Skip to main content

Metastatic Sarcomatoid Carcinoma of the Small Intestine: a Case Report of Rare Tumor with Literature Review

This is a preview of subscription content, access via your institution.

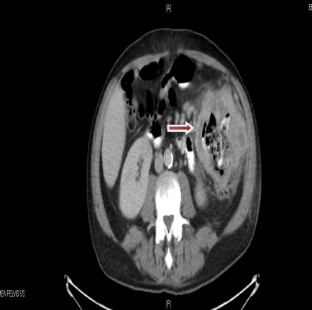
Fig. 1
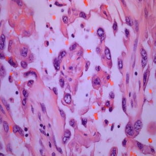
Fig. 2
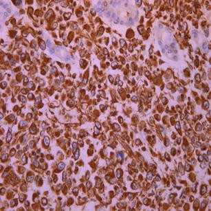
Fig. 3
Fig. 4
Fig. 5
Fig. 6
Fig. 7
Fig. 8

References

  1. Lee SE, Park SY. Sarcomatoid carcinoma of the small intestine: a rare and highly aggressive tumor. J Korean Surg Soc. 2012;83:321–4.

    Article  PubMed  PubMed Central  Google Scholar 

  2. Reid-Nicholson M, Idrees M, Perino G, Hytiroglou P. Sarcomatoid carcinoma of the small intestine: a case report and review of the literature. Arch Pathol Lab Med. 2004;128:918–21.

    PubMed  Google Scholar 

  3. Padma SK, Permi HS, Patil CN, Mathias M. Aggressive monophasic sarcomatoid carcinoma of small intestine—a rare case report with review of literature. NUJHS. 2012;2:45–7.

    Google Scholar 

  4. Ozturk E, Yilmazar T, Yerci O. A rare tumor located in the anorectal junction: sarcomatoid carcinoma. Turk J Gastroenterol. 2006;17:236–9.

    PubMed  Google Scholar 

  5. Guarino M, Tricomi P, Giordano F. Sarcomatoid carcinomas: pathological and histopathogenetic considerations. Pathology. 1996;28:298–305.

    CAS  Article  PubMed  Google Scholar 

  6. Lezzoni JC, Mills SE. Sarcomatoid carcinoma (carcinosarcomas) of the gastrointestinal tract: a review. Semin Diagn Pathol. 1993;10(2):176–87.

    Google Scholar 

  7. Lopez-Beltran A, Pacelli A, Rothenberg HJ, Wollan PC, Zincke H, Blute ML, et al. Carcinosarcoma and sarcomatoid carcinoma of the bladder: clinicopathological study of 41 cases. J Urol. 1998;159:1497–503.

    CAS  Article  PubMed  Google Scholar 

  8. Delahunt B, Eble JN, Nacey JN, Grebe SK. Sarcomatoid carcinoma of the prostate: progression from adenocarcinoma is associated with p53 over-expression. Anticancer Res. 1999;19:4279–83.

    CAS  PubMed  Google Scholar 

  9. Leventon GS, Evans HL. Sarcomatoid squamous cell carcinoma of the mucous membranes of the head and neck: a clinicopathologic study of 20 cases. Cancer. 1981;48:994–1003.

    CAS  Article  PubMed  Google Scholar 

  10. Fukuda T, Kamishima T, Ohnishi Y, Suzuki T. Sarcomatoid carcinoma of the small intestine: histologic, immunohistochemical and ultrastructural features of three cases and its differential diagnosis. Pathol Int. 1996;46:682–8.

    CAS  Article  PubMed  Google Scholar 

  11. Namikawa T, Hanazaki K. Clinical analysis of primary anaplastic carcinoma of small intestine. World J Gastroenterol. 2009;15:526–30.

    Article  PubMed  PubMed Central  Google Scholar 

  12. Robey-Cafferty SS, Silva EG, Cleary KR. Anaplastic and sarcomatoid carcinoma of the small intestine: a clinicopathologic study. Hum Pathol. 1989;20:858–63.

    CAS  Article  PubMed  Google Scholar 

  13. Radi MF, Gray GF, Scott HW. Carcinosarcoma of ileum in regional enteritis. Hum Pathol. 1985;15:385–7.

    Article  Google Scholar 

Download references

Authors’ Contributions

Yousef Khelfa as corresponding author contributed in literature search, getting and preparing the figures, data collection and interpretation, and writing the report. Mohamed Alsharedi, Inderjit Mehmi, Ali Raufi, Amanda Arrington, Yehuda Lebowicz, and Toni Pacioles contributed equally to literature search.

Author information

Affiliations

Authors

Corresponding author

Correspondence to Yousef Khelfa.

Ethics declarations

This article does not contain any studies with human participants or animals performed by any of the authors.

Conflict of Interest

The authors declare that they have no competing interests.

Consent to Participate

Informed consent was obtained from patient included in the study.

Rights and permissions

Reprints and Permissions

About this article

Verify currency and authenticity via CrossMark

Cite this article

Khelfa, Y., Alsharedi, M., Mehmi, I. et al. Metastatic Sarcomatoid Carcinoma of the Small Intestine: a Case Report of Rare Tumor with Literature Review. J Gastrointest Canc 47, 478–481 (2016). https://doi.org/10.1007/s12029-015-9778-0

Download citation

  • Published:

  • Issue Date:

  • DOI: https://doi.org/10.1007/s12029-015-9778-0

Keywords

  • Vesicular Nucleus
  • Sarcomatoid Carcinoma
  • Lung Mass
  • Mixed Inflammatory Infiltrate
  • Lower Gastrointestinal Endoscopy