Skip to main content

Expression and Immunogenicity of Enterotoxigenic Escherichia coli Heat-Labile Toxin B Subunit in Transgenic Rice Callus

Abstract

Enterotoxigenic Escherichia coli is one of the leading causes of diarrhea in developing countries, and the disease may be fatal in the absence of treatment. Enterotoxigenic E. coli heat-labile toxin B subunit (LTB) can be used as an adjuvant, as a carrier of fused antigens, or as an antigen itself. The synthetic LTB (sLTB) gene, optimized for plant codon usage, has been introduced into rice cells by particle bombardment-mediated transformation. The integration and expression of the sLTB gene were observed via genomic DNA PCR and western blot analysis, respectively. The binding activity of LTB protein expressed in transgenic rice callus to GM1-ganglioside, a receptor for biologically active LTB, was confirmed by GM1-ELISA. Oral inoculation of mice with lyophilized transgenic rice calli containing LTB generated significant IgG antibody titers against bacterial LTB, and the sera of immunized mice inhibited the binding of bacterial LTB to GM1-ganglioside. Mice orally immunized with non-transgenic rice calli failed to generate detectable anti-LTB IgG antibody titers. Mice immunized with plant-produced LTB generated higher IgG1 antibody titers than IgG2a, indicating a Th2-type immune response. Mice orally immunized with lyophilized transgenic rice calli containing LTB elicited higher fecal IgA antibody titers than mice immunized with non-transgenic rice calli. These experimental results demonstrate that LTB proteins produced in transgenic rice callus and given to mice by oral administration induce humoral and secreted antibody immune responses. We suggest that transgenic rice callus may be suitable as a plant-based edible vaccine to provide effective protection against enterotoxigenic E. coli heat-labile toxin.

This is a preview of subscription content, access via your institution.

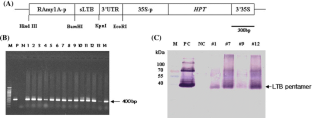
Fig. 1
Fig. 2
Fig. 3
Fig. 4

References

  1. Mekalanos, J. J., Swartz, D. J., Pearson, G. D., Harford, N., Groyne, F., & de Wilde, M. (1983). Cholera toxin genes: Nucleotide sequence, deletion analysis and vaccine development. Nature, 306, 551–557.

    Article  CAS  Google Scholar 

  2. Spangler, B. D. (1992). Structure and function of cholera toxin and the related Escherichia coli heat-labile enterotoxin. Microbiological Reviews, 56, 622–647.

    CAS  Google Scholar 

  3. Williams, N. A., Hirst, T. R., & Nashar, T. O. (1999). Immune modulation by the cholera-like enterotoxins: From adjuvant to therapeutic. Immunology Today, 20, 95–101.

    Article  CAS  Google Scholar 

  4. Bagdasarian, M. M., Nagai, M., Frey, J., & Bagdasarian, M. (1999). Immunogenicity of Actinobacillus ApxIA toxin epitopes fused to the E. coli heat-labile enterotoxin B subunit. Vaccine, 17, 441–447.

    Article  CAS  Google Scholar 

  5. Arakawa, T., Yu, J., Chong, D. K., Hough, J., Engen, P. C., & Langridge, W. H. (1998). A plant-based cholera toxin B subunit-insulin fusion protein protects against the development of autoimmune diabetes. Nature Biotechnology, 16, 934–938.

    Article  CAS  Google Scholar 

  6. Mason, H. S., Haq, T. A., Clements, J. D., & Arntzen, C. J. (1998). Edible vaccine protects mice against Escherichia coli heat-labile enterotoxin (LT): Potatoes expressing a synthetic LT-B gene. Vaccine, 16, 1336–1343.

    Article  CAS  Google Scholar 

  7. Yu, J., & Langridge, W. H. (2001). A plant-based multicomponent vaccine protects mice from enteric diseases. Nature Biotechnology, 19, 548–552.

