Skip to main content

Occurrence of Perimesencephalic Subarachnoid Hemorrhage During Pregnancy

Abstract

Background

Perimesencephalic subarachnoid hemorrhage (P-SAH) is a benign subset of subarachnoid hemorrhage with a favorable prognosis and low rate of re-bleeding. Risk factors may include hypertension and tobacco use, but it has not previously been reported during pregnancy.

Methods

We report two cases of P-SAH in pregnant women, a 40-year-old female, 8-weeks pregnant and a 37-year-old female at 35 weeks gestational age.

Results

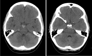
CT scan confirmed P-SAH in both cases. CT angiography in one case and cerebral angiogram in the other did not reveal aneurysm or other potential bleeding source. The patients underwent transcranial Doppler ultrasound monitoring without evidence of vasospasm.

Conclusion

P-SAH hemorrhage may occur during early or late pregnancy. We do not propose an increased risk of P-SAH during pregnancy. The clinical course appears favorable and CT angiography alone may be considered the preferred diagnostic test to assess for aneurysm in first trimester pregnancy.

This is a preview of subscription content, access via your institution.

Fig. 1
Fig. 2
Fig. 3

References

  1. Riviello C, Ammannati F, Bordi L, Lamassa M, Mennonna P, Parretti E, et al. Pregnancy and subarachnoid hemorrhage: a case report. J Matern Fetal Neonatal Med. 2004;16(4):245–6. doi:10.1080/14767050400014469.

    PubMed  Article  CAS  Google Scholar 

  2. Selo-Ojeme DO, Marshman LA, Ikomi A, Ojutiku D, Aspoas RA, Chawda SJ, et al. Aneurysmal subarachnoid haemorrhage in pregnancy. Eur J Obstet Gynecol Reprod Biol. 2004;116(2):131–43.

    PubMed  Article  Google Scholar 

  3. Kershenovich A, Rappaport ZH, Maimon S. Brain computed tomography angiographic scans as the sole diagnostic examination for excluding aneurysms in patients with perimesencephalic subarachnoid hemorrhage. Neurosurgery. 2006;59(4):798–801. doi:10.1227/01.NEU.0000232724.19888.C6.

    PubMed  Article  Google Scholar 

  4. Van Gijn J, van Dongen KJ, Vermeulen M, Hijdra A. Perimesencephalic hemorrhage: a nonaneurysmal and benign form of subarachnoid hemorrhage. Neurology. 1985;35:493–7.

    PubMed  Google Scholar 

  5. Greebe P, Rinkel GJ. Life expectancy after perimesencephalic subarachnoid hemorrhage. Stroke. 2007;38(4):1222–4. doi:10.1161/01.STR.0000260093.49693.7a.

    PubMed  Article  Google Scholar 

  6. Sheehan JM, Cloft H, Kassell NF. Symptomatic delayed arterial spasm following non-aneurysmal perimesencephalic subarachnoid hemorrhage: a case report and review of the literature. Acta Neurochir (Wien). 2000;142:709–12. doi:10.1007/s007010070117.

    Article  CAS  Google Scholar 

  7. Feske SK. Stroke in pregnancy. Semin Neurol. 2007;27(5):442–52. doi:10.1055/s-2007-991126.

    PubMed  Article  Google Scholar 

  8. Moussouttas M, Abubakr A, Grewal RP, Papamitsakis N. Eclamptic subarachnoid haemorrhage without hypertension. J Clin Neurosci. 2006;13(4):474–6. doi:10.1016/j.jocn.2005.05.017.

    PubMed  Article  Google Scholar 

  9. Rinkel GJE, Wijdicks EFM, Vermeulen M, Ramos LMP, Tanghe HLJ, Hasan D, et al. Non-aneurismal perimesencephalic subarachnoid hemorrhage: CT and MR patterns that differ from aneurysm rupture. AJNR Am J Neuroradiol. 1991;12:829–34.

    PubMed  CAS  Google Scholar 

  10. Canhao P, Falcao F, Pinho e Melo T, Ferro H, Ferro J. Vascular risk factors for perimesencephalic non-aneurismal subarachnoid hemorrhage. J Neurol. 1999;246:492–6. doi:10.1007/s004150050389.

    PubMed  Article  CAS  Google Scholar 

  11. Hull AD, Long DM, Longo LD, Pearce WJ. Pregnancy-induced changes in ovine cerebral arteries. Am J Physiol. 1992;262(1 Pt 2):R137–43.

    PubMed  CAS  Google Scholar 

  12. Lindqvist PG, Marsál K, Pirhonen JP. Maternal cerebral Doppler velocimetry before, during, and after a normal pregnancy: a longitudinal study. Acta Obstet Gynecol Scand. 2006;85(11):1299–303.

    PubMed  Article  Google Scholar 

  13. Belfort MA, Tooke-Miller C, Varner M, Saade G, Grunewald C, Nisell H. Evaluation of a noninvasive transcranial Doppler and blood pressure-based method for the assessment of cerebral perfusion pressure in pregnant women. Hypertens Pregnancy. 2000;19(3):331–40. doi:10.1081/PRG-100101995.

    PubMed  Article  CAS  Google Scholar 

  14. Daenekindt T, Wilms G, Thijs V, Demaerel P, Van Calenbergh F. Variants of the basal vein of Rosenthal and perimesencephalic non-aneurismal hemorrhage. Surg Neurol. 2008;69(5):526–9. doi:10.1016/j.surneu.2007.03.039.

    PubMed  Article  Google Scholar 

  15. Shad A, Rourke TJ, Hamidian Jahromi A, Green AL. Straight sinus stenosis as a proposed cause of perimesencephalic non-aneurysmal haemorrhage. J Clin Neurosci. 2008;15(7):839–41. doi:10.1016/j.jocn.2007.03.024.

    PubMed  Article  Google Scholar 

  16. Schievink WI, Wijdicks EFM. Origin of pretruncal nonaneurysmal subarachnoid hemorrhage: ruptured vein, perforating artery, or intramural hematoma? Mayo Clin Proc. 2007;75(11):1169–73.

    Article  Google Scholar 

  17. Ruigrok YM, Rinkel GJ, Buskens E, Velthuis BK, van Gijn J. Perimesencephalic hemorrhage and CT angiography: a decision analysis. Stroke. 2000;31:2976–83.

    PubMed  CAS  Google Scholar 

Download references

Author information

Affiliations

Authors

Corresponding author

Correspondence to Wendy C. Ziai.

Rights and permissions

Reprints and Permissions

About this article

Cite this article

Hirsch, K.G., Froehler, M.T., Huang, J. et al. Occurrence of Perimesencephalic Subarachnoid Hemorrhage During Pregnancy. Neurocrit Care 10, 339–343 (2009). https://doi.org/10.1007/s12028-009-9189-9

Download citation

  • Received:

  • Accepted:

  • Published:

  • Issue Date:

  • DOI: https://doi.org/10.1007/s12028-009-9189-9

Keywords

  • Subarachnoid hemorrhage
  • Pregnancy
  • Cerebral angiography
  • Perimesencephalic hemorrhage
  • Vasospasm