Skip to main content

A Case of Gastric Neuroendocrine Neoplasm with Mixed Grade: a Distinct Type of “High”-grade Well-Differentiated Neuroendocrine Neoplasm

Abstract

Grade 3 neuroendocrine tumor (NET G3) is a rare new entity that has recently been introduced in the classification of neuroendocrine neoplasms of the pancreas. It is a well-differentiated form, with a high proliferative activity (Ki67 > 20%), and it represents a category whose prognosis is intermediate between NET G2 and poorly differentiated neuroendocrine carcinoma (NEC G3). In sites other than the pancreas, this new category is by far less coded. Herein is reported a case of NET G3 of the stomach, the 13th described in literature. The patient was a 71-year-old man with a mass in the gastric fundus. Histological examination revealed a neuroendocrine tumor that was mostly composed by areas with conventional well-differentiated features and intermediate proliferative rate (< 20 mitoses/10 HPFs and 7% Ki67); part of the tumor was characterized by increased nuclear atypia, a confluent growth pattern, intermediate mitotic activity, and high Ki67 value (25%). The tumor was studied immunohistochemically and molecularly, and the only alteration that came out was MEN1 gene mutation (Lau584SerfsTer5) in both the high- and low-grade components. According to the actual classification of gastric neuroendocrine neoplasms, this case is labeled as NEC G3 but it should be named NET G3, with a much better prognosis than the former. Overall, both morphological pattern and the Ki67 value should be mentioned in the histological report in cases of high-grade neuroendocrine neoplasms because of its clinical significance in defining the prognosis and for new potential therapeutic approaches.

This is a preview of subscription content, access via your institution.

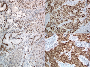
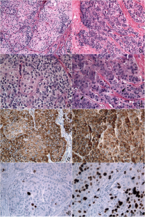
Fig. 1
Fig. 2
Fig. 3

References

  1. Bergsland EK, Woltering EA, Rindi G et al. Neuroendocrine tumors of the duodenum and ampulla of Vater. In: Amin MB, Edge S, Greene F, et al., editors. AJCC cancer staging manual. Springer; 2017. https://doi.org/10.1007/978-3-319-40618-3_30.

  2. Rindi G, Arnold R, Bosman FT. Nomenclature and classification of neuroendocrine neoplasms of the digestive system. In: Bosman FT, Carneiro F, Hruban RH, Theise ND, et al., editors. WHO classification of tumors of the digestive system. Lyon: IARC; 2010.

    Google Scholar 

  3. Grillo F, Albertelli M, Annunziata F, Boschetti M, Caff A, Pigozzi S, Ferone D, Mastracci L. Twenty years of gastroenteropancreatic neuroendocrine tumors: is reclassification worthwhile and feasible? Endocrine. 53; 58–62, 2016

    Article  PubMed  CAS  Google Scholar 

  4. Öberg K, Knigge U, Kwekkeboom D ESMO Guidelines Working Group et al., Neuroendocrine gastro-entero-pancreatic tumors: ESMO Clinical Practice Guidelines for diagnosis, treatment and follow-up. Ann. Oncol; 23 Suppl 7, vii124–vii130, 2012

    PubMed  Google Scholar 

  5. Remo A, Fassan M, Lanza G et al. Immunohistochemical evaluation of mismatch repair proteins in colorectal carcinoma: the AIFEG/GIPAD proposal. PATHOLOGICA. 107:104–109, 2015

    Google Scholar 

  6. Klöppel G, Couvelard A, Hruban RH, Klimstra DS, Komminoth P, Osamura RY, Perren A, Rindi G. WHO classification of neoplasms of the neuroendocrine pancreas. In: WHO classification of tumors of endocrine organs. Eds Lloyd RV, Osamura RY, Klöppel G, Rosai J. Lyon, IARC 2017

    Google Scholar 

  7. Heetfeld M, Chougnet CN, Olsen IH et al. Characteristics and treatment of patients with G3 gastroenteropancreatic neuroendocrine neoplasms. EndocrRelatCancer. 22: 657–664, 2015

    CAS  Google Scholar 

  8. Milione M, Maisonneuve P, Spada F, Pellegrinelli A, Spaggiari P, Albarello L, Pisa E, Barberis M, Vanoli A, Buzzoni R, Pusceddu S, Concas L, Sessa F, Solcia E, Capella C, Fazio N, la Rosa S The clinicopathologic heterogeneity of grade 3 gastroenteropancreatic neuroendocrine neoplasms: morphological differentiation and proliferation identify different prognostic categories.Neuroendocrinology.104: 85–93, 2017;

    Article  PubMed  CAS  Google Scholar 

  9. Lee HE, Mounajjed T, Erickson LA et al. Sporadic gastric well-differentiated neuroendocrine tumors have a higher Ki-67 proliferative index. Endocr Pathol. 27: 259–267, 2016

