Skip to main content

Immunohistochemical Biomarkers of Gastrointestinal, Pancreatic, Pulmonary, and Thymic Neuroendocrine Neoplasms

Abstract

Neuroendocrine neoplasms (NENs) are a heterogeneous group of epithelial neoplastic proliferations that irrespective of their primary site share features of neural and endocrine differentiation including the presence of secretory granules, synaptic-like vesicles, and the ability to produce amine and/or peptide hormones. NENs encompass a wide spectrum of neoplasms ranging from well-differentiated indolent tumors to highly aggressive poorly differentiated neuroendocrine carcinomas. Most cases arise in the digestive system and in thoracic organs, i.e., the lung and thymus. A correct diagnostic approach is crucial for the management of patients with both digestive and thoracic NENs, because their high clinical and biological heterogeneity is related to their prognosis and response to therapy. In this context, immunohistochemistry represents an indispensable diagnostic tool that pathologists need to use for the correct diagnosis and classification of such neoplasms. In addition, immunohistochemistry is also useful in identifying prognostic and theranostic markers. In the present article, the authors will review the role of immunohistochemistry in the routine workup of digestive and thoracic NENs.

This is a preview of subscription content, access via your institution.

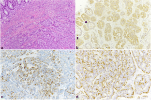
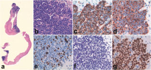
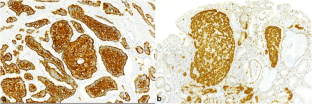
Fig. 1
Fig. 2
Fig. 3
Fig. 4
Fig. 5
Fig. 6
Fig. 7
Fig. 8
Fig. 9

References

  1. Oberndorfer S (1907) Karzinoide tumoren des Dünndarms. Frankf Z Pathol 1:425–432.

    Google Scholar 

  2. Masson P (1924) Appendicite neurogéne and carcinoides. Ann Anat Pathol 1:3–59.

    Google Scholar 

  3. Capella C, Heitz PU, Höfler H, Solcia E, Klöppel G (1995) Revised classification of neuroendocrine tumors of the lung, pancreas and gut. Virchows Arch 425:547–560.

    PubMed  Article  CAS  Google Scholar 

  4. Chetty R (2008) Requiem for the term “carcinoid tumour” in the gastrointestinal tract? Can J Gastroenterol 22:357–358.

    PubMed  PubMed Central  Article  Google Scholar 

  5. Travis WD, Brambilla E, Burke AP, Marx A, Nicholson AG (2015) WHO classification of tumours of the lung, pleura, thymus and heart. IARC Press, Lyon.

    Google Scholar 

  6. Rindi G, Arnold R, Bosman FT, Capella C, Klimstra DS, Klöppel G, Komminoth P, Solcia E (2010) Nomenclature and classification of neuroendocrine neoplasms of the digestive system. In: Bosman FT, Carneiro F, Hruban RH, Theise ND (eds) WHO classification of tumours of the digestive system. IARC Press, Lyon, pp 13–14

  7. Yao JC, Hassan M, Phan A, et al (2008) One hundred years after “carcinoid”: epidemiology of and prognostic factors for neuroendocrine tumors in 35,825 cases in the United States. J Clin Oncol 26:3063–3072.

    PubMed  Article  Google Scholar 

  8. Lloyd RV, Wilson BS (1983) Specific endocrine tissue marker defined by a monoclonal antibody. Science 222:628–630.

    PubMed  Article  CAS  Google Scholar 

  9. Taupenot L, Harper KL, O’Connor DT (2003) The chromogranin–secretogranin family. N Engl J Med 348:1134–1149.

    PubMed  Article  CAS  Google Scholar 

  10. Weiler R, Feichtinger H, Schmid KW, et al (1987) Chromogranin A and B and secretogranin II in bronchial and intestinal carcinoids. Virchows Arch A Pathol Anat Histopathol 412:103–109.

    PubMed  Article  CAS  Google Scholar 

  11. Fahrenkamp AG, Wibbeke C, Winde G, et al (1995) Immunohistochemical distribution of chromogranins A and B and secretogranin II in neuroendocrine tumours of the gastrointestinal tract. Virchows Arch 426:361–367.

    PubMed  Article  CAS  Google Scholar 

  12. Gould VE, Lee I, Wiedenmann B, Moll R, Chejfec G, Franke WW (1986) Synaptophysin: a novel marker for neurons, certain neuroendocrine cells, and their neoplasms. Hum Pathol 17:979–983.

    PubMed  Article  CAS  Google Scholar 

  13. Komminoth P, Roth J, Schröder S, Saremaslani P, Heitz PU (1995) Overlapping expression of immunohistochemical markers and synaptophysin mRNA in pheochromocytomas and adrenocortical carcinomas. Implications for the differential diagnosis of adrenal gland tumors. Lab Invest 72:424–431.

    PubMed  CAS  Google Scholar 

  14. Portela-Gomes GM, Lukinius A, Grimelius L (2000) Synaptic vesicle protein 2, a new neuroendocrine cell marker. Am J Pathol 157:1299–1309.

    PubMed  PubMed Central  Article  CAS  Google Scholar 

  15. Jakobsen AM, Andersson P, Saglik G, et al (2001) Differential expression of vesicular monoamine transporter (VMAT) 1 and 2 in gastrointestinal endocrine tumours. J Pathol 195:463–472.

    PubMed  Article  CAS  Google Scholar 

  16. Graff L, Castrop F, Bauer M, Höfler H, Gratzl M (2001) Expression of vesicular monoamine transporters, synaptosomal-associated protein 25 and syntaxin1: a signature of human small cell lung carcinoma. Cancer Res 61:2138–2144.

    PubMed  CAS  Google Scholar 

  17. Uccella S, Cerutti R, Vigetti D, et al (2006) Histidine decarboxylase, DOPA decarboxylase, and vesicular monoamine transporter 2 expression in neuroendocrine tumors: immunohistochemical study and gene expression analysis. J Histochem Cytochem 54:863–867.

    PubMed  Article  CAS  Google Scholar 

  18. Schmechel DE (1985) Gamma-subunit of the glycolytic enzyme enolase: nonspecific or neuron specific? Lab Invest 52:239–242.

