Skip to main content

Colorectal Cancer Emergencies

Abstract

Introduction

Colorectal cancer (CRC) is a common type of malignancy encountered in the United States. A significant proportion of patients with CRC will seek emergency medical care during the course of their illness and treatment.

Background

Emergent presentations can be the result of either local tumor invasion, regional progression, or therapeutic techniques. Specific complications of CRC which present emergently include rectal bleeding, abdominal pain, and bowel obstruction. Less common issues encountered include malignant ascites, neutropenic enterocolitis, and radiation enteropathy.

Conclusion

The care of CRC patients in the setting of an acute severe illness typically requires the joint efforts of the emergency medical team in consultation with surgical, medical, and radiation oncology. A high degree of suspicion for the typical and atypical complications of CRC is important for all clinicians who are responsible for the care of these patients.

This is a preview of subscription content, access via your institution.

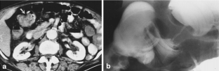
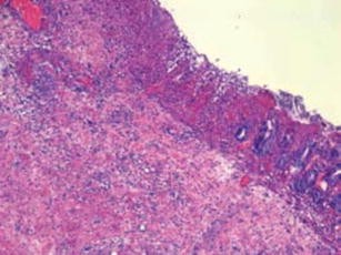
Fig. 1
Fig. 2
Fig. 3
Fig. 4
Fig. 5
Fig. 6
Fig. 7
Fig. 8
Fig. 9

References

  1. Jemal A, Siegel R, Ward E, Hao Y, Xu J, Thun MJ. Cancer statistics, 2009. CA Cancer J Clin. 2009;59(4):225–49.

    PubMed  Article  Google Scholar 

  2. U.S. Preventive Services Task Force. Colon cancer screening (USPSTF recommendation). J Am Geriatr Soc. 2000;48(3):333–5.

    Google Scholar 

  3. Gunnarsson H, Holm T, Ekholm A, Olsson LI. Emergency presentation of colon cancer is most frequent during summer. Color Dis Off J Assoc Coloproctol GB Irel. 2011;13(6):663–8.

    CAS  Google Scholar 

  4. Peura DA, Lanza FL, Gostout CJ, Foutch PG. The American College of gastroenterology bleeding registry: preliminary findings. Am J Gastroenterol. 1997;92(6):924–8.

    PubMed  CAS  Google Scholar 

  5. Talley NJ, Jones M. Self-reported rectal bleeding in a United States community: prevalence, risk factors, and health care seeking. Am J Gastroenterol. 1998;93(11):2179–83.

    PubMed  Article  CAS  Google Scholar 

  6. Longstreth GF. Epidemiology and outcome of patients hospitalized with acute lower gastrointestinal hemorrhage: a population-based study. Am J Gastroenterol. 1997;92(3):419–24.

    PubMed  CAS  Google Scholar 

  7. Tavakkolizadeh A, Ashley S. Acute gastrointestinal hemorrhage. In: Sabiston DC, Townsend CM, editors. Sabiston textbook of surgery: the biological basis of modern surgical practice. Philadelphia: Elsevier; 2012.

    Google Scholar 

  8. Farrands PA, Taylor I. Management of acute lower gastrointestinal haemorrhage in a surgical unit over a 4-year period. J R Soc Med. 1987;80(2):79–82.

    PubMed  CAS  Google Scholar 

  9. Rossini FP, Ferrari A, Spandre M, et al. Emergency colonoscopy. World J Surg. 1989;13(2):190–2.

    PubMed  Article  CAS  Google Scholar 

  10. Adelstein BA, Macaskill P, Chan SF, Katelaris PH, Irwig L. Most bowel cancer symptoms do not indicate colorectal cancer and polyps: a systematic review. BMC Gastroenterol. 2011;11:65.

    PubMed  Article  Google Scholar 

  11. Douek M, Wickramasinghe M, Clifton MA. Does isolated rectal bleeding suggest colorectal cancer? Lancet. 1999;354(9176):393.

    PubMed  Article  CAS  Google Scholar 

  12. Korsgaard M, Pedersen L, Sorensen HT, Laurberg S. Reported symptoms, diagnostic delay and stage of colorectal cancer: a population-based study in Denmark. Color Dis Off J Assoc Coloproctol G B Irel. 2006;8(8):688–95.

    CAS  Google Scholar 

  13. Zuccaro Jr G. Management of the adult patient with acute lower gastrointestinal bleeding. American College of Gastroenterology. Practice Parameters Committee. Am J Gastroenterol. 1998;93(8):1202–8.

    PubMed  Article  Google Scholar 

  14. Lo BM. Lower Gastrointestinal Bleeding. In: Tintinalli JE, Stapczynski JS, editors. Tintinalli’s emergency medicine: a comprehensive study guide. New York: McGraw-Hill; 2011. p. 2120. xl.

