Skip to main content

High expression of RAB27A and TP53 in pancreatic cancer predicts poor survival

Abstract

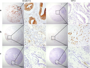
RAB27A is a member of Rab family GTPases involved in cellular vesicle trafficking, and TP53 has recently been implicated in regulating the exosome secretion pathway. Because exosome secretion plays an important role in modulating tumor microenvironment and invasive growth, we hypothesized that RAB27A and TP53 expression might be associated with aggressive behavior in pancreatic ductal adenocarcinoma (PDAC), one of the most deadly human malignancies. We determined protein expression of RAB27A and TP53 in 265 pancreatic tissues (186 carcinomas and 79 normal or benign tissues) by immunohistochemistry analysis on tissue microarray and found their expression was correlated with patients’ clinical parameters and overall survival. We found that RAB27A and TP53 protein expression was significantly higher in cancerous tissues compared to normal and benign tissues. High RAB27A protein expression (RAB27A+) was significantly associated with tumor stage and vascular invasion. No correlation between RAB27A and TP53 expression was observed. Patients with high RAB27A expression and high TP53 expression had a poor overall survival. Our data indicate that RAB27A expression is an independent prognostic marker for PDAC, and RAB27A-regulated exosome secretion pathway may represent a novel therapeutic target in pancreatic cancer .

This is a preview of subscription content, access via your institution.

Fig. 1
Fig. 2

References

  1. Jemal A, Bray F, Center MM, Ferlay J, Ward E, Forman D. Global cancer statistics. CA Cancer J Clin. 2011;61:69–90.

    PubMed  Article  Google Scholar 

  2. Bilimoria KY, Bentrem DJ, Ko CY, Ritchey J, Stewart AK, Winchester DP, Talamonti MS. Validation of the 6th edition AJCC pancreatic cancer staging system: report from the national cancer database. Cancer. 2007;110:738–44.

    PubMed  Article  Google Scholar 

  3. He XY, Yuan YZ. Advances in pancreatic cancer research: moving towards early detection. World J Gastroenterol. 2014;20:11241–8.

    PubMed Central  PubMed  Article  Google Scholar 

  4. Bilici A. Prognostic factors related with survival in patients with pancreatic adenocarcinoma. World J Gastroenterol. 2014;20:10802–12.

    PubMed Central  PubMed  Article  Google Scholar 

  5. Peinado H, Aleckovic M, Lavotshkin S, Matei I, Costa-Silva B, Moreno-Bueno G, Hergueta-Redondo M, Williams C, Garcia-Santos G, Ghajar C, Nitadori-Hoshino A, Hoffman C, Badal K, Garcia BA, Callahan MK, Yuan J, Martins VR, Skog J, Kaplan RN, Brady MS, Wolchok JD, Chapman PB, Kang Y, Bromberg J, Lyden D. Melanoma exosomes educate bone marrow progenitor cells toward a pro-metastatic phenotype through met. Nat Med. 2012;18:883–91.

    CAS  PubMed Central  PubMed  Article  Google Scholar 

  6. Hoshino D, Kirkbride KC, Costello K, Clark ES, Sinha S, Grega-Larson N, Tyska MJ, Weaver AM. Exosome secretion is enhanced by invadopodia and drives invasive behavior. Cell Rep. 2013;5:1159–68.

    CAS  PubMed  Article  Google Scholar 

  7. Bhatia A, Kumar Y. Cellular and molecular mechanisms in cancer immune escape: a comprehensive review. Expert Rev Clin Immunol. 2014;10:41–62.

    CAS  PubMed  Article  Google Scholar 

  8. Bobrie A, Krumeich S, Reyal F, Recchi C, Moita LF, Seabra MC, Ostrowski M, Thery C. Rab27a supports exosome-dependent and -independent mechanisms that modify the tumor microenvironment and can promote tumor progression. Cancer Res. 2012;72:4920–30.

    CAS  PubMed  Article  Google Scholar 

  9. Chen D, Guo J, Miki T, Tachibana M, Gahl WA. Molecular cloning and characterization of rab27a and rab27b, novel human rab proteins shared by melanocytes and platelets. Biochem Mol Med. 1997;60:27–37.

    CAS  PubMed  Article  Google Scholar 

  10. Wang JS, Wang FB, Zhang QG, Shen ZZ, Shao ZM. Enhanced expression of rab27a gene by breast cancer cells promoting invasiveness and the metastasis potential by secretion of insulin-like growth factor-ii. Mol Cancer Res. 2008;6:372–82.

    CAS  PubMed  Article  Google Scholar 

  11. Li W, Hu Y, Jiang T, Han Y, Han G, Chen J, Li X. Rab27a regulates exosome secretion from lung adenocarcinoma cells a549: involvement of epi64. APMIS 2014;122:1080–87.