    PubMed  CAS  Google Scholar 

  19. Rode J, Dhillon AP, Doran JF, Jackson P, Thompson RJ (1985) PGP 9.5, a new marker for human neuroendocrine tumours. Histopathology 9:147–158.

    PubMed  Article  CAS  Google Scholar 

  20. Lauweryns JM1, Van Ranst L (1988) Protein gene product 9.5 expression in the lungs of humans and other mammals. Immunocytochemical detection in neuroepithelial bodies, neuroendocrine cells and nerves. Neurosci Lett 85:311–316.

  21. Tezel E, Hibi K, Nagasaka T, Nakao A (2000) PGP9.5 as a prognostic factor in pancreatic cancer. Clin Cancer Res 6:4764–4767.

    PubMed  CAS  Google Scholar 

  22. Gunia S, Erbersdobler A, Koch S, Otto W, Staibano S, D'Alterio C, Brookman-May S (2013) Protein gene product 9.5 is diagnostically helpful in delineating high-grade renal cell cancer involving the renal medullary/sinus region from invasive urothelial cell carcinoma of the renal pelvis. Hum Pathol 44:712–717.

    PubMed  Article  CAS  Google Scholar 

  23. Otsuki T1, Yata K, Takata-Tomokuni A, et al (2004) Expression of protein gene product 9.5 (PGP9.5)/ubiquitin-C-terminal hydrolase 1 (UCHL-1) in human myeloma cells. Br J Haematol 127:292–298.

    PubMed  Article  CAS  Google Scholar 

  24. Campbell LK, Thomas JR, Lamps LW, Smoller BR, Folpe AL (2003) Protein gene product 9.5 (PGP 9.5) is not a specific marker of neural and nerve sheath tumors: an immunohistochemical study of 95 mesenchymal neoplasms. Mod Pathol 16:963–969.

    PubMed  Article  Google Scholar 

  25. Lauweryns JM1, Van Ranst L (1988) Immunocytochemical localization of aromatic L-amino acid decarboxylase in human, rat, and mouse bronchopulmonary and gastrointestinal endocrine cells. J Histochem Cytochem 36:1181–1186.

  26. Lloyd RV, Sisson JC, Shapiro B, Verhofstad AA (1986) Immunohistochemical localization of epinephrine, norepinephrine, catecholamine-synthesizing enzymes, and chromogranin in neuroendocrine cells and tumors. Am J Pathol 125:45–54.

    PubMed  PubMed Central  CAS  Google Scholar 

  27. Scopsi L, Gullo M, Rilke F, Martin S, Steiner DF (1995) Proprotein convertases (PC1/PC3 and PC2) in normal and neoplastic human tissues: their use as markers of neuroendocrine differentiation. J Clin Endocrinol Metab 80:294–301.

    PubMed  CAS  Google Scholar 

  28. Shipley WR, Hammer RD, Lennington WJ, Macon WR (1997) Paraffin immunohistochemical detection of CD56, a useful marker for neural cell adhesion molecule (NCAM), in normal and neoplastic fixed tissues. Applied Immunohistochemistry 5:87–93.

    Article  CAS  Google Scholar 

  29. Jin L, Hemperly JJ, Lloyd RV (1991) Expression of neural cell adhesion molecule in normal and neoplastic human neuroendocrine tissues. Am J Pathol 138:961–969.

    PubMed  PubMed Central  CAS  Google Scholar 

  30. Chu PG, Arber DA, Weiss LM (2003) Expression of T/NK-cell and plasma cell antigens in nonhematopoietic epithelioid neoplasms. An immunohistochemical study of 447 cases. Am J Clin Pathol 120:64–70.

    PubMed  Article  Google Scholar 

  31. Bösmüller HC1, Wagner P, Pham DL, et al (2017) CD56 (Neural Cell Adhesion Molecule) expression in ovarian carcinomas: association with high-grade and advanced stage but not with neuroendocrine differentiation. Int J Gynecol Cancer 27:239–245.

  32. Vasei M, Moch H, Mousavi A, Kajbafzadeh AM, Sauter G (2008) Immunohistochemical profiling of Wilms tumor: a tissue microarray study. Appl Immunohistochem Mol Morphol 16:128–134.

    PubMed  Article  CAS  Google Scholar 

  33. Wachowiak RT, Metzger R, Quaas A, et al (2008) Universal expression of cell adhesion molecule NCAM in neuroblastoma in contrast to L1: implications for different roles in tumor biology of neuroblastoma? Pediatr Surg Int 24:1361–1364.

    PubMed  Article  Google Scholar 

  34. Van Camp B, Durie BGM, Spier C (1990) Plasma cells in multiple myeloma express a natural killer cell associated antigen: CD56 (NKH-1; Leu-19). Blood 76:377–382.

    PubMed  Google Scholar 

  35. McGarry RC, Helfand SL, Quarles RH, et al (1983) Recognition of the myelin associated glycoprotein by the monoclonal antibody HNK-1. Nature 306:376–378.

    PubMed  Article  CAS  Google Scholar 

  36. Arber DA, Weirs LM (1995) CD57: a review. Appl Immunohistochem 3:137–152.

    CAS  Google Scholar 

  37. Tischler AS, Mobtaker H, Mann K, et al (1986) Anti-lymphocyte antibody Leu 7 (HNK-1) recognizes a constituent of NE granule matrix. J Histochem Cytochem 34:1213–1216.

    PubMed  Article  CAS  Google Scholar 

  38. Ball DW, Azzoli CG, Baylin SB, et al (1993) Identification of a human achaete scute homolog highly expressed in neuroendocrine tumors. Proc Natl Acad Sci USA 90:5648–5652.

    PubMed  PubMed Central  Article  CAS  Google Scholar 

  39. Ball DW (2004) Achaete-scute homolog-1 and Notch in lung neuroendocrine development and cancer. Cancer Lett 204:159–169.

    PubMed  Article  CAS  Google Scholar 

  40. La Rosa S, Marando A, Gatti G, et al (2013) Achaete-scute homolog 1 as a marker of poorly differentiated neuroendocrine carcinomas of different sites: a validation study using immunohistochemistry and quantitative real-time polymerase chain reaction on 335 cases. Hum Pathol 44:1391–1399.

    PubMed  Article  CAS  Google Scholar 

  41. Jiang SX, Kameya T, Asamura H, et al (2004) hASH1expression is closely correlated with endocrine phenotype and differentiation extent in pulmonary neuroendocrine tumors. Mod Pathol 17:222–229.