    Article  CAS  Google Scholar 

  8. Tacket, C. O., Mason, H. S., Losonsky, G., Clements, J. D., Levine, M. M., & Arntzen, C. J. (1998). Immunogenicity in humans of a recombinant bacterial antigen delivered in a transgenic tuber. Nature Medicine, 4, 607–609.

    Article  CAS  Google Scholar 

  9. Holmgren, J., Lonnroth, I., Mansson, J., & Svennerholm, L. (1975). Interaction of the cholera toxin and membrane Gm1 ganglioside of small intestine. Proceedings of the National Academy of Sciences of the United States of America, 72, 2520–2524.

    Article  CAS  Google Scholar 

  10. Millar, D. G., Hirst, T. R., & Snider, D. P. (2001). Escherichia coli heat-labile enterotoxin B subunit is a more potent mucosal adjuvant than its closely related homologue, the B subunit of cholera toxin. Infection and Immunity, 69, 3476–3482.

    Article  CAS  Google Scholar 

  11. Mason, H. S., Ball, J. M., Shi, J. J., Jiang, X., Estes, M. K., & Arntzen, C. J. (1996). Expression of Norwalk virus capsid protein in transgenic tobacco and potato and its oral immunogenicity in mice. Proceedings of the National Academy of Sciences of the United States of America, 93, 5335–5340.

    Article  CAS  Google Scholar 

  12. Thanavala, Y., Yang, Y. F., Lyons, P., Mason, H. S., & Arntzen, C. J. (1995). Immunogenicity of transgenic plant-derived hepatitis B surface antigen. Proceedings of the National Academy of Sciences of the United States of America, 92, 3358–3361.

    Article  CAS  Google Scholar 

  13. Haq, T. A., Mason, H. S., Clements, J. D., & Arntzen, C. J. (1995). Oral immunization with a recombinant bacterial antigen produced in transgenic plants. Science, 268, 714–716.

    Article  CAS  Google Scholar 

  14. McGarvey, P. B., Hammond, J., Dienelt, M. M., Hooper, D. C., Fu, Z. F., Dietzschold, B., et al. (1995). Expression of the rabies virus glycoprotein in transgenic tomatoes. Biotechnology (N.Y.), 13, 1484–1487.

    Article  CAS  Google Scholar 

  15. Kim, T. G., & Langridge, W. H. (2004). Synthesis of an HIV-1 Tat transduction domain-rotavirus enterotoxin fusion protein in transgenic potato. Plant Cell Reports, 22, 382–387.

    Article  CAS  Google Scholar 

  16. Kim, T. G., Gruber, A., & Langridge, W. H. (2004). HIV-1 gp120 V3 cholera toxin B subunit fusion gene expression in transgenic potato. Protein Expression and Purification, 37, 196–202.

    Article  Google Scholar 

  17. Arakawa, T., Chong, D. K., Yu, J., Hough, J., Engen, P. C., Elliott, J. F., et al. (1999). Suppression of autoimmune diabetes by a plant-delivered cholera toxin B subunit-human glutamate decarboxylase fusion protein. Transgenics, 3, 51–60.

    CAS  Google Scholar 

  18. Mitchell, V. S., Philipose, N. M., & Sanford, J. P. (1993). The children’s vaccine initiative. Washington, DC: National Academy Press.

    Google Scholar 

  19. Yu, J., & Langridge, W. H. (2000). Novel approaches to oral vaccines: delivery of antigens by edible plants. Current Infectious Disease Reports, 2, 73–77.

    Article  Google Scholar 

  20. Kang, T. J., Loc, N. H., Jang, M. O., Jang, Y. S., Kim, Y. S., Seo, J. E., et al. (2003). Expression of the B subunit of E. coli heat-labile enterotoxin in the chloroplasts of plants and its characterization. Transgenic Research, 12, 683–691.