  12. Ho JR, Chapeaublanc E, Kirkwood L, Nicolle R, Benhamou S, Lebret T, Allory Y, Southgate J, Radvanyi F, Goud B. Deregulation of rab and rab effector genes in bladder cancer. PLoS One. 2012;7:e39469.

    CAS  PubMed Central  PubMed  Article  Google Scholar 

  13. Supiot S, Gouraud W, Campion L, Jezequel P, Buecher B, Charrier J, Heymann MF, Mahe MA, Rio E, Cherel M. Early dynamic transcriptomic changes during preoperative radiotherapy in patients with rectal cancer: a feasibility study. World J Gastroenterol. 2013;19:3249–54.

    PubMed Central  PubMed  Article  Google Scholar 

  14. Webber JP, Spary LK, Sanders AJ, Chowdhury R, Jiang WG, Steadman R, Wymant J, Jones AT, Kynaston H, Mason MD, Tabi Z, Clayton A. Differentiation of tumour-promoting stromal myofibroblasts by cancer exosomes. Oncogene 2014. doi:10.1038/onc.2013.560.

  15. Dong WW, Mou Q, Chen J, Cui JT, Li WM, Xiao WH. Differential expression of rab27a/b correlates with clinical outcome in hepatocellular carcinoma. World J Gastroenterol. 2012;18:1806–13.

    CAS  PubMed Central  PubMed  Article  Google Scholar 

  16. Wu X, Hu A, Zhang M, Chen Z. Effects of rab27a on proliferation, invasion, and anti-apoptosis in human glioma cell. Tumour Biol. 2013;34:2195–203.

    CAS  PubMed  Article  Google Scholar 

  17. Wang H, Zhao Y, Zhang C, Li M, Jiang C, Li Y. Rab27a was identified as a prognostic biomaker by mrna profiling, correlated with malignant progression and subtype preference in gliomas. PLoS One. 2014;9:e89782.

    PubMed Central  PubMed  Article  Google Scholar 

  18. Hollstein M, Sidransky D, Vogelstein B, Harris CC. P53 mutations in human cancers. Science. 1991;253:49–53.

    CAS  PubMed  Article  Google Scholar 

  19. Vogelstein B, Kinzler KW. P53 function and dysfunction. Cell. 1992;70:523–6.

    CAS  PubMed  Article  Google Scholar 

  20. Dutta S, Warshall C, Bandyopadhyay C, Dutta D, Chandran B. Interactions between exosomes from breast cancer cells and primary mammary epithelial cells leads to generation of reactive oxygen species which induce DNA damage response, stabilization of p53 and autophagy in epithelial cells. PLoS One. 2014;9:e97580.

    PubMed Central  PubMed  Article  Google Scholar 

  21. Feng Z. P53 regulation of the igf-1/akt/mtor pathways and the endosomal compartment. Cold Spring Harb Perspect Biol. 2010;2:a001057.

    PubMed Central  PubMed  Article  Google Scholar 

  22. Yu X, Riley T, Levine AJ. The regulation of the endosomal compartment by p53 the tumor suppressor gene. FEBS J. 2009;276:2201–12.

    CAS  PubMed  Article  Google Scholar 

  23. Yu X, Harris SL, Levine AK. The regulation of exosome secretion: a novel function of the p53 protein. Cancer Res. 2006;66:4795–801.

    CAS  PubMed  Article  Google Scholar 

  24. Casey G, Yamanaka Y, Friess H, Kobrin MS, Lopez ME, Buchler M, Beger HG, Korc M. P53 mutations are common in pancreatic cancer and are absent in chronic pancreatitis. Cancer Lett. 1993;69:151–60.

    CAS  PubMed  Article  Google Scholar 

  25. Cowley MJ, Chang DK, Pajic M, Johns AL, Waddell N, Grimmond SM, Biankin AV. Understanding pancreatic cancer genomes. J Hepatobiliary Pancreat Sci. 2013. doi:10.1007/s00534-013-0610-6.

  26. Detre S, Saclani Jotti G, Dowsett M. A “Quickscore” method for immunohistochemical semiquantitation: validation for oestrogen receptor in breast carcinomas. J Clin Pathol. 1995;48:876–8.

    CAS  PubMed Central  PubMed  Article  Google Scholar 

  27. Zhai X, Zhu H, Wang W, Zhang S, Zhang Y, Mao G. Abnormal expression of emt-related proteins, s100a4, vimentin and e-cadherin, is correlated with clinicopathological features and prognosis in hcc. Med Oncol. 2014;31:970.

    PubMed  Article  Google Scholar 

  28. Ni S, Xu L, Huang J, Feng J, Zhu H, Wang G, Wang X. Increased zo-1 expression predicts valuable prognosis in non-small cell lung cancer. Int J Clin Exp Pathol. 2013;6:2887–95.