    PubMed  Article  CAS  Google Scholar 

  42. Altree-Tacha D, Tyrrell J, Li F (2017) mASH1 is highly specific for neuroendocrine carcinomas: an immunohistochemical evaluation on normal and various neoplastic tissues. Arch Pathol Lab Med 141:288–292.

    PubMed  Article  Google Scholar 

  43. Duan K, Mete O (2016) Algorithmic approach to neuroendocrine tumors in targeted biopsies: Practical applications of immunohistochemical markers. Cancer 124:871–884.

    Google Scholar 

  44. Bahrami A, Truong LD, Ro JY (2008) Undifferentiated tumor: true identity by immunohistochemistry. Arch Pathol Lab Med 132:326–348.

    PubMed  Google Scholar 

  45. Bahrami A, Gown AM, Baird GS, Hicks MJ, Folpe AL (2008) Aberrant expression of epithelial and neuroendocrine markers in alveolar rhabdomyosarcoma: a potentially serious diagnostic pitfall. Mod Pathol 21:795–806.

    PubMed  Article  CAS  Google Scholar 

  46. Zhang C, Schmidt LA, Hatanaka K, Thomas D, Lagstein A, Myers JL (2014) Evaluation of napsin A, TTF-1, p63, p40, and CK5/6 immunohistochemical stains in pulmonary neuroendocrine tumors. Am J Clin Pathol 142:320–324.

    PubMed  Article  Google Scholar 

  47. Lyda MH, Weiss LM (2000) Immunoreactivity for epithelial and neuroendocrine antibodies are useful in the differential diagnosis of lung carcinomas. Hum Pathol 31:980–987.

    PubMed  Article  CAS  Google Scholar 

  48. Bellizzi AM (2013) Assigning site of origin in metastatic neuroendocrine neoplasms: a clinically significant application of diagnostic immunohistochemistry.Adv Anat Pathol 20:285–314.

    PubMed  Article  CAS  Google Scholar 

  49. Klöppel G, Couvelard A, Hruban RH, Klimstra DS, Komminoth P, Osamura RY, Perren A, Rindi G (2017) Neoplasms of the neuroendocrine pancreas. Introduction. In: Lloyd RV, Osamura RY, Klöppel G, Rosai J (eds) WHO classification of tumours of endocrine organs. IARC Press, Lyon, pp 211–214

    Google Scholar 

  50. El-Naggar AK, Chan JKC, Grandis JR, Takata T, Slootweg PJ (2017) WHO classification of head and neck tumours. IARC Press, Lyon

    Google Scholar 

  51. Rindi G, Petrone G, Inzani F (2014) The 2010 WHO classification of digestive neuroendocrine neoplasms: a critical appraisal four years after its introduction. Endocr Pathol 25:186–192.

    PubMed  Article  CAS  Google Scholar 

  52. Voss sM, Riley MP, lokhandwala PM, Wang M, Yang Z (2015) Mitotic count by phosphohistone H3 immunohistochemical staining predicts survival and improves interobserver reproducibility in well-differentiated neuroendocrine tumors of the pancreas. Am J Surg Pathol 39:13–24.

    PubMed  Article  Google Scholar 

  53. Ozturk Sari S, Taskin OC, Gundogdu G, et al (2016) The impact of phosphohistone-H3-assisted mitotic count and Ki67 score in the determination of tumor grade and prediction of distant metastasis in well-differentiated pancreatic neuroendocrine tumors. Endocr Pathol 27:162–170.

    PubMed  Article  CAS  Google Scholar 

  54. Tsuta K, Liu DC, Kalhor N, Wistuba II, Moran CA (2011) Using the mitosis-specific marker anti-phosphohistone H3 to assess mitosis in pulmonary neuroendocrine carcinomas. Am J Clin Pathol 136:252–259.

    PubMed  Article  CAS  Google Scholar 

  55. Gerdes J, Schwab U, Lemke H, Stein H (1983) Production of a mouse monoclonal antibody reactive with a human nuclear antigen associated with cell proliferation. Int J Cancer 31:13–20.

    PubMed  Article  CAS  Google Scholar 

  56. Scholzen T, Gerdes J (2000) The Ki-67 protein: from the known and the unknown. J Cell Physiol 182:311–322.

    PubMed  Article  CAS  Google Scholar 

  57. Gerdes J, Lemke H, Baisch H, Wacker H-H, Schwab U, Stein H (1984) Cell cycle analysis of a cell proliferation-associated human nuclear antigen defined by the monoclonal antibody Ki-67. J Immunol 133:1710–1715.

    PubMed  CAS  Google Scholar 

  58. Cattoretti G, Becker MH, Key G, Duchrow M, Schlüter C, Galle J, Gerdes J (1992) Monoclonal antibodies against recombinant parts of the Ki-67 antigen (MIB 1 and MIB 3) detect proliferating cells in microwave-processed formalin-fixed paraffin sections. J Pathol 168:357–363.

    PubMed  Article  CAS  Google Scholar 

  59. Klöppel G, La Rosa S (2017) Ki67 labeling index: assessment and prognostic role in gastroenteropancreatic neuroendocrine neoplasms. Virchows Arch Nov 13. [Epub ahead of print] DOI: https://doi.org/10.1007/s00428-017-2258-0

  60. Reid MD, Bagci P, Ohike N, et al (2015) Calculation of the Ki67 index in pancreatic neuroendocrine tumors: a comparative analysis of four counting methodologies. Mod Pathol 28:686–694.

    PubMed  Article  Google Scholar 

  61. Matsukuma K, Olson KA, Gui D, Gandour-Edwards R, Li Y, Beckett L (2017) Synaptophysin-Ki67 double stain: a novel technique that improves interobserver agreement in the grading of well-differentiated gastrointestinal neuroendocrine tumors. Mod Pathol 30:620–629.

    PubMed  PubMed Central  Article  CAS  Google Scholar 

  62. Basturk O, Yang Z, Tang LH et al (2015) The high-grade (WHO G3) Pancreatic neuroendocrine tumor category is morphologically and biologically heterogenous and includes both well differentiated and poorly differentiated neoplasms. Am J Surg Pathol 39: 683–690.

