Skip to main content

Interference of Notch1 inhibits the growth of glioma cancer cells by inducing cell autophagy and down-regulation of Notch1–Hes-1 signaling pathway

Abstract

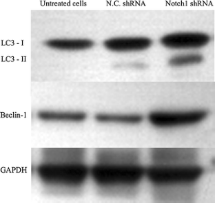
Glioma is the most common malignant tumors in adult brains, and Notch signaling pathway plays an important role in cell differentiation. The aim of the present study is to investigate the role of Notch1 in the progression of glioma cancers and clarify the mechanism of Notch1 silencing on inhibiting the proliferation of glioma cancer cells. First, endogenous Notch1 expression was interfered with a lentiviral vector of Notch1 shRNA. RT-PCR and western blotting were used for detecting the expression of Notch1 mRNA and protein, respectively. MTT assay results demonstrated that transfection with Notch1 shRNA and treatment with MRK003, a Notch1 inhibitor, both inhibited the proliferation of glioma cancer cells (p < 0.01). The lentiviral vector of Notch1 shRNA transfected into U251 cells induced cell cycle arrest at G0/G1 phase by FACS with PI staining analysis. Meanwhile, the expression levels of LC3-II and Beclin1 significantly increase in Notch1 shRNA-transfected U251 cells, suggesting that cell autophagy was induced when interfering with Notch1 in glioma cells. The downstream transcription factors were also detected by RT-PCR and western blotting analysis, and the data showed that interference with Notch1 increased the expression level of Hes-1, but not Hes-5. Taken together, all the data obviously revealed that Notch1 played an important role in the progression of glioma cancers. The clarification of the mechanism will be helpful for the diagnosis of glioma cancer and would provide new clues to molecular targets for cancer therapy.

This is a preview of subscription content, access via your institution.

Fig. 1
Fig. 2
Fig. 3
Fig. 4
Fig. 5
Fig. 6
Fig. 7

References

  1. Wheeler CJ, Black KL, Liu G, Ying H, Yu JS, Zhang W, Lee PK. Thymic CD8+ T cell production strongly influences tumor antigen recognition and age-dependent glioma mortality. J Immunol. 2003;171(9):4927–33.

    Article  CAS  PubMed  Google Scholar 

  2. Zhang H, Ma L, Wang Q, Zheng X, Wu C, Xu BN. Role of magnetic resonance spectroscopy for the differentiation of recurrent glioma from radiation necrosis: a systematic review and meta-analysis. Eur J Radiol. 2014;83(12):2181–9.

    Article  PubMed  Google Scholar 

  3. Siu A, Wind JJ, Iorgulescu JB, Chan TA, Yamada Y, Sherman JH. Radiation necrosis following treatment of high grade glioma—a review of the literature and current understanding. Acta Neurochir (Wien). 2012;154(2):191–201 ; discussion 201.

    Article  Google Scholar 

  4. Mur P, Mollejo M, Hernandez-Iglesias T, de Lope AR, Castresana JS, Garcia JF, Fiano C, Ribalta T, Rey JA, Melendez B. Molecular classification defines 4 prognostically distinct glioma groups irrespective of diagnosis and grade. J Neuropathol Exp Neurol. 2015;74(3):241–9.

    Article  CAS  PubMed  Google Scholar 

  5. Jakab A, Molnar P, Emri M, Berenyi E. Glioma grade assessment by using histogram analysis of diffusion tensor imaging-derived maps. Neuroradiology. 2011;53(7):483–91.

    Article  PubMed  Google Scholar 

  6. Castro MG, Cowen R, Smith-Arica J, Williams J, Ali S, Windeatt S, Gonzalez-Nicolini V, Maleniak T, Lowenstein PR. Gene therapy strategies for intracranial tumours: glioma and pituitary adenomas. Histol Histopathol. 2000;15(4):1233–52.

    CAS  PubMed  Google Scholar 

  7. Yang QY, Shen D, Sai K, Jiang XB, Ke C, Zhang XH, Mou YG, Chen ZP. Survival of newly diagnosed malignant glioma patients on combined modality therapy. Zhonghua yi xue za zhi. 2013;93(1):8–10.

    PubMed  Google Scholar 

  8. Takahashi H, Teramoto A. Trial of targeting therapy against malignant glioma using monoclonal antibody. J Nippon Med Sch. 2004;71(1):2–3.

