





References
Mucciarini C, Rossi G, Bertolini F, Valli R, Cirilli C, Rashid I, et al. Incidence and clinicopathologic features of gastrointestinal stromal tumors. A population-based study. BMC Cancer. 2007;7(1):230. https://doi.org/10.1186/1471-2407-7-230.
Hirota S, Isozaki K, Moriyama Y, Hashimoto K, Nishida T, Ishiguro S, et al. Gain-of-function mutations of c-kit in human gastrointestinal stromal tumors. Science. 1998;279(5350):577–80. https://doi.org/10.1126/science.279.5350.577.
Miettinen M, Lasota J. Gastrointestinal stromal tumors: definition, clinical, histological, immunohistochemical, and molecular genetic features and differential diagnosis. Virchows Arch. 2001;438(1):1–12. https://doi.org/10.1007/s004280000338.
Nishida T, Hirota S. Biological and clinical review of stromal tumors in the gastrointestinal tract. Histol Histopathol. 2000;15(4):1293–301.
Sarlomo-Rikala M, Kovatich AJ, Barusevicius A, Miettinen M. CD117: a sensitive marker for gastrointestinal stromal tumors that is more specific than CD34. Mod Pathol. 1998;11(8):728–34.
De Vogelaere K, Aerts M, Haentjens P, de Grève J, Delvaux G. Gastrointestinal stromal tumor of the stomach: progresses in diagnosis and treatment. Acta Gastroenterol Belg. 2013;76(4):403–6.
Heinrich MC, Corless CL, Duensing A, McGreevey L, Chen CJ, Joseph N, et al. PDGFRA activating mutations in gastrointestinal stromal tumors. Science. 2003;299(5607):708–10. https://doi.org/10.1126/science.1079666.
DiMaio CJ, et al. Initial experience with a novel EUS-guided core biopsy needle (SharkCore): results of a large North American multicenter study. Endosc Int Open. 2016;4(9):E974–9.
El Chafic AM, Loren D, et al. Comparison of FNA and fine-needle biopsy for EUS-guided sampling of suspected GI stromal tumors. Gastrointest Endosc. 2017;86(3):510–5. https://doi.org/10.1016/j.gie.2017.01.010.
Levy AD, Remotti HE, Thompson WM, Sobin LH, Miettinen M. Gastrointestinal stromal tumors: radiologic features with pathologic correlation. Radiographics. 2003;23(2):283–304. https://doi.org/10.1148/rg.232025146.
DeMatteo RP, Lewis JJ, Leung D, Mudan SS, Woodruff JM, Brennan MF. Two hundred gastrointestinal stromal tumors: recurrence patterns and prognostic factors for survival. Ann Surg. 2000;231(1):51–8. https://doi.org/10.1097/00000658-200001000-00008.
Zhang L, Smyrk TC, Young WF Jr, Stratakis CA, Carney JA. Gastric stromal tumors in Carney triad are different clinically, pathologically, and behaviorally from sporadic gastric gastrointestinal stromal tumors: findings in 104 cases. Am J Surg Pathol. 2010;34(1):53–64. https://doi.org/10.1097/PAS.0b013e3181c20f4f.
Miettinen M, Fetsch JF, Sobin LH, Lasota J. Gastrointestinal stromal tumors in patients with neurofibromatosis 1: a clinicopathologic and molecular genetic study of 45 cases. Am J Surg Pathol. 2006;30(1):90–6. https://doi.org/10.1097/01.pas.0000176433.81079.bd.
Tran T, Davila JA, El-Serag HB. The epidemiology of malignant gastrointestinal stromal tumors: an analysis of 1,458 cases from 1992 to 2000. Am J Gastroenterol. 2005;100(1):162–8. https://doi.org/10.1111/j.1572-0241.2005.40709.x.