    PubMed  PubMed Central  Article  Google Scholar 

  63. Milione M, Maisonneuve P, Spada F, et al (2017) The clinicopathologic heterogeneity of grade 3 gastroenteropancreatic neuroendocrine neoplasms: morphological differentiation and proliferation identify different prognostic categories. Neuroendocrinology 104:85–93.

    PubMed  Article  CAS  Google Scholar 

  64. Vélayoudom-Céphise FL, Duvillard P, Foucan L et al (2013) Are G3 ENETS neuroendocrine neoplasms heterogeneous? Endocr Relat Cancer 20: 649–657.

    PubMed  Article  Google Scholar 

  65. Heetfeld M, Chougnet CN, Olsen IH, et al (2015) Characteristics and treatment of patients with G3 gastroenteropancreatic neuroendocrine neoplasms. Endocr Relat Cancer 22:657–664.

    PubMed  Article  CAS  Google Scholar 

  66. Sorbye H, Welin S, Langer SW et al (2013) Predictive and prognostic factors for treatment and survival in 305 patients with advanced gastrointestinal neuroendocrine carcinoma (WHO G3): the NORDIC NEC study. Ann Oncol 24: 152–160.

    PubMed  Article  CAS  Google Scholar 

  67. Konukiewitz B, Schlitter AM, Jesinghaus M, et al (2017) Somatostatin receptor expression related to TP53 and RB1 alterations in pancreatic and extrapancreatic neuroendocrine neoplasms with a Ki67-index above 20. Mod Pathol 30:587–598.

    PubMed  Article  CAS  Google Scholar 

  68. Yachida S, Vakiani E, White CM, et al (2012) Small cell and large cell neuroendocrine carcinomas of the pancreas are genetically similar and distinct from well-differentiated pancreatic neuroendocrine tumors. Am J Surg Pathol 36:173–184.

    PubMed  PubMed Central  Article  Google Scholar 

  69. Jiao Y, Shi C, Edil B H, de Wilde R F et al (2011) DAXX/ATRX, MEN1, and mTOR pathway genes are frequently altered in pancreatic neuroendocrine tumors. Science 331:1199–1203.

    PubMed  PubMed Central  Article  CAS  Google Scholar 

  70. Scarpa A, Chang DK, Nones K, et al (2017) Whole-genome landscape of pancreatic neuroendocrine tumours. Nature 543:65–71.

    PubMed  Article  CAS  Google Scholar 

  71. Rindi G, Klersy C, Inzani F, et al (2013) Grading the neuroendocrine tumors of the lung: an evidence-based proposal. Endocr Relat Cancer 21:1–16.

    PubMed  Article  Google Scholar 

  72. Pelosi G, Rindi G, Travis WD, Papotti M (2014) Ki-67 antigen in lung neuroendocrine tumors: unraveling a role in clinical practice. J Thorac Oncol 9:273–284

    PubMed  Article  CAS  Google Scholar 

  73. Cardillo G, Rea F, Lucchi M, et al (2012) Primary neuroendocrine tumors of the thymus: a multicenter experience of 35 patients. Ann Thorac Surg 94:241–245

    PubMed  Article  Google Scholar 

  74. Lin O, Olgac S, Green I, Zakowski MF, Klimstra DS (2003) Immunohistochemical staining of cytologic smears with MIB-1 helps distinguish low-grade from high-grade neuroendocrine neoplasms. Am J Clin Pathol 120:209–216.

    PubMed  Article  Google Scholar 

  75. Pelosi G, Rodriguez J, Viale G, Rosai J (2005) Typical and atypical pulmonary carcinoid tumor overdiagnosed as small-cell carcinoma on biopsy specimens: a major pitfall in the management of lung cancer patients. Am J Surg Pathol 29:179–187.

    PubMed  Article  Google Scholar 

  76. Fabbri A, Cossa M, Sonzogni A, et al (2017) Ki-67 labeling index of neuroendocrine tumors of the lung has a high level of correspondence between biopsy samples and surgical specimens when strict counting guidelines are applied. Virchows Arch 470:153–164.

    PubMed  Article  CAS  Google Scholar 

  77. Neubauer E, Wirtz RM, Kaemmerer D, Athelogou M, Schmidt L, Sänger J, Lupp A (2016) Comparative evaluation of three proliferation markers, Ki-67, TOP2A, and RacGAP1, in bronchopulmonary neuroendocrine neoplasms: issues and prospects. Oncotarget 7:41959–41973.

    PubMed  PubMed Central  Google Scholar 

  78. Caplin ME, Baudin E, Ferolla P, et al (2015) Pulmonary neuroendocrine (carcinoid) tumors: European Neuroendocrine Tumor Society expert consensus and recommendations for best practice for typical and atypical pulmonary carcinoids. Ann Oncol 26:1604–1620.

    PubMed  Article  CAS  Google Scholar 

  79. Marchiò C, Gatti G, Massa F, et al (2017) Distinctive pathological and clinical features of lung carcinoids with high proliferation index. Virchows Arch 471:713–720.

    PubMed  PubMed Central  Article  Google Scholar 

  80. Simbolo M, Mafficini A, Sikora KO, et al (2017) Lung neuroendocrine tumours: deep sequencing of the four World Health Organization histotypes reveals chromatin-remodelling genes as major players and a prognostic role for TERT, RB1, MEN1 and KMT2D. J Pathol 241:488–500.

    PubMed  Article  CAS  Google Scholar 

  81. Rinke A, Muller HH, Schade-Brittinger C, et al (2009) Placebo controlled, double-blind, prospective, randomized study on the effect of octreotide LAR in the control of tumor growth in patients with metastatic neuroendocrine midgut tumors: a report from the PROMID Study Group. J Clin Oncol 27:4656–4663.

    PubMed  Article  CAS  Google Scholar 

  82. Korner M, Waser B, Schonbrunn A, et al (2012) Somatostatin receptor subtype 2A immunohistochemistry using a new monoclonal antibody selects tumors suitable for in vivo somatostatin receptor targeting. Am J Surg Pathol 36:242–252.

    PubMed  PubMed Central  Article  Google Scholar 

  83. Volante M, Brizzi MP, Faggiano A, et al (2007) Somatostatin receptor type 2A immunohistochemistry in neuroendocrine tumors: a proposal of scoring system correlated with somatostatin receptor scintigraphy. Mod Pathol 20:1172–1182.