    Google Scholar 

  15. Davila RE, Rajan E, Adler DG, et al. ASGE Guideline: the role of endoscopy in the patient with lower-GI bleeding. Gastrointest Endosc. 2005;62(5):656–60.

    PubMed  Article  Google Scholar 

  16. Schuetz A, Jauch KW. Lower gastrointestinal bleeding: therapeutic strategies, surgical techniques and results. Langenbeck’s Arch Surg/Deut Gesellschaft Chir. 2001;386(1):17–25.

    Article  CAS  Google Scholar 

  17. Anthony T, Baron T, Mercadante S, et al. Report of the clinical protocol committee: development of randomized trials for malignant bowel obstruction. J Pain Symptom Manag. 2007;34(1 Suppl):S49–59.

    Article  Google Scholar 

  18. Peterson M. Large intestine. In: Rosen’s emergency medicine: concepts and clinical practice. Philadelphia: Elsevier; 2006. p. 1332–4.

    Google Scholar 

  19. Dixon JA, Nichols RL, Hunter Jr DC. Strangulation obstruction of the intestine. early detection. Arch Surg. 1964;88:527–32.

    PubMed  Article  CAS  Google Scholar 

  20. Leffall LD, Syphax B. Clinical aids in strangulation intestinal obstruction. Am J Surg. 1970;120(6):756–9.

    PubMed  Article  CAS  Google Scholar 

  21. Saltzstein EC, Marshall WJ, Freeark RJ. Gangrenous intestinal obstruction. Surg Gynecol Obstet. 1962;114:694–700.

    PubMed  CAS  Google Scholar 

  22. Finan PJ, Campbell S, Verma R, et al. The management of malignant large bowel obstruction: ACPGBI position statement. Color Dis Off J Assoc Coloproctol G B Irel. 2007;9 Suppl 4:1–17.

    Google Scholar 

  23. Frager D, Rovno HD, Baer JW, Bashist B, Friedman M. Prospective evaluation of colonic obstruction with computed tomography. Abdom Imaging. 1998;23(2):141–6.

    PubMed  Article  CAS  Google Scholar 

  24. Megibow AJ. Bowel obstruction. Evaluation with CT. Radiol Clin N Am. 1994;32(5):861–70.

    PubMed  CAS  Google Scholar 

  25. Sinha R, Verma R. Multidetector row computed tomography in bowel obstruction. Part 2. Large bowel obstruction. Clin Radiol. 2005;60(10):1068–75.

    PubMed  Article  CAS  Google Scholar 

  26. Tekkis PP, Kinsman R, Thompson MR, Stamatakis JD. The Association of Coloproctology of Great Britain and Ireland study of large bowel obstruction caused by colorectal cancer. Ann Surg. 2004;240(1):76–81.

    PubMed  Article  Google Scholar 

  27. Tilney HS, Lovegrove RE, Purkayastha S, et al. Comparison of colonic stenting and open surgery for malignant large bowel obstruction. Surg Endosc. 2007;21(2):225–33.

    PubMed  Article  CAS  Google Scholar 

  28. Begos DG, Sandor A, Modlin IM. The diagnosis and management of adult intussusception. Am J Surg. 1997;173(2):88–94.

    PubMed  Article  CAS  Google Scholar 

  29. Goh BK, Quah HM, Chow PK, et al. Predictive factors of malignancy in adults with intussusception. World J Surg. 2006;30(7):1300–4.

    PubMed  Article  Google Scholar 

  30. Takeuchi K, Tsuzuki Y, Ando T, et al. The diagnosis and treatment of adult intussusception. J Clin Gastroenterol. 2003;36(1):18–21.

    PubMed  Article  Google Scholar 

  31. Chiang JM, Lin YS. Tumor spectrum of adult intussusception. J Surg Oncol. 2008;98(6):444–7.

    PubMed  Article  Google Scholar 

  32. Azar T, Berger DL. Adult intussusception. Ann Surg. 1997;226(2):134–8.

    PubMed  Article  CAS  Google Scholar 

  33. Wang LT, Wu CC, Yu JC, Hsiao CW, Hsu CC, Jao SW. Clinical entity and treatment strategies for adult intussusceptions: 20 years’ experience. Dis Colon Rectum. 2007;50(11):1941–9.

    PubMed  Article  Google Scholar 

  34. Gayer G, Zissin R, Apter S, Papa M, Hertz M. Pictorial review: adult intussusception—a CT diagnosis. Br J Radiol. 2002;75(890):185–90.