    Article  PubMed  CAS  Google Scholar 

  10. Furlan D, Cerutti R, Uccella S, la Rosa S, Rigoli E, Genasetti A, Capella C Different molecular profiles characterize well-differentiated endocrine tumors and poorly differentiated endocrine carcinomas of the gastroenteropancreatic tract. Clin Cancer Res. 10:947–957, 2004

    Article  PubMed  CAS  Google Scholar 

  11. Yachida S, Vakiani E, White CM, Zhong Y, Saunders T, Morgan R, de Wilde RF, Maitra A, Hicks J, DeMarzo AM, Shi C, Sharma R, Laheru D, Edil BH, Wolfgang CL, Schulick RD, Hruban RH, Tang LH, Klimstra DS, Iacobuzio-Donahue CA Small cell and large cell neuroendocrine carcinomas of the pancreas are genetically similar and distinct from well-differentiated pancreatic neuroendocrine tumors. Am J SurgPathol. 36: 173–184, 2012

    Article  Google Scholar 

  12. Vélayoudom-Céphise FL, Duvillard P, Foucan L et al. Are G3 ENETS neuroendocrine neoplasmsheterogeneous? Endocr Relat Cancer. 20:649–657, 2013

    Article  PubMed  Google Scholar 

  13. Basturk O, Yang Z, Tang LH, Hruban RH, Adsay V, McCall CM, Krasinskas AM, Jang KT, Frankel WL, Balci S, Sigel C, Klimstra DS The high-grade (WHO G3) pancreatic neuroendocrine tumor category is morphologically and biologically heterogenous and includes both well differentiated and poorly differentiated neoplasms. Am J SurgPathol. 39: 683–690, 2015

    Article  Google Scholar 

  14. Sorbye H, Welin S, Langer SW, Vestermark LW, Holt N, Osterlund P, Dueland S, Hofsli E, Guren MG, Ohrling K, Birkemeyer E, Thiis-Evensen E, Biagini M, Gronbaek H, Soveri LM, Olsen IH, Federspiel B, Assmus J, Janson ET, Knigge U Predictive and prognostic factors for treatment and survival in 305 patients with advanced gastrointestinal neuroendocrine carcinoma (WHO G3): the NORDIC NEC study. Ann Oncol. 24: 152–160, 2013

    Article  PubMed  CAS  Google Scholar 

  15. Sorbye H, Strosberg J, Baudin et al. Gastroenteropancreatic high-grade neuroendocrine carcinoma. Cancer. 120: 2814–2823, 2014

    Article  PubMed  CAS  Google Scholar 

  16. Tang LH, Untch BR, Reidy DL et al. Well-Differentiated Neuroendocrine Tumors with a Morphologically Apparent High-Grade Component: A Pathway Distinct from Poorly Differentiated Neuroendocrine Carcinomas. Clin Cancer Res. 22: 4273, 2016

    Article  Google Scholar 

  17. Wallace WA. The challenge of classifying poorly differentiated tumours in the lung. Histopathology. 54:28–42, 2009

    Article  PubMed  Google Scholar 

  18. Fazio N & Milione M. Heterogeneity of grade 3 gastroenteropancreatic neuroendocrine carcinomas: New insights and treatment implications. Cancer Treat Rev; 50:61–67, 2016

    Article  PubMed  Google Scholar 

Download references

Acknowledgments

Special thanks to prof. Aldo Scarpa (Department of Pathology and Diagnostics, University of Verona, Verona, Italy) for his contribution in molecular analyses. No fundings were received.

Elia Guadagno contributed to report conception and manuscript writing and editing, Giorgio Borrelli performed immunohistochemistry and corrected the references, Antonio Castaldi and Gaetano Luglio participated in data acquisition, Gaetano De Rosa and Marialaura Del Basso De Caro proof-read the manuscript.

Author information

Affiliations

Authors

Corresponding author

Correspondence to Elia Guadagno.

Ethics declarations

Conflict of Interest

The authors declare that they have no conflicts of interest.

Ethical Statement

This case report does not contain any research studies with human participants or animals performed by any of the authors. Therefore, for this type of manuscript, formal consent is not required.

Rights and permissions

Reprints and Permissions

About this article

Verify currency and authenticity via CrossMark

Cite this article

Guadagno, E., Luglio, G., Iacobelli, A. et al. A Case of Gastric Neuroendocrine Neoplasm with Mixed Grade: a Distinct Type of “High”-grade Well-Differentiated Neuroendocrine Neoplasm. Endocr Pathol 29, 289–293 (2018). https://doi.org/10.1007/s12022-018-9528-5

Download citation

  • Published:

  • Issue Date:

  • DOI: https://doi.org/10.1007/s12022-018-9528-5

Keywords

  • Neuroendocrine
  • G3
  • Heterogeneity
  • Morphology