    PubMed  Article  CAS  Google Scholar 

  84. Kasajima A, Papotti M, Ito W, et al (2017) High interlaboratory and interobserver agreement of somatostatin receptor immunohistochemical determination and correlation with response to somatostatin analogs. Hum Pathol Nov 24. doi: https://doi.org/10.1016/j.humpath.2017.11.008 [Epub ahead of print]

  85. Kaemmerer D, Specht E, Sänger J, Wirtz RM, Sayeg M, Schulz S, Lupp A (2015) Somatostatin receptors in bronchopulmonary neuroendocrine neoplasms: new diagnostic, prognostic, and therapeutic markers. J Clin Endocrinol Metab 100:831–840.

    PubMed  Article  CAS  Google Scholar 

  86. Qian ZR, Li T, Ter-Minassian M, et al (2016) Association between somatostatin receptor expression and clinical outcomes in neuroendocrine tumors. Pancreas 45:1386–1393.

    PubMed  PubMed Central  Article  CAS  Google Scholar 

  87. Brunner P, Jörg AC, Glatz K, et al (2017) The prognostic and predictive value of sstr2-immunohistochemistry and sstr2-targeted imaging in neuroendocrine tumors. Eur J Nucl Med Mol Imaging 44:468–475.

    PubMed  Article  CAS  Google Scholar 

  88. Norlen O, Stalberg P, Oberg K, Eriksson J, Hedberg J, Hessman O, Janson ET, Hellman P, Akerstrom G (2012) Long-term results of surgery for small intestinal neuroendocrine tumors at a tertiary referral center World J Surg 36:1419–1431.

    PubMed  Article  Google Scholar 

  89. Rosentraeger MJ, Garbrecht N, Anlauf M, Raffel A, Knoefel WT, Wiedenmann B, Klöppel G (2016) Syndromic versus non-syndromic sporadic gastrin-producing neuroendocrine tumors of the duodenum: comparison of pathological features and biological behavior Virchows Arch 468:277–287.

    PubMed  Article  Google Scholar 

  90. Real FX, Vila MR, Skoudy A, Ramaekers FC, Corominas JM (1993) Intermediate filaments as differentiation markers of exocrine pancreas. II. Expression of cytokeratins of complex and stratified epithelia in normal pancreas and in pancreas cancer. Int J Cancer 54:720–727.

    PubMed  Article  CAS  Google Scholar 

  91. Bouwens L (1998) Cytokeratins and cell differentiation in the pancreas. J Pathol 184:234–239.

    PubMed  Article  CAS  Google Scholar 

  92. Deshpande V, Fernandez-del Castillo C, Muzikansky A, Deshpande A, Zukerberg L, Warshaw AL, Lauwers GY (2004) Cytokeratin 19 is a powerful predictor of survival in pancreatic endocrine tumors. Am J Surg Pathol 28:1145–1153.

    PubMed  Article  Google Scholar 

  93. Schmitt AM, Anlauf M, Rousson V, et al (2007) WHO 2004 criteria and CK19 are reliable prognostic markers in pancreatic endocrine tumors. Am J Surg Pathol 31:1677–1682.

    PubMed  Article  Google Scholar 

  94. La Rosa S, Rigoli E, Uccella S, Novario R, Capella C (2007) Prognostic and biological significance of cytokeratin 19 in pancreatic endocrine tumours. Histopathology 50:597–606.

    PubMed  Article  Google Scholar 

  95. Zhang L, Smyrk TC, Oliveira AM, Lohse CM, Zhang S, Johnson MR, Lloyd RV (2009) KIT is an independent prognostic marker for pancreatic endocrine tumors: A finding derived from analysis of islet cell differentiation markers. Am J Surg Pathol 33: 1562–1569.

    PubMed  Article  Google Scholar 

  96. Han Xl, Zhao J, Ji Y, Xu X, Lou W (2013) Expression of CK19 and KIT in resectable pancreatic neuroendocrine tumors. Tumour Biol 34:2881–2889.

    Article  CAS  Google Scholar 

  97. Ferrari L, Della Torre S, Collini P, et al (2006) Kit protein (CD117) and proliferation index (Ki-67) evaluation in well and poorly differentiated neuroendocrine tumors. Tumori 92:531–535.

    PubMed  CAS  Google Scholar 

  98. Araki K, Ishii G, Yokose T, et al (2003) Frequent overexpression of the c-kit protein in large cell neuroendocrine carcinoma of the lung. Lung Cancer 40:173–180.

    PubMed  Article  Google Scholar 

  99. Naeem M, Dahiya M, Clark J, et al (2003) Analysis of c-kit protein expression in small-cell lung carcinoma and its implication for prognosis. Human Pathol 33:1182–1187.

    Article  CAS  Google Scholar 

  100. La Rosa S, Marando A, Furlan D, Sahnane N, Capella C (2012) Colorectal poorly differentiated neuroendocrine carcinomas and mixed adenoneuroendocrine carcinomas: Insights into the diagnostic immunophenotype, assessment of methylation profile, and search for prognostic markers. Am J Surg Pathol 36:601–611.

    PubMed  Article  Google Scholar 

  101. Ishikubo T, Akagi K, Kurosumi M, Yamaguchi K, Fujimoto T, Sakamoto H, Tanaka Y, Ochiai A (2006) Immunohistochemical and mutational analysis of c-kit in gastrointestinal neuroendocrine cell carcinoma. Jpn J Clin Oncol 36:494–498.

    PubMed  Article  Google Scholar 

  102. Gross DJ, Munter G, Bitan M, et al (2006) The role of imatinib mesylate (Glivec) for treatment of patients with malignant endocrine tumors positive for c-kit or PDGF-R. Endocr Relat Cancer 13:535–540.

    PubMed  Article  CAS  Google Scholar 

  103. Marinoni I, Kurrer AS, Vassella E, Dettmer M et al (2014) Loss of DAXX and ATRX are associated with chromosome instability and reduced survival of patients with pancreatic neuroendocrine tumors. Gastroenterology 146: 453-460e5.

