google Scholar 

  12. Gobbetti, M., Fox, P. F., Smacchi, E., Stepaniak, L., & Damiani, P. (1996). Purification and characterization of a lipase from Lactobacillus plantarum 2739. Journal of Food Biochemistry, 20, 227–246.

    Article  CAS  Google Scholar 

  13. Kleerebezem, M., Boekhorst, J., van Kranenburg, R., Molenaar, D., Kuipers, O. P., & Leer, R. (2003). Complete genome sequence of Lactobacillus plantarum WCFS1. Proceedings of the National Academy of Sciences, 100, 1990–1995.

    Article  CAS  Google Scholar 

  14. Maia, M. D. D., Heasley, A., Camargo De Morais, M. M., Melo, E. H. M., Morais, M. A., Jr, Ledingham, W. M., et al. (2001). Effect of culture conditions on lipase production by Fusarium solani in batch fermentation. Bioresource Technology, 76, 23–27.

    Article  CAS  Google Scholar 

  15. Sawitzki, M. C., Fiorentini, A. M., Brod, F. C. A., Tagliari, C., Bertol, T. M., Arisi, A. C. M., et al. (2007). Phenotypic characterization and species-specific PCR of promising starter culture strains of Lactobacillus plantarum isolated from naturally fermented sausages. Brazilian Journal of Microbiology, 38, 547–552.

    Article  Google Scholar 

  16. Svendsen, A. (2000). Lipase protein engineering. Biochimica et Biophysica Acta, 1543, 223–238.

    CAS  Google Scholar 

  17. Fenster, K. M., Perkin, K. L., & Steele, J. L. (2003). Intracellular esterase from Lactobacillus casei LILA: Nucleotide sequencing, purification and characterization. Journal of Dairy Science, 86, 1118–1129.

    CAS  Google Scholar 

  18. Gobbetti, M., Fox, P. F., & Stepaniak, L. (1997). Isolation and characterization of a tributyrin esterase from Lactobacillus plantarum 2739. Journal of Dairy Science, 80, 3099–3106.

    CAS  Article  Google Scholar 

  19. Kang, H. C., Kim, J. B., Lee, H. S., & Cho, K. J. (2008). Cloning and characterization of an esterase from Xanthomonas oryzae pv. oryzae. Journal of Applied Biology and Chemistry, 51, 95–101.

    Article  CAS  Google Scholar 

  20. Gupta, R., Gupta, N., & Rathi, P. (2004). Bacterial lipases: An overview of production, purification and biochemical properties. Applied Microbiology and Biotechnology, 64, 763–781.

    Article  CAS  Google Scholar 

  21. Müller-Santos, M., Souza, E. M., Pedrosa, F. O., Mitchell, D. A., Longhi, S., Carrière, F., et al. (2009). First evidence for the salt-dependent folding and activity of an esterase from halophilic archae Haloarcula marismortui. Biochimica et Biophysica Acta, 1791, 719–729.

    Google Scholar 

  22. Foglia, F., Mandrich, L., Pezzullo, M., Graziano, G., Barone, G., Rossi, M., et al. (2007). Role of N-terminal region for the conformational stability of esterase 2 from Alicyclobacillus acidocaldarius. Biophysical Chemistry, 127, 113–122.

    Article  CAS  Google Scholar 

  23. Whitmore, L., & Wallace, B. A. (2004). DICHROWEB, an online server for protein secondary structure analyses from circular dichroism spectroscopic data. Nucleic Acids Research, 32, W668–W673.

    Article  CAS  Google Scholar 

  24. Nardini, M., & Dijkstra, B. W. (1999). α/β hydrolase fold enzymes: The family keeps growing. Current Opinion in Structural Biology, 9, 732–737.

    Article  CAS  Google Scholar 

Download references

Acknowledgments

This study was financially supported by CNPq processes 476285/2007-0 and 552508/2007-1, and Rede Proteoma de Santa Catarina (FAPESC/FINEP/MCT). FCAB was recipient of a fellowship from CAPES, Ministry of Education, Brazil. JBB was recipient of a fellowship from CNPq, Ministry of Science and Technology, Brazil.

Author information

Affiliations

Authors

Corresponding author

Correspondence to Ana Carolina Maisonnave Arisi.

Electronic supplementary material

Below is the link to the electronic supplementary material.

Supplementary material 1 (DOC 145 kb)

Rights and permissions

Reprints and Permissions

About this article

Cite this article

Brod, F.C.A., Vernal, J., Bertoldo, J.B. et al. Cloning, Expression, Purification, and Characterization of a Novel Esterase from Lactobacillus plantarum . Mol Biotechnol 44, 242–249 (2010). https://doi.org/10.1007/s12033-009-9232-2

Download citation

  • Published:

  • Issue Date:

  • DOI: https://doi.org/10.1007/s12033-009-9232-2

Keywords

  • L. plantarum
  • Esterase
  • E. coli expression
  • Biochemical characterization
  • Circular dichroism