Skip to main content

Preoperative Staging of Gastric Cancer Using Computed Tomography and Its Correlation with Histopathology with Emphasis on Multi-planar Reformations and Virtual Gastroscopy

Abstract

Background

Gastric cancer is the fifth most common cancer in the world. Preoperative staging of gastric cancer has assumed pivotal role in deciding appropriate management of gastric cancer with multi-detector computed tomography (MDCT) using hydro- and gaseous distension of stomach superseding endoscopic ultrasound in tumor (T) and nodal (N) staging. We undertook this study to evaluate the diagnostic accuracy of MDCT in the T and N staging of gastric cancer with an attempt to differentiate between early and advanced gastric carcinomas.

Methods

A total of 160 patients with endoscopically diagnosed and biopsy-proven gastric cancer were subjected to MDCT after adequate gaseous and hydro-distention of stomach. Multi-planar reformatted (MPR) as well as virtual gastroscopy images were also obtained. Gastric lesions were categorized into T1 to T4 stages with N staging from N0 to N3. Preoperative CT findings were correlated with histopathological findings.

Results

Overall diagnostic accuracy of T staging in our study was 82.5% (132/160) with an accuracy of 75% (120/160) for N staging. The diagnostic accuracy of CT for early gastric carcinoma in our study was 93.75% with high specificity of 96% but low sensitivity of 66.7%.

Conclusion

MDCT using gaseous and hydro-distension of stomach is an excellent modality for near accurate preoperative T staging of gastric cancer. However, CT has a limited role in the N staging of gastric cancer. This study also suggested that the combined use of virtual gastroscopy and MPR images helps in better detection of early gastric cancers.

This is a preview of subscription content, access via your institution.

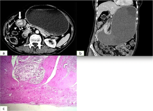
Fig. 1
Fig. 2
Fig. 3
Fig. 4
Fig. 5
Fig. 6
Fig. 7

Data Availability

All the data and material were obtained from patients registered in our hospital.

Abbreviations

AJCC:

American Joint Committee on Cancer

AAR:

age-adjusted rate

EGC:

early gastric cancer

EGD:

esophagogastroduodenoscopy

EUS:

endoscopic ultrasound

GI:

gastrointestinal

IEC:

Institutional Ethical Committee

MDCT:

multi-detector computed tomography

MPR:

multi-planar reformation

MS:

Microsoft

NPV:

negative predictive value

N:

nodal

PPV:

positive predictive value

SSPS:

Statistical Package for the Social Sciences

T:

tumor

References

  1. Rawla P, Barsouk A. Epidemiology of gastric cancer: global trends, risk factors and prevention. Przeglad Gastroenterologiczny. 2019;14(1):26–38.

    CAS  PubMed  Google Scholar 

  2. Roy PS, Nyodu T, Hazarika M, Saikia BJ, Bhuyan C, Inamdar A, et al. Prevalence of HER2 expression and its correlation with clinicopathological parameters in gastric or gastroesophageal junction adenocarcinoma in north-east Indian population. Asian Pac J Cancer Prev. 2019;20(4):1139–45.

    CAS  Article  Google Scholar 

  3. Yeole BB. Trends in cancer incidence in esophagus, stomach, colon, rectum and liver in males in India. Asian Pac J Cancer Prev. 2008;9(1):97–100.

    PubMed  Google Scholar 

  4. Bray F, Ferlay J, Soerjomataram I, Siegel RL, Torre LA, Jemal A. Global cancer statistics 2018: GLOBOCAN estimates of incidence and mortality worldwide for 36 cancers in 185 countries. CA Cancer J Clin. 2018;68(6):394–424.

    Article  Google Scholar 

  5. Rastogi T, Devesa S, Mangtani P, Mathew A, Cooper N, Kao R, et al. Cancer incidence rates among South Asians in four geographic regions: India, Singapore, UK and US. Int J Epidemiol. 2008;37(1):147–60.

    Article  Google Scholar 

  6. Rasool MT, Lone MM, Wani ML, Afroz F, Zaffar S, Haq MM. Cancer in Kashmir, India: burden and pattern of disease. J Cancer Res Ther. 2012;8(2):243–6.

    Article  Google Scholar 

  7. Ba-Ssalamah A, Prokop M, Uffmann M, Pokieser P, Teleky B, Lechner G. Dedicated multidetector CT of the stomach: spectrum of diseases. Radiographics. 2003;23(3):625–44.

    Article  Google Scholar 

  8. Kim JH, Eun HW, Goo DE, Shim CS, Auh YH. Imaging of various gastric lesions with 2D MPR and CT gastrography performed with multidetector CT. Radiographics. 2006;26(4):1101–16.

    Article  Google Scholar 

  9. Xu AM, Huang L, Liu W, Gao S, Han WX, Wei ZJ. Neoadjuvant chemotherapy followed by surgery versus surgery alone for gastric carcinoma: systematic review and meta-analysis of randomized controlled trials. PLoS One. 2014;9(1).

  10. Berlth F, Chon SH, Chevallay M, Jung MK, Mönig SP. Preoperative staging of nodal status in gastric cancer. Translational Gastroenterology and Hepatology. 2017;2.

  11. Habermann CR, Weiss F, Riecken R, Honarpisheh H, Bohnacker S, Staedtler C, et al. Preoperative staging of gastric adenocarcinoma: comparison of helical CT and endoscopic US. Radiology. 2004;230(2):465–71.

    Article  Google Scholar 

  12. Bollschweiler E, Berlth F, Baltin C, Mönig S, Hölscher AH. Treatment of early gastric cancer in the Western World. World J Gastroenterol: WJG. 2014;20(19):5672–8.