    PubMed  Article  CAS  Google Scholar 

  104. de Wilde RF, Heaphy CM, Maitra A, et al (2012) Loss of ATRX or DAXX expression and concomitant acquisition of the alternative lengthening of telomeres phenotype are late events in a small subset of MEN-1 syndrome pancreatic neuroendocrine tumors. Mod Pathol 25:1033–1039.

    PubMed  PubMed Central  Article  CAS  Google Scholar 

  105. Singhi AD, Liu TC, Roncaioli JL, et al (2017) Alternative lengthening of telomeres and loss of DAXX/ATRX expression predicts metastatic disease and poor survival in patients with pancreatic neuroendocrine tumors. Clin Cancer Res 23:600–609.

    PubMed  Article  CAS  Google Scholar 

  106. Sahnane N, Furlan D, Monti M, et al (2015) Microsatellite unstable gastrointestinal neuroendocrine carcinomas: A new clinicopathologic entity. Endocr Relat Cancer 22:35–45.

    PubMed  Article  CAS  Google Scholar 

  107. Swarts DR, Henfling ME, Van Neste L, et al (2013) CD44 and OTP are strong prognostic markers for pulmonary carcinoids. Clin Cancer Res 19:2197–2207.

    PubMed  Article  CAS  Google Scholar 

  108. Righi L, Volante M, Rapa I, Tavaglione V, Inzani F, Pelosi G, Papotti M (2010) Mammalian target of rapamycin signaling activation patterns in neuroendocrine tumors of the lung. Endocr Relat Cancer 17:977–987.

    PubMed  Article  CAS  Google Scholar 

  109. Ferolla P, Brizzi MP, Meyer T, et al (2017) Efficacy and safety of long-acting pasireotide or everolimus alone or in combination in patients with advanced carcinoids of the lung and thymus (LUNA): an open-label, multicentre, randomised, phase 2 trial. Lancet Oncol 18:1652–1664.

    PubMed  Article  CAS  Google Scholar 

  110. Derks JL, Leblay N, Thunnissen E, et al (2018) Molecular subtypes of pulmonary large-cell neuroendocrine carcinoma predict chemotherapy treatment outcome. Clin Cancer Res 24:33–42.

    PubMed  Article  CAS  Google Scholar 

  111. Rudin CM, Pietanza MC, Bauer TM, et al (2017) Rovalpituzumab tesirine, a DLL3-targeted antibody-drug conjugate, in recurrent small-cell lung cancer: a first-in-human, first-in-class, open-label, phase 1 study. Lancet Oncol 18:42–51.

    PubMed  Article  CAS  Google Scholar 

  112. Kaemmerer D, Posorski N, von Eggeling F, et al (2014) The search for the primary tumor in metastasized gastroenteropancreatic neuroendocrine neoplasm. Clin Exp Metastasis 31:817–827.

    PubMed  Article  CAS  Google Scholar 

  113. La Rosa S, Chiaravalli AM, Placidi C, Papanikolaou N, Cerati M, Capella C (2010) TTF1 expression in normal lung neuroendocrine cells and related tumors: immunohistochemical study comparing two different monoclonal antibodies. Virchows Arch 457:497–507.

    PubMed  Article  CAS  Google Scholar 

  114. Verset L, Arvanitakis M, Loi P, Closset J, Delhaye M, Remmelink M, Demetter P (2011) TTF-1 positive small cell cancers: don’t think they’re always primary pulmonary! World J Gastrointest Oncol 3:144–147.

    PubMed  PubMed Central  Article  Google Scholar 

  115. Haynes CM, Sangoi AR, Pai RK (2011) PAX8 is expressed in pancreatic well-differentiated neuroendocrine tumors and in extrapancreatic poorly differentiated neuroendocrine carcinomas in fine-needle aspiration biopsy specimens. Cancer Cytopathol 119:193–201.

    PubMed  Article  Google Scholar 

  116. Cheuk W, Kwan MY, Suster S, Chan JK (2001) Immunostaining for thyroid transcription factor 1 and cytokeratin 20 aids the distinction of small cell carcinoma from Merkel cell carcinoma, but not pulmonary from extrapulmonary small cell carcinomas. Arch Pathol Lab Med 125:228–231.

    PubMed  CAS  Google Scholar 

  117. Ly TY, Walsh NM, Pasternak S (2012) The spectrum of Merkel cell polyomavirus expression in Merkel cell carcinoma, in a variety of cutaneous neoplasms, and in neuroendocrine carcinomas from different anatomical site. Hum Pathol 43:557–566.

    PubMed  Article  CAS  Google Scholar 

  118. Bowen NJ, Logani S, Dickerson EB, et al (2007) Emerging roles for PAX8 in ovarian cancer and endosalpingeal development. Gynecol Oncol 104:331–337.

    PubMed  Article  CAS  Google Scholar 

  119. Fabbro D, Di Loreto C, Beltrami CA, et al (1994) Expression of thyroid specific transcription factors TTF-1 and PAX-8 in human thyroid neoplasms. Cancer Res 54:4744–4749.

    PubMed  CAS  Google Scholar 

  120. Poleev A, Fickenscher H, Mundlos S, et al (1992) PAX8, a human paired box gene: isolation and expression in developing thyroid, kidney and Wilms’ tumors. Development 116:611–623.

    PubMed  CAS  Google Scholar 

  121. Weissferdt A, Tang X, Wistuba II, Moran CA (2013) Comparative immunohistochemical analysis of pulmonary and thymic neuroendocrine carcinomas using PAX8 and TTF-1. Mod Pathol 26:1554–1560.

  122. Sangoi AR1, Ohgami RS, Pai RK, Beck AH, McKenney JK, Pai RK (2011) PAX8 expression reliably distinguishes pancreatic well-differentiated neuroendocrine tumors from ileal and pulmonary well-differentiated neuroendocrine tumors and pancreatic acinar cell carcinoma. Mod Pathol 24:412–424.

  123. Bi Y, Deng Y, Li S, Zhou X, Chen Y, Ma D, Mao X, Guan Y, Chen J, Meng Y (2016) Immunophenotypic and prognostic analysis of PAX8 and TTF-1 expressions in neuroendocrine carcinomas of thymic origin: A comparative study with their pulmonary counterparts. J Surg Oncol 114:697–702.

