Skip to main content

Clinical significance of Wnt-11 and squamous cell carcinoma antigen expression in cervical cancer

Abstract

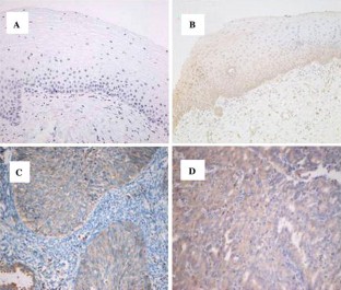
The purpose of the study was to determine the expression patterns of Wnt-11 and squamous cell carcinoma antigen in cervical cancer tissues and to explore their clinical significance and correlation with clinicopathological parameters. The expression of Wnt-11 and squamous cell carcinoma antigen was detected in 127 cervical cancer tissues, 21 cervical intraepithelial neoplasia, as well as in 20 healthy controls by immunohistochemistry, and the relationship of Wnt-11 and squamous cell carcinoma antigen expression with clinicopathological parameters was analyzed. Both Wnt-11 and squamous cell carcinoma antigen were more commonly expressed in cervical cancer than in cervical intraepithelial neoplasia and in normal cervical tissue (respectively; P < 0.05); further, Wnt-11 and squamous cell carcinoma antigen expression in cervical cancer were positively correlated (r = 0.271, P < 0.05). In comparing the expression with clinicopathological parameters of tumor samples, Wnt-11 and squamous cell carcinoma antigen were both associated with FIGO stage, lymph node metastasis, and tumor size (P < 0.05), but not with patient age, pathological type, or differentiation. Increased Wnt-11 protein levels in cervical carcinoma samples were associated with a poor outcome in univariate and multivariate analysis. Wnt-11 and squamous cell carcinoma antigen are related to the malignancy degree and metastasis of cervical cancer, and thus may play a coordinating role in the occurrence and progression of cervical cancer. The study indicated that Wnt-11 may be a useful prognostic indicator for cervical carcinoma.

This is a preview of subscription content, access via your institution.

Fig. 1
Fig. 2

References

  1. Singh M, Tyagi S, Bhui K, Prasad S, Shukla Y. Regulation of cell growth through cell cycle arrest and apoptosis in HPV 16 positive human cervical cancer cells by tea polyphenols. Invest New Drugs. 2010;28:216–24.

    PubMed  Article  Google Scholar 

  2. Zur Hausen H. Papillomaviruses and cancer: from basic studies to clinical application. Nat Rev Cancer. 2002;2:342–50.

    CAS  PubMed  Article  Google Scholar 

  3. Uren A, Fallen S, Yuan H, Usubütün A, Küçükali T, Schlegel R, Toretsky JA. Activation of the canonical Wnt pathway during genital keratinocyte transformation: a model for cervical cancer progression. Cancer Res. 2005;65:6199–206.

    PubMed  Article  Google Scholar 

  4. Perez-Plasencia C, Duenas-Gonzalez A, Alatorre-Tavera B. Second hit in cervical carcinogenesis process: involvement of wnt/beta catenin pathway. Int Arch Med. 2008;1:10.

    PubMed Central  PubMed  Article  Google Scholar 

  5. Klaus A, Birchmeier W. Wnt signalling and its impact on development and cancer. Nat Rev Cancer. 2008;8:387–98.

    CAS  PubMed  Article  Google Scholar 

  6. Logan CY, Nusse R. The Wnt signaling pathway in development and disease. Annu Rev Cell Dev Biol. 2004;20:781–810.

    CAS  PubMed  Article  Google Scholar 

  7. Ouko L, Ziegler TR, Gu LH, Eisenberg LM, Yang VW. Wnt11 signaling promotes proliferation, transformation, and migration of IEC6 intestinal epithelial cells. J Biol Chem. 2004;279:26707–15.

    CAS  PubMed Central  PubMed  Article  Google Scholar 

  8. Uysal-Onganer P, Kawano Y, Caro M, Walker MM, Diez S, Darrington RS, Waxman J, Kypta RM. Wnt-11 promotes neuroendocrine-like differentiation, survival and migration of prostate cancer cells. Mol Cancer. 2010;9:55.

    PubMed Central  PubMed  Article  Google Scholar 

  9. Zhu H, Mazor M, Kawano Y, Walker MM, Leung HY, Armstrong K, Waxman J, Kypta RM. Analysis of Wnt gene expression in prostate cancer: mutual inhibition by WNT11 and the androgen receptor. Cancer Res. 2004;64:7918–26.

    CAS  PubMed  Article  Google Scholar 

  10. Esajas MD, Duk JM, de Bruijn HW, Aalders JG, Willemse PH, Sluiter W, Pras B, ten Hoor K, Hollema H, van der Zee AG. Clinical value of routine serum squamous cell carcinoma antigen in follow-up of patients with early-stage cervical cancer. J Clin Oncol. 2001;19:3960–6.

