Skip to main content

Histopathological and Immunophenotypic Changes of Pancreatic Neuroendocrine Tumors after Neoadjuvant Peptide Receptor Radionuclide Therapy (PRRT)

Abstract

Peptide Receptor Radionuclide Therapy (PRRT) is an emerging therapeutic option for pancreatic neuroendocrine tumors (PanNETs). A possible role for PRRT as a neoadjuvant agent is still largely undetermined, explored only in case reports or small case series. Likewise, the histopathological and immunophenotypic changes induced by PRRT are poorly characterized. In the present study, 24 patients who underwent neoadjuvant PRRT on the basis of their disease’s characteristics were retrospectively matched with 24 patients who underwent upfront surgery. A comprehensive morphological and immunohistochemical evaluation was conducted to identify the differences in the two groups. The most significant findings were that the total percentage of stroma increased significantly in patients who underwent PRRT (p < 0.0001) and the characteristics of the stroma were different in the two groups. The somatostatin receptors type 2A (SSTR2A) were retained in most patients (87%) after PRRT. The density of CD163+ M2-polarized macrophages was greater in the PRRT group (p = 0.022), and M2-polarized macrophages tended to assume an epithelioid morphology (p = 0.043). In the neoadjuvant PRRT group, none of the histological parameters considered were associated with progression-free survival (PFS). Neoadjuvant PRRT in PanNETs is associated with reduced tumor diameter, an increased percentage of stroma, preserved SSTR2A expression in most of the cases, and an increased CD163+ M2-polarized macrophages density.

This is a preview of subscription content, access via your institution.

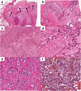
Fig. 1
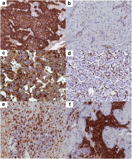
Fig. 2
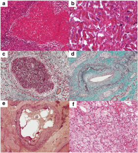
Fig. 3
Fig. 4
Fig. 5
Fig. 6
Fig. 7

References

  1. Falconi M, Eriksson B, Kaltsas G, Bartsch DK, Capdevila J, Caplin M, et al. ENETS Consensus Guidelines Update for the Management of Patients with Functional Pancreatic Neuroendocrine Tumors and Non-Functional Pancreatic Neuroendocrine Tumors. Neuroendocrinology. 2016. DOI: https://doi.org/10.1159/000443171

    CAS  Article  Google Scholar 

  2. Pavel M, Valle JW, Eriksson B, Rinke A, Caplin M, Chen J, et al. ENETS Consensus Guidelines for the Standards of Care in Neuroendocrine Neoplasms: Systemic Therapy-Biotherapy and Novel Targeted Agents. Neuroendocrinology. 2017. DOI: https://doi.org/10.1159/000471880

    CAS  Article  Google Scholar 

  3. Garcia-Carbonero R, Rinke A, Valle JW, Fazio N, Caplin M, Gorbounova V, et al. ENETS Consensus Guidelines for the Standards of Care in Neuroendocrine Neoplasms: Systemic Therapy-Chemotherapy. Neuroendocrinology. 2017. DOI: https://doi.org/10.1159/000473892

    CAS  Article  Google Scholar 

  4. Bodei L, Cremonesi M, Zoboli S, Grana C, Bartolomei M, Rocca P, et al. Receptor-mediated radionuclide therapy with 90Y-DOTATOC in association with amino acid infusion: A phase I study. European Journal of Nuclear Medicine and Molecular Imaging 2003 DOI: https://doi.org/10.1007/s00259-002-1023-y

    CAS  Article  Google Scholar 

  5. Kwekkeboom DJ, de Herder WW, Kam BL, van Eijck CH, van Essen M, Kooij PP, et al. Treatment with the radiolabeled somatostatin analog [177 Lu-DOTA 0,Tyr3]octreotate: toxicity, efficacy, and survival. Journal of Clinical Oncology 2008 May;26(13):2124–30.

    CAS  Article  Google Scholar 

  6. Strosberg J, El-Haddad G, Wolin E, Hendifar A, Yao J, Chasen B, et al. Phase 3 trial of 177lu-dotatate for midgut neuroendocrine tumors. The New England Journal of Medicine 2017. DOI: https://doi.org/10.1056/NEJMoa1607427

    CAS  Article  Google Scholar 

  7. Hicks RJ, Kwekkeboom DJ, Krenning E, Bodei L, Grozinsky-Glasberg S, Arnold R, et al. ENETS Consensus Guidelines for the Standards of Care in Neuroendocrine Neoplasia: Peptide Receptor Radionuclide Therapy with Radiolabeled Somatostatin Analogues. Neuroendocrinology. 2017. DOI: https://doi.org/10.1159/000475526