    PubMed Central  PubMed  Google Scholar 

  29. Sun R, Wang X, Zhu H, Mei H, Wang W, Zhang S, Huang J. Prognostic value of lamp3 and tp53 overexpression in benign and malignant gastrointestinal tissues. Oncotarget 2014.

  30. Oshima M, Okano K, Muraki S, Haba R, Maeba T, Suzuki Y, Yachida S. Immunohistochemically detected expression of 3 major genes (cdkn2a/p16, tp53, and smad4/dpc4) strongly predicts survival in patients with resectable pancreatic cancer. Ann Surg. 2013;258:336–46.

    PubMed  Article  Google Scholar 

  31. Chen J, Tang H, Wu Z, Zhou C, Jiang T, Xue Y, Huang G, Yan D, Peng Z. Overexpression of rbbp6, alone or combined with mutant tp53, is predictive of poor prognosis in colon cancer. PLoS One. 2013;8:e66524.

    CAS  PubMed Central  PubMed  Article  Google Scholar 

  32. Arriaga JM, Bravo IA, Bruno L, Morales Bayo S, Hannois A, Sanchez Loria F, Pairola F, Huertas E, Roberti MP, Rocca YS, Aris M, Barrio MM, Baffa Trasci S, Levy EM, Mordoh J, Bianchini M. Combined metallothioneins and p53 proteins expression as a prognostic marker in patients with dukes stage b and c colorectal cancer. Hum Pathol. 2012;43:1695–703.

    CAS  PubMed  Article  Google Scholar 

  33. Mojarad S, Venturini B, Fulgenzi P, Papaleo R, Brisigotti M, Monti F, Canuti D, Ravaioli A, Woo L, Dlay S, Sherbet GV. Prediction of nodal metastasis and prognosis of breast cancer by ann-based assessment of tumour size and p53, ki-67 and steroid receptor expression. Anticancer Res. 2013;33:3925–33.

    PubMed  Google Scholar 

  34. Fukuda M. Rab27 and its effectors in secretory granule exocytosis: a novel docking machinery composed of a rab27. Effector complex. Biochem Soc Trans. 2006;34:691–5.

    CAS  PubMed  Article  Google Scholar 

  35. Van Gele M, Dynoodt P, Lambert J. Griscelli syndrome: a model system to study vesicular trafficking. Pigment Cell Melanoma Res. 2009;22:268–82.

    PubMed  Article  Google Scholar 

  36. Zheng Y, Campbell EC, Lucocq J, Riches A, Powis SJ. Monitoring the rab27 associated exosome pathway using nanoparticle tracking analysis. Exp Cell Res. 2013;319:1706–13.

    CAS  PubMed  Article  Google Scholar 

  37. Lespagnol A, Duflaut D, Beekman C, Blanc L, Fiucci G, Marine JC, Vidal M, Amson R, Telerman A. Exosome secretion, including the DNA damage-induced p53-dependent secretory pathway, is severely compromised in Tsap6/steap3-null mice. Cell Death Differ. 2008;15:1723–33.

    CAS  PubMed  Article  Google Scholar 

  38. Lehmann BD, Paine MS, Brooks AM, McCubrey JA, Renegar RH, Wang R, Terrian DM. Senescence-associated exosome release from human prostate cancer cells. Cancer Res. 2008;68:7864–71.

    CAS  PubMed  Article  Google Scholar 

  39. Amzallag N, Passer BJ, Allanic D, Segura E, Thery C, Goud B, Amson R, Telerman A. Tsap6 facilitates the secretion of translationally controlled tumor protein/histamine-releasing factor via a nonclassical pathway. J Biol Chem. 2004;279:46104–12.

    CAS  PubMed  Article  Google Scholar 

Download references

Acknowledgments

This study was supported by the postdoctoral study (2013-40-5) and translational medicine research (TDFzh2014011) from the Affiliated Hospital of Nantong University, Jiangsu, China.

Conflict of interest

None.

Author information

Affiliations

Authors

Corresponding authors

Correspondence to Zhiwei Wang or Jianfei Huang.

Rights and permissions

Reprints and Permissions

About this article

Verify currency and authenticity via CrossMark

Cite this article

Wang, Q., Ni, Q., Wang, X. et al. High expression of RAB27A and TP53 in pancreatic cancer predicts poor survival. Med Oncol 32, 372 (2015). https://doi.org/10.1007/s12032-014-0372-2

Download citation

  • Received:

  • Accepted:

  • Published:

  • DOI: https://doi.org/10.1007/s12032-014-0372-2

Keywords

  • RAB27A
  • TP53
  • Pancreatic ductal adenocarcinoma
  • Prognosis