    CAS  PubMed  Google Scholar 

  11. Pras E, Willemse PH, Canrinus AA, de Bruijn HW, Sluiter WJ, ten Hoor KA, Aalders JG, Szabo BG, de Vries EG. Serum squamous cell carcinoma antigen and CYFRA 21-1 in cervical cancer treatment. Int J Radiat Oncol Biol Phys. 2002;52:23–32.

    CAS  PubMed  Article  Google Scholar 

  12. Yuan SH, Liang XF, Jia WH, Huang JL, Wei M, Deng L, Liang LZ, Wang XY, Zeng YX. Molecular diagnosis of sentinel lymph node metastases in cervical cancer using squamous cell carcinoma antigen. Clin Cancer Res. 2008;14:5571–8.

    CAS  PubMed  Article  Google Scholar 

  13. Yuan CC, Wang PH, Ng HT, Tsai LC, Juang CM, Chiu LM. Both TPA and SCC-Ag levels are prognostic even in high-risk stage Ib-IIa cervical carcinoma as determined by a stratification analysis. Eur J Gynaecol Oncol. 2002;23:17–20.

    CAS  PubMed  Google Scholar 

  14. Molina R, Filella X, Lejarcegui JA, Pahisa J, Torné A, Rovirosa A, Mellado B, Ordi J, Puig-Tintore LM, Alicarte J, Biete A, Iglesias J. Prospective evaluation of squamous cell carcinoma and carcinoembryonic antigen as prognostic factors in patients with cervical cancer. Tumour Biol. 2003;24:156–64.

    CAS  PubMed  Article  Google Scholar 

  15. Reesink-Peters N, van der Velden J, Ten Hoor KA, Boezen HM, de Vries EG, Schilthuis MS, Mourits MJ, Nijman HW, Aalders JG, Hollema H, Pras E, Duk JM, van der Zee AG. Preoperative serum squamous cell carcinoma antigen levels in clinical decision making for patients with early-stage cervical cancer. J Clin Oncol. 2005;23:1455–62.

    PubMed  Article  Google Scholar 

  16. Porika M, Vemunoori AK, Tippani R, Mohammad A, Bollam SR, Abbagani S. Squamous cell carcinoma antigen and cancer antigen 125 in southern Indian cervical cancer patients. Asian Pac J Cancer Prev. 2010;11:1745–7.

    PubMed  Google Scholar 

  17. Lin Z, Reierstad S, Huang CC, Bulun SE. Novel estrogen receptor-alpha binding sites and estradiol target genes identified by chromatin immunoprecipitation cloning in breast cancer. Cancer Res. 2007;67:5017–24.

    CAS  PubMed  Article  Google Scholar 

  18. Hashimoto K, Yonemori K, Katsumata N, Hirakawa A, Hirata T, Yamamoto H, Shimizu C, Tamura K, Ando M, Fujiwara Y. Use of squamous cell carcinoma antigen as a biomarker of chemotherapy response in patients with metastatic cervical carcinoma. Eur J Obstet Gynecol Reprod Biol. 2011;159:394–8.

    CAS  PubMed  Article  Google Scholar 

  19. Mochmann LH, Bock J, Ortiz-Tánchez J, Schlee C, Bohne A, Neumann K, Hofmann WK, Thiel E, Baldus CD. Genome-wide screen reveals WNT11, a non-canonical WNT gene, as a direct target of ETS transcription factor ERG. Oncogene. 2011;30:2044–56.

    CAS  PubMed  Article  Google Scholar 

Download references

Acknowledgments

This work was supported by the National Nature Science Foundation of China (Grant No 81372776, Grant No 81202047), the Higher Specialized Research Fund for the Doctoral Program (Grant No 20122104110014), the Science and Technology Program of Liaoning Province (Grant No 2011225009), the Peak Medical Construction Special Project of Liaoning Province (Grant No 2010696), and the Free Researcher Project of Shengjing Hospital (Grant No 201302).

Conflict of interest

Authors have no conflicts of interest.

Author information

Affiliations

Authors

Corresponding author

Correspondence to Shulan Zhang.

Rights and permissions

Reprints and Permissions

About this article

Verify currency and authenticity via CrossMark

Cite this article

Wei, H., Wang, N., Zhang, Y. et al. Clinical significance of Wnt-11 and squamous cell carcinoma antigen expression in cervical cancer. Med Oncol 31, 933 (2014). https://doi.org/10.1007/s12032-014-0933-4

Download citation

  • Received:

  • Accepted:

  • Published:

  • DOI: https://doi.org/10.1007/s12032-014-0933-4

Keywords

  • Wnt-11
  • Squamous cell carcinoma antigen (SCC-Ag)
  • Cervical cancer
  • Immunohistochemistry