    Article  CAS  Google Scholar 

  21. Lauterslager, T. M. G., Florack, D. E. A., van der Wal, T. J., Molthoff, J. W., Langeveld, J. P., Bosch, D., et al. (2001). Oral immunization of naive and primed animals with transgenic potato tubers expressing LT-B. Vaccine, 21, 2749–2755.

    Article  Google Scholar 

  22. Streatfield, S. J., Lane, J. R., Brooks, C. A., Barker, D. K., Poage, M. L., Mayor, J. M., et al. (2003). Corn as a production system for human and animal vaccines. Vaccine, 21, 812–815.

    Article  CAS  Google Scholar 

  23. Kim, T. G., Kim, M. Y., Kim, B. G., Kang, T. J., Kim, Y. S., Jang, Y. S., et al. (2007). Synthesis and assembly of Escherichia coli heat-labile enterotoxin B subunit in transgenic lettuce (Lactuca sativa). Protein Expression and Purification, 51, 22–27.

    Article  CAS  Google Scholar 

  24. Moravec, T., Schmidt, M. A., Herman, E. M., & Woodford-Thomas, T. (2007). Production of Escherichia coli heat labile toxin (LT) B subunit in soybean seed and analysis of its immunogenicity as an oral vaccine. Vaccine, 25, 1647–1657.

    Article  CAS  Google Scholar 

  25. Jones, R. L., & Jacobsen, J. V. (1991). Regulation of synthesis and transport of secreted proteins in cereal aleurone. International Review of Cytology, 126, 49–88.

    Article  CAS  Google Scholar 

  26. Akazawa, T., Mitsui, T., & Hayashi, M. (1988). Recent progress in α-amylase biosynthesis. In J. Preiss (Ed.), The biochemistry of plants: A comprehensive treatise. New York: Academic Press.

    Google Scholar 

  27. Huang, J., Wu, L., Yalda, D., Adkins, Y., Kelleher, S. L., Crane, M., et al. (2002). Expression of functional recombinant human lysozyme in transgenic rice cell culture. Transgenic Research, 11, 229–239.

    Article  CAS  Google Scholar 

  28. Mitsui, T., Yamaguchi, J., & Akazawa, T. (1996). Physicochemical and serological characterization of rice a-amylase isoforms and identification of their corresponding genes. Plant Physiology, 110, 1395–1404.

    Article  CAS  Google Scholar 

  29. Itoh, K., Yamaguchi, J., Huang, N., Rodriguez, R. L., Akazawa, T., & Shimamoto, T. (1995). Developmental and hormonal regulation of rice [alpha]-amylase (RAmy1A)-gusA fusion genes in transgenic rice seeds. Plant Physiology, 107, 25–31.

    CAS  Google Scholar 

  30. Sheu, J. J., Yu, T. S., Tong, W. F., & Yu, S. M. (1996). Carbohydrate starvation stimulates differential expression of rice alpha-amylase genes that is modulated through complicated transcriptional and posttranscriptional process. Journal of Biological Chemistry, 271, 26998–27004.

    Article  CAS  Google Scholar 

  31. Kang, T. J., Han, S. C., Jang, M. O., Kang, K. H., Jang, Y. S., & Yang, M. S. (2004). Enhanced expression of B-subunit of Escherichia coli heat-labile enterotoxin in tobacco by optimization of coding sequence. Applied Biochemistry and Biotechnology, 117, 175–187.

    Article  CAS  Google Scholar 

  32. Chen, P. W., Lu, C. A., Yu, T. S., Tseng, T. H., Wang, C. S., & Yu, S. M. (2002). Rice alpha-amylase transcriptional enhancers direct multiple mode regulation of promoters in transgenic rice. Journal of Biological Chemistry, 19, 13641–13649.

    Article  Google Scholar 

  33. Chu, C. C., Wang, C. C., Sun, C. S., Hsu, C., Yin, K. C., & Chu, C. Y. (1975). Established an efficient medium for anther culture of rice though competitive experiments on the nitrogen sources. Scientia Sinica, 18, 659–668.