    Article  Google Scholar 

  13. Chen CY, Hsu JS, Wu DC, Kang WY, Hsieh JS, Jaw TS, et al. Gastric cancer: preoperative local staging with 3D multi-detector row CT correlation with surgical and histopathologic results. RSNA. 2007;242:472–82.

    Google Scholar 

  14. Park MS, Yu JS, Kim MJ, Yoon SW, Kim SH, Noh TW, et al. Mucinous versus nonmucinous gastric carcinoma: differentiation with helical CT. Radiology. 2002;223:540–6.

    Article  Google Scholar 

  15. Kim JW, Shin SS, Heo SH, Choi YD, Lim HS, Park YK et al Diagnostic performance of 64-secion CT using CT gastrography in preoperative T staging of gastric cancer according to 7th edition of AJCC cancer staging manual. Eur Radiol 2012; 22:654–662.

  16. Almeida MF, Verza L, Bitencourt AG, Boaventura CS, Barbosa PN, Chojniak R. Computed tomography with a stomach protocol and virtual gastroscopy in the staging of gastric cancer: an initial experience. Radiol Bras. 2018;51(4):211–7.

    Article  Google Scholar 

  17. Lee JH, Park MS, Kim KW, Yu JS, Kim MJ, Yang SW, et al. Advanced gastric carcinoma with signet ring cell carcinoma versus non-signet ring cell carcinoma: differentiation with MDCT. Comput Assist Tomogr. 2006;30:880–4.

    Article  Google Scholar 

  18. Dean W, Joelson. AJCC 2010 (7th edition) staging changes-stomach, colon, lung, liver, others.

  19. Johnson PT, Horton KM, Fishman EK. Hypervascular gastric masses: CT findings and clinical correlates. Am J Roentgenol. 2010;195(6):W415–20.

    Article  Google Scholar 

  20. Lin YM, Chiu NC, Li AF, Liu CA, Chou YH, Chiou YY. Unusual gastric tumors and tumor-like lesions: radiological with pathological correlation and literature review. World J Gastroenterol. 2017;23(14):2493–504.

    Article  Google Scholar 

  21. College of Oncology. National clinical practice guidelines. Gastric Cancer Version. 2.2012.

  22. Bruno L, Barni L, Masini G, Pacciani S, Lucarelli E, Masserelli A. Multiple detector-row CT in gastric cancer staging: prospective study. Journal of Cancer Therapy. 2014;5:1438–49.

    Article  Google Scholar 

  23. Barros RHO, Thiago JP, Daniel LM, Nelson AA, Nelson MGC. Multidetector computed tomography in the preoperative staging of gastric adenocarcinoma. Radiol Bras. 2015;48:74–80.

    Article  Google Scholar 

  24. Kim TU, Kim S, Lee JW, Lee NK, Jeon TY, Park DY. MDCT features in the differentiation of T4a gastric cancer from less-advanced gastric cancer: significance of the hyperattenuating serosa sign. Br J Radiol. 2013;86:1029.

    Google Scholar 

  25. Vergadis C, Schizas D. Is accurate N-staging for gastric cancer possible? Frontiers in surgery. 2018;5:41.

    Article  Google Scholar 

  26. Cho JS, Kim JK, Rho SM, Lee HY, Jeong HY, Lee CS. Preoperative assessment of gastric carcinoma: value of two-phase dynamic CT with mechanical IV injection of contrast material. AJR. 1994;163:69–75 Ther.2012; 8:243–6.

    CAS  Article  Google Scholar 

  27. Moschetta M, Scardapane A, Telegrafo M, Lorusso V, Angelelli G, Ianora AA. Differential diagnosis between benign and malignant ulcers: 320-row CT virtual gastroscopy. Abdom Imaging. 2012;37(6):1066–73.

    Article  Google Scholar 

Download references

Author information

Affiliations

Authors

Contributions

WA analyzed and interpreted the computed tomography (CT) images. PA and NC also helped in interpretation and analysis of CT images. FI performed the histopathological examination of surgical specimen. FI was also involved in obtaining surgical specimen. All authors were involved in statistical analysis and data interpretation. All authors were also involved in manuscript preparation and literature research. All the authors have read and approved the manuscript.

Corresponding author

Correspondence to Abdul Haseeb Wani.

Ethics declarations

Conflict of Interest

The authors declare that they have no conflict of interest.

Ethics Approval

This observational study was duly approved by the Institutional Ethical Committee (IEC) of Sher-i-Kashmir Institute of Medical Sciences (SKIMS) under the no. SIMS 131/IEC-SKIMS/2015-83. No animal participants were used in this study.

Consent to Participate

Informed verbal consent was obtained from all the patients included in the study.

Additional information

Publisher’s Note

Springer Nature remains neutral with regard to jurisdictional claims in published maps and institutional affiliations.

Rights and permissions

Reprints and Permissions

About this article

Verify currency and authenticity via CrossMark

Cite this article

Wani, A.H., Parry, A.H., Feroz, I. et al. Preoperative Staging of Gastric Cancer Using Computed Tomography and Its Correlation with Histopathology with Emphasis on Multi-planar Reformations and Virtual Gastroscopy. J Gastrointest Canc 52, 606–615 (2021). https://doi.org/10.1007/s12029-020-00436-6

Download citation

  • Published:

  • Issue Date:

  • DOI: https://doi.org/10.1007/s12029-020-00436-6

Keywords

  • Multi-detector computed tomography
  • Early gastric cancer
  • Virtual gastroscopy
  • Advanced gastric cancer and hydro-distension