    PubMed  CAS  Google Scholar 

  35. Warshauer DM, Lee JK. Adult intussusception detected at CT or MR imaging: clinical-imaging correlation. Radiology. 1999;212(3):853–60.

    PubMed  CAS  Google Scholar 

  36. Kim YH, Blake MA, Harisinghani MG, et al. Adult intestinal intussusception: CT appearances and identification of a causative lead point. Radiogr Rev Publ Radiol Soc North Am Inc. 2006;26(3):733–44.

    Google Scholar 

  37. Langell JT, Mulvihill SJ. Gastrointestinal perforation and the acute abdomen. Med Clin Am. 2008;92(3):599–625. viii–ix.

    Article  Google Scholar 

  38. Lalani M, Rhee JC, Gutkin DW, Matin K, Ahmad J. Uncommon presentations of some common malignancies: case 3. Chronic lymphocytic leukemia involving the colon and presenting with perforation. J clin Oncol Off J Am Soc Clin Oncol. 2005;23(6):1315–7.

    Article  Google Scholar 

  39. Taylor S, Watt M. Emergency department assessment of abdominal pain: clinical indicator tests for detecting peritonism. Eur J Emerg Med Off J Eur Soc Emerg Med. 2005;12(6):275–7.

    Article  Google Scholar 

  40. Mackersie AB, Lane MJ, Gerhardt RT, et al. Nontraumatic acute abdominal pain: unenhanced helical CT compared with three-view acute abdominal series. Radiology. 2005;237(1):114–22.

    PubMed  Article  Google Scholar 

  41. Ilgen JS, Marr AL. Cancer emergencies: the acute abdomen. Emerg Med Clin North AM. 2009;27(3):381–99.

    PubMed  Article  Google Scholar 

  42. Spencer SP, Power N. The acute abdomen in the immune compromised host. Cancer Imaging Off Publ Int Cancer Imaging Soc. 2008;8:93–101.

    Google Scholar 

  43. O’brien M. Acute abdominal pain. In: Tintinalli JE, Stapczynski JS, editors. Tintinalli’s emergency medicine: a comprehensive study guide. New York: McGraw-Hill; 2011. p. 2120. xxxix.

    Google Scholar 

  44. Adam RA, Adam YG. Malignant ascites: past, present, and future. J Am Coll Surg. 2004;198(6):999–1011.

    PubMed  Article  Google Scholar 

  45. Ayantunde AA, Parsons SL. Pattern and prognostic factors in patients with malignant ascites: a retrospective study. Ann Oncol Off J Eur Soc Med Oncol/ESMO. 2007;18(5):945–9.

    Article  CAS  Google Scholar 

  46. Chung M, Kozuch P. Treatment of malignant ascites. Curr Treat Options in Oncol. 2008;9(2–3):215–33.

    Article  Google Scholar 

  47. Scoffield JL, Humphreys WG, Clarke JC. Acute presentation of ascites in association with colon cancer. Ulster Med J. 1998;67(2):137–8.

    PubMed  CAS  Google Scholar 

  48. Becker G, Galandi D, Blum HE. Malignant ascites: systematic review and guideline for treatment. Eur J Cancer. 2006;42(5):589–97.

    PubMed  Article  Google Scholar 

  49. Makharia GK, Sharma BC, Bhasin DK, Singh K. Spontaneous bacterial peritonitis in a patient with gastric carcinoma. J Clin Gastroenterol. 1998;27(3):269–70.

    PubMed  Article  CAS  Google Scholar 

  50. Christie D, Denham J, Steigler A, et al. Delayed rectal and urinary symptomatology in patients treated for prostate cancer by radiotherapy with or without short term neo-adjuvant androgen deprivation. Radiother Oncol J Eur Soc Ther Radiol Oncol. 2005;77(2):117–25.

    Article  Google Scholar 

  51. Kirkpatrick ID, Greenberg HM. Gastrointestinal complications in the neutropenic patient: characterization and differentiation with abdominal CT. Radiology 2003;226(3):668–674.

    Google Scholar 

  52. Danielsson A, Nyhlin H, Persson H, Stendahl U, Stenling R, Suhr O. Chronic diarrhoea after radiotherapy for gynaecological cancer: occurrence and aetiology. Gut. 1991;32(10):1180–7.

    PubMed  Article  CAS  Google Scholar 

  53. Eifel PJ, Levenback C, Wharton JT, Oswald MJ. Time course and incidence of late complications in patients treated with radiation therapy for FIGO stage IB carcinoma of the uterine cervix. Int J Radiat Oncol Biol Phys. 1995;32(5):1289–300.

