Skip to main content

Malignant Appendiceal GIST: Case Report and Review of the Literature

Abstract

Introduction

Gastro-intestinal stromal tumors (GISTs) of the appendix are a rare entity. To date, only a handful has been described in the literature, all of which have been of the benign type.

Case Report

We present the first reported case of a malignant appendiceal GIST. The tumor was discovered when the patient presented with a peri-appendiceal abscess which appeared suspicious on CT. The abscess was drained and managed medically. The patient responded to antibiotic treatment but subsequent CT and biopsy confirmed the diagnosis of appendiceal GIST, and the patient was started on treatment with imatinab mesylate.

Discussion

One week after initiation of therapy, the patient returned with frank peritonitis necessitating surgery. Abdominal exploration revealed an appendiceal GIST locally invading and perforating adjacent bowel. We describe the complex presentation and course of the case as well as a literature review of the appendiceal GISTs and the current approach to treatment.

This is a preview of subscription content, access via your institution.

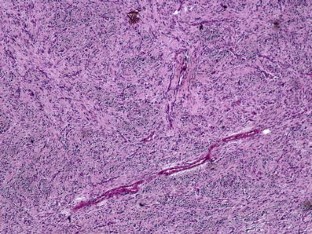
Fig 1
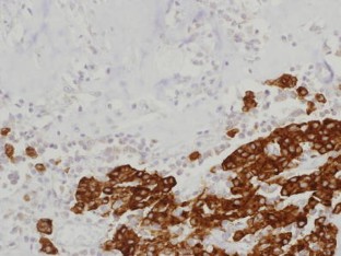
Fig. 2
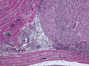
Fig. 3

References

  1. Agaimy A, Wusch PH. Gastrointestinal stromal tumours: a regular origin in the muscularis propria, but an extremely diverse gross presentation. Langenbecks Arch Surg. 2006;391:322–9.

    Article  PubMed  Google Scholar 

  2. Agaimy A, Pelz AF, Wieacker P, Roessner A, Wunsch PH, Schneider-Stock R. Gastrointestinal stromal tumors of the vermiform appendix: clinicopathologic, immunohistochemical, and molecular study of 2 cases with literature review. Hum Pathol. 2008;39:1252–7.

    Article  CAS  PubMed  Google Scholar 

  3. Issakov J, Jiveliouk I, Nachmany I, Klausner J, Merimsky O. A histopathological review of gastrointestinal related mesenchymal tumors: the hidden GIST. Isr Med Assoc J. 2007;9:810–2.

    PubMed  Google Scholar 

  4. Badalamenti G, Rodolico V, Fulfaro F, et al. Gastrointestinal stromal tumors (GISTs): focus on histopathological diagnosis and biomolecular features. Ann Oncol. 2007;18:136–40.

    Article  Google Scholar 

  5. Siehl J, Thiel E. C-kit, GIST, and imatinib. Recent Results Cancer Res. 2007;176:145–51.

    Article  CAS  PubMed  Google Scholar 

  6. Emory TS, Sobin LH, Lukes L, et al. Prognosis of gastrointestinal smooth-muscle (stromal) tumors: dependence on anatomic site. Am J Surg Pathol. 1999;23:82–7.

    Article  CAS  PubMed  Google Scholar 

  7. Miettinen M, Lasota J. Gastrointestinal stromal tumors: pathology and prognosis at different sites. Semin Diagn Pathol. 2006;23:70–83.

    Article  PubMed  Google Scholar 

  8. Miettinen M, Sobin LH. Gastrointestinal stromal tumors of the vermiform appendix. Clinicopathologic and immunohistochemical study of four cases. Am J Surg Pathol. 2001;25:1433–7.

    Article  CAS  PubMed  Google Scholar 

  9. Yap WM, Tan HW, Goh SGN, Chuah KL. Appendiceal gastrointestinal stromal tumor. Am J Surg Pathol. 2005;29:1545–7.

    PubMed  Google Scholar 

  10. Kim KJ, Moon W, Park MI, Park SJ, Lee SH, Chun BK. Gastrointestinal stromal tumor of appendix incidentally diagnosed by appendiceal hemorrhage. World J Gastroenterol. 2007;23:3265–7.

    Google Scholar 

  11. Blay JY, Bonvalot S, Casali P, et al. Consensus meeting for the management of gastrointestinal stromal tumors. Report of the GIST Consensus Conference on 20–21 March 2004, under the auspices of ESMO. Ann Oncol. 2005;16:566–78.

    Article  PubMed  Google Scholar 

  12. Joensuu H, Fletcher C, Dimitrijevic S, Silberman S, Roberts P, Demetri G. Management of malignant gastrointestinal stromal tumours. Lancet Oncol. 2002;3:655–64.

    Article  CAS  PubMed  Google Scholar 

  13. Rubin BP, Heinrich MC, Corless CL. Gastrointestinal stromal tumour. Lancet. 2007;369:1731–41.

    Article  CAS  PubMed  Google Scholar 

  14. Rubin and Duensing A. Mechanisms of resistance to small molecule kinase inhibition in the treatment of solid tumors. Lab Invest 2006, 86: 981–6.

  15. Verweij J, Casali PG, Zalcberg J, et al. Progression-free survival in gastrointestinal stromal tumours with high-dose imatinib: randomised trial. Lancet. 2004;364:1127–34.

    Article  CAS  PubMed  Google Scholar 

  16. Dematteo RP, Heinrich MC, El-Rifai WM, Demetri G. Clinical management of gastrointestinal stromal tumors: before and after STI-571. Hum Pathol. 2002;33:466–77.

    Article  CAS  PubMed  Google Scholar 

  17. Fletcher CDM, Berman JJ, Corless C, et al. Diagnosis of gastrointestinal stromal tumors: a consensus approach. Hum Pathol. 2002;33:459–65.

    Article  PubMed  Google Scholar 

Download references

Author information

Affiliations

Authors

Corresponding author

Correspondence to Avraham Schlager.

Rights and permissions

Reprints and Permissions

About this article

Cite this article

Elazary, R., Schlager, A., Khalaileh, A. et al. Malignant Appendiceal GIST: Case Report and Review of the Literature. J Gastrointest Canc 41, 9–12 (2010). https://doi.org/10.1007/s12029-009-9113-8

Download citation

  • Published:

  • Issue Date:

  • DOI: https://doi.org/10.1007/s12029-009-9113-8

Keywords

  • gastrointestinal stromal tumor
  • appendix
  • imatinib mesylate
  • c-kit