Skip to main content

Phyllodes tumor of the breast

Abstract

We present a case of 49-year-old woman who presented with a three month history of progressive right-sided breast pain and swelling and was found with bulky tumor at her initial presentation. She was diagnosed with phyllodes tumor of her breast and treated initially with neoadjuvant chemotherapy and mastectomy. We discuss recent advances in diagnosis and management of breast phyllodes tumors.

This is a preview of subscription content, access via your institution.

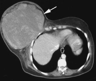
Fig. 1
Fig. 2

References

  1. Lee AH. Recent developments in the histological diagnosis of spindle cell carcinoma, fibromatosis and phyllodes tumour of the breast. Histopathology. 2008;52:45–57.

    PubMed  Article  CAS  Google Scholar 

  2. Reinfuss M, Mitus J, Duda K, Stelmach A, Rys J, Smolak K. The treatment and prognosis of patients with phyllodes tumor of the breast: an analysis of 170 cases. Cancer. 1996;77:910–6.

    PubMed  Article  CAS  Google Scholar 

  3. Barrio AV, Clark BD, Goldberg JI, et al. Clinicopathologic features and long-term outcomes of 293 phyllodes tumors of the breast. Ann Surg Oncol. 2007;14:2961–70.

    PubMed  Article  Google Scholar 

  4. Belkacemi Y, Bousquet G, Marsiglia H, et al. Phyllodes tumor of the breast. Int J Radiat Oncol Biol Phys. 2008;70:492–500.

    PubMed  Article  Google Scholar 

  5. Ben Hassouna J, Damak T, Gamoudi A, et al. Phyllodes tumors of the breast: a case series of 106 patients. Am J Surg. 2006;192:141–7.

    PubMed  Article  Google Scholar 

  6. Chen WH, Cheng SP, Tzen CY, et al. Surgical treatment of phyllodes tumors of the breast: retrospective review of 172 cases. J Surg Oncol. 2005;91:185–94.

    PubMed  Article  Google Scholar 

  7. Abdalla HM, Sakr MA. Predictive factors of local recurrence and survival following primary surgical treatment of phyllodes tumors of the breast. J Egypt Natl Canc Inst. 2006;18:125–33.

    PubMed  Google Scholar 

  8. Kapiris I, Nasiri N, A’Hern R, Healy V, Gui GP. Outcome and predictive factors of local recurrence and distant metastases following primary surgical treatment of high-grade malignant phyllodes tumours of the breast. Eur J Surg Oncol. 2001;27:723–30.

    PubMed  Article  CAS  Google Scholar 

  9. Pezner RD, Schultheiss TE, Paz IB. Malignant phyllodes tumor of the breast: local control rates with surgery alone. Int J Radiat Oncol Biol Phys. 2008;71:710–3.

    PubMed  Article  Google Scholar 

  10. Jones AM, Mitter R, Springall R, et al. A comprehensive genetic profile of phyllodes tumours of the breast detects important mutations, intra-tumoral genetic heterogeneity and new genetic changes on recurrence. J Pathol. 2008;214:533–44.

    PubMed  Article  CAS  Google Scholar 

  11. Lae M, Vincent-Salomon A, Savignoni A, Huon I, Freneaux P, Sigal-Zafrani B, et al. Phyllodes tumors of the breast segregate in two groups according to genetic criteria. Mod Pathol. 2007;20(4):435–44.

    PubMed  Article  CAS  Google Scholar 

  12. Grabowski J, Salzstein SL, Sadler GR, Blair SL. Malignant phyllodes tumors: a review of 752 cases. Am Surg. 2007;73:967–9.

    PubMed  Google Scholar 

  13. Morales-Vasquez F, Gonzalez-Angulo AM, Broglio K, et al. Adjuvant chemotherapy with doxorubicin and dacarbazine has no effect in recurrence-free survival of malignant phyllodes tumors of the breast. Breast J. 2007;13:551–6.

    PubMed  Article  CAS  Google Scholar 

  14. Chaney AW, Pollack A, McNeese MD, Zagars GK. Adjuvant radiotherapy for phyllodes tumor of breast. Radiat Oncol Investig. 1998;6:264–7.

    PubMed  Article  CAS  Google Scholar 

  15. Soumarova R, Seneklova Z, Horova H, et al. Retrospective analysis of 25 women with malignant cystosarcoma phyllodes–treatment results. Arch Gynecol Obstet. 2004;269:278–81.

    PubMed  Article  Google Scholar 

  16. Macdonald OK, Lee CM, Tward JD, Chappel CD, Gaffney DK. Malignant phyllodes tumor of the female breast: association of primary therapy with cause-specific survival from the Surveillance, Epidemiology, and End Results (SEER) program. Cancer. 2006;107:2127–33.

    PubMed  Article  Google Scholar 

Download references

Author information

Affiliations

Authors

Corresponding author

Correspondence to Grzegorz Korpanty.

Rights and permissions

Reprints and Permissions

About this article

Cite this article

Korpanty, G., Power, D.G., Murphy, C. et al. Phyllodes tumor of the breast. Med Oncol 28, 62–64 (2011). https://doi.org/10.1007/s12032-010-9695-9

Download citation

  • Received:

  • Accepted:

  • Published:

  • Issue Date:

  • DOI: https://doi.org/10.1007/s12032-010-9695-9

Keywords

  • Phyllodes breast cancer