Abstract
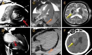
Conventional autopsy is the gold standard for identifying unexplained death but due to declines in referrals, there is an emerging role for post-mortem imaging. We evaluated whether post-mortem magnetic resonance (PMMR) and computed tomography (PMCT) are inferior to conventional autopsy. Deceased individuals ≥ 2 years old with unexplained death referred for coronial investigation between October 2014 to December 2016 underwent PMCT and PMMR prior to conventional autopsy. Images were reported separately and then compared to the autopsy findings by independent and blinded investigators. Outcomes included the accuracy of imaging modalities to identify an organ system cause of death and other significant abnormalities. Sixty-nine individuals underwent post-mortem scanning and autopsy (50 males; 73%) with a median age of 61 years (IQR 50–73) and median time from death to imaging of 2 days (IQR 2–3). With autopsy, 48 (70%) had an organ system cause of death and were included in assessing primary outcome while the remaining 21 (30%) were only included in assessing secondary outcome; 12 (17%) had a non-structural cause and 9 (13%) had no identifiable cause. PMMR and PMCT identified the cause of death in 58% (28/48) of cases; 50% (24/48) for PMMR and 35% (17/48) for PMCT. The sensitivity and specificity were 57% and 57% for PMMR and 38% and 73% for PMCT. Both PMMR and PMCT identified 61% (57/94) of other significant abnormalities. Post-mortem imaging is inferior to autopsy but when reported by experienced clinicians, PMMR provides important information for cardiac and neurological deaths while PMCT is beneficial for neurological, traumatic and gastrointestinal deaths.


Availability of data availability
The datasets used and/or analysed during the current study are available from the corresponding author upon request.
References
Mason JK. Forensic medicine for lawyers. 3rd ed. London: Butterworths; 1995.
Peres LC. Post-mortem examination in the United Kingdom: present and future. Autopsy Case Report. 2017;7:1–3.
Friberg N, Ljungberg O, Berglund E, Berglund D, Ljungberg R, et al. Cause of death and significant disease found at autopsy. Virchows Arch. 2019;475:781–8.
O’Grady G. Death of the teaching autopsy. BMJ. 2003;327:802–3.
Femia G, Semarian C, Langlois N, McGuire M, Raleigh J, et al. Post-mortem imaging adjudicated sudden death: Causes and controversies. Heart Lung Circ. 2019;28:15–21.
Taylor A, Sebire N, Ashworth M, Schievano S, Scott R, et al. Postmortem cardiovascular magnetic resonace imaging in fetuses and children: a masked comparison study. Circulation. 2014;129:1937–44.
Roberts I, Benamore R, Benbow E, Lee S, Harris J, et al. Post-mortem imaging as an alternative to autopsy in the diagnosis of adult death: a validaion study. Lancet. 2012;379:136–42.
Thayyil S, Sebire N, Chitty L, Wade A, Chong W, et al. Post-mortem MRI versus conventional autopsy in fetuses and children: a prospective validation study. Lancet. 2013;382:223–33.
Arthurs O, Guy A, Thayyil S, Wade A, Jones R, et al. Comparison of diagnostic performance for perinatal and paediatric post-mortem imaging: CT versus MRI. Eur Radiol. 2016;26:2327–36.
Puranik R, Gray B, Lackey H, Yeates L, Parker G, et al. Comparison of conventional autopsy and magnetic resonance imaging in determing the cause of suddent death in the young. J Cardiovasc Mag Res. 2014;16:44–55.
Ruder T, Thali M, Hatch G. Essentials of forensic post-mortem MR imaging in adults. Br J Radiol. 2014;87:20130567.
Jalalzadeh H, Giannakopoulos G, Berger F, Fronczek J, van de Goot F, et al. Post-mortem imaging compared with autopsy in trauma victims - A systematic review. Forensic Sci Int. 2015;257:29–48.
Kasahara S, Makino Y, Hayakawa M, Yajima D, Ito H, et al. Diagnosable and non-diagnosable cases of death by postmortem computed tomography: A review of 339 forensic cases. Leg Med. 2012;14:239–45.
Davies D, Graves D, Landgren A, Lawrence C, Lipsett J, et al. The decline of the hospital autopsy: a safety and quality issue for healthcare in Australia. Med J Aust. 2004;180:281–5.
Thayyil S, Chandrasekaran M, Chitty LS, Wade A, Skordis-Worrall J, et al. Diagnostic accuracy of post-mortem magnetic resonance imaging in fetuses, children and adults: a systematic review. Eu J Radiol. 2010;75:142–8.
Grabherr S, Egger C, Vilarino R, Campana L, Jotterand M, et al. Modern post-mortem imaging: an update on recent developments. Forensic Sci Res. 2017;2:52–64.
Smith A, Traill Z, Roberts I. Post-mortem imaging in adults Diag Histopathol. 2018;24:365–71.
Morgan B, Rutty G. How does post-mortem imaging compare to autopsy, is this a relevant question? J Forensic Radiol Imag. 2016;4:2–6.
Bedford P. Routine CT scan combined with preliminary examination as a new method in determining the need for autopsy. Forensic Sci Med Pathol. 2012;8:390–4.
Author information
Authors and Affiliations
Contributions
All authors were involved in at least one of the following: designed study, reported scans or autopsy, data collection, analysed and interpreted data, wrote and approved final manuscript.
Corresponding author
Additional information
Publisher’s Note
Springer Nature remains neutral with regard to jurisdictional claims in published maps and institutional affiliations.
Topical Collection of Images in Forensics
Rights and permissions
About this article
Cite this article
Femia, G., Langlois, N., Raleigh, J. et al. Comparison of conventional autopsy with post-mortem magnetic resonance, computed tomography in determining the cause of unexplained death. Forensic Sci Med Pathol 17, 10–18 (2021). https://doi.org/10.1007/s12024-020-00343-z
Accepted:
Published:
Issue Date:
DOI: https://doi.org/10.1007/s12024-020-00343-z