    Article  PubMed  Google Scholar 

  9. Suresh S, Irvine AE. The NOTCH signaling pathway in normal and malignant blood cell production. J Cell Commun Signal. 2015. doi:10.1007/s12079-015-0271-0.

    PubMed Central  PubMed  Google Scholar 

  10. Felszeghy S, Suomalainen M, Thesleff I. Notch signalling is required for the survival of epithelial stem cells in the continuously growing mouse incisor. Differentiation. 2010;80(4–5):241–8.

    Article  CAS  PubMed  Google Scholar 

  11. McKenzie G, Ward G, Stallwood Y, Briend E, Papadia S, Lennard A, Turner M, Champion B, Hardingham GE. Cellular Notch responsiveness is defined by phosphoinositide 3-kinase-dependent signals. BMC Cell Biol. 2006;7:10.

    Article  PubMed Central  PubMed  Google Scholar 

  12. Zagouras P, Stifani S, Blaumueller CM, Carcangiu ML, Artavanis-Tsakonas S. Alterations in Notch signaling in neoplastic lesions of the human cervix. Proc Natl Acad Sci USA. 1995;92(14):6414–8.

    Article  PubMed Central  CAS  PubMed  Google Scholar 

  13. Gray GE, Mann RS, Mitsiadis E, Henrique D, Carcangiu ML, Banks A, Leiman J, Ward D, Ish-Horowitz D, Artavanis-Tsakonas S. Human ligands of the Notch receptor. Am J Pathol. 1999;154(3):785–94.

    Article  PubMed Central  CAS  PubMed  Google Scholar 

  14. Alniaimi AN, Demorest-Hayes K, Alexander VM, Seo S, Yang D, Rose S. Increased Notch1 expression is associated with poor overall survival in patients with ovarian cancer. Int J Gynecol Cancer. 2015;25(2):208–13.

    Article  PubMed  Google Scholar 

  15. Nguyen D, Rubinstein L, Takebe N, Miele L, Tomaszewski JE, Ivy P, Doroshow JH, Yang SX. Notch1 phenotype and clinical stage progression in non-small cell lung cancer. J Hematol Oncol. 2015;8(1):9.

    Article  PubMed Central  PubMed  Google Scholar 

  16. Hsu KW, Hsieh RH, Huang KH, Fen-Yau Li A, Chi CW, Wang TY, Tseng MJ, Wu KJ, Yeh TS. Activation of the Notch1/STAT3/Twist signaling axis promotes gastric cancer progression. Carcinogenesis. 2012;33(8):1459–67.

    Article  CAS  PubMed  Google Scholar 

  17. Nishitani H, Sugimoto N, Roukos V, Nakanishi Y, Saijo M, Obuse C, Tsurimoto T, Nakayama KI, Nakayama K, Fujita M, et al. Two E3 ubiquitin ligases, SCF–Skp2 and DDB1–Cul4, target human Cdt1 for proteolysis. EMBO J. 2006;25(5):1126–36.

    Article  PubMed Central  CAS  PubMed  Google Scholar 

  18. Peng L, Xu Z, Zhou Y, Yang T, Liang ZQ, Zhang M. Effect of rosiglitazone on cells cycle, apoptosis and expression of Skp2 and p27Kip1 in hepatocellular carcinoma cell line. Zhonghua Gan Zang Bing Za Zhi. 2010;18(2):148–9.

    CAS  PubMed  Google Scholar 

  19. Schulman BA, Carrano AC, Jeffrey PD, Bowen Z, Kinnucan ER, Finnin MS, Elledge SJ, Harper JW, Pagano M, Pavletich NP. Insights into SCF ubiquitin ligases from the structure of the Skp1–Skp2 complex. Nature. 2000;408(6810):381–6.

    Article  CAS  PubMed  Google Scholar 

  20. Lee JS, Ishimoto A, Honjo T, Yanagawa S. Murine leukemia provirus-mediated activation of the Notch1 gene leads to induction of HES-1 in a mouse T lymphoma cell line, DL-3. FEBS Lett. 1999;455(3):276–80.

    Article  CAS  PubMed  Google Scholar 

  21. Kunnimalaiyaan M, Yan S, Wong F, Zhang YW, Chen H. Hairy enhancer of split-1 (HES-1), a Notch1 effector, inhibits the growth of carcinoid tumor cells. Surgery. 2005;138(6):1137–42 ; discussion 1142.