    PubMed  Article  CAS  Google Scholar 

  54. Hauer-Jensen M, Wang J, Denham JW. Mechanisms and modification of the radiation response of gastrointestinal organs. In: Milas L, Ang KK, Nieder C, editors. Modification of radiation response: cytokines, growth factors, and other biological targets. Heidelberg: Springer; 2002. p. 49–72.

    Google Scholar 

  55. Carr KE. Effects of radiation damage on intestinal morphology. Int Rev Cytol. 2001;208:1–119.

    PubMed  Article  CAS  Google Scholar 

  56. Fajardo LF. Alimentary tract. In: Pathology of radiation injury. New York: Masson Publishing; 1982. p. 47–76.

    Google Scholar 

  57. Denham JW, Hauer-Jensen M. The radiotherapeutic injury—a complex ‘wound’. Radiother Oncol J Eur Soc Ther Radiol Oncol. 2002;63(2):129–45.

    Article  Google Scholar 

  58. Larsen A, Reitan JB, Aase ST, Hauer-Jensen M. Long-term prognosis in patients with severe late radiation enteropathy: a prospective cohort study. World J Gastroenterol WJG. 2007;13(26):3610–3.

    Google Scholar 

  59. Regimbeau JM, Panis Y, Gouzi JL, Fagniez PL. Operative and long term results after surgery for chronic radiation enteritis. Am J Surg. 2001;182(3):237–42.

    PubMed  Article  CAS  Google Scholar 

  60. Lordick F, Geinitz H, Theisen J, Sendler A, Sarbia M. Increased risk of ischemic bowel complications during treatment with bevacizumab after pelvic irradiation: report of three cases. Int J Radiat Oncol Biol Phys. 2006;64(5):1295–8.

    PubMed  Article  CAS  Google Scholar 

  61. Yavuz MN, Yavuz AA, Aydin F, Can G, Kavgaci H. The efficacy of octreotide in the therapy of acute radiation-induced diarrhea: a randomized controlled study. Int J Radiat Oncol Biol Phys. 2002;54(1):195–202.

    PubMed  Article  CAS  Google Scholar 

  62. Andreyev HJ, Vlavianos P, Blake P, Dearnaley D, Norman AR, Tait D. Gastrointestinal symptoms after pelvic radiotherapy: role for the gastroenterologist? Int J Radiat Oncol Biol Phys. 2005;62(5):1464–71.

    PubMed  Article  Google Scholar 

  63. Denton AS, Andreyev HJ, Forbes A, Maher EJ. Systematic review for non-surgical interventions for the management of late radiation proctitis. Br J Cancer. 2002;87(2):134–43.

    PubMed  Article  CAS  Google Scholar 

  64. Cunningham SC, Fakhry K, Bass BL, Napolitano LM. Neutropenic enterocolitis in adults: case series and review of the literature. Dig Dis Sci. 2005;50(2):215–20.

    PubMed  Article  Google Scholar 

  65. Bremer CT, Monahan BP. Necrotizing enterocolitis in neutropenia and chemotherapy: a clinical update and old lessons relearned. Curr Gastroenterol Rep. 2006;8(4):333–41.

    PubMed  Article  Google Scholar 

  66. Rolston KV, Bodey GP, Safdar A. Polymicrobial infection in patients with cancer: an underappreciated and underreported entity. Clin Infect Dis Off Publ Infect Dis Soc Am. 2007;45(2):228–33.

    Article  Google Scholar 

  67. Schnoll-Sussman F, Kurtz RC. Gastrointestinal emergencies in the critically ill cancer patient. Semin Oncol. 2000;27(3):270–83.

    PubMed  CAS  Google Scholar 

  68. Kouroussis C, Samonis G, Androulakis N, et al. Successful conservative treatment of neutropenic enterocolitis complicating taxane-based chemotherapy: a report of five cases. Am J Clin Oncol. 2000;23(3):309–13.

    PubMed  Article  CAS  Google Scholar 

  69. O’brien S, Kantarjian HM, Anaissie E, Dodd G, Bodey GP. Successful medical management of neutropenic enterocolitis in adults with acute leukemia. South Med J. 1987;80(10):1233–5.

    PubMed  Article  Google Scholar 

Download references

Conflict of Interest

The authors declare that they have no conflict of interest.

Author information

Affiliations

Authors

Corresponding author

Correspondence to Charles R. Thomas Jr..

Rights and permissions

Reprints and Permissions

About this article

Cite this article

Barnett, A., Cedar, A., Siddiqui, F. et al. Colorectal Cancer Emergencies. J Gastrointest Canc 44, 132–142 (2013). https://doi.org/10.1007/s12029-012-9468-0

Download citation

  • Published:

  • Issue Date:

  • DOI: https://doi.org/10.1007/s12029-012-9468-0

Keywords

  • Cancer emergencies
  • Colorectal cancer