Kim KM, Kang DW, Moon WS, Park JB, Park CK, Sohn JH, et al. Gastrointestinal stromal tumors in Koreans: it’s incidence and the clinical, pathologic and immunohistochemical findings. J Korean Med Sci. 2005;20(6):977–84. https://doi.org/10.3346/jkms.2005.20.6.977.
Goettsch WG, Bos SD, Breekveldt-Postma N, Casparie M, Herings RM, Hogendoorn PC. Incidence of gastrointestinal stromal tumours is underestimated: results of a nation-wide study. Eur J Cancer. 2005;41(18):2868–72. https://doi.org/10.1016/j.ejca.2005.09.009.
Miettinen M, Lasota J. Gastrointestinal stromal tumors (GISTs): definition, occurrence, pathology, differential diagnosis and molecular genetics. Pol J Pathol. 2003;54(1):3–24.
Novitsky YW, Kercher KW, Sing RF, Heniford BT. Long-term outcomes of laparoscopic resection of gastrointestinal stromal tumors. Ann Surg. 2006;243(6):738–745; discussion 745-7. https://doi.org/10.1097/01.sla.0000219739.11758.27.
Marano L, Torelli F, Schettino M, Porfidia R, Reda G, Grassia M, et al. Combined laparoscopic-endoscopic “rendezvous” procedure for minimally invasive resection of gastrointestinal stromal tumor of the stomach. Am Surg. 2011;77(8):1100–1102(3).
Wilhelm D, von Delius S, Burian M, Schneider A, Frimberger E, Meining A, et al. Simultaneous use of laparoscopy and endoscopy for minimally invasive resection of gastric subepithelia masses—analysis of 93 interventions. World J Surg. 2008;32(6):1021–8. https://doi.org/10.1007/s00268-008-9492-1.
Davila JS, Mombian D, Gines A, Sanchez-Montes C, Araujo I, Saavendra-Perez D, et al. Endoscopic-assisted laparoscopic resection for gastric subepithelial tumors. Surg Endosc. 2016;30(1):199–203. https://doi.org/10.1007/s00464-015-4183-0.
Kim HH. Endoscopic treatment for gastrointestinal stromal tumor: advantages and hurdles. World J Gastrointest Endosc. 2015;7(3):192–205.
Andalib I, Yeoun D, Reddy R, Xie S, Iqbal S. Endoscopic resection of gastric gastrointestinal stromal tumors rising from the muscularis propria layer in North America: methods and feasibility data. Surg Endosc. 2017; https://doi.org/10.1007/s00464-017-5862-9.
Ping-Hong Z, et al. Endoscopic full thickness resection without laparoscopic assistance for gastric submucosal tumors originated from the mucosal propria. Surg Endosc. 2011;25(9):2926–31.
Nishida T. The role of endoscopy in the diagnosis of gastric gastrointestinal tumors. Ann Surg Oncol. 2015;22(9):2810–1. https://doi.org/10.1245/s10434-015-4520-5.
Pappo AS, Janeway KA. Pediatric gastrointestinal stromal tumors. Hematol Oncol Clin North Am. 2009;23(1):15–34. https://doi.org/10.1016/j.hoc.2008.11.005.
Fletcher CD, Berman JJ, Corless C, et al. Diagnosis of gastrointestinal stromal tumors: a consensus approach. Hum Pathol. 2002;33(5):459–65. https://doi.org/10.1053/hupa.2002.123545.
Kawanowa K, Sakuma Y, Sakurai S, Hishima T, Iwasaki Y, Saito K, et al. High incidence of microscopic gastrointestinal stromal tumors in the stomach. Hum Pathol. 2006;37(12):1527–35. https://doi.org/10.1016/j.humpath.2006.07.002.
Agaimy A, Wiinsch PH, Hofstaedter F, et al. Minute gastric sclerosing stromal tumors (GIST tumorlets) are common in adults and frequently show c-KIT mutations. Am J Surg Pathol. 2007;31(1):113–20. https://doi.org/10.1097/01.pas.0000213307.05811.f0.