    CAS  Article  Google Scholar 

  8. Kwekkeboom DJ, Krenning EP. Peptide Receptor Radionuclide Therapy in the Treatment of Neuroendocrine Tumors. Hematology/Oncology Clinics of North America 2016 DOI: https://doi.org/10.1016/j.hoc.2015.09.009

    Article  Google Scholar 

  9. Campana D, Capurso G, Partelli S, Nori F, Panzuto F, Tamburrino D, et al. Radiolabelled somatostatin analogue treatment in gastroenteropancreatic neuroendocrine tumours: Factors associated with response and suggestions for therapeutic sequence. European Journal of Nuclear Medicine and Molecular Imaging 2013 DOI: https://doi.org/10.1007/s00259-013-2402-2

    CAS  Article  Google Scholar 

  10. Bertani E, Fazio N, Radice D, Zardini C, Grana C, Bodei L, et al. Resection of the Primary Tumor Followed by Peptide Receptor Radionuclide Therapy as Upfront Strategy for the Treatment of G1–G2 Pancreatic Neuroendocrine Tumors with Unresectable Liver Metastases. Annals of Surgical Oncology 2016 DOI: https://doi.org/10.1245/s10434-016-5550-3

    Article  Google Scholar 

  11. Van Vliet EI, Van Eijck CH, De Krijger RR, Van Dijkum EJN, Teunissen JJ, Kam BL, et al. Neoadjuvant treatment of nonfunctioning pancreatic neuroendocrine tumors with [ 177 Lu-DOTA 0 ,Tyr 3 ]octreotate. Journal of Nuclear Medicine 2015 DOI: https://doi.org/10.2967/jnumed.115.158899

    CAS  Article  Google Scholar 

  12. Partelli S, Bertani E, Bartolomei M, Perali C, Muffatti F, Grana CM, et al. Peptide receptor radionuclide therapy as neoadjuvant therapy for resectable or potentially resectable pancreatic neuroendocrine neoplasms. Surg (United States). 2018 DOI: https://doi.org/10.1016/j.surg.2017.11.007

    Book  Google Scholar 

  13. World medical association declaration of Helsinki: Ethical principles for medical research involving human subjects. JAMA. 2013 DOI: https://doi.org/10.1001/jama.2013.281053

  14. Lloyd, RV, Osamura, RY, Kloppel, G, Rosai J, editor. WHO Classification of Tumours of Endocrine Organs. 4th ed. Lyon: IARC Press; 2017.

    Google Scholar 

  15. Brierly, James D.; Gospodarowicz, Mary K.; Witteking C, editor. TNM Classification of Malignant Tumours. Eighth. Oxford; : John Wiley & Sons; 2017.

    Google Scholar 

  16. Panni RZ, Gonzalez I, Hartley CP, Williams GA, Liu J, Hawkins WG, et al. Residual Tumor Index: A Prognostically Significant Pathologic Parameter in Neoadjuvant-treated Pancreatic Ductal Adenocarcinoma. DOI: 1097/PAS.0000000000001144

  17. Marion-Audibert AM, Barel C, Gouysse G, Dumortier J, Pilleul F, Pourreyron C, et al. Low microvessel density is an unfavorable histoprognostic factor in pancreatic endocrine tumors. Gastroenterology. 2003 DOI: https://doi.org/10.1016/S0016-5085(03)01198-3

    Article  Google Scholar 

  18. Volante M, Brizzi MP, Faggiano A, Rosa S La, Rapa I, Ferrero A, et al. Somatostatin receptor type 2A immunohistochemistry in neuroendocrine tumors: A proposal of scoring system correlated with somatostatin receptor scintigraphy. Modern Pathology 2007 DOI: https://doi.org/10.1038/modpathol.3800954

    CAS  Article  Google Scholar 

  19. Kaemmerer D, Prasad V, Daffner W, Hörsch D, Klöppel G, Hommann M, et al. Neoadjuvant peptide receptor radionuclide therapy for an inoperable neuroendocrine pancreatic tumor. World Journal of Gastroenterology 2009 DOI: https://doi.org/10.3748/wjg.15.5867

    Article  Google Scholar 

  20. Stoeltzing O, Huber E, Loss M, Gross V, Eilles C, Mueller-Brand J, et al. Staged surgery with neoadjuvant 90Y-DOTATOC therapy for down-sizing synchronous bilobular hepatic metastases from a neuroendocrine pancreatic tumor. Langenbeck's Archives of Surgery 2010 DOI: https://doi.org/10.1007/s00423-009-0520-x