    Article  PubMed  Google Scholar 

  22. Du X, Zhang S, Cheng Z, Li Y, Wang Z, Chen Z, Hu J, Zhou Z. Effect of Notch1 signaling pathway activation on pancreatic cancer cell proliferation in vitro. J South Med Univ. 2013;33(10):1494–8.

    CAS  Google Scholar 

  23. Sainson RC, Harris AL. Regulation of angiogenesis by homotypic and heterotypic notch signalling in endothelial cells and pericytes: from basic research to potential therapies. Angiogenesis. 2008;11(1):41–51.

    Article  CAS  PubMed  Google Scholar 

  24. Tohda S, Murata-Ohsawa M, Sakano S, Nara N. Notch ligands, Delta-1 and Delta-4 suppress the self-renewal capacity and long-term growth of two myeloblastic leukemia cell lines. Int J Oncol. 2003;22(5):1073–9.

    CAS  PubMed  Google Scholar 

  25. Singh N, Phillips RA, Iscove NN, Egan SE. Expression of notch receptors, notch ligands, and fringe genes in hematopoiesis. Exp Hematol. 2000;28(5):527–34.

    Article  CAS  PubMed  Google Scholar 

  26. Purow BW, Haque RM, Noel MW, Su Q, Burdick MJ, Lee J, Sundaresan T, Pastorino S, Park JK, Mikolaenko I, et al. Expression of Notch-1 and its ligands, Delta-like-1 and Jagged-1, is critical for glioma cell survival and proliferation. Cancer Res. 2005;65(6):2353–63.

    Article  CAS  PubMed  Google Scholar 

  27. Hoyne GF, Chapman G, Sontani Y, Pursglove SE, Dunwoodie SL. A cell autonomous role for the Notch ligand Delta-like 3 in alphabeta T-cell development. Immunol Cell Biol. 2011;89(6):696–705.

    Article  CAS  PubMed  Google Scholar 

  28. Foldi J, Chung AY, Xu H, Zhu J, Outtz HH, Kitajewski J, Li Y, Hu X, Ivashkiv LB. Autoamplification of Notch signaling in macrophages by TLR-induced and RBP-J-dependent induction of Jagged1. J Immunol. 2010;185(9):5023–31.

    Article  PubMed Central  CAS  PubMed  Google Scholar 

  29. Ikeuchi T, Sisodia SS. The Notch ligands, Delta1 and Jagged2, are substrates for presenilin-dependent “gamma-secretase” cleavage. J Biol Chem. 2003;278(10):7751–4.

    Article  CAS  PubMed  Google Scholar 

  30. Yoon SO, Zhang X, Berner P, Blom B, Choi YS. Notch ligands expressed by follicular dendritic cells protect germinal center B cells from apoptosis. J Immunol. 2009;183(1):352–8.

    Article  CAS  PubMed  Google Scholar 

  31. Sanalkumar R, Indulekha CL, Divya TS, Divya MS, Anto RJ, Vinod B, Vidyanand S, Jagatha B, Venugopal S, James J. ATF2 maintains a subset of neural progenitors through CBF1/Notch independent Hes-1 expression and synergistically activates the expression of Hes-1 in Notch-dependent neural progenitors. J Neurochem. 2010;113(4):807–18.

    Article  CAS  PubMed  Google Scholar 

  32. Jin LF, Ji SH, Yang JF, Ji WZ. Notch signaling dependent differentiation of cholangiocyte-like cells from rhesus monkey embryonic stem cells. Zool Res. 2011;32(4):391–5.

    PubMed  Google Scholar 

Download references

Acknowledgments

The work was supported by the Natural Science Foundation of Hebei Province (No. 2012201136) and Medical Science Special Foundation of Hebei University (No. 2012B2004).

Conflict of interest

None.

Author information

Affiliations

Authors

Corresponding author

Correspondence to Xiaosong Shan.

Rights and permissions

Reprints and Permissions

About this article

Verify currency and authenticity via CrossMark

Cite this article

Yao, J., Zheng, K., Li, C. et al. Interference of Notch1 inhibits the growth of glioma cancer cells by inducing cell autophagy and down-regulation of Notch1–Hes-1 signaling pathway. Med Oncol 32, 174 (2015). https://doi.org/10.1007/s12032-015-0610-2

Download citation

  • Received:

  • Accepted:

  • Published:

  • DOI: https://doi.org/10.1007/s12032-015-0610-2

Keywords

  • Glioma cancer
  • Notch1
  • Hes-1
  • MRK003
  • Cell autophagy