Skip to main content

The Relationships Between Loss of Standard CD44 Expression and Lymph Node, Liver Metastasis in T3 Colorectal Carcinoma

Abstract

Purpose

The aim of the present study was to evaluate the standard CD44 (CD44s) expression in colorectal cancer (CRC) with invasion to the subserosal layer (T3), its relationship with clinicopathological characteristics, and its potential metastatic significance.

Materials and Methods

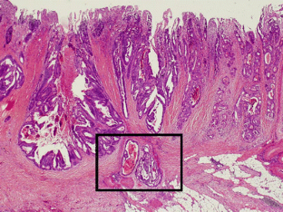
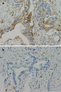
CD44s expression was measured on immunohistochemistry in tumors from 65 patients with primary colorectal carcinomas. CD44s expression was estimated at the deepest invaded area of the tumor in subserosal layer.

Results

CD44s was demonstrated in 35.4% (23/65). CD44s expression showed no significant relationship with the clinicopathological characteristics such as age, gender, tumor location, tumor size, and macroscopic/microscopic classification. However, the CD44s expression showed significantly adverse relationship with lymph node metastasis (p < 0.05) and liver metastasis (p < 0.01), respectively.

Conclusion

The loss of CD44s expression in cancer cells in the deepest invaded area is a good marker for predicting potential metastasis to lymph nodes and liver in T3 CRC.

This is a preview of subscription content, access via your institution.

Fig. 1
Fig. 2

References

  1. Huh JW, Kim HR, Kim YJ, Lee JH, Park YS, et al. Expression of standard CD44 in human colorectal carcinoma: association with prognosis. Pathol Int. 2009;59:241–6.

    Article  CAS  PubMed  Google Scholar 

  2. Furuta K, Zahurak M, Yang XL, Rosada C, Goodman SN, August JT, et al. Relationship between cd44 expression and cell proliferation in epithelium and stroma of colorectal neoplasms. Am J Pathol. 1996;149:1147–55.

    CAS  PubMed  Google Scholar 

  3. Fernández JC, Vizoso FJ, Corte MD, Gava RR, Corte MG, et al. CD44s expression in resectable colorectal carcinomas and surrounding mucosa. Cancer Invest. 2004;22:878–85.

    Article  PubMed  Google Scholar 

  4. Ropponen KM, Eskelinen MJ, Lipponen PK, Alhava E, Kosma VM. Expression of CD44 and variant proteins in human colorectal cancer and its relevance for prognosis. Scand J Gastroenterol. 1998;33:301–9.

    Article  CAS  PubMed  Google Scholar 

  5. Heider KH, Hofmann M, Hors E, van den Berg F, Ponta H, et al. A human homologue of the rat metastasis-associated variant of CD44 is expressed in colorectal carcinomas and adenomatous polyps. J Cell Biol. 1993;120:227–33.

    Article  CAS  PubMed  Google Scholar 

  6. Ylagan LR, Scholes J, Demopoulos R. Cd44: a marker of squamous differentiation in adenosquamous neoplasms. Arch Pathol Lab Med. 2000;124:212–15.

    CAS  PubMed  Google Scholar 

  7. Asao T, Nakamura J, Shitara Y, Tsutsumi S, Mochiki E, et al. Loss of standard type of CD44 expression in invaded area as a good indicator of lymph-node metastasis in colorectal carcinoma. Dis Colon Rectum. 2000;43:1250–4.

    Article  CAS  PubMed  Google Scholar 

  8. Gong Y, Sun X, Huo L, Wiley EL, Rao MS. Expression of cell adhesion molecules, CD44s and E-cadherin, and microvessel density in invasive micropapillary carcinoma of the breast. Histopathology. 2005;46:24–30.

    Article  CAS  PubMed  Google Scholar 

  9. Günthert U, Hofmann M, Rudy W, Reber S, Zöller M, et al. A new variant of glycoprotein CD44 confers metastatic potential to rat carcinoma cells. Cell. 1991;65:13–24.

    Article  PubMed  Google Scholar 

  10. Stamenkovic I, Amiot M, Pesando JM, Seed B. A lymphocyte molecule implicated in lymph node homing is a member of the cartilage link protein family. Cell. 1989;56:1057–62.

    Article  CAS  PubMed  Google Scholar 

  11. Sneath RJ, Mangham DC. The normal structure and function of CD44 and its role in neoplasia. Mol Pathol. 1998;51:191–200.

    Article  CAS  PubMed  Google Scholar 

  12. Fujita N, Yaegashi N, Ide Y, Sato S, Nakamura M, et al. Expression of CD44 in normal human versus tumor endometrial tissues: possible implication of reduced expression of CD44 in lymph-vascular space involvement of cancer cells. Cancer Res. 1994;54:3922–8.

    CAS  PubMed  Google Scholar 

  13. Carinci F, Stabellini G, Calvitti M, Pelucchi S, Targa L, et al. CD44 as prognostic factor in oral and oropharyngeal squamous cell carcinoma. J Craniofac Surg. 2002;13:85–9.

    Article  PubMed  Google Scholar 

  14. Sato S, Miyauchi M, Takekoshi T, Zhao M, Kudo Y, et al. Reduced expression of CD44 variant 9 is related to lymph node metastasis and poor survival in squamous cell carcinoma of tongue. Oral Oncol. 2000;36:545–9.

    Article  CAS  PubMed  Google Scholar 

Download references

Author information

Affiliations

Authors

Corresponding author

Correspondence to Toshiaki Kunimura.

Rights and permissions

Reprints and Permissions

About this article

Cite this article

Kunimura, T., Yoshida, T., Sugiyama, T. et al. The Relationships Between Loss of Standard CD44 Expression and Lymph Node, Liver Metastasis in T3 Colorectal Carcinoma. J Gastrointest Canc 40, 115 (2009). https://doi.org/10.1007/s12029-009-9100-0

Download citation

  • Published:

  • DOI: https://doi.org/10.1007/s12029-009-9100-0

Keywords

  • CD44s
  • T3 colorectal cancer
  • lymph node metastasis
  • liver metastasis