    Article  Google Scholar 

  21. Sowa-Staszczak A, Pach D, Chrzan R, Trofimiuk M, Stefańska A, Tomaszuk M, et al. Peptide receptor radionuclide therapy as a potential tool for neoadjuvant therapy in patients with inoperable neuroendocrine tumours (NETs). European Journal of Nuclear Medicine and Molecular Imaging 2011 DOI: https://doi.org/10.1007/s00259-011-1835-8

    CAS  Article  Google Scholar 

  22. Barber TW, Hofman MS, Thomson BNJ, Hicks RJ. The potential for induction peptide receptor chemoradionuclide therapy to render inoperable pancreatic and duodenal neuroendocrine tumours resectable. European Journal of Surgical Oncology 2012 DOI: https://doi.org/10.1016/j.ejso.2011.08.129

    CAS  Article  Google Scholar 

  23. Ezziddin S, Lauschke H, Schaefers M, Meyer C, Van Essen M, Biersack HJ, et al. Neoadjuvant downsizing by internal radiation: A case for preoperative peptide receptor radionuclide therapy in patients with pancreatic neuroendocrine tumors. Clinical Nuclear Medicine 2012 DOI: https://doi.org/10.1097/RLU.0b013e318238f111

    Article  Google Scholar 

  24. Smit Duijzentkunst DA, Kwekkeboom DJ, Bodei L. Somatostatin receptor 2-targeting compounds. Journal of Nuclear Medicine 2017 DOI: https://doi.org/10.2967/jnumed.117.191015

    Article  Google Scholar 

  25. Deshpande V, Fernandez-Del Castillo C, Muzikansky A, Deshpande A, Zukerberg L, Warshaw AL, et al. Cytokeratin 19 is a powerful predictor of survival in pancreatic endocrine tumors. The American Journal of Surgical Pathology 2004 DOI: https://doi.org/10.1097/01.pas.0000135525.11566.b4

    Article  Google Scholar 

  26. Jain R, Fischer S, Serra S, Chetty R. The use of cytokeratin 19 (CK19) immunohistochemistry in lesions of the pancreas, gastrointestinal tract, and liver. Applied Immunohistochemistry & Molecular Morphology 2010 DOI: https://doi.org/10.1097/PAI.0b013e3181ad36ea

    CAS  Article  Google Scholar 

  27. Marinoni I, Kurrer AS, Vassella E, Dettmer M, Rudolph T, Banz V, et al. Loss of DAXX and ATRX are associated with chromosome instability and reduced survival of patients with pancreatic neuroendocrine tumors. Gastroenterology. 2014 DOI: https://doi.org/10.1053/j.gastro.2013.10.020

    Article  Google Scholar 

  28. Chou A, Itchins M, de Reuver PR, Arena J, Clarkson A, Sheen A, et al. ATRX loss is an independent predictor of poor survival in pancreatic neuroendocrine tumors. Human Pathology 2018 DOI: https://doi.org/10.1016/j.humpath.2018.07.032

    CAS  Article  Google Scholar 

  29. La Rosa S, Uccella S, Finzi G, Albarello L, Sessa F, Capella C. Localization of vascular endothelial growth factor and its receptors in digestive endocrine tumors: Correlation with microvessel density and clinicopathologic. Human Pathology 2003 DOI: https://doi.org/10.1053/hupa.2003.56

    CAS  Article  Google Scholar 

  30. Tan G, Cioc AM, Perez-Montiel D, Ellison EC, Frankel WL. Microvascular Density Does Not Correlate with Histopathology and Outcome in Neuroendocrine Tumors of the Pancreas. Applied Immunohistochemistry & Molecular Morphology 2004 DOI: https://doi.org/10.1097/00129039-200403000-00006

  31. Takahashi Y, Akishima-Fukasawa Y, Kobayashi N, Sano T, Kosuge T, Nimura Y, et al. Prognostic value of tumor architecture, tumor-associated vascular characteristics, and expression of angiogenic molecules in pancreatic endocrine tumors. Clinical Cancer Research 2007 DOI: https://doi.org/10.1158/1078-0432.CCR-06-1408

    CAS  Article  Google Scholar 

  32. Mantovani A, Sozzani S, Locati M, Allavena P, Sica A. Macrophage polarization: Tumor-associated macrophages as a paradigm for polarized M2 mononuclear phagocytes. Trends in Immunology 2002 DOI: https://doi.org/10.1016/S1471-4906(02)02302-5

    CAS  Article  Google Scholar 

  33. Sica A, Schioppa T, Mantovani A, Allavena P. Tumour-associated macrophages are a distinct M2 polarised population promoting tumour progression: Potential targets of anti-cancer therapy. European Journal of Cancer 2006 DOI: https://doi.org/10.1016/j.ejca.2006.01.003

