Skip to main content

Alpha-Fetoprotein-Producing Extrahepatic Tumor: Clinical and Histopathological Significance of a Case

Abstract

Introduction

The serum rise of alpha-fetoprotein (AFP) has been relationed to hepatic tumors. Other than these, such as gastric adenocarcinoma, can present with high levels of this glycoprotein. One rare kind of gastric adenocarcinoma, called hepatoid subtype, has two essential features: hepatoid differentiation in histology and high levels of AFP in serum.

Discussions

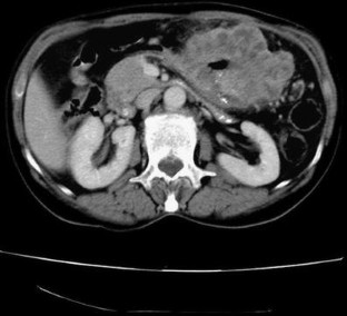
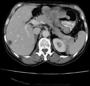
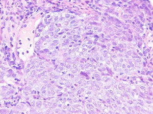
We report a Spanish female who consulted because of fatigue, anorexia, and weight loss. In laboratory data, she presented anemia and markedly elevation of AFP. On CT scan, a gastric mass resulted without hepatic dissemination, and subsequently, gastroduodenoscopy was performed for histological diagnosis. Then, an ulcerated mass was detected and sample was taken, resulting in poorly-differentiated adenocarcinoma of stomach with hepatoid tissue foci, with intense positivity for AFP-immunohistochemical staining. This rare cancer has poor prognosis even with early gastrectomy and chemotherapy.

This is a preview of subscription content, access via your institution.

Fig. 1
Fig. 2
Fig. 3
Fig. 4
Fig. 5

References

  1. Perkins GL, Slater ED, Sanders GK, Prichard JG. Serum tumor markers. Am Fam Physician. 2003;68:1075–82.

    PubMed  Google Scholar 

  2. Zhou L, Liu J, Luo F. Serum tumor markers for detection of hepatocellular carcinoma. World J Gastroenterol. 2006;12(8):1175–81.

    PubMed  CAS  Google Scholar 

  3. Ishikura H, Fukasawa Y, Ogasawara K, Natori T, Tsukada Y, Aizawa M. An AFP-producing gastric carcinoma with features of hepatic differentiation: a case report. Cancer. 1985;56:840–8.

    PubMed  Article  CAS  Google Scholar 

  4. Inagawa S, Shimazaki J, Hori M, Yoshimi F, Adachi S, Kawamoto T, et al. Hepatoid adenocarcinoma of the stomach. Gastric Cancer. 2001;4:43–52.

    PubMed  Article  CAS  Google Scholar 

  5. Bourreille J, Metayer P, Sauger F, Matray F, Fondimare A. Existence of alfa feto protein during gastric-origen secondary cancer of the liver. Presse Med. 1970;78:1277–8.

    PubMed  CAS  Google Scholar 

  6. Ishikura H, Kirimoto K, Shamoto M, Miyamoto Y, Yamagiwa H, Itoh T, et al. Hepatoid adenocarcinomas of the stomach. An analysis of seven cases. Cancer. 1986;58:119–26.

    PubMed  Article  CAS  Google Scholar 

  7. Plaza JA, Vitellas K, Frankel WL. Hepatoid adenocarcinoma of the stomach. Ann Diagn Pathol. 2004;8:137–41.

    PubMed  Article  Google Scholar 

  8. Nagai E, Ueyama T, Yao T, Tsuneyoshi M. Hepatoid adenocarcinoma of the stomach. A clinicopathologic and immunohistochemical analysis. Cancer. 1993;72:1827–35.

    PubMed  Article  CAS  Google Scholar 

  9. Ooi A, Nakanishi I, Sakamoto N, Tsukada Y, Takahashi Y, Minamoto T, et al. Alpha-fetoprotein (AFP)-producing gastric carcinoma. Is it hepatoid differentiation? Cancer. 1990;65:1741–7.

    PubMed  Article  CAS  Google Scholar 

  10. Akiyama S, Tamura G, Endoh Y, Fukushima N, Ichihara Y, Aizawa K, et al. Histogenesis of hepatoid adenocarcinoma of the stomach: molecular evidence of identical origin with coexistent tubular adenocarcinoma. Int J Cancer. 2003;106:510–5.

    PubMed  Article  CAS  Google Scholar 

  11. Lee MW, Lee JY, Kim YJ, Park E, Choi JY, Kim SH, et al. Gastric hepatoid adenocarcinoma: CT findings. Abdom Imaging. 2007;32:293–8.

    PubMed  Article  Google Scholar 

  12. Roberts C, Colby T, Batts K. Carcinoma of the stomach with hepatocyte differentiation (hepatoid adenocarcinoma). Mayo Clin Proc. 1997;72:1154–60.

    PubMed  Article  CAS  Google Scholar 

  13. Adachi Y, Tsuchihashi J, Shiraishi N, Yasuda K, Etoh T, Kitano S. AFP-producing gastric carcinoma: multivariate analysis of prognostic factors in 270 patients. Oncology. 2003;65:95–101.

    PubMed  Article  CAS  Google Scholar 

  14. Chen J, Röcken C, Treiber G, Jentsch-Ulrich K, Malfertheiner P, Ebert M. Clinical implications of alpha-fetoprotein expression in gastric adenocarcinoma. Dig Dis. 2003;21:357–62.

    PubMed  Article  Google Scholar 

  15. Kumashiro Y, Yao T, Aishima S, Hirahashi M, Nishiyama K, Yamada T, et al. Hepatoid adenocarcinoma of the stomach: histogenesis and progression in association with intestinal phenotype. Hum Pathol. 2007;38(6):857–63.

    PubMed  Article  CAS  Google Scholar 

  16. Chang YC, Nagasue N, Abe S, Kohno H, Kumar DD, Nakamura T. Alpha fetoprotein producing early gastric cancer with liver metastasis: report of three cases. Gut. 1991;32:542–5.

    PubMed  Article  CAS  Google Scholar 

Download references

Author information

Affiliations

Authors

Corresponding author

Correspondence to Jose A. Nuevo-Gonzalez.

Rights and permissions

Reprints and Permissions

About this article

Cite this article

Nuevo-Gonzalez, J.A., Cano-Ballesteros, J.C., Lopez, B. et al. Alpha-Fetoprotein-Producing Extrahepatic Tumor: Clinical and Histopathological Significance of a Case. J Gastrointest Canc 43, 28–31 (2012). https://doi.org/10.1007/s12029-011-9310-0

Download citation

  • Published:

  • Issue Date:

  • DOI: https://doi.org/10.1007/s12029-011-9310-0

Keywords

  • Gastric adenocarcinoma
  • Alpha-fetoprotein
  • Hepatoid adenocarcinoma of the stomach