    Google Scholar 

  34. de Haan, L., Verweij, W. R., Feil, I. K., Holtrop, M., Hol, W. G., Agsteribbe, E., et al. (1998). Role of GM1 binding in the mucosal immunogenicity and adjuvant activity of the Escherichia coli heat-labile enterotoxin and its B subunit. Immunology, 94, 424–430.

    Article  Google Scholar 

  35. Lee, K. Y., Kim, D. H., Kang, T. J., Kim, J., Chung, G. H., Yoo, H. S., et al. (2006). Induction of protective immune responses against the challenge of Actinobacillus pleuropneumoniae by the oral administration of transgenic tobacco plant expressing ApxIIA toxin from the bacteria. FEMS Immunology and Medical Microbiology, 48, 381–389.

    Article  CAS  Google Scholar 

  36. Kim, T. G., Befus, N., & Langridge, W. H. R. (2004). Co-immunization with an HIV-1 Tat transduction peptide-rotavirus enterotoxin fusion protein stimulates Th1 mucosal immune response in mice. Vaccine, 22, 431–438.

    Article  CAS  Google Scholar 

  37. Jespersgaard, C., Hajishengallis, G., Greenway, T. E., Smith, D. J., Russell, M. W., & Michalek, S. M. (1999). Functional and immunogenic characterization of two cloned regions of Streptococcus mutans glucosyltransferase I. Infection and Immunity, 67, 810–816.

    CAS  Google Scholar 

  38. O’Neill, S. D., Kumagai, M. H., Majumdar, A., Huang, N., Sutliff, T. D., & Rodriguez, R. L. (1990) The alpha-amylase genes in Oryza sativa: Characterization of cDNA clones and mRNA expression during seed germination. Molecular and General Genetics, 221, 235–244.

    Google Scholar 

  39. Nochi, T., Takagi, H., Yuki, Y., Yang, L., Masumura, T., Mejima, M., et al. (2007). Rice-based mucosal vaccine as a global strategy for cold-chain- and needle-free vaccination. Proceedings of the National Academy of Sciences of the United States of America, 104, 10986–10991.

    Article  CAS  Google Scholar 

  40. Rosales-Mendoza, S., Soria-Guerra, R. E., Lopez-Revilla, R., Moreno-Fierros, L., & Alpuche-Solis, A. G. (2008). Ingestion of transgenic carrots expressing the Escherichia coli heat-labile enterotoxin B subunit protects mice against cholera toxin challenge. Plant Cell Reports, 27, 79–84.

    Article  CAS  Google Scholar 

  41. Shin, Y. J., Hong, S. Y., Kwon, T. H., Jang, Y. S., & Yang, M. S. (2003). High level of expression of recombinant human granulocyte-macrophage colony stimulating factor in transgenic rice cell suspension culture. Biotechnology and Bioengineering, 82, 778–783.

    Article  CAS  Google Scholar 

Download references

Acknowledgments

This study was supported by a grant from the Korea Research Foundation (KRF-2006-005-J03103).

Author information

Affiliations

Authors

Corresponding author

Correspondence to Moon-Sik Yang.

Rights and permissions

Reprints and Permissions

About this article

Cite this article

Kim, TG., Kim, BG., Kim, MY. et al. Expression and Immunogenicity of Enterotoxigenic Escherichia coli Heat-Labile Toxin B Subunit in Transgenic Rice Callus. Mol Biotechnol 44, 14 (2010). https://doi.org/10.1007/s12033-009-9200-x

Download citation

  • Received:

  • Accepted:

  • Published:

  • DOI: https://doi.org/10.1007/s12033-009-9200-x

Keywords

  • Enterotoxigenic E. coli heat-labile toxin B subunit
  • Transgenic rice callus
  • Rice amylase1A promoter
  • Edible vaccine