    CAS  Article  Google Scholar 

  34. Kurahara H, Shinchi H, Mataki Y, Maemura K, Noma H, Kubo F, et al. Significance of M2-polarized tumor-associated macrophage in pancreatic cancer. The Journal of Surgical Research 2011 DOI: https://doi.org/10.1016/j.jss.2009.05.026

    Article  Google Scholar 

  35. Helm O, Held-Feindt J, Grage-Griebenow E, Reiling N, Ungefroren H, Vogel I, et al. Tumor-associated macrophages exhibit pro- and anti-inflammatory properties by which they impact on pancreatic tumorigenesis. International Journal of Cancer 2014 DOI: https://doi.org/10.1002/ijc.28736

    CAS  Article  Google Scholar 

  36. Wei IH, Harmon CM, Arcerito M, Cheng DF, Minter RM, Simeone DM. Tumor-associated macrophages are a useful biomarker to predict recurrence after surgical resection of nonfunctional pancreatic neuroendocrine tumors. Annals of Surgery 2014 DOI: https://doi.org/10.1097/SLA.0000000000000262

    Article  Google Scholar 

  37. Cai L, Michelakos T, Deshpande V, Arora KS, Yamada T, Ting DT, et al. Role of tumor-associated macrophages in the clinical course of pancreatic neuroendocrine tumors (PanNETs). Clinical Cancer Research 2019 DOI: https://doi.org/10.1158/1078-0432.CCR-18-1401

  38. DeNardo DG, Brennan DJ, Rexhepaj E, Ruffell B, Shiao SL, Madden SF, et al. Leukocyte complexity predicts breast cancer survival and functionally regulates response to chemotherapy. Cancer Discovery 2011. DOI: https://doi.org/10.1158/2159-8274.CD-10-0028

    CAS  Article  Google Scholar 

  39. Sugimura K, Miyata H, Tanaka K, Takahashi T, Kurokawa Y, Yamasaki M, et al. High infiltration of tumor-associated macrophages is associated with a poor response to chemotherapy and poor prognosis of patients undergoing neoadjuvant chemotherapy for esophageal cancer. Journal of Surgical Oncology 2015. DOI: https://doi.org/10.1002/jso.23881

    Article  Google Scholar 

  40. Amit M, Gil Z. Macrophages increase the resistance of pancreatic adenocarcinoma cells to gemcitabine by upregulating cytidine deaminase. Oncoimmunology. 2013. DOI: 10.4161 /onci.27231

  41. Guo Q, Jin Z, Yuan Y, Liu R, Xu T, Wei H, et al. New Mechanisms of Tumor-Associated Macrophages on Promoting Tumor Progression: Recent Research Advances and Potential Targets for Tumor Immunotherapy. Journal of Immunology Research 2016. DOI: https://doi.org/10.1155/2016/9720912

    Google Scholar 

Download references

Acknowledgments

The authors want to thank Francesca Di Salvo for statistical analysis, Roberto Cairella and Graziella Santambrogio for their invaluable technical assistance.

Valentina Andreasi PhD studentship was supported by Gioja Bianca Costanza legacy donation.

Author information

Affiliations

Authors

Corresponding author

Correspondence to Marco Schiavo Lena.

Ethics declarations

The Authors have disclosed that they have no significant relationship with, or financial interest in, any commercial companies pertaining to this article.

The study was conducted according to the criteria set by the 1964 Declaration of Helsinki and later Amendments. Due to the retrospective nature of the study, approval by the ethical committee was waived.

No identifying details of the patients were mentioned in this study, all information were anonymized, and the images included may not identified persons.

Additional information

Publisher’s Note

Springer Nature remains neutral with regard to jurisdictional claims in published maps and institutional affiliations.

Rights and permissions

Reprints and Permissions

About this article

Verify currency and authenticity via CrossMark

Cite this article

Schiavo Lena, M., Partelli, S., Castelli, P. et al. Histopathological and Immunophenotypic Changes of Pancreatic Neuroendocrine Tumors after Neoadjuvant Peptide Receptor Radionuclide Therapy (PRRT). Endocr Pathol 31, 119–131 (2020). https://doi.org/10.1007/s12022-020-09623-4

Download citation

  • Published:

  • Issue Date:

  • DOI: https://doi.org/10.1007/s12022-020-09623-4

Keywords

  • Pancreatic neuroendocrine tumor
  • Peptide Receptor Radionuclide Therapy
  • M2-polarized macrophages
  • Immunohistochemistry
  • Response to neoadjuvant therapy