    PubMed  Article  CAS  Google Scholar 

  124. Koo J, Zhou X, Moschiano E, De Peralta-Venturina M, Mertens RB, Dhall D (2013) The immunohistochemical expression of islet 1 and PAX8 by rectal neuroendocrine tumors should be taken into account in the differential diagnosis of metastatic neuroendocrine tumors of unknown primary origin. Endocr Pathol 24:184–190.

    PubMed  Article  CAS  Google Scholar 

  125. Lorenzo PI, Jimenez Moreno CM, Delgado I, et al (2011) Immunohistochemical assessment of Pax8 expression during pancreatic islet development and in human neuroendocrine tumors. Histochem Cell Biol 136:595–607.

    PubMed  PubMed Central  Article  CAS  Google Scholar 

  126. Tacha D, Qi W, Zhou D, et al (2013) PAX8 mouse monoclonal antibody [BC12] recognizes a restricted epitope and is highly sensitive in renal cell and ovarian cancers but does not crossreact with b cells and tumors of pancreatic origin. Appl Immunohistochem Mol Morphol 21:59–63.

    PubMed  CAS  Google Scholar 

  127. Nonaka D, Papaxoinis G, Mansoor W (2016) Diagnostic Utility of Orthopedia Homeobox (OTP) in Pulmonary Carcinoid Tumors. Am J Surg Pathol 40:738–744.

    PubMed  Article  Google Scholar 

  128. Hanley KZ, Dureau ZJ, Cohen C, Shin DM, Owonikoko TK, Sica GL (2018) Orthopedia homeobox is preferentially expressed in typical carcinoids of the lung. Cancer. Jan 9. doi: https://doi.org/10.1002/cncy.21969 [Epub ahead of print]

  129. Silberg DG, Swain GP, Suh ER, Traber PG (2000) Cdx1 and cdx2 expression during intestinal development. Gastroenterology 119:961–971.

    PubMed  Article  CAS  PubMed Central  Google Scholar 

  130. Moskaluk CA, Zhang H, Powell SM, et al (2003) Cdx2 protein expression in normal and malignant human tissues: an immunohistochemical survey using tissue microarrays. Mod Pathol 16:913–919.

    PubMed  Article  Google Scholar 

  131. Li MK, Folpe AL (2004) CDX-2, a new marker for adenocarcinoma of gastrointestinal origin. Adv Anat Pathol 11:101–105.

    PubMed  Article  CAS  Google Scholar 

  132. De Lott LB, Morrison C, Suster S, Cohn DE, Frankel WL (2005) CDX2 is a useful marker of intestinal-type differentiation: a tissue microarray-based study of 629 tumors from various sites. Arch Pathol Lab Med 129:1100–1105.

    PubMed  Google Scholar 

  133. Ortiz-Rey JA, Alvarez C, San Miguel P, Iglesias B, Anton I (2005) Expression of CDX2, cytokeratins 7 and 20 in sinonasal intestinal-type adenocarcinoma. Appl Immunohistochem Mol Morphol 13:142–146.

    PubMed  Article  CAS  Google Scholar 

  134. Rossi G, Murer B, Cavazza A, et al (2004) Primary mucinous (so-called colloid) carcinomas of the lung: a clinicopathologic and immunohistochemical study with special reference to CDX-2 homeobox gene and MUC2 expression. Am J Surg Pathol 28, 442–452.

    PubMed  Article  Google Scholar 

  135. Enriquez ML, Baloch ZW, Montone KT, Zhang PJ, LiVolsi VA (2012) CDX2 expression in columnar cell variant of papillary thyroid carcinoma. Am J Clin Pathol 137:722–726.

    PubMed  Article  Google Scholar 

  136. Shah SS., Wu TT, Torbenson MS, Chandan VS (2017) Aberrant CDX2 expression in hepatocellular carcinomas: an important diagnostic pitfall. Hum Pathol doi: https://doi.org/10.1016/j.humpath.2016.12.029.

  137. Erickson LA, Papouchado B, Dimashkieh H, Zhang S, Nakamura N, Lloyd RV (2004) Cdx2 as a marker for neuroendocrine tumors of unknown primary sites. Endocr Pathol 15:247–252.

    PubMed  Article  CAS  Google Scholar 

  138. La Rosa S, Rigoli E, Uccella S, Chiaravalli AM, Capella C (2004) CDX2 as a marker of intestinal EC-cells and related well-differentiated endocrine tumors. Virchows Arch 445:248–254.

    PubMed  Article  CAS  Google Scholar 

  139. Barbareschi M, Roldo C, Zamboni G, et al (2004) CDX-2 homeobox gene product expression in neuroendocrine tumors: its role as a marker of intestinal neuroendocrine tumors. Am J Surg Pathol 28:1169–1176.

    PubMed  Article  Google Scholar 

  140. Koo J, Mertens RB, Mirocha JM, Wang HL, Dhall D (2012) Value of Islet 1 and PAX8 in identifying metastatic neuroendocrine tumors of pancreatic origin. Mod Pathol 25:893–901.

    PubMed  Article  CAS  Google Scholar 

  141. Ahlgren U, Pfaff SL, Jessell TM, et al (1997) Independent requirement for ISL1 in formation of pancreatic mesenchyme and islet cells. Nature 385:257–226.

    PubMed  Article  CAS  Google Scholar 

  142. Ark JY, Hong SM, Klimstra DS, et al (2011) Pdx1 expression in pancreatic precursor lesions and neoplasms. Appl Immunohistochem Mol Morphol 19:444–449.

    Article  CAS  Google Scholar 

  143. Srivastava A, Hornick JL (2009) Immunohistochemical staining for CDX-2, PDX-1, NESP-55, and TTF-1 can help distinguish gastrointestinal carcinoid tumors from pancreatic endocrine and pulmonary carcinoid tumors. Am J Surg Pathol 33:626–632.

    PubMed  Article  Google Scholar 

  144. Volante M, Allìa E, Gugliotta P, et al (2002) Expression of ghrelin and of the GH secretagogue receptor by pancreatic islet cells and related endocrine tumors. J Clin Endocrinol Metab 87:1300–1308.

    PubMed  Article  CAS  Google Scholar 

  145. Papotti M, Cassoni P, Volante M, Deghenghi R, Muccioli G, Ghigo E (2001) Ghrelin-producing endocrine tumors of the stomach and intestine. J Clin Endocrinol Metab 86:5052–5059.