Yan BM, Kaplan GG, Urbanski S, Nash CL, Beck PL. Epidemiology of gastrointestinal stromal tumors in a defined Canadian Health Region: a population-based study. Int J Surg Pathol. 2008;16(3):241–50. https://doi.org/10.1177/1066896907306967.
Demetri GD, Benjamin RS, Blanke CD, Blay JY, Casali P, Choi H, et al. NCCN Task Force report: management of patients with gastrointestinal stromal tumor (GIST)—update of the NCCN clinical practice guidelines. J Natl Compr Canc Netw. 2007;5(Suppl 2):S1–29. quiz S30
Blay JY, Bonvalot S, Casali P, Choi H, Debiec-Richter M, Dei Tos AP, et al. Consensus meeting for the management of gastrointestinal stromal tumors. Report of the GIST consensus conference of 20-21 March 2004, under the auspices of ESMO. Ann Oncol. 2005;16(4):566–78. https://doi.org/10.1093/annonc/mdi127.
Benjamin RS, Choi H, Macapinlac HA, Burgess MA, Patel SR, Chen LL, et al. We should desist using RECIST, at least in GIST. J Clin Oncol. 2007;25(13):1760–4. https://doi.org/10.1200/JCO.2006.07.3411.
Agaimy A. Gastrointestinal stromal tumors (GIST) from risk stratification systems to the new TNM proposal: more questions than answers? A review emphasizing the need for a standardized GIST reporting. Int J Clin Exp Pathol. 2010;3(5):461–71.
Hong HS, Ha HK, Won HJ, Byun JH, Shin YM, Kim AY, et al. Gastric schwannomas: radiological features with endoscopic and pathological correlation. Clin Radiol. 2008;63(5):536–42. https://doi.org/10.1016/j.crad.2007.05.026.
ESMO/European Sarcoma Network Working Group. Gastrointestinal stromal tumours: ESMO clinical practice guidelines for diagnosis, treatment and follow-up. Ann Oncol. 2014;25(Suppl 3):iii21–6.
Funding
This research was supported by The Mirro Center for Research and Innovation and the Parkview Research Center.
Author information
Authors and Affiliations
Corresponding author
Additional information
Research Key Highlights
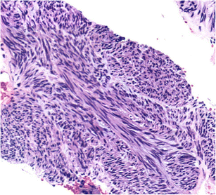
• Gastrointestinal stromal tumors (GISTs) are uncommon intramural tumors of the GI tract. They are most often seen in the stomach and arise from the muscular layers of the visceral wall.
• The clinical manifestations of GISTs vary depending on the tumor size and location, but are often asymptomatic.
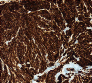
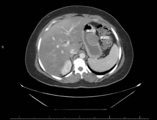
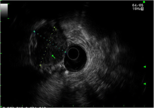
• Advances in endosonography (EUS) and immunohistochemical staining can distinguish these lesions from other intramural and GI tract tumors and are an essential part of the diagnostic and staging workup.
• The advent of EUS-guided fine needle biopsy (FNB) allows for large core tissue acquisition. This has replaced FNA and allowed for histologic analysis of large specimens, increased IHC confirmation, and personalized medicine.
• Treatment involves surgical, endoscopic or hybrid endoscopic-laparoscopic resection. Imatinib may be given, and lesions less than 2 cm may be observed.
• The cases presented in this report represent pathology-confirmed GISTs diagnosed at a large volume, community, tertiary referral GI oncology program during July 2012 through May 2016. Follow-ups for each patient have discovered no recurrences to date.
Rights and permissions
About this article
Cite this article
Sharma, N.R., Gopakumar, H., Harrison, S. et al. Gastric Gastrointestinal Stromal Tumors (GIST): a Case Series and Current State of the Art in the Workup and Treatment of This Rare Disease. J Gastrointest Canc 50, 548–555 (2019). https://doi.org/10.1007/s12029-017-0034-7
Published:
Issue Date:
DOI: https://doi.org/10.1007/s12029-017-0034-7