Skip to main content

Preoperative diagnosis of nonfunctioning pancreatic neuroendocrine tumors

Abstract

The aim of this study is to summarize the experience of preoperative diagnosis for nonfunctioning pancreatic neuroendocrine tumors (NFPNETs). The medical records of patients with NFPNETs were identified from 2001 to 2009 in a single center. They were all reviewed and analyzed for their demographics, clinical presentation, preoperative laboratory evaluation and radiographic characterization. Twenty-six patients (11 men and 15 women) in the past 8 years were diagnosed with NFPNETs. Almost all patients had the normal level of exocrine tumor markers. Although it was not difficult to find tumors by traditional imaging modalities including CT and MRI, the misdiagnosis rate was as high as 81.2%. Perfusion CT was helpful to predict the biological behavior of tumors and even identified NFPNETs as benign or malignant. The preoperative diagnosis for NFPNETs can be confirmed by one or the combination of CgA, perfusion CT, FNA-EUS, PET and octreoscans. NFPNETs should be aroused suspicion of normal exocrine tumor markers and relative specific imaging appearance, which can be proved by one or the combination of CgA, perfusion CT, FNA-EUS, PET and octreoscans.

This is a preview of subscription content, access via your institution.

Fig. 1
Fig. 2
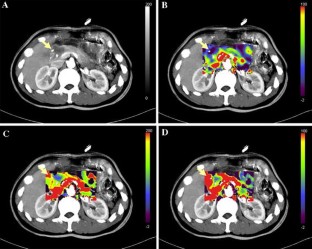
Fig. 3

References

  1. Eriksson B, Oberg K. Neuroendocrine tumours of the pancreas. Br J Surg. 2000;87:129–31.

    PubMed  Article  CAS  Google Scholar 

  2. Modlin IM, et al. Gastroenteropancreatic neuroendocrine tumours. Lancet Oncol. 2008;9:61–72.

    PubMed  Article  CAS  Google Scholar 

  3. Dralle H, et al. Surgery of resectable nonfunctioning neuroendocrine pancreatic tumors. World J Surg. 2004;28:1248–60.

    PubMed  Article  Google Scholar 

  4. Fjallskog ML, et al. Treatment of malignant endocrine pancreatic tumors with a combination of alpha-interferon and somatostatin analogs. Med Oncol. 2002;19:35–42.

    PubMed  Article  CAS  Google Scholar 

  5. Nomura N, et al. Nonfunctioning neuroendocrine pancreatic tumors: our experience and management. J Hepatobiliary Pancreat Surg. 2009;16:639–47.

    PubMed  Article  Google Scholar 

  6. Eckhauser FE, et al. Nonfunctioning malignant neuroendocrine tumors of the pancreas. Surgery. 1986;100:978–88.

    PubMed  CAS  Google Scholar 

  7. Grant CS. Surgical management of malignant islet cell tumors. World J Surg. 1993;17:498–503.

    PubMed  Article  CAS  Google Scholar 

  8. Mansour JC, Chen H. Pancreatic endocrine tumors. J Surg Res. 2004;120:139–61.

    PubMed  Article  CAS  Google Scholar 

  9. Nguyen SQ, et al. Surgery in malignant pancreatic neuroendocrine tumors. J Surg Oncol. 2007;96:397–403.

    PubMed  Article  Google Scholar 

  10. Norton JA et al. Aggressive surgery for metastatic liver neuroendocrine tumors. Surgery 2003;134:1057–1063; discussion 1063–1055.

    Google Scholar 

  11. Solorzano CC, et al. Nonfunctioning islet cell carcinoma of the pancreas: survival results in a contemporary series of 163 patients. Surgery. 2001;130:1078–85.

    PubMed  Article  CAS  Google Scholar 

  12. Degorce F, et al. A new human chromogranin A (CgA) immunoradiometric assay involving monoclonal antibodies raised against the unprocessed central domain (145–245). Br J Cancer. 1999;79:65–71.

    PubMed  Article  CAS  Google Scholar 

  13. Procacci C, et al. Nonfunctioning endocrine tumors of the pancreas: possibilities of spiral CT characterization. Eur Radiol. 2001;11:1175–83.

    PubMed  Article  CAS  Google Scholar 

  14. Taupenot L, Harper KL, O’Connor DT. The chromogranin-secretogranin family. N Engl J Med. 2003;348:1134–49.

    PubMed  Article  CAS  Google Scholar 

  15. Kent RB 3rd, van Heerden JA, Weiland LH. Nonfunctioning islet cell tumors. Ann Surg. 1981;193:185–90.

    PubMed  Article  Google Scholar 

  16. Skogseid B et al. Limited tumor involvement found at multiple endocrine neoplasia type I pancreatic exploration: can it be predicted by preoperative tumor localization? World J Surg 1998;22:673–677; discussion 667–678.

    Google Scholar 

  17. Briganti V, et al. Octreoscan SPET evaluation in the diagnosis of pancreas neuroendocrine tumors. Cancer Biother Radiopharm. 2001;16:515–24.

    PubMed  Article  CAS  Google Scholar 

  18. Sundin A, et al. PET in the diagnosis of neuroendocrine tumors. Ann N Y Acad Sci. 2004;1014:246–57.

    PubMed  Article  CAS  Google Scholar 

  19. Anderson MA, et al. Endoscopic ultrasound is highly accurate and directs management in patients with neuroendocrine tumors of the pancreas. Am J Gastroenterol. 2000;95:2271–7.

    PubMed  Article  CAS  Google Scholar 

  20. Jani N, et al. EUS-guided FNA diagnosis of pancreatic endocrine tumors: new trends identified. Gastrointest Endosc. 2008;67:44–50.

    PubMed  Article  Google Scholar 

  21. Gines A, et al. Usefulness of EUS-guided fine needle aspiration (EUS-FNA) in the diagnosis of functioning neuroendocrine tumors. Gastrointest Endosc. 2002;56:291–6.

    PubMed  Article  Google Scholar 

  22. Miles KA. Perfusion CT for the assessment of tumour vascularity: which protocol? Br J Radiol 2003;76 Spec No 1:S36–42.

    Google Scholar 

Download references

Acknowledgments

This work was supported by the Opening Foundation of Institute of Biomedical Sciences, Fudan University and the Science and Technology Commission of Shanghai Municipality (No 08411954300).

Author information

Affiliations

Authors

Corresponding author

Correspondence to Deliang Fu.

Additional information

Ji Li and Guopei Luo contributed equally to this work.

Rights and permissions

Reprints and Permissions

About this article

Cite this article

Li, J., Luo, G., Fu, D. et al. Preoperative diagnosis of nonfunctioning pancreatic neuroendocrine tumors. Med Oncol 28, 1027–1031 (2011). https://doi.org/10.1007/s12032-010-9611-3

Download citation

  • Received:

  • Accepted:

  • Published:

  • Issue Date:

  • DOI: https://doi.org/10.1007/s12032-010-9611-3

Keywords

  • Diagnosis
  • Pancreatic tumors
  • Pancreatic neuroendocrine tumors
  • Nonfunctioning pancreatic neuroendocrine tumors
  • Perfusion CT