    PubMed  Article  CAS  Google Scholar 

  146. La Rosa S, Boni L, Finzi G, et al (2010) Ghrelin-producing well-differentiated neuroendocrine tumor (carcinoid) of tailgut cyst. Morphological, immunohistochemical, ultrastructural, and RT-PCR study of a case and review of the literature. Endocr Pathol 21:190–198.

    PubMed  Article  CAS  Google Scholar 

  147. Falkmer UG, Gustafsson T, Wenzel R, et al (2015) Malignant presacral ghrelinoma with long-standing hyperghrelinaemia. Ups J Med Sci 120:299–304.

    PubMed  PubMed Central  Article  Google Scholar 

  148. La Rosa S, Vanoli A (2014) Gastric neuroendocrine neoplasms and related precursor lesions. J Clin Pathol 67:938–948.

    PubMed  Article  Google Scholar 

  149. Vanoli A, La Rosa S, Klersy C, et al (2017) Four Neuroendocrine Tumor Types and Neuroendocrine Carcinoma of the Duodenum: Analysis of 203 Cases. Neuroendocrinology 104:112–125.

    PubMed  Article  CAS  Google Scholar 

  150. La Rosa S, Pariani D, Calandra C, Marando A, Sessa F, Cortese F, Capella C (2013) Ectopic duodenal insulinoma: a very rare and challenging tumor type. Description of a case and review of the literature. Endocr Pathol 24:213–219.

    PubMed  Article  Google Scholar 

  151. Fiocca R, Capella C, Buffa R, et al (1980) Glucagon-, glicentin-, and pancreatic polypeptide-like immunoreativities in rectal carcinoids and related colorectal cells. Am J Pathol 100:81–92.

    PubMed  PubMed Central  CAS  Google Scholar 

  152. Azumi N, Traweek ST, Battifora H (1991) Prostatic acid phosphatase in carcinoid tumors. Immunohistochemical and immunoblot studies. Am J Surg Pathol 15:785–790.

    PubMed  Article  CAS  Google Scholar 

  153. Sohn JH, Cho MY, Park Y, et al (2015) Prognostic significance of defining L-cell type on the biological behavior of rectal neuroendocrine tumors in relation with pathological parameters. Cancer Res Treat 47:813–822.

    PubMed  PubMed Central  Article  CAS  Google Scholar 

  154. Moore P S, Missiaglia E, Antonello D, Zamo A, et al (2001) Role of disease-causing genes in sporadic pancreatic endocrine tumors: MEN1 and VHL. Genes Chromosomes Cancer 32:177–181.

    PubMed  Article  CAS  Google Scholar 

  155. Komminoth P, Klöppel G, Korbonits M, Mete O, Scoazec JY, Stratakis CA (2017) Multiple endocrine neoplasia type 1. In: Lloyd RV, Osamura RY, Klöppel G, Rosai J (eds) WHO classification of tumours of endocrine organs. IARC Press, Lyon, pp 243–247.

  156. Pellegata NS, Klöppel G (2017) Multiple endocrine neoplasia type 4. In: Lloyd RV, Osamura RY, Klöppel G, Rosai J (eds) WHO classification of tumours of endocrine organs. IARC Press, Lyon, pp 253–254.

  157. Occhi G, Regazzo D, Trivellin G, et al (2013) A novel mutation in the upstream open reading frame ofthe CDKN1B gene causes a MEN4 phenotype. PLoS Genet 9:e1003350.

    PubMed  PubMed Central  Article  CAS  Google Scholar 

  158. Couvelard A, Hammel P, Komminoth P, Mete O, Pacak K, Perren A, Stratakis CA (2017) von Hippel-Lindau syndrome. In: Lloyd RV, Osamura RY, Klöppel G, Rosai J (eds) WHO classification of tumours of endocrine organs. IARC Press, Lyon, pp 157–261.

  159. Hoang MP, Hruban RH, Albores-Saavedra J (2001) Clear cell endocrine pancreatic tumor mimicking renal cell carcinoma: a distinctive neoplasm of von Hippel-Lindau disease. Am J Surg Pathol 25:602–609.

    PubMed  Article  CAS  Google Scholar 

  160. Singh R, Basturk O, Klimstra DS, et al (2006) Lipid-rich variant of pancreatic endocrine neoplasms. Am J Surg Pathol 30:194–200.

    PubMed  Article  Google Scholar 

  161. Fryer E, Serra S, Chetty R (2012) Lipid-rich (“clear cell”) neuroendocrine tumors of the pancreas in MEN 1 patients. Endocr Pathol 3:243–246.

    Article  CAS  Google Scholar 

  162. La Rosa S, Uccella S, Marchet S, Capella C, Lloyd RV (2004) Localization of inhibins and activins in normal endocrine cells and endocrine tumors of the gut and pancreas: an immunohistochemical and in situ hybridization study. J Histochem Cytochem 52:217–222.

    PubMed  Article  Google Scholar 

  163. Niemeijer ND, Papathomas TG, Korpershoek E, et al (2015) Succinate dehydrogenase (SDH)-deficient pancreatic neuroendocrine tumor expands the SDH-related tumor spectrum. J Clin Endocrinol Metab 100:E1386E1393.

    PubMed  Article  CAS  Google Scholar 

Download references

Author information

Affiliations

Authors

Corresponding author

Correspondence to Stefano La Rosa.

Ethics declarations

Conflict of Interest

SU and SLR declare that they have no conflict of interest. MV received honoraria from Novartis and MSD. MP received honoraria from Novartis, Roche, AstraZeneca, MSD, and Pfizer.

Rights and permissions

Reprints and Permissions

About this article

Verify currency and authenticity via CrossMark

Cite this article

Uccella, S., La Rosa, S., Volante, M. et al. Immunohistochemical Biomarkers of Gastrointestinal, Pancreatic, Pulmonary, and Thymic Neuroendocrine Neoplasms. Endocr Pathol 29, 150–168 (2018). https://doi.org/10.1007/s12022-018-9522-y

Download citation

  • Published:

  • Issue Date:

  • DOI: https://doi.org/10.1007/s12022-018-9522-y

Keywords

  • Immunohistochemistry
  • Neuroendocrine tumor
  • Neuroendocrine carcinoma
  • Diagnosis, prognosis